Click here to close
Hello! We notice that you are using Internet Explorer, which is not supported by Xenbase and may cause the site to display incorrectly.
We suggest using a current version of Chrome,
FireFox, or Safari.
Dev Dyn
2003 Dec 01;2284:716-25. doi: 10.1002/dvdy.10406.
Show Gene links
Show Anatomy links
Identification of BOIP, a novel cDNA highly expressed during spermatogenesis that encodes a protein interacting with the orange domain of the hairy-related transcription factor HRT1/Hey1 in Xenopus and mouse.
Van Wayenbergh R
,
Taelman V
,
Pichon B
,
Fischer A
,
Kricha S
,
Gessler M
,
Christophe D
,
Bellefroid EJ
.
???displayArticle.abstract???
Hairy-related transcription factor (HRT/Hey) genes encode a novel subfamily of basic helix-loop-helix (bHLH) transcription factors related to the Drosophila hairy and Enhancer-of-split (E(spl)) and the mammalian HES proteins that function as downstream mediators of Notch signaling. Using the yeast two-hybrid approach, a previously uncharacterized protein was identified in Xenopus that interacts with XHRT1 (originally referred to as bc8), one member of the HRT/Hey subclass. This protein is evolutionarily conserved in chordates. It binds to sequences adjacent to the bHLH domain of XHRT1 known as the Orange domain and has been named bc8 Orange interacting protein (BOIP). BOIP shows a rather uniform subcellular localization and is recruited to the nucleus upon binding to XHRT1. In Xenopus, XBOIP mRNA is detected by RNase protection analysis throughout embryogenesis. In the adult, the strongest expression is detected in testis. In the mouse, high levels of BOIP mRNA are also found in adult testis. No expression is detected in the embryo and in any of the other adult organs tested. In situ hybridization revealed that BOIP transcripts were detected almost exclusively in round spermatids and that this expression overlaps with that of Hey1 (HRT1), which is expressed throughout spermatogenesis. In view of the importance of the Orange domain for HRT/Hey function, the newly identified BOIP proteins may serve as regulators specifically of HRT1/Hey1 activity.
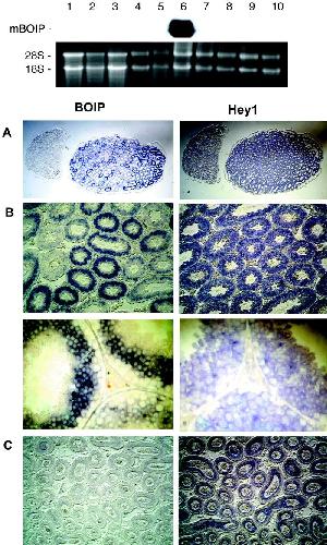
Figure 6. bc8 Orange interacting protein (BOIP) mRNA expression in adult organs. Top panel: RNAase protection analysis of BOIP expression in adult mouse tissue. Fifteen micrograms of RNA were loaded per lane: spleen (1), lung (2), liver (3), heart (4), brain (5), testis (6), hypophysis (7), salivary gland (8), kidney (9), muscle (10). As a control, ethidium bromide staining of the RNA loaded on an agarose gel is shown. Bottom panels: In situ analysis of BOIP and Hey1 (HRT1) RNA expression in murine testis. A: An overview shows expression of both genes in testis, whereas in epididymis only Hey1 (HRT1) is seen. B: In seminiferous tubules, BOIP is coexpressed with Hey1 (HRT1) in round spermatids. As spermatogenesis is a periodic process, round spermatids can only be found in certain parts of the seminiferous tubule, so in sections, just a limited number of tubules will contain this cell population. In contrast to BOIP, Hey1 (HRT1) is expressed in all cells. C: Hey1 (HRT1) is also strongly expressed in the epithelia of the epididymis, where BOIP is absent.
Fig. 4. Subcellular localization of a flag-tagged XBOIP and a myc-tagged XHRT1 protein in
transfected cells and in Xenopus embryonic cells. A: Flag-tagged XBOIP-transfected HeLa
cells exhibited pancellular staining. B: Nuclei in A counterstained with Hoechst, shown in
blue. C,D: A double-transfected HeLa cells that express a Flag-XBOIP (C) and a myctagged
XHRT1 fusion protein (D). E: An overlay of fluorescence signals in C reveals
colocalization of both signals in the nucleus. F: Cell nuclei in C stained with Hoechst.
G: High-magnification view of cells of the animal pole of a gastrula Xenopus embryo (st.
11). G: Embryos injected with Flag-tagged XBOIP mRNA showed uniform labeling as
visualized with peroxidase reaction. H: Embryos injected with myc-tagged XHRT1 mRNA
exhibited nuclear staining. I,J: Embryos overexpressing Flag-tagged XBOIP and a myctagged
full-length XHRT1protein (I) or a myc-tagged XHRT1 fusion protein containing only
the Orange domain,XHRT1 O114-160 (J), showed predominant Flag staining in the nuclei. K,L:
In embryos overexpressing Flag-tagged XBOIP and XHRT1 bHLH-IYT1-294 116-159 encoding a
XHRT1 protein with the Orange domain deleted (K) or Hairy2b (L), Flag staining is detected
in both the nucleus and cytoplasm. M,N: Embryos coexpressing Flag-tagged XBOIP deletion
mutants containing either the N-terminal (amino acid 1-161; M) or the intermediate
(127-222; N) part of the protein with myc-tagged XHRT1 O114-160 show uniform Flag staining.
O: In embryos coexpressing the Flag-tagged XBOIP deletion mutant containing the Cterminal
region (amino acid 158-334) with myc-tagged XHRT1 O114-160, Flag signals localizes
to the nucleus.
Fig. 5. XBOIP mRNA expression during Xenopus
embryogenesis (A) and in adult organs
(B) analysed by RNAase protection
analysis. Nieuwkoopaber stages (Nieuwkoop
and Faber, 1967) of embryogenesis
are indicated. FGFr or EF1- are used as
internal controls.