|
Figure 1. Treslin and TopBP1 interact in a Cdk-regulated manner in human U2OS cells. (A) U2OS cells were arrested at M phase with nocodazole, isolated from plates by shake-off, and released into fresh nocodazole-free medium. 25 µM roscovitine was added to one of two duplicate cultures at 3 h after the release (arrow). Cells were harvested every 3 h. DNA replication was monitored by incorporation of EdU in cells incubated in the absence (circles) or presence (triangles) of roscovitine. Results are from one representative experiment. A second experiment gave similar results. (B) Cell lysates were immunoprecipitated with control or anti-Treslin antibodies as indicated. Cell lysates (top) and immunoprecipitates (IP; bottom) were immunoblotted for TopBP1 and Treslin. (C) Quantitation of the results from the bottom portion of B. Results are from one representative experiment. A second experiment gave similar results.
|
|
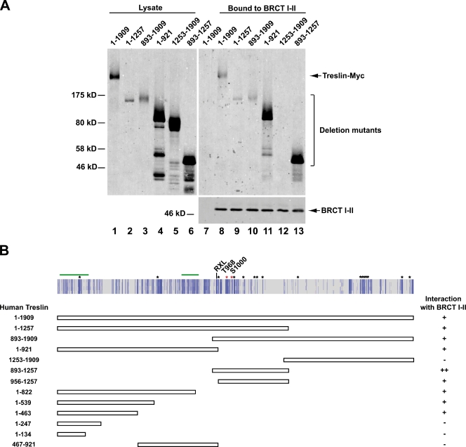
Figure 2. Deletion studies of the regions in Treslin that interact with the BRCT I–II domains of TopBP1. (A) Full-length Treslin-Myc (lanes 1, 7, and 8) and deletion mutants containing the indicated portions of Treslin (lanes 2–6 and 9–13) were transiently expressed in U2OS cells. Cell lysates (lanes 1–6) were incubated in the absence (lane 7) or presence (lanes 8–13) of a FLAG-tagged fragment of TopBP1 containing BRCT domains I–II. The incubations also contained anti-FLAG antibodies bound to protein G beads. The beads were reisolated, washed, and processed for immunoblotting with anti-Myc (top) and anti-FLAG antibodies (bottom). (B, top) Results of multiple sequence alignments of full-length Treslin using the Kalign program. Dark blue lines represent amino acids that are identical in Treslin from human, X. laevis, chicken, and zebrafish. Light blue lines represent amino acids that are identical in two or three out of these four species. Asterisks denote SP/TP motifs that have been conserved in all four species. Red asterisks indicate SP/TP motifs that are conserved in yeast Sld3 (Fig. 3 A). RXL indicates the location of a putative cyclin-interacting motif. Green lines indicate homology detected by Sanchez-Pulido et al. (2010) between Treslin and Sld3. (bottom) Summary of the abilities of various fragments of Treslin to interact with the BRCT I–II domain of TopBP1. Quantitation was performed from several experiments by measuring with the Odyssey imaging system the amounts of fragments of Treslin that bound to the BRCT I–II fragment of TopBP1. The designations on the right are as follows: −, <1% input Treslin bound to TopBP1; +, 3–6% input bound; and ++, >10% input bound.
|
|
Figure 3. Analysis of the phosphorylation of Treslin. (A) Amino acids 893–1,257 of human Treslin and the corresponding portions of X. laevis Treslin and Treslin homologues from sea anemone (NCBI Protein database accession no. XP_001628252) and Trichoplax adhaerens (NCBI Protein database accession no. XP_002111061) were aligned with the C-terminal half of budding yeast and fission yeast Sld3 using the T-Coffee (Tree-based Consistency Objective Function for Alignment Evaluation) program. Only the most similar portion of the alignment is shown. Identical and similar residues are shaded in black and gray, respectively. The asterisks denote residues that are homologous with T600 and S622 of budding yeast Sld3 (corresponding to T968 and S1000 of human Treslin). (B) Part of the MS/MS spectrum corresponding to a peptide containing phosphorylated S976 of X. laevis Treslin. MS analysis was performed as described in Materials and methods.
|
|
Figure 4. The S1000A mutation affects the interaction of Treslin (893â1,257) with the BRCT IâII fragment of TopBP1. (A) Wild-type (WT) Treslin (893â1,257)-Myc (lanes 1, 5, and 6) and versions of this fragment containing the point mutations T968A (lanes 2 and 7), S1000A (lanes 3 and 8), and T968AS1000A (lanes 4 and 9) were expressed transiently in U2OS cells. Interaction with the BRCT IâII fragment of TopBP1 was assessed as described in Fig. 2 A. (B) Quantitation of the data as shown in A. Results (mean ± SD) were compiled from three independent experiments. (C) A His-tagged form of human Treslin (893â1,257)-Myc (lanes 1, 2, and 7â9) and versions of this fragment containing the point mutations T968AS1000A (lanes 3 and 10), T968A (lanes 4 and 11), S1000A (lanes 5 and 12), and R913AL915A (lanes 6 and 13) were expressed in bacteria and purified with nickel agarose beads. The fragments were incubated in X. laevis egg extracts containing sperm chromatin. In some cases, the extracts also contained p27 (lanes 2 and 9). After a 60-min incubation, nuclei were isolated from the extracts, and nuclear lysates were prepared as described in Materials and methods. Nuclear lysates (lanes 1â6) were incubated without (lane 7) or with the FLAG-tagged BRCT IâII fragment of TopBP1 (lanes 8â13) in the presence of anti-FLAG antibody beads. The beads were isolated and immunoblotted with anti-Myc (top) and anti-FLAG antibodies (bottom). (D) Quantitation of the data as shown in C. Results (mean ± SD) were compiled from three independent experiments.
|
|
Figure 5. Phosphorylation of Treslin on S1000 by Cdk2âcyclin E. (A) Cdk2âcyclin E was incubated in the absence (lane 1) or presence of bacterially produced wild-type (WT) His6-Treslin (893â1,257; lanes 2â4) or the TSAA (lane 5), T968A (lane 6), or S1000A (lane 7) forms of this fragment. Incubations were performed in kinase buffer containing [32P]ATP. The incubations in lanes 3 and 4 also contained 2 µM GST-p27 and 25 µM roscovitine, respectively. Samples were subjected to SDS-PAGE and processed for phosphorimaging (top) and Coomassie blue staining (bottom). (B) Quantitation of 32P incorporation in A. Results are from one representative experiment. A second experiment gave similar results. (C) Cdk2âcyclin E was incubated with no substrate (lane 1), GST-Treslin(989â1,011) (lanes 2 and 4), or GST-Treslin (989â1,011)-S1000A (lanes 3 and 5) in a buffer containing [32P]ATP. The incubations were performed in the absence (lanes 1â3) or presence of 25 µM roscovitine (lanes 4 and 5). Samples were subjected to SDS-PAGE and processed for phosphorimaging (top) and Coomassie blue staining (bottom). (D) Quantitation of 32P incorporation in C. Results are from one representative experiment. A second experiment gave similar results. (E) Wild-type Treslin (893â1,257)-Myc (lanes 1, 3, 5, and 6) and its S1000A mutant (lanes 2 and 4) were incubated in the absence (lanes 1 and 2) or presence of Cdk2âcyclin E in a kinase buffer containing 1 mM ATP (lanes 3â6). The incubations in lanes 5 and 6 contained 25 µM roscovitine and 2 µM GST-p27, respectively. The reaction was stopped with SDS sample buffer. Samples were immunoblotted with antiâphospho-S1000 (top) and anti-Myc antibodies (bottom). (F) U2OS cell lysates (lane 1) were immunoprecipitated (IP) with either antiâphospho-S1000 antibodies (lanes 2â4) or control antibodies (lane 5). The immunoprecipitates were performed in the presence of no additional peptide (lanes 4 and 5) or 1 µg/ml of the either the immunizing phosphopeptide (lane 2) or the nonphosphorylated form of the same peptide (lane 3). Samples were immunoblotted with anti-Treslin antibodies. (G) Lysates from stable U2OS T-REx cell lines (lanes 1 and 2) expressing either wild-type Treslin (1â1,257)-Myc (lanes 1, 3, 5, 7, and 9) or the S1000A mutant of this fragment (lanes 2, 4, 6, 8, and 10) were immunoprecipitated with control (lanes 3 and 4) or antiâphospho-S1000 antibodies (lanes 5â10) in the presence of no additional peptide (lanes 3â6) or 1 µg/ml of either immunizing phosphopeptide (lanes 9 and 10) or nonphosphorylated peptide (lanes 7 and 8). Samples were processed for immunoblotting with anti-Myc antibodies.
|
|
Figure 6. S1000 of Treslin is essential for DNA replication. (A) Control U2OS T-REx cells (lanes 1–4) and U2OS T-REx cells harboring wild-type (lanes 5–8) or S1000A Treslin-Myc (lanes 9–12) were incubated for 24 h in the absence (lanes 1, 3, 5, 7, 9, and 11) or presence of doxycycline (lanes 2, 4, 6, 8, 10, and 12). Cells were transfected with either control siRNA (lanes 1, 2, 5, 6, 9, and 10) or Treslin siRNA (lanes 3, 4, 7, 8, 11, and 12) and incubated for another 72 h. Cell lysates were immunoblotted with anti-Treslin (top), anti-Myc (middle), and anti-tubulin antibodies (bottom). (B) Cells were incubated with 10 µM EdU for 1 h. Samples were stained with Click-iT reagent to detect newly synthesized DNA (top), anti-Myc antibodies to detect Treslin (middle), and Hoechst 33342 dye to detect total DNA (bottom). Bar, 50 µM. (C) Expression of wild-type (WT) Treslin (lanes 1, 4, and 5), Treslin-T968AS1000A (lanes 2 and 6), and Treslin-S1000A (lanes 3 and 7) was induced with 1 µg/ml doxycycline for 24 h. Cell lysates were prepared and immunoprecipitated (IP) with either control (lane 4) or anti–human TopBP1 antibodies (lanes 5–7). Samples were immunoblotted with anti-Myc (top) or anti-TopBP1 antibodies (bottom). (D) Quantitation of the binding of various forms of Treslin to TopBP1 as shown in C. Results (mean ± SD) were compiled from three independent experiments.
|
|
Figure 7. A C-terminal domain of Treslin is dispensable for DNA replication. (A) U2OS cells harboring wild-type (lanes 1–4) or S1000A Treslin (1–1,257)-Myc (lanes 5–8) were incubated for 24 h in the absence (lanes 1, 3, 5, and 7) or presence of doxycycline (lanes 2, 4, 6, and 8). Cells were transfected with either control siRNA (lanes 1, 2, 5, and 6) or Treslin siRNA (lanes 3, 4, 7, and 8) and incubated for another 72 h. Cell lysates were immunoblotted with anti-Treslin (top), anti-Myc (middle), and anti-tubulin antibodies (bottom). (B) Cells treated with siRNA were incubated with 10 µM EdU for 1 h and then processed for staining with Click-iT reagent (top), anti-Myc antibodies (middle), and Hoechst dye DNA (bottom). Bar, 50 µM. (C) Quantitation of the data from Figs. 6 B and 7 B. Results (mean ± SD) were compiled from three independent experiments.
|
|
Figure 8. Treslin interacts with Cdc45 in human cells. (A) Treslin (1–921)-Myc and human Cdc45 were transiently expressed in U2OS cells. Cell lysates (lane 1) were immunoprecipitated (IP) with either control antibodies (lane 2) or anti–human Cdc45 antibodies (lane 3) and immunoblotted for the Myc tag (top) or Cdc45 (bottom). (B) Benzonase-digested nuclear lysates (lane 1) from interphase X. laevis egg extracts were immunoprecipitated with control (lane 2), anti-Cdc45 (lane 3), and anti-Treslin antibodies (lane 4). The samples were immunoblotted for Treslin (top) and Cdc45 (bottom).
|