|
Figure 1. Effect of RPA depletion on SSA. (A) Western blot of RPA- or mock-depleted NPE. RPA was detected with a rat antibody against the large subunit (p70). The standards for quantitation were extracts loaded at the indicated amounts relative to the depleted extracts. (B) Silver staining of the RPA protein purified from Xenopus egg extracts. 0.5 µg of protein was separated by a 12% SDS-PAGE and then detected by silver staining (Bio-Rad Laboratories). The right lane is the protein size marker (Invitrogen). (C) SSA repair in RPA- and mock-depleted NPE. 12 ng/µl of the pRW4* substrate was incubated in RPA- and mock-depleted NPE at room temperature, and the samples taken at the indicated times were treated with SDS-EDTA–proteinase K, separated on a 1% TAE-agarose gel, and detected by SYBR gold staining. The NHEJ products are marked by the asterisks, and the SSA products are marked by the arrow and the bracket. (n) represents multiple repeats.
|
|
Figure 2. Effect of RPA on DNA end processing. (A) 4 ng/µl of linear pUC19 DNA labeled by [32P]dATP and blocked by ddTTP at the 3′ end was incubated in RPA-depleted NPE (supplemented with either 0.25 µM RPA or buffer) or mock-depleted NPE. One additional reaction, pUC19 incubated with the RPA protein only, served as a control. Samples were taken at the indicated times, treated with SDS-EDTA–proteinase K, and separated on a 1% TAE-agarose gel. The gel was first stained with SYBR gold to detect total DNA and then dried for exposure to phosphoimager to detect 32P. The percentages of the substrate remaining were relative to the zero time point. (B) Differential activities of RPA and gp32 in supporting DNA end processing in RPA-depleted NPE. The final concentrations for RPA and gp32 were 0.25 and 1 µM, respectively. Molecular markers are given in kilobases.
|
|
Figure 3. Effect of RPA on end unwinding. (A) Unwinding assay. Thin line, normal nucleotides; thick line, thio nucleotides; *, 32P label. (B) The thio 5′ oligonucleotide duplex precoated onto Streptavidin magnetic beads was incubated in RPA- or mock-depleted NPE. Samples were separated into bead and supernatant fractions and analyzed on a 10% native TAE-PAGE. B, beads; S, supernatant. (C) Rescue of the unwinding defect by the purified RPA protein. The thio 5′ oligonucleotide duplex precoated onto Streptavidin magnetic beads was incubated in RPA-depleted NPE supplemented with either 0.25 µM of the purified RPA protein or buffer. After 30-min incubation, the reactions were terminated and analyzed in the same way as in A. The arrowhead indicates the released product. (D) Differential activities of RPA and gp32 in supporting end unwinding. The final concentrations for RPA and gp32 are 0.25 and 1 µM, respectively.
|
|
Figure 4. Functional and physical interactions between RPA and xDNA2. (A) The effect of RPA on xDNA2’s 5′→3′ exonuclease activity against two different single-stranded oligonucleotides. The substrates were labeled with 32P-labeled dA (marked by the asterisks) and attached to Streptavidin paramagnetic beads via the 3′ biotin-dC. After incubation at room temperature for 1 h, the reactions were stopped with SDS-EDTA, boiled for 10 min, and separated on a 10% TAE-PAGE. The percentage of the substrate undegraded was relative to the total signal for each reaction. The sizes of the products were determined by separating on a sequencing gel (not depicted). (B) The effect of RPA and T4 gp32 on the nuclease activity of xDNA2. The substrate, 48mer-1 beads, was incubated with various proteins as indicated at room temperature for 1 h and analyzed similarly to that in A. (C) Coimmunoprecipitation of RPA and xDNA2. The immunoprecipitates were separated on an 8% SDS-PAGE, transferred to a polyvinylidene fluoride membrane, and probed for different proteins by Western blotting. For RPA, a rat antibody against the p70 subunit was used for Western blotting. Untreated cytosol was loaded at the indicated amounts to provide the standard for quantitation. White lines indicate that intervening lanes have been spliced out. (D) Interaction between the purified RPA and xDNA2. FLAG beads were precoated with either recombinant xDNA2 or BSA and then incubated with the purified RPA protein. The beads and supernatant fractions were analyzed similarly to that in C. xRPA, Xenopus RPA. Ab, antibody.
|
|
Figure 5. Effect of RPA on 5′ ss-tail degradation. (A) Denatured pUC19 DNA labeled with 32P at the 3′ end was incubated in RPA- or mock-depleted NPE supplemented with buffer or the purified RPA protein. Samples were collected at the indicated times, treated with SDS-EDTA–proteinase K, and separated on a 1% TAE-agarose gel. Two additional reactions containing ss-DNA incubated with the purified RPA protein or buffer, but no NPE, served as controls. (B) Differential activities of RPA and gp32 in supporting ss-DNA degradation. The final concentrations for RPA and gp32 are 0.25 and 1 µM, respectively.
|
|
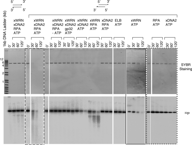
Figure 6. xWNR, xDNA2, and RPA are sufficient to degrade 5′ preprocessed DNA. Purified xWRN, xDNA2, and RPA or gp32 were incubated with blunt-ended DNA or 5′ preprocessed DNA (labeled on the 3′ end) in various combinations in the presence or absence of ATP. Asterisks indicate the 32P label. Samples were taken at the indicated times, treated with SDS-EDTA–proteinase K, and separated on four 1% TAE-agarose gels. The gels were first stained with SYBR gold and then dried for 32P. Reactions from the same gel are indicated by a bounding box, a dashed bounding box, a gray dashed box, or no bounding box. White lines indicate that intervening lanes have been spliced out. Molecular markers shown on the left are given in kilobases.
|
|
Figure 7. The WRN-DNA2-RPA–mediated DNA end processing pathway. After initial processing by a yet to be defined (probably a MRE11 and CtIP dependent) mechanism, WRN (and other RecQ-type helicases, such as Sgs1 and BLM) unwinds DNA ends. The 5′ ss-tail is then degraded by an ss-DNA exonuclease, such as DNA2. RPA stimulates both reactions.
|