|
igure 1.
Skin regeneration and wound healing in Xenopus froglets. Skin wound in limb (a) and trunk (b) immediately after surgery (0 hours). Limb (c) and trunk (d) skin-wound sections stained with H&E and Alcian blue. (e, f) Limbs of froglets with similar wounds after 2 months. (g, h) H&E- and Alcian blue-stained sections. (g′, h′) High-power views of boxed areas in g and h. Black arrowheads (a, b, e, f) indicate the wound site. Open arrowheads (c, d, g, h) indicate the right-hand border of the wound. Asterisk (g′, h′) indicates an exocrine gland duct. (a, b, e, f) Bar=5 mm; (c, d, g, g′, h, h′) bar=100 μm. D, dermis; E, epidermis; H&E, hematoxylin and eosin; M, muscle.
|
|
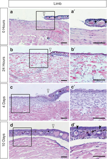
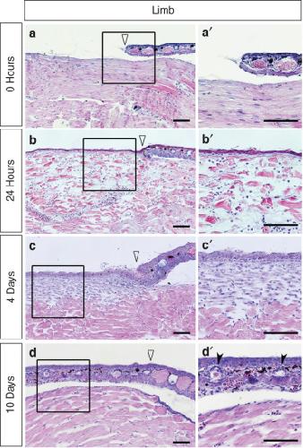
Figure 2.
Limb skin regeneration and wound healing after excision. Sections were stained with hematoxylin and eosin and Alcian blue. Boxed areas in a–d are shown at high power in a′–d′. (a, a′) Immediately after skin excision (0 hours). (b, b′) Twenty-four hours after excision. (c, c′) Four days after excision. Note the long, slender cells beneath the epidermis. (d, d′) Ten days after excision. Organized collagen fibrils and maturating exocrine glands are visible in the regenerated dermal layer. Open arrowheads indicate the right-hand border of the original wound. Bar=100 μm.
|
|
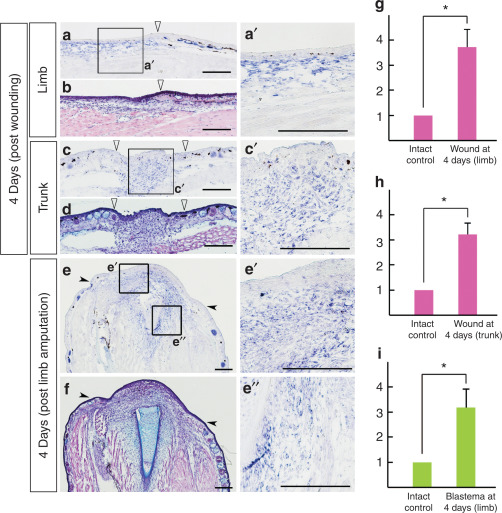
Figure 3.
Expression of prx1 4 days after skin wounding or limb amputation. (a, c, e) In situ hybridization for prx1. Boxed regions are shown at high power in a′, c′, e′, and e″. (b, d, f) Corresponding serial sections stained with hematoxylin and eosin and Alcian blue. (a, c) Expression of prx1 in accumulated mononuclear cells. (e) Expression of prx1 in limb blastema. Cells beneath the wound epidermis (e′) and perichondrial cells (e″) expressed prx1. Open arrowheads indicate the right-hand border of the original wound in a and b; arrowheads flank the wound in c and d. Black arrowheads indicate the amputation plane. Bar=200 μm. (g–i) Results from quantitative PCR for prx1. *P<0.005 by Student's t-test.
|
|
Figure 4.
Colocalization of GFP and BrdU in Mprx1-GFP froglet trunk skin 4 days after excision. Sections of healing and control skin double labeled with anti-GFP and anti-BrdU antibodies. DAPI staining shows nuclei. (a–c) Intact-skin control. (b) Little GFP was detected. (c) Only a few BrdU-positive cells were found in the skin. (d–f) Sections of wounded trunk skin. (e′, f′) High-power views of the boxed regions in e and f. (e, e′) Robust staining for GFP and (f, f′) BrdU. (g) Merged picture of e′ and f′. Multiple cells were positive for BrdU and GFP (arrowheads). Bar=100 μm. DAPI, 4′,6-diamidino-2-phenylindole; GFP, green fluorescent protein.
|
|
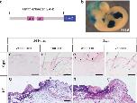
Figure 5.
Mprx1 enhancer activation was not detected in healing adult mouse skin. (a) Mouse Mprx1-LacZ construct. (b) Limb-specific reporter activity in a mouse embryo. At 24 hours (c, d) and 4 days (e, f) after skin excision, X-gal-positive cells were not detected at the wound site but were seen outside it (outside). The X-gal-positive cells seemed to be arrector pili muscles and dermal papilla cells. Black arrowheads (e) indicate the boundary between the wound and overlying scab (S). Hematoxylin and eosin (H&E) staining of healing skin at 24 hours (g) and 4 days (h) after skin excision. Open arrowheads indicate the right border of the original excision wound (wounded area is to the left). Bar=200 μm.
|
|
Figure 6.
Model for the involvement of the prx1 limb enhancer in limb regeneration and skin-wound healing.Amphibian, top, limb regeneration: Wound epidermis covers the stump very quickly, and the prx1 limb enhancer is activated in blastema cells. If the blastema is fully capable of limb patterning, a complete limb is regenerated, as in urodeles. If the blastema has a limb-patterning deficiency, a hypomorphic limb will result, as in Xenopus froglets. Amphibian, bottom, skin-wound healing: Wound epidermis covers the injury very quickly. The prx1 limb enhancer is activated in the accumulated mononuclear cells under the wound epidermis. Mammal: The wound is covered first by a clot, which becomes a scab, and several days later by the epidermis (re-epithelization). The prx1 limb enhancer is not activated.
|
|
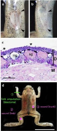
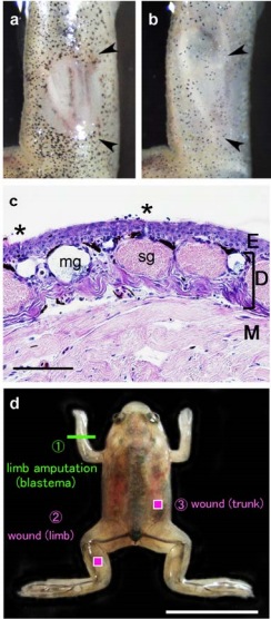
Figure S1. Three types of surgical operations for Xenopus froglets. (a) View of skin
wound immediately after excision, and (b) 10 days later. The wound was already
covered with pigmented epidermis. (c) Histological section of intact froglet skin, stained
with hematoxylin and eosin (H&E) and Alcian blue. E, epidermis; D, dermis; M,
sub-dermal musculature; mg, mucous gland; sg, serous gland. Asterisks indicate the
opening of exocrine glands to the skin surface. (d) Metamorphosed froglet with labels
identifying locations for forelimb amputation (1), limb-skin excision (2), and trunk-skin
excision (3). Scale bar=100 μm for (c), and 10 mm for (d).
|
|
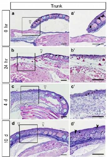
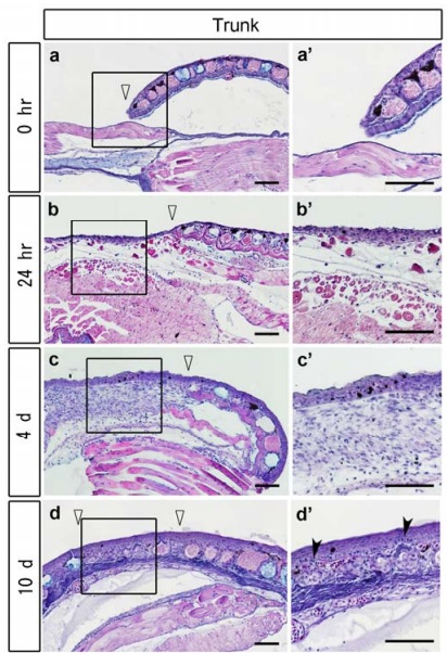
Figure S2. Skin regeneration and wound healing after trunk-skin excision. Sections
were stained with H&E and Alcian blue. (a-d) Sections of skin samples collected at the
indicated time points. (a’-d’) High-power views of the corresponding boxed regions in
a-d. No damage was observed in the subcutaneous musculature under the excised skin.
(b and b’) At 24 hours post-excision, epidermis covered the wound, and the musculature
under it was disorganized, not only in the immediately subcutaneous area but also deep
to it. Note the cell-free spaces in the muscle layer under the original wound. (c and c’)
By 4 days post-excision, the epidermis had become multilayered, and mononuclear cells
had accumulated under the epidermis. Many long, slender cells were visible in the deep
part of this area, close to the muscle. (d and d’) By 10 days after the operation, the
wound epidermis was as thick as normal, intact epidermis. The wound had also
contracted and become narrower. There were organized collagen fibrils and maturating
secretion glands in the dermal layer over the wound site. Open arrowheads indicate the
right-hand border of the original wound (the wounded area is to the left of the
arrowhead). Scale bar=100 μm.
|
|
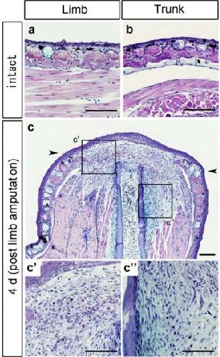
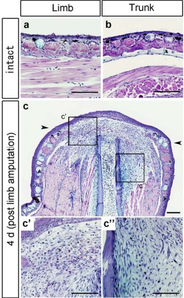
Figure S3. Accumulated mononuclear cells under the wound epidermis during
limb regeneration, 4 days after amputation. (a and b) Mononuclear cells did not
accumulate under the intact control skin of the limb (a) or trunk (b). (c) Forelimb
blastema in froglets 4 days after amputation. The musculature of the stump degraded
from the amputation plane to the proximal region of the stump, and mononuclear
blastema cells accumulated under the wound epidermis (c’). The perichondrial cells
close to the amputation plane appeared to undergo histolytic de-differentiation and to
proliferate (c’’). Black arrowheads (c) indicate the amputation plane. Scale bar=100 μm.
|
|
Figure S4. The accumulation of prx1-expressing mononuclear cells requires wound
epidermis. (a) A U-shaped skin flap was excised from a limb and immediately put back
into its original position. A U-shaped skin-free slit formed after this operation, and
resulted in the generation of wound epidermis. (b) The U-shaped wound epidermis 4
days after the operation, marked by a red dotted line. (c) In situ hybridization for prx1.
The sample was sectioned through the plane indicated by the white line in (b).
Mononuclear cells expressing prx1 accumulated under the wound epidermis (c’),
whereas only weak prx1 expression was detected within the U-shaped skin flap (c’’).
Brackets indicate the site of the wound epidermis. Scale bar=100 μm.
|
|
Figure S5. Co-localization of GFP and BrdU in limb skin-wound healing of the
Mprx1-GFP froglet, 4 days after skin excision. Sections of healing skin were doubly stained with anti-GFP and anti-BrdU antibodies. (b) In the intact-skin control, faint GFP protein was observed in only a few cells of the uppermost layer of the epidermis, dermis,
and a few fibroblasts in the musculature, and the few BrdU-positive cells (c) were
exclusively located in the skin. (d-f) Immunohistochemical staining of wounded limb skin 4 days after excision. (e’ and f’) High-power views of the boxed regions in e and f, respectively. (e and e’) Robust staining with anti-GFP antibody was observed in the subcutaneous region 4 days after skin excision. (f and f’) BrdU-positive cells near the GFP-positive cells. (g) Merged picture of (e’) and (f’) showing multiple BrdU- and GFP-double positive cells (arrowheads). Scale bar=100μm.
|
|
Figure S6. Co-localization of GFP and PAX7 in the healing limb skin of the
Mprx1-GFP froglet 4 days post-excision. Sections were doubly stained with anti-GFP
and anti-PAX7 antibodies. (a-c) In the intact control, only a few PAX7-positive cells
were observed in the musculature, although some unidentified material or cells in the
epidermis was also positive. (d-f) Immunostaining of sections from an excision wound 4
days post-surgery. (d’-f’) High-power views of the boxed regions in d-f. (e and e’)
Robust staining with the anti-PAX7 antibody in the accumulated cells under the wound
epidermis. These cells were larger than the PAX7-positive cells seen in the intact-skin
controls. (f and f’) Among the accumulated GFP-positive cells, multiple PAX7- and
GFP-double positive cells were observed in the deep area close to the musculature
(double-positive cells are marked by arrowheads in f’). Scale bar=100 μm.
|