|
Figure 1. Alpha-cardiac actin promoter drives muscle specific expression. (a) Representation of the Car-GFP construct, where the muscle specific "alpha-cardiac actin" promoter (Car) is driving the expression of GFP. (b, c) Car-GFP F0 transgenic animals generally show specific and strong GFP expression in muscle fibres of the hindlimbs (b) and the tail (c). n = 25 animals. (d) At 4 dpa, many GFP+ cells are observed in the tail regenerate of a Car-GFP F0 transgenic tadpole (arrows). Dashed line: amputation plane.
|
|
Figure 2. Inducible Cre constructs do not label limb muscle. (a) Representation of the Car-ERCreER/CALNL-GFP construct, where Car promoter is driving the expression of the tamoxifen-inducible Cre recombinase. On the same vector but in opposite direction, we placed a reporter construct composed of the constitutive CAG promoter driving the expression of a floxed neo gene. Downstream of it, there is the eGFP gene that is only expressed when Cre is able to remove the floxed neo gene. (b, c) After two weeks of daily intraperitoneal tamoxifen injections, only few myofibres were generally labelled in the tails (b) and less than 1% of transgenics had any label in the hindlimb (c) of Car-ERCreER/CALNL-GFP F1 and F2 transgenics (arrows: faint GFP+ myofibres). n > 100 animals. (d) Representation of the Car-nCre, Hsp-nlcCre and CALNL-GFP constructs. Here, the Cre recombinase is split in two inactive fragments (nCre and nlcCre). In this system, Cre is only active when both fragments are co-expressed. To make the system inducible and muscle-specific, we cloned the nCre fragment under the Car promoter and the nlcCre fragment under a heat-shock-inducible promoter (Hsp70). (e-g) After heat-shock treatments of F1 tadpoles, we generally observed strong expression of GFP in the trunk (arrow) but no expression in the hindlimbs (compare e with e'. Arrowheads point to the unlabelled hindlimb). We also observed that the number of labelled myofibres was lower in the middle of the tail (g) and even lower closer to the tip of the tail (f). n > 100 animals.
|
|
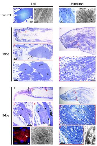
Figure 3. Tadpole tail myofibres show a dedifferentiation phenotype. (a, b) Control tail myofibres, showing the orderly aligned sarcomeric structure in semithin sections (a) and TEM micrographs (b). (c-e) At 1 dpa, dead myofibres are frequently observed next to the amputation plane in the tail (asterisk). Many myofibres show a more compact shape with an apparently normal sarcomeric structure (arrows) while others show some sarcomeric disorganization (arrowhead in d). In few cases, the sarcomeric disorganization is more severe (arrowhead in e). (f-h) At 3 dpa, a considerable regenerate has formed (f) and more stump myofibres show the dedifferentiation phenotype (g, h). (g) Myofibre close to amputation plane with an irregular shape and big regions in the sarcoplasm devoid of sarcomeres (arrowhead). (h) Another myofibre, farther from the amputation plane, showing the same phenotype (arrowheads). Externally to this myofibre there is a longer fibre. These longer muscle fibres never show an obvious dedifferentiation phenotype. (i) Confocal image of a tail myofibre with disarranged alpha-sarcomeric actin (ASA, arrowhead) at 3 dpa. (j) TEM micrograph of a myofibre with dissociating myofibrils (arrowheads) next to a region with organized myofibrils (arrow), at 3 dpa. (k, l) Muscle in the zeugopod of stage 54 hindlimbs is very immature. It is mainly composed of myoblasts and young myofibres (arrows). (m, n) At 1 dpa, no obvious changes are observed (arrows: young myofibres). (o-r) At 3 dpa, distal myofibres are still very similar to the ones observed at 0 and 1 dpa (arrows: young myofibres). No obvious dedifferentiation was observed in the limb muscle. Dashed lines: amputation planes. n ⥠six sections per animal, three animals per time point.
|
|
Figure 5. In vivo observations show that tadpole tail myofibres do not fragment. (a, b) Tail regeneration results of Car-nCre_Hsp-nlcCre_CALNL-GFP F1 transgenic tadpoles amputated approximately in the middle of the tail ("proximal amputations"). Many of the labelled myofibres next to the amputation plane were not found at 1 dpa probably because they degenerated. From 1 dpa till the end of the observations, the number and position of labelled myofibres did not change, indicating that there was no myofibre fragmentation. Also, no labelling was observed in the regenerate. n = 18 animals. (c, d) In vivo tracing of single myofibres in the distal part of the tail of Car-ERCreER/CALNL-GFP or Car-nCre_Hsp-nlcCre_CALNL-GFP transgenics. Myofibres close to the amputation plane generally showed a compact or retracted shape at 1 dpa (n = 94 fibres). During the next days, these muscle fibres started to recover the elongated shape, sometimes forming long citoplasmic projections (arrowheads). At 12 dpa, the shape of the myofibres was again elongated but generally different from the initial shape. Dashed lines: amputation planes.
|
|
Figure 6. Dedifferentiating myofibres do not enter the cell cycle. 4 dpa regenerating tails were fixed 24 hours after intraperitoneal injection of BrdU and immunostained against BrdU (green), Mef2 (red, marking the nuclei of myoblasts and myofibres) and Dystrophin (white, marking the cell membrane of the myofibres). Dedifferentiating myofibres-the ones with irregular shapes-never showed myonuclei positive for BrdU (arrows; n = 100 myonuclei (Mef2+ nuclei inside the dystrophin)).
|
|
Figure 7. Relation between myofibre retraction and dedifferentiation phenotype. (a-j) During regeneration, "short" myofibres change their shape from elongated (before amputation) to compact (1-4 dpa) and back to elongated (6-12 dpa) (a-e, e corresponds to 12 dpa; n = 94 fibres). This change in shape is also observed in semithin sections of wild-type animals fixed at different days post amputation (f-j, j corresponds to 14 dpa; n ⥠six sections per animal, three animals per time point). At 1 dpa (b, g), "short" myofibres are retracted (b) and the dedifferentiation phenotype is occasionally observed in fibres with similar compact shapes (g, arrows point to disorganized sarcomeres, arrowheads point to normal sarcomeres. See also Figure 3c-e). At 3 dpa (c, h), the dedifferentiation phenotype is more common and is generally present in myofibres with irregular shapes (h, arrow), i.e., the ones that retracted (c). At 6 dpa (d, i), retracted myofibres start to have a more elongated shape (d, boxes correspond to different focal planes) and the dedifferentiation phenotype is now less common (i, arrows), with more myofibres showing normal sarcomeres (i, arrowheads). At 12-14 dpa (e, j), elongated shape is regained (e) and many myofibres show a normal internal structure (j, arrowheads), while few still have some sarcomeric disorganization (j, arrow). (k-n) The "long and thin" myofibres were less prone to retract (compare fibre "b" in k and l; n = 21 fibres), in contrast to "short" myofibres that become even shorter with amputation (compare fibre "c" in k and l). Comparatively, "long and thin" myofibres did not show the dedifferentiation phenotype at 3 dpa (arrowheads in m and n), while short myofibres did (arrows in m and n). Myofibre "a" died with the amputation (was not found at 1 dpa). Nt: notochord. Sk: skin. (o-t) Proximal amputations (done approximately at the middle of the tail) generally resulted in no or little myofibre retraction (o-q; n = 18 animals). Likewise, semithin sections (r-t) revealed that myofibres generally kept the organized internal structure (arrowheads), with some myofibres showing only a mild disorganization of the sarcomeric structure (arrows). Dashed lines: amputation planes.
|
|
Figure 4. Expression of mature muscle genes decreases with regeneration in tail and limb. (a) Real Time PCR analysis of tail regeneration. myod gene expression does not significantly change in the distal stump between 0 and 3 dpa, while cardiac α actin (car) and myosin heavy chain 4 (myh4) have 5-fold lower expression at 3 dpa. n = three independent experiments of 10 tail samples per time point. (b) Real Time PCR analysis of stage 54 limb regeneration. Three samples were used: 0 dpa zeugopod; 3 dpa zeugopod; growth control (GC)-not amputated, three days older zeugopod. myod, myogenin and car levels are the same between 0 and 3 dpa. However, comparing 3 dpa with GC, we observed a significant lower expression of myod, myogenin and car in the regenerating limb. n = four independent experiments of 10 or 20 limb samples per time point. Results were normalized for ornithine decarboxylase (odc) expression and relativized to the time points with highest expression (0 dpa for tail and GC for limb). Error bars: standard error. Asterisk: p value < 0.01; Student's t test.
|
|
Figure 8. Labelled myofibres do not contribute to new muscle during regeneration of zebrafish larvae tail. (a) Representation of the Car-ERCreER and eab2-EGFPTmCherry [52] constructs, which allow the expression of mCherry in muscle fibres after activation of Cre. (b) These transgenics expressed eGFP ubiquitously. (c) Without tamoxifen treatment, mCherry expression was not observed (gut is autofluorescent). (d) After tamoxifen treatment, mCherry was generally visible in many muscle fibres. (e, f) Tails of two weeks old zebrafish larvae were amputated proximal to the base of the fin fold. (g) Six days later, some animals had regenerated a small piece of tail (arrowhead) and a caudal fin. (h) At 14 dpa, the small tail regenerate (arrowhead) continued to be free of mCherry labelling. (i) Confocal image of the same region, showing that the small tail regenerate has muscle fibres (arrows, ASA: α-sarcomeric actin) that are not labelled with mCherry. Pictures e to i correspond to the same animal. Dashed line: amputation plane. n = 33.
|
|
Figure 9. Zebrafish larvae show no muscle dedifferentiation phenotype. Micrographs from semithin sections showed that larval tail myofibres have a well organized sarcomeric structure that do not show signs of dedifferentiation during regeneration (arrows). (a, b) At 0 dpa and 1 dpa, distal most fibres show altered sarcomeric striations, characteristic of damaged or dying myofibre (arrowheads). (c) At 3 dpa this phenotype was not observed (neither at 2 dpa, not shown), instead, less muscle is observed close to the amputation plane (asterisk). (d) At 6 dpa, new myofibres are visible in the regenerate (left arrow). Notochord (N) is visible as an oval at 3 and 6 dpa because of the slight dorsal curvature that regenerating tails acquire (see Figure 8h). Dashed lines: amputation planes. n ≥ four sections per animal, three animals per time point.
|