Click here to close
Hello! We notice that you are using Internet Explorer, which is not supported by Xenbase and may cause the site to display incorrectly.
We suggest using a current version of Chrome,
FireFox, or Safari.
???displayArticle.abstract???
The Retinal Homeobox (Rx) gene is essential for vertebrate eye development. Rx function is required for the specification and maintenance of retinal progenitor cells (RPCs). Loss of Rx function leads to a lack of eye development in a variety of species. Here we show that Rx function is also necessary during retinal regeneration. We performed a thorough characterization of retinal regeneration after partial retinal resection in pre-metamorphic Xenopus laevis. We show that after injury the wound is repopulated with retinal progenitor cells (RPCs) that express Rx and other RPC marker genes. We used an shRNA-based approach to specifically silence Rx expression in vivo in tadpoles. We found that loss of Rx function results in impaired retinal regeneration, including defects in the cells that repopulate the wound and the RPE at the wound site. We show that the regeneration defects can be rescued by provision of exogenous Rx. These results demonstrate for the first time that Rx, in addition to being essential during retinal development, also functions during retinal regeneration.
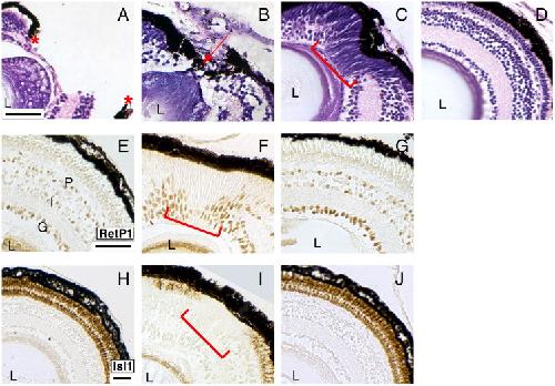
Fig. 1. The retina is essentially regenerated 30 days after resection.
(AâD) The progress of regeneration was analyzed by hematoxylin and eosin staining. (A) The retina after resection of the nasal-dorsal quarter on day 1. The site of resection is evidenced by the disruption of the retinal lamination and RPE (red asterisks). (B) On post-resection day 3 the RPE has re-assembled around the site of resection (red arrow) and cells have begun to fill in the wound. (C) On post-resection day 13 the RPE has closed around the wound (red arrow) and RPCs have repopulated the wound. (D) On post-resection day 30 the lamination of the retina is completely restored and the resection site is no longer evident.
(EâJ) Analysis of regeneration progress using markers of differentiated neural cell types. Immunolabeling for Islet-1 (EâG) and Rhodopsin (HâJ) in control retinas (E, H) and regenerating retinas at 15 days (F, I) and 30 days post-resection (G, J). Control retinas shown in panels E and H are from sibling embryos to those shown in panels G and J, respectively. At 15 days post-resection, the putative RPCs are still present at the site of resection (F, I; red bracket). The putative RPCs are not immunoreactive to Islet 1 (F; red bracket) or Rhodopsin (I; red bracket) antibodies. At 30 days post-resection, the putative RPCs are absent from the nasal-dorsal quarter of the retina and complete retinal lamination is observed by immunoreactivity to Islet-1 (G) and Rhodopsin (J). Uninjured retinas lack putative RPCs in the nasal-dorsal quarter and show Islet-1 and Rhodopsin immunoreactivities (E, H). L â lens; G â ganglion cell layer, I â inner nuclear layer; and P â photoreceptor layer. Scale bar = 50 μm.
Fig. 2. The regenerating wound is populated by retinal progenitor cells and is organized similarly to the CMZ.
(AâC) In situ hybridization performed using retinal sections of embryos at 9 days post-resection. Cells filling the regenerating wound express pan-RPC markers Rx1A (A), Pax6 (B), and Sox2 (C). (D, E) Cells filling the regenerating wound are proliferating. Immunolabeling of regenerating retinas at 9 days post-resection with anti-BrdU antibody. The putative RPCs incorporate BrdU and are immunoreactive to the anti-BrdU antibody (E, red bracket). The nasal-dorsal quarter of an uninjured retina lacks proliferating RPCs (D). (F, G) In situ hybridization performed on sections of embryos at 9 days post-resection with riboprobes for Notch1 (F) or NeuroD (G). (H) Double in situ hybridization for Notch1 (blue) and NeuroD (red). Different subsets of the RPCs (red) express Notch1 and NeuroD. Notch is expressed closer to the center of the wound (H; blue brackets) than NeuroD (H; red brackets) confirming that the expression of these two markers begins in different subsets of the RPCs that repopulate the wound. (I, J) The cyclin-dependent kinase inhibitor Xic1 is expressed at the extreme periphery of the regenerating region. (I) In situ hybridization for Xic1 (red brackets) demonstrates expression at the periphery of the regenerating wound and not in the center (blue bracket). (J) Overlay of BrdU incorporation (fluorescent green) and Xic1 in situ hybridization from (I). Proliferating cells are largely in the center of the regenerating wound (blue bracket), with little overlap with cells expressing Xic1 (red brackets). (K) Left â Model of normal CMZ (adapted from Perron et al., 1998). Right â Model of the CMZ formed in the regenerating wound. Scale bar = 50 μm.
Fig. 3. Retinal regeneration is abnormal in Rx knockdown tadpoles.
(AâD) Histological staining of regenerating retinas of a control non-transgenic tadpole (A), a control shRNA transgenic tadpole (B), and Rx shRNA transgenic tadpoles scored at 9 days post-resection (C, D). Rx shRNA transgenic tadpoles display shorter and/or rounder RPCs that are sometimes disorganized (C) and incompletely re-formed, disorganized RPE (D). (EâH) Rx (E, F) and Pax6 (G, H) expression is markedly reduced in the cells that repopulate the wound in Rx shRNA transgenic tadpoles. In situ hybridization on retinal sections of regenerating retinas from Rx shRNA transgenic tadpoles (F, H) and control non-transgenic tadpoles (E, G). Rx expression is markedly reduced in the cells that repopulate the wound in Rx shRNA transgenic tadpoles, but is not reduced in the Rx expressing cells at the INL (F). Pax6 expression is also reduced in the cells repopulating the wound in Rx shRNA transgenic tadpoles, but not in the INL or GCL (H). (I, J) Expression of Sox2 is also markedly reduced in the cells that repopulate the wound (I, red bracket). (J) Overlay of panel I with BrdU incorporation visualized by immunofluorescence (fluorescent green color). Arrow indicates RPE at the wound site; bracket indicates RPCs at the wound site. Scale bar = 50 μm. (K) Number of RPCs in the wound sites of regenerating retinas from control nontransgenic or Rx shRNA transgenic tadpoles. Each dot represents the RPC count from a single regenerating retina. The horizontal bar represents the average of the 5 counts shown; the vertical bar represents standard deviation from the mean for each group.
Fig. 4.
The effects of Rx knockdown on regeneration can be rescued by mouse Rx. (A) Upper construct: schematic of the X. tropicalis Rx (tRx) genomic locus showing the relative positions of ultraconserved genomic elements UCE2 and 3 (red) within the tRx regulatory region (gray). The Rx coding region (CDS) is indicated (blue). Lower construct: transgene containing a 3 kb portion of the X. tropicalis Rx locus (tRx3000), UCE2, and a GFP expression cassette (green). (BâE) In situ hybridization using a GFP antisense riboprobe using sections of uninjured (B, C) or regenerating transgenic tadpoles (D, E). The tRx3000/GFP transgene is not expressed in the RPCs at the distal tip of the CMZ (B, red arrowhead) or RPCs at the center of the regenerating wound (D). Addition of UCE2 drives transgene expression in RPCs throughout the CMZ (C) and the regenerating wound (E). (F) Schematic of mRx rescue construct, containing X. tropicalis Rx transcriptional regulatory elements as shown in (A) and the mouse Rx coding region (green). (G, H) Hematoxylin and eosin staining of retinal sections from a non-transgenic tadpole (G) and a Rx shRNA+ rescue tadpole (H) at day 9 post-resection. (I) Quantification of regeneration impairment in Rx shRNA transgenic tadpoles relative to nontransgenic controls, control (CO) shRNA transgenic tadpoles, and tadpoles co-transgenic for mRx. Categories of phenotype severity are defined in Table 1. Scale bar = 50 μm.
Andreazzoli,
Role of Xrx1 in Xenopus eye and anterior brain development.
1999, Pubmed,
Xenbase
Andreazzoli,
Role of Xrx1 in Xenopus eye and anterior brain development.
1999,
Pubmed
,
Xenbase
Andreazzoli,
Xrx1 controls proliferation and neurogenesis in Xenopus anterior neural plate.
2003,
Pubmed
,
Xenbase
Araki,
Regeneration of the amphibian retina: role of tissue interaction and related signaling molecules on RPE transdifferentiation.
2007,
Pubmed
,
Xenbase
Arresta,
Pigmented epithelium to retinal transdifferentiation and Pax6 expression in larval Xenopus laevis.
2005,
Pubmed
,
Xenbase
Bernardos,
Late-stage neuronal progenitors in the retina are radial Müller glia that function as retinal stem cells.
2007,
Pubmed
Bilitou,
The role of cell cycle in retinal development: cyclin-dependent kinase inhibitors co-ordinate cell-cycle inhibition, cell-fate determination and differentiation in the developing retina.
2010,
Pubmed
,
Xenbase
Casarosa,
Xrx1 controls proliferation and multipotency of retinal progenitors.
2003,
Pubmed
,
Xenbase
Casarosa,
Xrx1, a novel Xenopus homeobox gene expressed during eye and pineal gland development.
1997,
Pubmed
,
Xenbase
Chen,
The chicken RaxL gene plays a role in the initiation of photoreceptor differentiation.
2002,
Pubmed
Chuang,
Expression of three Rx homeobox genes in embryonic and adult zebrafish.
1999,
Pubmed
Chuang,
Zebrafish genes rx1 and rx2 help define the region of forebrain that gives rise to retina.
2001,
Pubmed
Del Rio-Tsonis,
Eye regeneration at the molecular age.
2003,
Pubmed
,
Xenbase
Deschet,
Expression of the medaka (Oryzias latipes) Ol-Rx3 paired-like gene in two diencephalic derivatives, the eye and the hypothalamus.
1999,
Pubmed
,
Xenbase
El-Hodiri,
xnf7 functions in dorsal-ventral patterning of the Xenopus embryo.
1997,
Pubmed
,
Xenbase
Fischer,
Müller glia are a potential source of neural regeneration in the postnatal chicken retina.
2001,
Pubmed
Fischer,
Neural regeneration in the chick retina.
2005,
Pubmed
Furukawa,
rax, a novel paired-type homeobox gene, shows expression in the anterior neural fold and developing retina.
1997,
Pubmed
Hirsch,
Xenopus Pax-6 and retinal development.
1997,
Pubmed
,
Xenbase
Hollyfield,
Differential growth of the neural retina in Xenopus laevis larvae.
1971,
Pubmed
,
Xenbase
Ide,
Two healing patterns correlate with different adult neural connectivity patterns in regenerating embryonic Xenopus retina.
1984,
Pubmed
,
Xenbase
Ide,
Healing modes correlate with visuotectal pattern formation in regenerating embryonic Xenopus retina.
1987,
Pubmed
,
Xenbase
Karl,
Stimulation of neural regeneration in the mouse retina.
2008,
Pubmed
Lombardo,
[Regeneration of the neural retina in adult anurian amphibians].
1969,
Pubmed
Loosli,
Loss of eyes in zebrafish caused by mutation of chokh/rx3.
2003,
Pubmed
Loosli,
Medaka eyeless is the key factor linking retinal determination and eye growth.
2001,
Pubmed
Martinez-De Luna,
The Xenopus ortholog of the nuclear hormone receptor Nr2e3 is primarily expressed in developing photoreceptors.
2007,
Pubmed
,
Xenbase
Mathers,
The Rx homeobox gene is essential for vertebrate eye development.
1997,
Pubmed
,
Xenbase
Mizuseki,
Xenopus Zic-related-1 and Sox-2, two factors induced by chordin, have distinct activities in the initiation of neural induction.
1998,
Pubmed
,
Xenbase
Moshiri,
Retinal stem cells and regeneration.
2004,
Pubmed
Ohnuma,
p27Xic1, a Cdk inhibitor, promotes the determination of glial cells in Xenopus retina.
1999,
Pubmed
,
Xenbase
Pan,
The Rx-like homeobox gene (Rx-L) is necessary for normal photoreceptor development.
2006,
Pubmed
,
Xenbase
Pan,
Regulation of photoreceptor gene expression by the retinal homeobox (Rx) gene product.
2010,
Pubmed
,
Xenbase
Perron,
The genetic sequence of retinal development in the ciliary margin of the Xenopus eye.
1998,
Pubmed
,
Xenbase
Reh,
Stem cells in the vertebrate retina.
2001,
Pubmed
Reh,
Retinal stem cells.
2006,
Pubmed
Reh,
Multipotential stem cells and progenitors in the vertebrate retina.
1998,
Pubmed
Reh,
A possible role for the vascular membrane in retinal regeneration in Rana catesbienna tadpoles.
1987,
Pubmed
Shimamura,
Wnt-1-dependent regulation of local E-cadherin and alpha N-catenin expression in the embryonic mouse brain.
1994,
Pubmed
Sologub,
[Metaplastic transformation of the tissue of the eye in tadpoles and adult Xenopus laevis frogs].
1975,
Pubmed
,
Xenbase
Sparrow,
A simplified method of generating transgenic Xenopus.
2000,
Pubmed
,
Xenbase
Spence,
The hedgehog pathway is a modulator of retina regeneration.
2004,
Pubmed
Spence,
Retina regeneration in the chick embryo is not induced by spontaneous Mitf downregulation but requires FGF/FGFR/MEK/Erk dependent upregulation of Pax6.
2007,
Pubmed
Straznicky,
The growth of the retina in Xenopus laevis: an autoradiographic study.
1971,
Pubmed
,
Xenbase
Van Raay,
Frizzled 5 signaling governs the neural potential of progenitors in the developing Xenopus retina.
2005,
Pubmed
,
Xenbase
Vergara,
Retinal regeneration in the Xenopus laevis tadpole: a new model system.
2009,
Pubmed
,
Xenbase
Viczian,
XOtx5b and XOtx2 regulate photoreceptor and bipolar fates in the Xenopus retina.
2003,
Pubmed
,
Xenbase
Voronina,
Mutations in the human RAX homeobox gene in a patient with anophthalmia and sclerocornea.
2004,
Pubmed
Yoshii,
Neural retinal regeneration in the anuran amphibian Xenopus laevis post-metamorphosis: transdifferentiation of retinal pigmented epithelium regenerates the neural retina.
2007,
Pubmed
,
Xenbase
Zhang,
Function of Rx, but not Pax6, is essential for the formation of retinal progenitor cells in mice.
2000,
Pubmed