Click here to close
Hello! We notice that you are using Internet Explorer, which is not supported by Xenbase and may cause the site to display incorrectly.
We suggest using a current version of Chrome,
FireFox, or Safari.
???displayArticle.abstract???
The tadpolepancreas has differentiated acinar cells but an underdeveloped ductal system. At the climax of metamorphosis thyroid hormone (TH) induces the tadpole acinar cells to dedifferentiate to a progenitor state. After metamorphosis is complete the exocrine pancreas redifferentiates in the growing frog forming a typical vertebrate pancreas including a complex ductal system. A micro array analysis found that TH up regulates stromelysin 3 (ST3, matrix metalloproteinase 11) in the exocrine pancreas at metamorphic climax. Transgenic tadpoles were prepared with an elastase promoter driving either the ST3 gene or the constitutively active form of Notch (IC). Expression of the transgenes was controlled by the tetracycline system. A few days after either of these transgenes is activated by doxycycline the pancreatic acinar cells turn into duct-like cells. This transdetermination occurs without cell division since both acinar and ductal markers can be visualized transiently in the same cell. We propose that remodeling of the tadpole acinar cells is initiated when ST3 is up regulated by TH. Stromelysin-3 then cleaves and activates Notch.
Fig. 1. Expression of stromelysin-3 (ST3) in the pancreas during metamorphosis. A) ST3 mRNA was measured during spontaneous and induced metamorphosis in Xenopus laevis. ST-
3 mRNA is undetectable during pre and pro-metamorphic period as well as in the adult pancreas. However ST3 expression is induced at the climax of metamorphosis (NF62) when
endogenous TH is the highest. Addition of 10 nM T3 induces ST-3 mRNA. Pro-MM is NF58; pre-MM is NF 54â55; B) Control section of an NF55 tadpolepancreas stained with ST3
antiserum; C) ST3 protein is highly up regulated in the pancreas at NF62. Scale bar=20 μm.
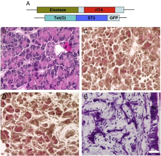
Fig. 2. Induction of ST3 mRNA in pancreas causes a morphological change. A) Two plasmids were used for transgenesis. The pancreas specific elastase promoter drives rtTA.
Expression of ST3 is controlled by the Tet (O) promoter. Premetamorphic transgenic animal were exposed to doxycycline. Histological sections of the pancreas, stained with H and E
demonstrate the morphological changes of the exocrine pancreas with time. B) Acinar cells are compactly arranged in non-induced control NF55 tadpoles. C) Some loss of the acinar
structure is observed after day 2 of exposure; D) more advanced changes after 4 days. E) After 8 days of induction with doxy duct-like structures have replaced acini. Scale bar 20 μm.
Fig. 3. Acinar cells transdifferentiate to duct-like cells in a transgenic pancreas induced to express ST3. (See A of Fig. 2 for the two constructs). The sections are double labeled with
antibodies against carbonic anhydrase-II (CA-2) (green) a specific duct cell marker, and amylase (red) an acinar-specific marker. A) premetamorphic control tadpole, B) control adult
frog. A premetamorphic (NF55) transgenic tadpole was induced with tetracycline for C) 2 days, D) 4 days, and E) 8 days. The dotted square in D is magnified in F and G to
demonstrate that CA-2 and amylase are expressed in the same cells. At 8 days of exposure amylase can no longer be detected, and the total number of cells has decreased. The arrows
indicate cells that express both amylase and carbonic anhydrase. Scale bar 20 μm.
Fig. 4. Induction of activated Notch mRNA in the exocrine tadpolepancreas. A) Transgenic tadpoles were prepared with two constructs designed to express Notch IC under the
control of the exocrine elastase promoter and inducible by doxycycline. Premetamorphic (NF55) transgenic animals were exposed to doxycycline for 8 days. B and C are adjacent
sections. B) H and E section of pancreas showing the morphological changes of acinar cells into duct cells after 8 days of exposure. C) Immunohistochemistry showing unchanged
insulin positive cells (arrow, stained red). D) carbonic anhydrase II (green) that is specific for duct cells and E) amylase (red) that detects an enzyme specific for acinar cells. D and E
are sequential sections. All the duct-like structures seen in B are positive for both antibodies. Scale bar 20 μm.
Beck,
Gut specific expression using mammalian promoters in transgenic Xenopus laevis.
1999, Pubmed,
Xenbase
Beck,
Gut specific expression using mammalian promoters in transgenic Xenopus laevis.
1999,
Pubmed
,
Xenbase
Berry,
The expression pattern of thyroid hormone response genes in the tadpole tail identifies multiple resorption programs.
1998,
Pubmed
,
Xenbase
Bockman,
Morphology of the exocrine pancreas related to pancreatitis.
,
Pubmed
Brou,
A novel proteolytic cleavage involved in Notch signaling: the role of the disintegrin-metalloprotease TACE.
2000,
Pubmed
Cai,
Expression of type II iodothyronine deiodinase marks the time that a tissue responds to thyroid hormone-induced metamorphosis in Xenopus laevis.
2004,
Pubmed
,
Xenbase
Crawford,
Matrix metalloproteinase-7 is expressed by pancreatic cancer precursors and regulates acinar-to-ductal metaplasia in exocrine pancreas.
2002,
Pubmed
Das,
Expression of matrix metalloproteinases and tissue inhibitors of metalloproteinases in the mouse uterus during the peri-implantation period.
1997,
Pubmed
Das,
Gene expression changes at metamorphosis induced by thyroid hormone in Xenopus laevis tadpoles.
2006,
Pubmed
,
Xenbase
Das,
Controlling transgene expression to study Xenopus laevis metamorphosis.
2004,
Pubmed
,
Xenbase
De La O,
Notch and Kras reprogram pancreatic acinar cells to ductal intraepithelial neoplasia.
2008,
Pubmed
Fu,
A causative role of stromelysin-3 in extracellular matrix remodeling and epithelial apoptosis during intestinal metamorphosis in Xenopus laevis.
2005,
Pubmed
,
Xenbase
Ghosh,
Interactions between hairy/enhancer of split-related proteins and the pancreatic transcription factor Ptf1-p48 modulate function of the PTF1 transcriptional complex.
2006,
Pubmed
Huang,
Metamorphosis is inhibited in transgenic Xenopus laevis tadpoles that overexpress type III deiodinase.
1999,
Pubmed
,
Xenbase
Jensen,
Recapitulation of elements of embryonic development in adult mouse pancreatic regeneration.
2005,
Pubmed
Kovall,
More complicated than it looks: assembly of Notch pathway transcription complexes.
2008,
Pubmed
Kroll,
Transgenic Xenopus embryos from sperm nuclear transplantations reveal FGF signaling requirements during gastrulation.
1996,
Pubmed
,
Xenbase
Kruse,
An endocrine-specific element is an integral component of an exocrine-specific pancreatic enhancer.
1993,
Pubmed
Lefebvre,
Developmental expression of mouse stromelysin-3 mRNA.
1995,
Pubmed
Leone,
Ultrastructural analysis of some functional aspects of Xenopus laevis pancreas during development and metamorphosis.
1976,
Pubmed
,
Xenbase
Löhr,
Immortalized bovine pancreatic duct cells become tumorigenic after transfection with mutant k-ras.
2001,
Pubmed
Maake,
An immunohistochemical and morphometric analysis of insulin, insulin-like growth factor I, glucagon, somatostatin, and PP in the development of the gastro-entero-pancreatic system of Xenopus laevis.
1998,
Pubmed
,
Xenbase
Mathew,
Differential regulation of cell type-specific apoptosis by stromelysin-3: a potential mechanism via the cleavage of the laminin receptor during tail resorption in Xenopus laevis.
2009,
Pubmed
,
Xenbase
Motrescu,
Cancer cells, adipocytes and matrix metalloproteinase 11: a vicious tumor progression cycle.
2008,
Pubmed
Mukhi,
Gene switching at Xenopus laevis metamorphosis.
2010,
Pubmed
,
Xenbase
Mukhi,
Remodeling of insulin producing beta-cells during Xenopus laevis metamorphosis.
2009,
Pubmed
,
Xenbase
Mukhi,
Remodeling the exocrine pancreas at metamorphosis in Xenopus laevis.
2008,
Pubmed
,
Xenbase
Rao,
Induction of hepatocytes in the pancreas of copper-depleted rats following copper repletion.
1986,
Pubmed
Rooman,
Expression of the Notch signaling pathway and effect on exocrine cell proliferation in adult rat pancreas.
2006,
Pubmed
Rooman,
Mitogenic effect of gastrin and expression of gastrin receptors in duct-like cells of rat pancreas.
2001,
Pubmed
Sawey,
Matrix metalloproteinase 7 controls pancreatic acinar cell transdifferentiation by activating the Notch signaling pathway.
2007,
Pubmed
Schreiber,
Remodeling of the intestine during metamorphosis of Xenopus laevis.
2005,
Pubmed
,
Xenbase
Schreiber,
Cell-cell interactions during remodeling of the intestine at metamorphosis in Xenopus laevis.
2009,
Pubmed
,
Xenbase
Shi,
The earliest changes in gene expression in tadpole intestine induced by thyroid hormone.
1993,
Pubmed
,
Xenbase
Shi,
Developmental and thyroid hormone-dependent regulation of pancreatic genes in Xenopus laevis.
1990,
Pubmed
,
Xenbase
Tezel,
REG I as a marker for human pancreatic acinoductular cells.
2004,
Pubmed
Wang,
Thyroid hormone-induced gene expression program for amphibian tail resorption.
1993,
Pubmed
,
Xenbase
Wang,
Duct- to islet-cell differentiation and islet growth in the pancreas of duct-ligated adult rats.
1995,
Pubmed
Yuan,
Transdifferentiation of human islets to pancreatic ductal cells in collagen matrix culture.
1996,
Pubmed