|
Figure 2. At early embryonic stages heparanase immunoreactivity is present in the jelly coat, the plasma membrane and in proximity to the DNA within the cell. Immunohistochemistry with the antibody against Xenopus heparanase (αXHpa) of cryostat sections from fertilized single cell (A), two-cell stage (B), and stage 6 (C) embryos. A: Fertilized eggs treated with or without L-cysteine to remove the jelly coat. Immunostaining is present in the external layer of the jelly coat and the cell membrane (arrowhead), with an intense intracellular immunoreactive region (arrow). B,C: Immunohistochemistry of transverse cryostat sections of two-cell stage and stage 6 embryos with the αXHpa antibody and the nuclear DNA labeled with DAPI (4â²,6-diamidine-2-phenylidole-dihydrochloride). Panels with a merge of the two labels are also shown. Scale bar = 100 μm.Download figure to PowerPoint
|
|
Figure 3. Nuclear and plasma membrane immunolocalization of heparanase at the early gastrulae stage. Immunolabeling with the αXHpa antibody of stage 10 whole-mount embryos (A,B) and a transverse cryostat section (C). A: View of vegetal pole. B: View of animal pole. C: Blastopore oriented to the right. Higher magnification panels of the boxed regions are show at the right (Aâ²âCâ²). Note the nuclear and plasma membrane (arrowheads) staining of cells in the outer epithelial cell layer (Câ²). The blastocoel (Bl), the mesoderm (Me), and the neurectoderm (NE) that overlies the mesoderm and develops into neuronal tissue, are indicated.Download figure to PowerPoint
|
|
Figure 4. Heparanase expression during neurulation, organogenesis, and in tailbud embryos. Immunohistochemistry of whole embryos (A,DâG) and sections (B,C) at different stages of development using the αXHpa antibody. A: Dorsal view of a stage 20 embryo (anterior up). B,C: Transverse sections of tadpole stage embryos (dorsal up). DâG: Lateral (D,E), ventral (F), and dorsal (G) views of tadpole stage embryos. A higher magnification view of D is shown in E. C, cloaca; E, eye; G, gill; Gn, ganglion; H, heart; Kpd, kidney pronephric duct; Kpt, kidney pronephric tubule; L, liver; OP, olfactory placode; OV, otic vesicle; PG, pineal gland; Rh, rhombencephalon; S, somites; NT, neural tube; Te, tectum.Download figure to PowerPoint
|
|
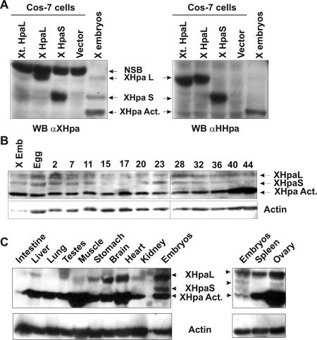
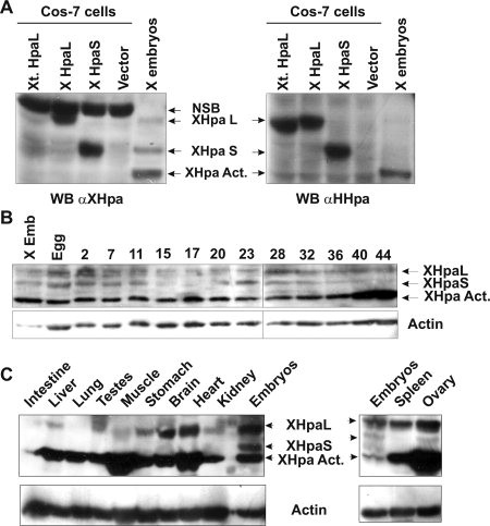
Figure 1. Levels of XHpaL, XHpaS, and mature active heparanase (XHpa Act) change during development. The antibody against Xenopus heparanase recognizes XHpaL, XHpaS, and XHpa Act. A: COS-7 cells were transfected with plasmids containing HpaL from Xenopus tropicalis (xt HpaL), and xHpaL and xHpaS from Xenopus laevis, or an empty control vector. Thirty hours after transfection, protein extracts from COS-7 cells (40 μg) or from Xenopus embryos at different stages (lyses of a mix of embryos between stages 42; 150 μg) were analyzed by Western blot by using a polyclonal antibody against X. laevis heparanase (αXHpa) or a monoclonal anti-human heparanase antibody (αHHpa). NSB, nonspecific band detected in COS-7 cells with the anti-rabbit secondary antibody. B,C: Western blot analysis of protein extracts from whole embryos at different stages of development (B), and organs from adult frogs (C), using the αXHpa antibody. Detection of β-Actin was used as the equal loading control.
|
|
Figure 5. Cloning and identification of a functional promoter upstream of the XHpa gene. A: A schematic representation of the 2.1 kb of the 5′ region of xHpa gene, containing exon 1 and 2 (black rectangles) and intron 1 (gray rectangle) cloned into the luciferase reporter construct. Two Xenopus cell lines (A6 and XTC), as well as a rat (PC12) and monkey (COS-7) cell line, were transiently co-transfected with the luciferase xHpa and renilla constructs. Cells were lysed 306 hr after transfection, and luciferase and renilla activities were determined from triplicate wells. The ratio of luciferase / renilla activity was determined for each well and is expressed as fold induction relative to the empty luciferase reporter construct, pGL3 basic. Results of three independent experiments are shown. Bars reflect means SEM. B: reverse transcriptase-polymerase chain reaction products for xHpaL, xHpaS, and ef1α generated from total cDNA obtained from XTC and A6 cells. Polymerase chain reaction amplification products generated from xHpaL and xHpaS DNA constructs are shown as positive controls.
|
|
Figure 7. Identification of two functional promoters in the Xenopus Hpa gene. A, Left: Schematic representation of the fragments of the 5â²-flanking regions of the Xenopus Hpa gene fused to the firefly luciferase cDNA and inserted into the pGL3 basic vector. The first two exons (filled box) are indicated, and the numbers are relative to from the ATG codon that translates to the first methionine (+1) localized in exon 2. The promoters, one localized upstream of exon 1 (P1) and the other in the intron (P2), are represented as vertical gray rectangles. A6 and XTC cells were co-transfected with the indicated Xenopus reporter gene constructs and a renilla control plasmid. Cells were lysed 306 hr after transfection, and luciferase and renilla activities were determined from triplicate wells. Xenopus embryos were microinjected into both cells at the two-cell stage with renilla and luciferase constructs, and activity measured from lysed embryos at stage 10. A, Right: Luciferase data were normalized to the renilla activity, and are graphically presented as the ratio relative to the activity of the pGL3 basic construct without promoter. The diagram integrates results of 3 independent experiments. Bars reflect means SEM. B, Left: Schematic representation of Xenopus (X) and human (H) constructs containing the 5â² flanking region of the hpa gene fused to firefly luciferase cDNA. The Sp1 and ERE sites present in the human sequence are shown. B, Right: COS-7 cells were co-transfected with the corresponding Xenopus (open boxes) or human (filled boxes) luciferase and renilla constructs and analyzed as indicated in A. *P < 0.01 vs. control pGL3 basic construct; #P < 0.01 vs. â2199:â55 construct; tP < 0.01 vs. constructs containing P1 and P2, or P2 alone.
|
|
Figure 8. Oct-25 and Oct-60 stimulate heparanase expression. A: Embryos were microinjected in both cells at the two-cell stage with a renilla construct and the wild-type (wt) Hpa promoter â2119: â55 driving the expression of luciferase, or the Hpa promoter construct mutated in the Oct-binding site 4 (located in promoter 1) or Oct-binding site 1 (located in promoter 2), or both sites. The luciferase and renilla activity was measured from lysed embryos at stage 12. Luciferase data were normalized to the renilla activity, and are graphically presented as the ratio relative to the activity of the pGL3 basic construct without promoter. B: Basic pGL3-vector or Hpa promoter â2119: â55 driving luciferase expression were co-injected into both cells of the two-cell stage embryo either with an empty pCS2-vector (vector), or pCS2 expression vectors for Oct-25, Oct-60, or Oct-91. Luciferase data were normalized to the renilla activity, and are graphically presented as the ratio relative to the activity of the pGL3 basic construct without promoter. For both A and B, graphs show integrated results of two independent experiments. Bars reflect means SEM. *P < 0.01 vs. wt promoter â2119: â55.
|
|
Figure 9. Promoter 1 and promoter 2 have distinct functional activities in different tissues. A: Schematic depicting the two tissue targeting approaches used to analyze the functionality of the different xHpa promoter constructs in Xenopus tadpoles. At stage 27, eye or brain was selectively electroporated with luciferase reporter constructs, together with renilla and GFP expression vectors to confirm the correct targeting. Reporter activity was measured at stage 37/38. A picture of two embryos from a â473: â331 group electroporated into either the eye (top) or the brain (bottom) are shown. B: Constructs containing P1, P2 or both P1 and P1 promoters were electroporated into the brain or the eye as explained in A. C: Heparanase promoter â2119: â55 (wt) driving luciferase expression, or mutated either in the Oct-binding site 4 (P1 mutated) or Oct-binding site 1 (P2 mutated, or both, was co-electroporated with an empty vector or expression vectors for Oct-25, Oct-60, or Oct-91. B,C: Five high-expressing embryos in each group were lysed and analyzed. The ratio of luciferase / renilla activity was determined for each embryo, and is expressed as fold induction relative to embryos electroporated with an empty luciferase reporter construct, pGL3 basic. Results of two independent experiments are shown. Bars reflect means SEM. *P < 0.01 vs. control pGL3 basic construct (in B) and vs. vector (in C); tP < 0.05 vs. construct â224: â55; #P < 0.01 vs. construct â473: â55.
|
|
hpse(heparanase) gene expression in Xenopus laevis embryo, assayed via in situ hybridization, NF stage 42, lateral view, anterior left, dorsal up.
|