|
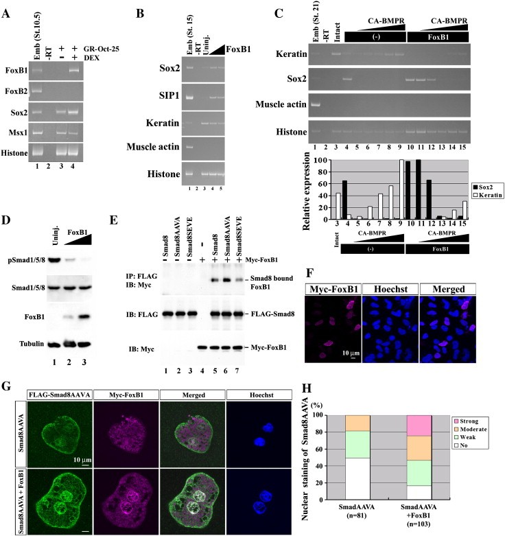
Fig. 1. Xenopus FoxB1, acting downstream of Oct-25, promotes neural induction and suppresses BMP-dependent epidermal differentiation. (A) The expression of Xenopus FoxB1 is activated by the Oct-25 transcription factor. GR-Oct-25 mRNA (1000 pg) was injected into the animal pole of 4-cell stage embryos. Ectodermal explants were isolated at the blastula stage, treated with or without dexamethazone (DEX) to activate Oct-25, cultured until the early gastrula stage (st. 10.5), and analyzed by semi-quantitative RT-PCR. Emb and âRT indicate whole embryo RNA processed in the presence or absence of reverse transcriptase, respectively. Histone was used as a loading control. (B) Overexpression of FoxB1 promotes neural induction and inhibits epidermal differentiation. GR-FoxB1 mRNA (500 pg and 1000 pg) was injected into the animal pole of 4- to 8-cell stage embryos. Ectodermal explants were isolated at the blastula stage, treated with DEX to activate FoxB1 and cultured until early neurula stage (st. 15). The expression of marker genes was determined by semi-quantitative RT-PCR. FoxB1 induced the expression of neural markers Sox2 and SIP1 with a moderate reduction in the expression of epidermal keratin (lanes 4 and 5). Expression of the mesodermal marker muscle actin was not induced by FoxB1 activation. (C) FoxB1 inhibits epidermal keratin gene expression induced by a constitutively activated BMP type I receptor (CA-BMPR) and promotes Sox2 gene expression. The changes in the gene expression profile were determined by semi-quantitative RT-PCR (upper panel) and further confirmed by quantitative real-time PCR (QPCR) (lower panel) using the same RNA samples shown in the upper panel. Increasing amounts of CA-BMPR mRNA (9, 19, 38, 75 and 150 pg) were injected alone or together with GR-FoxB1 mRNA (1000 pg) into the animal pole of 2-cell stage embryos. Ectodermal explants were isolated at the blastula stage, and dissociated for 6.5 h (lanes 4â15). Cells were treated with DEX to activate FoxB1 during the dissociation, reaggregated and cultured until neurula stages (st. 21). âIntactâ indicates intact ectodermal cells obtained from uninjected embryos. The QPCR data are shown as arbitrary units normalized to ornithine decarboxylase (ODC) gene expression. (D) FoxB1 decreases endogenous levels of phosphorylated Smad1/5/8 in Xenopus ectodermal cells. Increasing amounts of GR-FoxB1 mRNA (500 pg and 1000 pg) were injected into the animal pole of 4- to 8-cell stage embryos. Embryos were treated with DEX and ectodermal explants were isolated at the blastula stage, cultured until the early gastrula stage (st. 10.5). Whole cell lysates from explants were immunoblotted with anti-phospho Smad1/5/8, anti-Smad1/5/8, anti-HA and anti-Tubulin antibodies, respectively. GR-FoxB1 was tagged at the C-terminus with the HA epitope. Tubulin was used as a loading control. (E) FoxB1 interacts preferentially with a non-phosphorylatable mutant form of Smad8 (Smad8AAVA) rather than a phospho-mimicking mutant form of Smad8 (Smad8SEVE) and wild-type Smad8. HeLa cells were transfected with the indicated combination of expression constructs (Myc-tagged FoxB1 and different constructs of Flag-tagged Smad8). The Flag-tagged Smad8 constructs were immunoprecipitated (IP) from transfected cells with anti-FLAG antibodies, and the immunoprecipitates were then immunoblotted (IB) with anti-Myc antibodies (top panel). Input extracts were immunoblotted with the indicated antibodies (the lower two panels). (F) Wild-type FoxB1 is localized to the nucleus of HeLa cells. Transfected cells with Myc-FoxB1 DNA were immunostained with anti-Myc antibody (magenta, left panel). Nuclei were visualized with Hoechst 33342 (blue, middle panel). The merged image is shown in the right panel. Scale bar, 10 μm. (G) Effect of FoxB1 on the subcellular localization of Smad8AAVA in Xenopus ectodermal cells. Dissociated ectodermal cells from embryos injected with FLAG-Smad8AAVA mRNA alone (top panel) or both FLAG-Smad8AAVA and Myc-GR-FoxB1 mRNA (lower panel), were immunostained with anti-FLAG (green) and anti-Myc (magenta) antibodies. Nuclei were visualized with Hoechst 33342 (blue). In the absence of FoxB1, Smad8AAVA was localized to both the cytoplasm and nucleus (upper panels), whereas Smad8AAVA together with FoxB1 accumulated in the nucleus (lower panels). Scale bar, 10 μm. (H) Summary of data from independent experiments presented in (G). The intensity of FLAG-Smad8AAVA staining in the nucleus was compared with that in the cytoplasm and scored as follows: no (no significant difference to that in the cytoplasm), weak, moderate, or strong nuclear staining. Numbers of Smad8AAVA-positive cells analyzed in independent fields are indicated below the bars.
|
|
Fig. 2. FoxB1 cooperates with inhibition of BMP signaling to promote commitment to neural fate at the expense of epidermal fate. (AâF) FoxB1 cooperates with the inhibition of BMP signaling (dominant negative BMP receptor, delta-BMPR) to expand the expression of the neural plate marker Sox2 (arrowheads, C) at the expense of epidermal keratin expression (arrowheads, D). Together with beta-galactosidase (beta-gal) mRNA, GR-FoxB1 (250 pg) and delta-BMPR mRNA (125 pg) were injected unilaterally into both dorsal and ventral animal blastomeres of 8-cell stage embryos as indicated. The expression of Sox2 (A, C, and E) and epidermal keratin (B, D, and F) analyzed by in situ hybridization is shown in purple and beta-gal is stained in red. The injected side of the embryo is indicated by brackets. All panels show dorsal views with posterior to the top. (G) FoxB1 and delta-BMPR cooperatively expand the expression domain of Sox2. Summary of phenotypes shown in (A), (C) and (E). Each experiment was repeated more than twice and gave similar results. (H) FoxB1 and delta-BMPR do not cooperatively expand the expression domain of En2. Photographs of stained embryos are not presented.
|
|
Fig. 3. FoxB1 cooperates with FGF signaling to promote neural development. (AâI) FoxB1 cooperates with eFGF to promote neural induction and posterior neural formation. Together with β-gal mRNA, GR-FoxB1 (250 pg) and eFGF mRNA (0.25 pg) were injected unilaterally into both dorsal and ventral animal blastomeres of 8-cell stage embryos as indicated. The expression of neural markers Sox2 (neural plate; A, D and G), En2 (midbrainâhindbrain boundary; B, E, and H), and HoxB9 (spinal cord; C, F and I) analyzed by in situ hybridization is shown in purple and β-gal is stained in red. The embryos injected with both GR-FoxB1 and eFGF mRNA displayed a more pronounced expansion of Sox2, En2 and HoxB9 expression (arrowheads in D, E and F, respectively), compared to embryos injected with either mRNA alone (AâC and GâI). The injected side of the embryo is indicated by brackets. All panels show dorsal views with posterior to the top, except for En2 (B, E, and H) where the anterior (front) view with dorsal to the top is shown. (JâL) Summary of phenotypes shown in (A)â(I). FoxB1 and eFGF cooperatively expand expression domains of Sox2 (J), En2 (K) and HoxB9 (L) genes. Each experiment was repeated more than twice and gave similar results.
|
|
Fig. 5. FoxB1 is required for the formation of posterior neural tissue and the suppression of anterior tissue. (AâN) Together with β-gal mRNA, either Control MO (34 ng, left columns) or FoxB1 MO (34 ng, right columns) were injected unilaterally into the 2-cell stage embryos. The expression of Otx2 (fore- and mid-brain; A and B), Rx2A (retina; C and D), En2 (mid-hindbrain boundary; E and F), Krox20 (hindbrain; G and H), HoxB9 (spinal cord; I-Jâ²), HoxC6 (spinal cord; K and L), and MyoD (paraxial mesoderm; M and N) genes analyzed by in situ hybridization is shown in purple and β-gal is stained in red. In embryos injected with FoxB1 MO, the expression of Otx2, Rx2A, En2 and Krox20 (corresponding to rhombomere 3) on the injected side was expanded (arrowheads; B, D, F and H) and the expression of HoxB9 (J and Jâ²) and HoxC6 (L) was decreased and shifted posteriorly (the horizontal lines mark approximate anterior limits of the expression). The expression pattern of MyoD was not significantly affected by FoxB1 MO (N). The injected side of the embryo is indicated by brackets. AâH: anterior (front) view with dorsal to the top; IâN: dorsal view with posterior to the top. (O and P) Expression of anteriorâposterior marker genes in dorsal ectodermal explants. Embryos were injected with Control or FoxB1 MO (34 ng/blastomere) at 2-cell stage and cultured until late gastrula stage (st. 12.5). Dorsal ectodermal explants were isolated from a presumptive posterior neural plate region indicted by a black square (O). The isolated explants were cultured until the neurula stage (st. 21) and analyzed by QPCR (P). The relative level of expression (arbitrary units) normalized to ODC expression is shown for each gene. Each experiment was repeated more than twice and gave similar results. (Q-Xâ²) FoxB1 acts together with Wnt and FGF signaling to promote posterior neural development. Together with β-gal mRNA, the 2-cell stage embryos were injected unilaterally with a mixture of MO and mRNA or DNA as indicated: FoxB1 MO alone (34 ng; Q and Qâ²); FoxB1 MO with Nmut-FoxB1 mRNA (1000 pg; RâSâ²), XWnt-8 DNA (500 pg; U and Uâ²), eFGF mRNA (1 pg; V and Vâ²) or both XWnt-8 DNA (500 pg) and eFGF mRNA (1 pg; W and Wâ²); Control MO (34 ng) with eFGF mRNA (1 pg; X and Xâ²). Expression of the HoxB9 gene analyzed by in situ hybridization is shown in purple and β-gal is stained in red. Nmut-FoxB1 partially but significantly rescued the reduction of HoxB9 expression by FoxB1 MO (horizontal lines, compare Qâ² with Râ² and Sâ²). Moreover, in embryos injected with FoxB1 MO and XWnt-8 DNA, the expression of HoxB9 was rescued partially (horizontal lines, Uâ²) and coexpression of XWnt-8 and eFGF showed slightly better rescuing activities (W and Wâ²). eFGF alone (1 pg; V and Vâ²) was not able to rescue the expression of HoxB9 in the anteriorâposterior (AP) direction. In some embryos, HoxB9 expression was even expanded in the dorsal-ventral (DV) direction (arrowheads, SâX). The injected side of the embryo is indicated by brackets. All panels show dorsal views with posterior to the top. (Y) Summary of phenotypes obtained from several experiments shown in (I)â(Jâ²) and (Q)â(Xâ²). The degree of recovery in the HoxB9 expression domains was scored according to the direction of change along the AP or DV axis as shown in (T), and categorized into three types: reduced along the AP axis (AP reduced), reduced along the AP axis with expansion along the DV axis (AP reduced/DV expanded), and expansion along the DV axis (DV expanded). Numbers of embryos per experimental group are indicated above the bars.
|
|
Fig. 7. FoxB1 collaborates with Oct-25 in the process of neural induction. (AâH) FoxB1 acts together with Oct-25 to promote neural development. Together with β-gal mRNA, FoxB1 MO (34 ng; A and B), Oct-25 MO (8.6 ng; E and F), or a combination of both MOs (C and D) were injected unilaterally into both dorsal and ventral animal blastomeres of 8-cell stage embryos. Total amount of injected MO (42.6 ng per embryo) was adjusted by adding Control MO in each experimental group. For rescue experiments, a mixture of MOs and either Nmut-FoxB1 (1000 pg; G) or δBMPR mRNA (1000 pg; H) was injected as described above. Inhibition of both FoxB1 and Oct-25 function resulted in a marked reduction in the expression of Sox2 (arrowheads, C), and also caused the expression of epidermal keratin to extend into neural plate territory (arrowheads, D). Expression of Sox2 (A, C, E, G and H) and epidermal keratin (B, D and F) analyzed by in situ hybridization is shown in purple and β-gal is stained in red. The injected side of the embryo is indicated by brackets. A, C, E, G and H: dorsal views with posterior to the top; B, D and F: anterior (front) view with dorsal to the top. (I) FoxB1 is in part required for neuralization of the ectoderm by Oct-25. A mixture of mRNA and MOs was injected into animal poles at the 4-cell stage: GR-Oct-25 mRNA (1000 pg), Nmut-FoxB1 mRNA (500 pg), Control MO (68 ng), and FoxB1 MO (68 ng). Ectodermal explants were isolated at the blastula stage, treated with DEX to activate Oct-25 and cultured until early neurula (st. 16) or late neurula stage (st. 23). The QPCR data are shown as arbitrary units normalized to ODC expression. (J) FoxB1 and Oct-25 form a regulatory network essential for neural induction processes, which resembles the motif of feed-forward loop networks (K). See Discussion for details.
|
|
Fig. 6b. FoxB1 suppresses anterior development via the expression of Wnt and FGF ligands. (Lâ²) FoxB1 expands the expression domain of Wnt and FGF ligand genes in embryos. Together with β-gal mRNA, GR-FoxB1 mRNA (500 pg) was injected unilaterally into both dorsal and ventral animal blastomeres of 8-cell stage embryos. The expression of XWnt-8 (Lâ²; st. 15/16), eFGF (M; st. 15/16), FGF3 (N and Nâ²; st. 12.5) or FGF8 (O and Oâ²; st. 12.5) analyzed by in situ hybridization is shown in purple and β-gal is stained in red. Upon overexpression of FoxB1, the expression of XWnt-8 expands laterally and ventrally around the posterior part of the embryo (arrowheads, L and Lâ²). The expression of FGF ligands was also found to be expanded (arrowheads, Mâ²). The injected side of the embryo is indicated by brackets. L, M, N, and O: posterior views with dorsal to the top; Nâ² and Oâ²: dorsal view of (N) and (O), respectively, with anterior to the top; Lâ²: lateral view of (L) with anterior to the left; Lâ²: lateral view of (L) with anterior to the right. (P) FoxB1 requires the function of XWnt-8 and FGF ligands for suppression of anterior structures. GR-FoxB1 mRNA (500 pg) in combination with the indicated MOs (40 ng total per embryo) were injected into four animal blastomeres of 4-cell stage embryos. Suppression of the cement glands in FoxB1-overexpressing embryos was rescued efficiently by XWnt-8 MO. In contrast, the efficiency of eFGF MO was significantly less than that of XWnt-8 MO, and FGF3 MO showed a limited effect. (V) Summary of phenotypes shown in (P)U). (W) Summary of defects in the expression of retinal marker Rx2A. XWnt-8 MO reverses the defects in Rx2A expression caused by FoxB1 overexpression. While neither FGF3 MO nor a combination of all three MOs shows significant effects, eFGF MO has a weak rescue activity.
|
|
Fig. 6. FoxB1 suppresses anterior development via the expression of Wnt and FGF ligands. (Aâ²) Overexpression of FoxB1 results in the suppression of anterior structures such as the cement glands and eyes. GR-FoxB1 mRNA (250 pg; B and Bâ²) were injected into four animal blastomeres of 4- to 8-cell stage embryos. Injected embryos were cultured until the tailbud stage. All panels show anterior to the left. (C) Suppression of the cement glands in embryos overexpressing FoxB1 was rescued by the inhibition of Wnt signaling. Uninjected control embryos are shown in (C). GR-FoxB1 mRNA (500 pg) was injected with (E) or without (D) Dkk mRNA (50 pg) into four animal blastomeres of 4-cell stage embryos. All panels show anterior (front) views with dorsal to the top. (F) Summary of phenotypes observed in the experiment shown in (C)E). (G) Inhibition of the Wnt pathway partially rescues defects in the expression of the retinal marker Rx2A gene caused by FoxB1 overexpression. Neurula stage embryos were injected with GR-FoxB1 mRNA (500 pg; H) alone or together with Dkk mRNA (50 pg; I) into the animal poles of 4-cell stage embryos. An uninjected control embryo is shown in (G). The expression of Rx2A gene analyzed by in situ hybridization is shown in purple. All panels show anterior (front) views with dorsal to the top. (J) Summary of phenotypes shown in (G)I). (K) FoxB1 promotes the expression of Wnt and FGF ligand genes in ectodermal explants. GR-FoxB1 mRNA (500 pg) was injected into the animal pole of 4- to 8-cell stage. Ectodermal explants were isolated at the blastula stage, treated with DEX to activate FoxB1 and cultured until gastrula (st. 12.5) or early neurula stage (st. 15/16). The relative level of expression of each gene (normalized to ODC expression) was quantified by QPCR.
|