Click here to close
Hello! We notice that you are using Internet Explorer, which is not supported by Xenbase and may cause the site to display incorrectly.
We suggest using a current version of Chrome,
FireFox, or Safari.
Dev Biol
2011 Feb 10;1373:67-78. doi: 10.1016/j.brainres.2010.12.026.
Show Gene links
Show Anatomy links
Germinal sites and migrating routes of cells in the mesencephalic and diencephalic auditory areas in the African clawed frog (Xenopus laevis).
Huang YF
,
Zhang JY
,
Xi C
,
Zeng SJ
,
Zhang XW
,
Zuo MX
.
???displayArticle.abstract???
There is a clear core-shell organization in the auditory nuclei of amniotes. However, such organization only exists in the mesencephalic, but not in the diencephalic auditory regions of amphibians. To gain insights into how this core-shell organization developed and evolved, we injected a small dose of [(3)H]-thymidine into tadpoles of Xenopus laevis at peak stages of neurogenesis in the mesencephalic and diencephalic auditory areas. Following different survival times, the germinal sites and migrating routes of cells were examined in the shell (laminar nucleus, Tl; magnocellular nucleus, Tmc) and core (principal nucleus, Tp) regions of the mesencephalic auditory nucleus, torus semicircularis (Ts), as well as in the diencephalic auditory areas (posterior thalamic nucleus, P; central thalamic nucleus, C). Double labeling for [(3)H]-thymidine autoradiography and immunohistochemistry for vimentin was also performed to help determine the routes of cell migration. We found three major results. First, the germinal sites of Tp were intercalated between Tl and Tmc, arising from those of the shell regions. Second, although the germinal sites of Tl, Tmc, and Tp were located in the same brain levels (at rostromedial or caudomedial levels of Ts), neurogenesis in Tl or Tmc started earlier than that in Tp. Finally, the P and C were also generated in different ventricle sites. However, unlike Ts their neurogenesis showed no obvious temporal differences. These data demonstrate that a highly differentiated auditory region, such as Tp in Ts, is lacking in the diencephalon of amphibian. Our data are discussed from the view of the constitution and evolutionary origins of auditory nuclei in vertebrates.
Fig. 1.
Schematic diagrams of the mesencephalic and diencephalic auditory areas in X. laevis at the end of metamorphosis. The mesencephalic auditory nucleus, consisting of the principal nucleus (Tp), the laminar nucleus (Tl) and the magnocellular nucleus (Tmc), is divided into five equal parts by four coronal planes, A1 (caudal, c), A2 (caudomedial, cm), A3 (rostromedial, rm), and A4 (rostral, r). The diencephalic auditory regions, including the posterior thalamic nucleus (P) and the central thalamic nucleus (C), are divided into five equal parts by four coronal brain planes (B1, B2, B3, and B4). The locations of the above coronal planes in the brain are shown in the insert at the bottom (the rostral is to the right). These planes will be used in the following figures. Dorsal is up. Scale bar = 0.5 mm. For the abbreviations, see list.
Fig. 2.
Labeling in torus semicircularis (Ts) after the injections of [3H]-thymidine into tadpoles at S49 or 50. Tadpoles were allowed to survive for 2 h (A and D), 1 d (E and F), 3 d (G and H), 6 d (I and J), 9 d (K and L), 18 d (M and N), or 30 d (O to R). The boxed areas in A, C, K, M, O, and Q are further magnified in the next image. The asterisks in C, D, F, and H show the germinal sites of Tp. The brain levels of the figure located (c: caudal, cm: caudomedial, rm: rostromedial, and r: rostral) are shown in Fig. 1. Scale bar = 200 μm for A, E, G, I, and K and 50 μm for the others. For the abbreviations, see list.
Fig. 3.
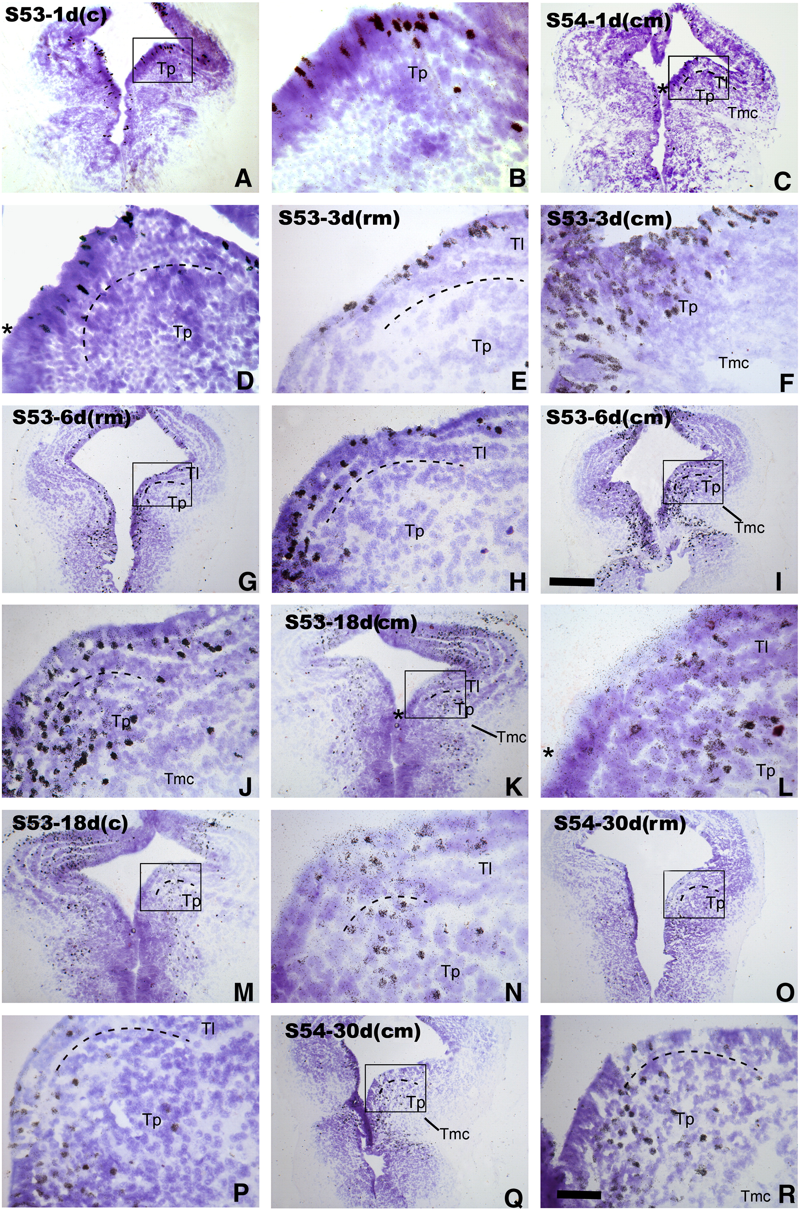
Labeling in torus semicircularis (Ts) after the injections of [3H]-thymidine into tadpoles at S53 or 54. Tadpoles were allowed to survive for 1 d (A to D), 3 d (E and F), 6 d (I and J), 18 d (K to N), or 30 d (O to R). The boxed areas in A, C, G, I, K, M, O, and Q are further magnified in the next image. The asterisks in K and L show the germinal sites of Tmc. The brain levels of the figure located (c: caudal, cm: caudomedial, rm: rostromedial, and r: rostral) are shown in Fig. 1. Scale bar = 200 μm for A, C, G, I, K, M, O, and Q and 50 μm for the others. For the abbreviations, see list.
ig. 4.
Labeling in the diencephalic auditory areas after the injections of [3H]-thymidine into tadpoles at S50 (A–G) or 53 (H–L). Tadpoles were allowed to survive for 3 d (A to D and H to G), 9 d (E and K), or 18 d (F and L). The boxed areas in A, F, and H are further magnified in the next image. The brain levels of the images located (B1 to B4) are shown in Fig. 1. Scale bar = 50 μm for B, G, I, and L and 200 μm for the others. For the abbreviations, see list.
Fig. 5.
Double labeling for [3H]-thymidine and VIM immunohistochemistry. Tadpoles received [3H]-thymidine injections at S49 (A, B, D, and E) or 50 (C and F to Jâ²). They were allowed to survive for 3 d (A to C and H to Iâ²), 6 d (D), 9 d (E, J, and Jâ²), or 30 d (F and G). The boxed areas in A, H, I, and J are further magnified in the next image. The arrowheads in C and D show the labeled fibers for VIM, which orientate to the magnocellular nucleus (Tmc). The brain levels of the figure located (cm: caudomedial, rm: rostromedial, and B1, B3, or B4) are shown in Fig. 1. Scale bar = 200 μm for J, 100 μm for A, H, and I and 50 μm for the others. For the abbreviations, see list.