Click here to close
Hello! We notice that you are using Internet Explorer, which is not supported by Xenbase and may cause the site to display incorrectly.
We suggest using a current version of Chrome,
FireFox, or Safari.
PLoS One
2011 Jan 01;612:e28119. doi: 10.1371/journal.pone.0028119.
Show Gene links
Show Anatomy links
TRESK background K(+) channel is inhibited by PAR-1/MARK microtubule affinity-regulating kinases in Xenopus oocytes.
Braun G
,
Nemcsics B
,
Enyedi P
,
Czirják G
.
???displayArticle.abstract??? TRESK (TWIK-related spinal cord K(+) channel, KCNK18) is a major background K(+) channel of sensory neurons. Dominant-negative mutation of TRESK is linked to familial migraine. This important two-pore domain K(+) channel is uniquely activated by calcineurin. The calcium/calmodulin-dependent protein phosphatase directly binds to the channel and activates TRESK current several-fold in Xenopus oocytes and HEK293 cells. We have recently shown that the kinase, which is responsible for the basal inhibition of the K(+) current, is sensitive to the adaptor protein 14-3-3. Therefore we have examined the effect of the 14-3-3-inhibited PAR-1/MARK, microtubule-associated-protein/microtubule affinity-regulating kinase on TRESK in the Xenopus oocyte expression system. MARK1, MARK2 and MARK3 accelerated the return of TRESK current to the resting state after the calcium-dependent activation. Several other serine-threonine kinase types, generally involved in the modulation of other ion channels, failed to influence TRESK current recovery. MARK2 phosphorylated the primary determinant of regulation, the cluster of three adjacent serine residues (S274, 276 and 279) in the intracellular loop of mouse TRESK. In contrast, serine 264, the 14-3-3-binding site of TRESK, was not phosphorylated by the kinase. Thus MARK2 selectively inhibits TRESK activity via the S274/276/279 cluster, but does not affect the direct recruitment of 14-3-3 to the channel. TRESK is the first example of an ion channel phosphorylated by the dynamically membrane-localized MARK kinases, also known as general determinants of cellular polarity. These results raise the possibility that microtubule dynamics is coupled to the regulation of excitability in the neurons, which express TRESK background potassium channel.
???displayArticle.pubmedLink???
22145024
???displayArticle.pmcLink???PMC3228728 ???displayArticle.link???PLoS One
Figure 4. MARK1, 2 and 3 inhibit TRESK, BRSK1 is a possible regulator, whereas the other tested AMPK-related kinases do not influence the recovery of the K+ current.
show more
A. Multiple alignment and phylogenetic tree of mouse full-length AMPK-related kinases was created with Clustal W2 and TreeView. The enzymes, which have been cloned and functionally tested on TRESK, are shown in colors different from gray. The MARK kinases, which efficiently inhibit TRESK, are indicated with an orange ellipse. B. Time-dependent recovery of background K+ currents after the ionomycin stimulation (Iono., 0.5 �M, as indicated by the horizontal black bar) is shown for the groups of oocytes coexpressing the different AMPK-related kinases with mouse TRESK. Color code is the same as in panel A. Rapid recovery of K+ current in the MARK1, 2 and 3 groups is indicated with an orange ellipse. C. Average recoveries at the end of the measurement are shown for the different groups. The number in the columns indicates the sample size. SIK1 construct (SIK1#) contained amino acids 1�343, which included the kinase domain. The recovery in the MARK1, 2 and 3 groups was significantly different from that of the control cells (one-way ANOVA, followed by Tukey HSD test, *p<0.01, **p<0.001). D. Oocytes coexpressing BRSK1 and mouse TRESK (BRSK1, ferruginous curve, n = 16) or expressing only the channel (control, black curve, n = 15) were stimulated with ionomycin as in the case of the other AMPK-related kinases in panels A, B and C. Note that ionomycin did not activate TRESK current in the cells, which coexpressed BRSK1 with the channel. E. Representative photograph of a control oocyte expressing TRESK channels. Appearance is not different from a non-injected cell (not shown). F. Representative photograph of an oocyte coexpressing TRESK with MARK2 kinase. Note the reduced pigmentation on the animal pole, and the peculiar dark dots on the vegetative hemisphere following a more or less hexagonal arrangement.
doi:10.1371/journal.pone.0028119.g004
Figure 1. Calcineurin activates mouse TRESK several-fold in HEK293 cells.A. Calcium-dependent activation of TRESK current was measured at −100 mV in HEK293 cells after FK506 pretreatment (1 µM, 15–40 min, FK506, black curve) or without the application of the calcineurin inhibitor (control, gray curve). Whole-cell patch clamp recording was performed with calcium-free pipette and bath solutions containing 50 µM EGTA. Pipette solution contained GTP (0.1 mM) and ATP (1 mM). Extracellular [K+] was increased from 2 to 30 mM (as indicated above the graph) and the cells were subsequently challenged with ionomycin (1 µM) plus Ca2+ (2 mM, Iono.+Ca2+, horizontal black bar). B. Normalized responses to ionomycin plus calcium were calculated from the same recordings as represented in panel A. FK506 prevented the calcium-dependent activation of TRESK. C. TRESK currents during the stimulation with ionomycin plus calcium (Iono.+Ca2+, horizontal black bar) were measured with calcium-free pipette solution containing 50 µM EGTA but neither ATP nor GTP. Calcium (2 mM) was continuously present after the withdrawal of ionomycin (Ca2+, horizontal gray bar). Extracellular [K+] was repeatedly changed between 2 and 30 mM as indicated above the graph. The currents were normalized to the basal value measured before the stimulation. D. TRESK current was stimulated with carbachol (50 µM) via endogenous muscarinic receptors. The pipette and bath solutions were Ca2+-free, containing 50 µM EGTA and no ATP/GTP. Normalized curves were plotted; for average current data of panel C and D see Figure S3.
Figure 2. The coexpression of MARK2 with TRESK accelerates the return of the background K+ current to the resting state after the calcium-dependent activation.A. Background K+ currents of Xenopus oocytes coexpressing mouse wild type TRESK with MARK2 kinase (MARK2, black curve) or expressing only the channel (control, gray curve) were stimulated with ionomycin (Iono., 0.5 µM, horizontal black bar). Extracellular [K+] was changed from 2 to 80 mM and back as indicated above the graph. Note that the resting K+ current (the difference between the currents in 2 and 80 mM [K+] at the beginning of the measurement) was smaller in the cells coexpressing MARK2 with TRESK than in the control oocytes, whereas the average peak currents after stimulation in the two groups were identical in this experiment. B. The recovery of the currents of each oocyte (the same cells as in panel A) was calculated as a percent. The K+ current of the oocytes coexpressing MARK2 with TRESK almost completely returned to the resting value in contrast to that of the control cells expressing only the channel. C. A similar experiment as in panel A was performed with oocytes coexpressing mouse TRESK and M1 muscarinic receptor with MARK2 (MARK2, triple coexpression, black curve) or without the kinase (control, gray curve). The cells were stimulated with carbachol (1 µM, as indicated by the horizontal black bar). D. Recovery data were calculated from the recordings represented in panel C. MARK2 accelerated the return of K+ current to the resting value after receptor stimulation. E. The same experiment as in panel A was performed with human TRESK. (For further comments on these results see Figure S5.) F. Recovery data were calculated from the currents of panel E. The recovery of human TRESK current to the resting state was accelerated by MARK2 after the calcium-dependent activation.
Figure 3. The coexpression of MARK2 accelerates the recovery of the K+ current of S264E mutant mouse TRESK after the stimulation with ionomycin.A. Average currents of two groups of oocytes coexpressing S264E mutant TRESK with MARK2 kinase (MARK2, black curve), or expressing only the S264E mutant channel (control, gray curve) were plotted. The cells were stimulated with ionomycin (Iono., 0.5 µM, as indicated by the horizontal black bar) in 80 mM extracellular [K+] (as shown above the graph). B. Recovery was calculated from the same recordings as in panel A. Note the accelerated recovery in the cells coexpressing MARK2 with the S264E mutant channel.
Figure 5. Microinjection of constitutively active MARK2 protein into Xenopus oocytes accelerates the recovery of TRESK current to the resting state after ionomycin-stimulation.The coexpression of a 14-3-3-insensitive, constitutively active form of MARK2, but not the kinase-dead version of the enzyme, inhibits TRESK. A. Xenopus oocytes coexpressing human TRESK with human 14-3-3η were microinjected with the constitutively active, partially 14-3-3-insensitive GST-MARK2-T208E,T539A kinase (caMARK2, black curve), or with the heat-inactivated form of the same protein (control, gray curve). The cells were stimulated with ionomycin as in Figure 2.A. The microinjection of the proteins was performed 144–169 min before the application of ionomycin. B. Average K+ current recoveries are shown at the end of the measurement in the groups introduced in panel A. Recovery in the group of oocytes microinjected with the active kinase (caMARK2) was significantly accelerated, compared the control oocytes (*p<0.002). C. Average currents of three groups of oocytes were compared. In the first group, mouse TRESK was coexpressed with 14-3-3-insensitive constitutively active MARK2 (caMARK2, MARK2-T208E,S400A,T539A construct, black curve,). In the second group, the channel was coexpressed with kinase-dead MARK2 (kdMARK2, MARK2-T208A,S212A,S400A,T539A construct, black curve). In the third group, only TRESK was expressed (control, gray curve). The experimental protocol was the same as in Figure 2.A. D. Average recoveries at 10 minutes in the three groups shown on panel C were plotted as indicated below the columns. The K+ current recovered more rapidly in the caMARK2 group than in the control or kdMARK2 cells (**p<10−5 for both comparisons with Student's t-test, which is significant at the p<0.05/3 limit according to Bonferroni correction.) The numbers in the bars in panel B and D indicate the number of measured oocytes.
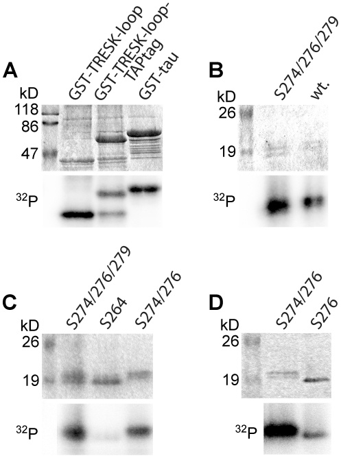
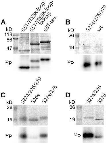
Figure 6. MARK2 directly phosphorylates the S274/276/279 cluster of mouse TRESK in vitro.A. GST-TRESKloop, GST-TRESKloop-TAPtag or GST-tau (positive control) fusion proteins were phosphorylated with constitutively active Trx-His6-MARK2-T208E in the presence of [γ−32P]ATP. The upper panel shows the SDS-PAGE gel stained with Coomassie Blue, whereas the autoradiogram of the same gel is on the lower panel. The two GST-fusion constructs containing amino acids 185–292 of mouse TRESK were labeled with 32P to a similar intensity as the GST-tau control (see the lower32P panel). In the GST-TRESKloop-TAPtag sample, an incompletely translated (or degradation) product (slightly larger than GST-TRESKloop in the other lane, see the upper panel) was also phosphorylated. B. Wild type TRESKloop-His8 (wt.) or the mutant version of this protein containing only S274, S276 and S279 (S274/276/279 lane) were phosphorylated with GST-MARK2-T208E. Note that the substrate containing only the three serines of the S274/276/279 cluster was also strongly labeled with 32P. C. The mutant TRESKloop-His8 substrates, containing only the serines indicated above the lanes, were phosphorylated with GST-MARK2-T208E. Both substrates retaining S274 and S276 (S274/276/279 and S274/276 lanes) were labeled with 32P, in contrast to the protein containing only serine 264 (S264 lane). D. The mutant TRESKloop-His8 substrates, containing both serine 274 and 276 (S274/276 lane) or only serine 276 (S276 lane) were phosphorylated with GST-MARK2-T208E. Note that the S276 substrate was labeled with 32P, although to a lesser extent than the protein retaining both S274 and S276.
Angrand,
Transgenic mouse proteomics identifies new 14-3-3-associated proteins involved in cytoskeletal rearrangements and cell signaling.
2006, Pubmed
Angrand,
Transgenic mouse proteomics identifies new 14-3-3-associated proteins involved in cytoskeletal rearrangements and cell signaling.
2006,
Pubmed
Barnes,
Establishment of axon-dendrite polarity in developing neurons.
2009,
Pubmed
Bautista,
Pungent agents from Szechuan peppers excite sensory neurons by inhibiting two-pore potassium channels.
2008,
Pubmed
Biernat,
Protein kinase MARK/PAR-1 is required for neurite outgrowth and establishment of neuronal polarity.
2002,
Pubmed
Böhm,
Mammalian homologues of C. elegans PAR-1 are asymmetrically localized in epithelial cells and may influence their polarity.
1997,
Pubmed
Chae,
Discrete change in volatile anesthetic sensitivity in mice with inactivated tandem pore potassium ion channel TRESK.
2010,
Pubmed
Chen,
Microtubule affinity-regulating kinase 2 functions downstream of the PAR-3/PAR-6/atypical PKC complex in regulating hippocampal neuronal polarity.
2006,
Pubmed
Czirják,
Phosphorylation-dependent binding of 14-3-3 proteins controls TRESK regulation.
2008,
Pubmed
,
Xenbase
Czirják,
TRESK background K(+) channel is inhibited by phosphorylation via two distinct pathways.
2010,
Pubmed
,
Xenbase
Czirják,
The two-pore domain K+ channel, TRESK, is activated by the cytoplasmic calcium signal through calcineurin.
2004,
Pubmed
,
Xenbase
Czirják,
Targeting of calcineurin to an NFAT-like docking site is required for the calcium-dependent activation of the background K+ channel, TRESK.
2006,
Pubmed
,
Xenbase
Dai,
Supramolecular assemblies and localized regulation of voltage-gated ion channels.
2009,
Pubmed
Dobler,
TRESK two-pore-domain K+ channels constitute a significant component of background potassium currents in murine dorsal root ganglion neurones.
2007,
Pubmed
,
Xenbase
Drewes,
MARK, a novel family of protein kinases that phosphorylate microtubule-associated proteins and trigger microtubule disruption.
1997,
Pubmed
Enyedi,
Molecular background of leak K+ currents: two-pore domain potassium channels.
2010,
Pubmed
Fink,
Cloning, functional expression and brain localization of a novel unconventional outward rectifier K+ channel.
1996,
Pubmed
,
Xenbase
Gerhold,
Molecular and cellular mechanisms of trigeminal chemosensation.
2009,
Pubmed
Gumy,
Transcriptome analysis of embryonic and adult sensory axons reveals changes in mRNA repertoire localization.
2011,
Pubmed
Huang,
Roles of TRESK, a novel two-pore domain K+ channel, in pain pathway and general anesthesia.
2008,
Pubmed
Hurov,
Atypical PKC phosphorylates PAR-1 kinases to regulate localization and activity.
2004,
Pubmed
Jin,
Proteomic, functional, and domain-based analysis of in vivo 14-3-3 binding proteins involved in cytoskeletal regulation and cellular organization.
2004,
Pubmed
Kang,
TREK-2 (K2P10.1) and TRESK (K2P18.1) are major background K+ channels in dorsal root ganglion neurons.
2006,
Pubmed
Kang,
Lamotrigine inhibits TRESK regulated by G-protein coupled receptor agonists.
2008,
Pubmed
Lafrenière,
A dominant-negative mutation in the TRESK potassium channel is linked to familial migraine with aura.
2010,
Pubmed
Lennertz,
Physiological basis of tingling paresthesia evoked by hydroxy-alpha-sanshool.
2010,
Pubmed
Liu,
Potent activation of the human tandem pore domain K channel TRESK with clinical concentrations of volatile anesthetics.
2004,
Pubmed
,
Xenbase
Matenia,
The tau of MARK: a polarized view of the cytoskeleton.
2009,
Pubmed
Mathie,
Ion channels as novel therapeutic targets in the treatment of pain.
2010,
Pubmed
Moravcevic,
Kinase associated-1 domains drive MARK/PAR1 kinases to membrane targets by binding acidic phospholipids.
2010,
Pubmed
Sano,
A novel two-pore domain K+ channel, TRESK, is localized in the spinal cord.
2003,
Pubmed
Sapir,
Antagonistic effects of doublecortin and MARK2/Par-1 in the developing cerebral cortex.
2008,
Pubmed
Schachter,
HEK293 human embryonic kidney cells endogenously express the P2Y1 and P2Y2 receptors.
1997,
Pubmed
Shelly,
Role of LKB1-SAD/MARK pathway in neuronal polarization.
2011,
Pubmed
Smith,
Calcineurin as a nociceptor modulator.
2009,
Pubmed
Suzuki,
aPKC acts upstream of PAR-1b in both the establishment and maintenance of mammalian epithelial polarity.
2004,
Pubmed
Terabayashi,
Polarity-regulating kinase partitioning-defective 1/microtubule affinity-regulating kinase 2 negatively regulates development of dendrites on hippocampal neurons.
2007,
Pubmed
Timm,
MARKK, a Ste20-like kinase, activates the polarity-inducing kinase MARK/PAR-1.
2003,
Pubmed
Trinczek,
MARK4 is a novel microtubule-associated proteins/microtubule affinity-regulating kinase that binds to the cellular microtubule network and to centrosomes.
2004,
Pubmed
Tulleuda,
TRESK channel contribution to nociceptive sensory neurons excitability: modulation by nerve injury.
2011,
Pubmed
Uboha,
A calcium- and calmodulin-dependent kinase Ialpha/microtubule affinity regulating kinase 2 signaling cascade mediates calcium-dependent neurite outgrowth.
2007,
Pubmed
Watkins,
Phosphorylation of the Par-1 polarity kinase by protein kinase D regulates 14-3-3 binding and membrane association.
2008,
Pubmed
Yoo,
Regional expression of the anesthetic-activated potassium channel TRESK in the rat nervous system.
2009,
Pubmed