|
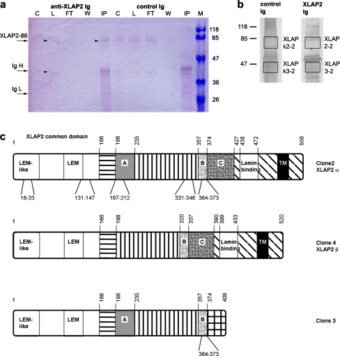
Fig. 1. Identification of XLAP2ω and XLAP2γ polypeptides immu-no-isolated from Xenopus egg extract. a Immunoblot from the immuno-isolation experiment with control and anti-XLAP2 Igs; staining with XLAP2-specific antibodies. Of the total material, 10% was loaded onto each lane (arrowheads positions of the 86-kDa XLAP2ω and 40-kDa XLAP2γ bands in control egg extract in the C lane and of isolated XLAP2ω polypeptide in the IP lane, C control egg extract, Ig-H heavy immunoglobulin chain, Ig-L light immunoglobulin chain, L loaded egg extract, W wash, FT flow through, IP immunoprecipitated proteins, M molecular-weight markers). b Fragments of silver-stained gel containing protein samples from the pull-down reaction (90% of the material was loaded). Gel pieces from boxes were excised and subjected to mass spectrometry analysis (LC/MS/MS). Molecular masses of reference proteins (in kDa) are shown. c Representations of XLAP2 protein isoforms translated in vitro from cDNA sequences found in Xenopus: XLAP2 clone 2 (AN: AF048815); XLAP2 clone 3 (AN: AF048816); XLAP2 clone 4 (AN: AF048817, Gant et al. 1999); XLAP2β (AN: Y17861, Lang et al. 1999); XLAP2ω (AN: AJ514937, Schoft et al. 2003). Identical regions are shaded similarly. Numbers above each representation indicate the amino-acid positions of domains. Sequences marked with letters are putative Xenopus-specific exons (Gant et al. 1999), which are absent from mammals and are positioned between exons 5 and 6 (A) or 8 and 9 of mouse cDNA (Berger et al. 1996). The lamin-binding domain is according to (Lang and Krohne 2003). Tryptic peptides identified by using LC/MS/MS are given below each representation. The 86-kDa polypeptide was identified as the translation product of two cDNAs: XLAP2 clone 2 (AF048815) and XLAP2ω (AJ514937). The 40-kDa polypeptide was determined as a member of XLAP2 family
|
|
Fig. 2. Developmentally regulated expression and subcellular localization of XLAP2 isoforms in Xenopus. a Immunoblot analysis of XLAP2 proteins during development. Positions of three major protein bands representing XLAP2 isoforms are marked together with an actin band used as a loading control. The embryonic XLAP2 proteins, viz. XLAP2ω and XLAP2γ, are the only two isoforms present up to gastrula stage, showing an accumulation of the amount of protein until stage 22 followed by a steady decrease up to stage 41 and its disappearance from stage 44 (a, right). Expression of the somatic XLAP2β isoform is first detected at the gastrula stage and increases significantly from the 28th stage. The additional protein band of 76 kDa may be a degradation product of the 86-kDa isoform. Molecular masses of reference proteins (in kDa) are marked. b–f Subcellular localization of XLAP2 protein isoforms during Xenopus development and in XTC cells. The paraffin sections from Xenopus embryos and adult tissues were probed for XLAP2 (b, c) or costained for XLAP2 (red) and either lamin B2/B3 (d) or lamin B2 (e, f; green). DNA was stained with 4,6-diamidino-2-phenylindole (DAPI; blue). Images were via a fluorescent (b) or confocal laser scanning (c-f) microscope. Images represent the Z-stack (c) or single Z-section (b’, d-f; 0.25 μm thick). b During early development, XLAP2 proteins colocalize with mitotic chromosomes in the morula and blastula in which XLAP-86 and XLAP2-40 are expressed and with the interphase nuclei of the gastrula and stage-20 embryos in which XLAP-86, XLAP2-66 and XLAP2-40 are present (arrowheads positions of cell nuclei, arrow position of XLAP2). Inset top right of morula merged image in b Higher magnification of the boxed nucleus. The localization of XLAP2 in the nuclear envelope (NE) is rare in blastula embryos (note the fragments of NE in b’) but becomes a common feature at the gastrula stage (see well-organized membranes in b’). Embryonic samples show autofluorescence (mostly from the yolk platelets) that reveals the shape and size of each cell (e.g. easily seen in red and blue channels from morula to gastrula stage). c In the morula stage embryos, XLAP2-containing fractions are associated with mitotic chromosomes (c.1) and karyomere formation is seen around individual chromosomes (c.2). Note the position of embryonic XLAP2 in membrane-like structures on the morula chromatin (arrow), the typical cluster-like location on the chromatin (arrowhead) and the XLAP2 cluster outside the chromatin (double arrowhead). In somatic cells, XLAP2β aggregates in between separating chromatids at early anaphase (c.3) and then associates with peripheral regions of chromatin in late anaphase (c.4; arrows peripheral regions of chromatids with associated XLAP2, arrowheads chromosome core regions not yet associated with XLAP2). d–f The XLAP2 proteins colocalize with B-type lamins in stage 26-28 (d) and stage 44 (e) Xenopus embryos and in adult tissues (f). Images represent brain tissue. Bars 100 μm (b, morula), 20 μm (b, blastula – stage 20), 5 μm (c), 20 μm (d), 10 μm (b’, e, f)
|
|
Fig. 3. Subcellular localization of somatic XLAP2 protein in adult tissues and XTC cultured cells. a, b Immuno-gold staining of ultra-thin sections of embedded tissues with antibodies against XLAP2, followed by incubation with protein A conjugated to 8-nm gold particles (Cyt cytoplasm, NE nuclear envelope, Nuc nucleus). In brain (a) and muscle (b) tissues, XLAP2 (black dots) localizes mostly at the inner nuclear membrane (arrows) and peripheral heterochromatin (arrowheads) but is also present in intra-nuclear regions (double arrowheads). b Note that XLAP2 occurs both in the nucleus of the myotube (top) and in the muscle satellite cell (bottom). Bar 500 nm. c In early prophase of XTC cells, costaining for XLAP2 (green) and phospho-histone H3 (red) reveals that XLAP2β is located not only at the NE, but also in intra-nuclear loci (arrows). Bar 5 μm. d Confocal studies of interphase XTC tissue cultured cells stained for XLAP2 demonstrate that XLAP2β is present in NE and in invaginations of the nuclear membrane (strong dots inside the nucleus). Note that the region lying on the upper left side of the nucleus corresponds to the nucleolus area (see merge). Bar 10 μm. e Biochemical properties of XLAP2β protein from XTC tissue-cultured cells. Analysis of the XLAP2β polypeptide solubility in isolated cell nuclei, extracted with 10 mM TRIS buffer alone or containing Triton X-100 (TX), NaCl, Triton X-100 plus NaCl (TX+NaCl), or urea (6M Urea). Equivalent amounts of the supernatants and pellets were resolved in SDS-PAGE gel, transferred onto nitrocellulose filter and probed for XLAP2 protein. XLAP2-66 displayed the properties of an integral membrane protein involved in interactions with other protein components of the nuclear lamina, because it was solubilized in the presence of Triton X-100 together with NaCl. f–j Transmission electron microscopy (TEM) studies of XTC tissue-cultured cells confirm the NE localization for XLAP2 proteins. XTC cells were grown in culture, embedded in gelatin and cryo-sectioned for immuno-gold TEM. XLAP2 was detected with antibodies against XLAP2 followed by Protein A coupled with 5-nm gold particles. Gold-labelled XLAP2 was mostly localized at the nuclear periphery and inner nuclear membrane (INM, arrowheads) but intra-nuclear clusters (double arrowheads) were also present (f, j). g Higher magnification of the boxed area in f (Cyt cytosol, ONM outer nuclear membranes, Nuc nucleus). Bars 100 nm
|
|
Fig. 4. Intra-nuclear localization of XLAP2 as correlated to nuclear antigens and lipid membranes. XTC tissue-cultured cells were fixed with paraformaldehyde and probed for XLAP2 (green in b, red in e) or costained for XLAP2 (red in a, c, d) and lamin B2 (LAM B2, green in a, yellow in c, d) or costained for XLAP2 (green, f, g) and either p62-F/G nucleoporins (p62-Nup F/G, Ab 414, red, f) or phosphorylated histone H3 (red, g). Cellular membranes were visualized with dihydrocholecalciferol (DHCC) and DNA was counterstained with DAPI. a Various phenotypes of cultured cells presenting large nuclear channels (arrow) or nuclear dots (arrowheads) in which XLAP2 colocalizes with lamin B2. b Large channels (arrows) and smaller invaginations (arrowheads) are present on consecutive Z-sections of the cell nucleus from the bottom to the top. c, d XLAP2 staining correlates with lamin B2 and lipid membranes in NE. The nuclear territory contains nuclear dots/invaginations that colocalize with lamin B2 (arrowheads) or show a single XLAP2 signal (double arrowheads), forming channels (arrow) concomitant with the membrane signal (DHCC). e Cell with a large nuclear channel lacking DNA but possessing membrane signal (arrow). f, g Large nuclear invaginations or channels running from the bottom to the top of a nucleus. Images represent single Z-section (0.25 μm thick) from the nucleus, with the lines marking the surface of the Z-axis cross section through the nucleus. The cross sections from seven consecutive Z-stacks are shown bottom and right. Note that XLAP2 signal colocalizes with p62-F/G repeats containing nucleoporins (f) or with branches of the DNA-free tunnel in the nucleus (g). Bars 10 μm (a, b, e), 5 μm (c, d)
|
|
Fig. 5. Analyses of the distribution of XLAP2ω and XLAP2γ proteins on the inner surface of the nuclear envelope (NE) of Xenopus oocyte by using immunogold labelling and scanning electron microscopy (SEM). Manually isolated nuclei from frog oocytes were transferred onto silicone chips. The inner side of the NE was manually exposed by gently removing the nuclear content and processing for SEM immunogold procedures. XLAP2 was detected with antibodies against XLAP2 followed by Protein A coupled with 10-nm gold particles (yellow dots gold particles associated with immunocomplex bound to XLAP2 protein, NPC nuclear pore complexes). a, b Embryonic XLAP2 proteins localize non-randomly and show a tendency to form clusters and microdomains at the inner nuclear membrane. They also show a tendency to locate longitudinally; this might reflect the shape of the nuclear lamina filaments to which they are initially attached. c Typical cluster of XLAP2 proteins. d Typical region lacking XLAP2 protein. Bars 100 nm (a, b), 50 nm (c, d)
|