|
Fig. 1. Pronephric expression of Xenopus Tbx2 analyzed by in situ hybridization. (A,B) Expression of Tbx2 around the pronephric anlage (pa) at stage 21 (A) and 23 (B). Arrowhead indicates weakly expressed Tbx2 around the pronephric anlage. (C) Transverse section of the embryo in B at the level indicated by the dashed line. (D) Tbx2 expression surrounding the developing pronephric tubule and duct at stage 31/32. (E) Magnified view of the boxed area in D. Arrowheads indicate the increased expression of Tbx2 in the dorsal region of the pronephric tubule anlage. (F,G) Transverse sections of the embryo in D at the levels indicated by the dashed lines. The arrow (F) indicates the absence of expression of Tbx2 in the medial layer of the intermediate mesoderm (IM). (H) Tbx2 expression enclosing the pronephric tubule (pt) and duct (pd) at stage 35/36. (I) Enlarged view of the boxed region in H. Arrowheads point to the expression of Tbx2 around the tips of nephrostomes. (J,K) Transverse sections of the embryo in H at the levels indicated by the dashed lines. The pronephric glomus (g) is outlined in red in J. The arrow indicates Tbx2 expression in the non-glomus mesenchyme in the medial layer of IM. (L) Pax2 expression in the pronephric anlage at stage 21. (M-O) Pax2 expression in transverse sections of the pronephric anlage, tubule and duct at the indicated stages. (P) Strong expression of Pax2 in the tips of nephrostomes (arrowheads).
|
|
Fig. 2. Ectopic expression of Tbx2 inhibits pronephric nephron formation. (A-J) Xenopus embryos injected with Tbx2 (200 pg), Tbx2-GR (200 pg), VP16-Tbx2δC (100 pg) or EnR-Tbx2δC (100 pg) mRNA were treated (B,D,F) or otherwise (A,C,E,G-J) with dexamethasone (DEX) from stage 22 to 31 or 34 and then subjected to in situ hybridization for the pronephric markers Pax2, WT1 and Gremlin. The left and right images in each panel indicate the injected and uninjected control sides of the embryo, respectively. Of note, VP16-Tbx2δC disorganizes the pronephric tubules (G) and expands the glomus domain (I). (K) Tbx2 constructs used in the injection experiments. T-BOX, T-box from Tbx2; R, repressor domain of Tbx2; GR, human glucocorticoid receptor ligand-binding domain; VP16, transactivation domain of VP16; EnR, transrepression domain of Engrailed.
|
|
Fig. 3. Loss of Tbx2 function expands the territory of the pronephric duct and glomus but not the tubule. (A-L) Xenopus embryos injected with Tbx2 MO (10 ng), Tbx2δC-GR (200 pg) or control MO (Co MO, 10 ng) were subject to in situ hybridization for the glomus-specific markers WT1 and Nephrin and the duct-specific marker Gremlin at stage 35 or the tubule-specific marker SMP30 at stage 31. To activate injected Tbx2δC-GR mRNA, embryos were treated with DEX from stage 22 to 35 (B,E) or to 31 (H). (A-I) Stained embryos are shown in the upper part of each panel and transverse sections at the levels indicated by the dashed lines are shown below. Left and right parts of each panel show the injected and uninjected control sides, respectively. cl, coelom; g, glomus; pd, pronephric duct; pt, pronephric tubule. Arrows in A,B indicate WT1 and Nephrin expression in the somatic layer of the intermediate mesoderm, respectively. Arrows and bracket in D,E indicate migrating Gremlin-expressing cells and the diameter of pronephric duct, respectively. (J-L) Control MO has no effect on the expression of Nephrin, Gremlin or SMP30.
|
|
Fig. 4. The pronephric nephron is enlarged by inhibition of Tbx2 activity. (A-D) Xenopus embryos injected with Tbx2 mRNA (200 pg), Tbx2 MO (10 ng), Tbx2-GR (200 pg) or Tbx2-delta-C-GR (200 pg) were double stained using pronephric tubule- and duct-specific antibodies (3G8 and 4A6, respectively) at stage 42. To activate injected Tbx2-GR and Tbx2-delta-C-GR mRNA, DEX treatment was from stage 22 to 42 (C,D). Left and right parts of each panel show the injected and uninjected sides of embryos, respectively. Magnified views of the boxed areas are shown beneath.
|
|
Fig. 5. Tbx2 downregulates the expression of Gremlin and Hey1 to control pronephric morphogenesis. (A) Diagram of the in vitro kidney induction assay. RA, retinoic acid. (B-N) Four-cell stage Xenopus embryos were injected in the animal pole region with Tbx2 mRNA (100 pg) or Tbx2 MO (10 ng) and then the animal explants were dissected at stage 9.5 and processed for in vitro kidney induction. Subsequently, the animal cap tissues were observed for morphology (B-E), sectioned for in situ hybridization with a Pax2 antisense probe (F-I) and immunohistochemistry with the tubule-specific antibody 3G8 (J-M) or subjected to RT-PCR analysis (N). W, whole embryo; AC, uninjected animal caps without RA and activin treatment; (â), uninjected animal caps with RA and activin treatment; âRT, negative control without reverse transcriptase; ODC, ornithine decarboxylase loading control. Arrowheads (G,K,I,M) indicate Pax2 expression or 3G8 staining in the induced animal caps. (O-R) Embryos injected with Tbx2 (200 pg), Tbx2-GR (200 pg), Tbx2 MO (10 ng) or Tbx2δC-GR (200 pg) were subject to in situ hybridization with a Hey1 antisense probe. Arrowheads indicate Hey1 expression in the pronephros. Embryos in P,R were treated with DEX from stage 22 to 32. (S-U) Impaired expression of Pax2 caused by Tbx2 was restored by co-injection of Gremlin or Hey1. Embryos injected with Tbx2 mRNA (200 pg) with or without Hey1 (100 pg) or Gremlin (10 pg) were subject to in situ hybridization for Pax2 at stage 35. n, total number of embryos analyzed; the percentage of embryos showing the phenotype illustrated is indicated. Left and right parts of each panel show the injected and uninjected control sides of embryos, respectively.
|
|
Fig. 6. BMP signaling inhibits the expression of Hey1 and Gremlin via Tbx2. (A-J) Xenopus embryos injected with the indicated combinations of Smad1-GR (250 pg), Delta-Smad7tevGR (250 pg)/TEV2GR (10 pg) and Tbx2-GR (200 pg) mRNA were subjected to in situ hybridization for Tbx2, Pax2, Hey1 or Gremlin. Control shows the uninjected side of the embryo. DEX treatment was from stage 22 to 35. Arrowheads (G,H) indicate Hey1 expression in the pronephros. (K-N) Quantification of rescue experiments shown in A-J. n, total number of embryos analyzed.
|
|
Fig. 7. Gremlin and Hey1 downregulate Tbx2 by antagonizing BMP signaling. (A) Animal cap tissues from Xenopus embryos injected with Hey1 (100 pg) or Gremlin (10 pg) mRNA were subjected to RT-PCR analysis. (B-E) Embryos injected with Hey1 (100 pg) or Gremlin (10 pg) mRNA were subject to in situ hybridization for Tbx2, Gremlin or Hey1. Control shows the uninjected side of the embryo. Arrowheads (E) indicate Hey1 expression in the pronephros. (F) Animal caps from embryos injected with a combination of Bmp4 (200 pg), Gremlin (200 pg) and Tbx2 MO (10 ng) were treated with RA and activin for in vitro kidney induction and then subjected to RT-PCR analysis. W, whole embryo; AC, uninjected animal caps without RA and activin treatment; (â), uninjected animal caps with RA and activin treatment; âRT, negative control without reverse transcriptase; ODC, ornithine decarboxylase loading control.
|
|
Fig. S2. Effects of the loss of Tbx2 function on expression of XC3H-3b and Vimentin. (A-H) Embryos injected with Tbx2 MO (10 ng) or Tbx2δC-GR (200 pg) were subjected to in situ hybridization for the markers XC3H-3b or Vimentin (shown for Tbx2 MO versus control in A,B) at stage 35 and then Vibratome sectioned (C-H). For the inducible Tbx2δC-GR construct, embryos were treated with dexamethasone from stage 22 to 35 (D,G) or left untreated (E,H). Left and right parts of each panel show the injected and uninjected sides of embryos, respectively. Brackets in C and D indicate the width of the pronephric duct. Dotted lines in F and G outline to the glomus domain. The expression of XC3H-3b and Vimentin was specifically detected around the pronephric nephron on the control side of embryos and these expression patterns were maintained around the pronephric nephron expanded by the depletion of Tbx2.
|
|
Fig. S3. Effects of inhibition of Tbx2 function on the expression of MyoD. (A-C) Tbx2 MO and Tbx2δC-GR marginally affect MyoD expression in the anterior somite regions. Embryos injected with Tbx2 MO (10 ng) or Tbx2δC-GR (200 pg) were subject to in situ hybridization with MyoD antisense probe. Embryos in B and C were treated with dexamethasone from stage 12 and 22 to 34, respectively.
|
|
Fig. S4. Ectopic expression of WT1 expands the glomus domain and inhibits proximal tubule formation. (A-C) Embryos injected with WT1 RNA (200 pg) were subject to in situ hybridization for Pax2, Nephrin and Tbx2 at stage 32. Note that WT1 specifically impairs Pax2 expression in the pronephric tubules (arrowhead), whereas it increases Nephrin expression. Tbx2 expression is still detectable around the expanded pronephric mesoderm in the WT1-injected side of the embryo. Control, uninjected side.
|
|
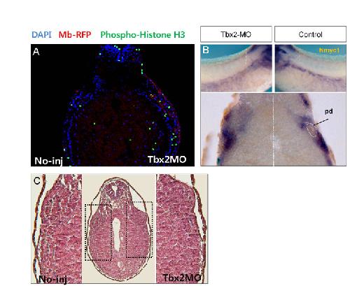
Fig. S5. Depletion of Tbx2 increases the rate of cell proliferation in the pronephric nephron. (A) Phospho-histone H3 staining of the pronephric field in a Tbx2-depleted embryo. Membrane-targeted RFP was co-injected as a lineage tracer. (B) In situ hybridization showing the expression of NMyc1 in the Tbx2 MO (10 ng)-injected and uninjected control sides of an embryo. A transverse section of the embryo shown in the upper panel at the level of the dashed line is shown beneath. The dotted line encloses the pronephric duct (pd). (C) Hematoxylin and Eosin staining of the pronephric field in the Tbx2-depleted embryo.
|
|
nphs1 (nephrin) gene expression in Xenopus laevis embryo, assayed via in situ hybridization, NF stage 28, lateral view, anterior right, dorsal up.
|