Click here to close
Hello! We notice that you are using Internet Explorer, which is not supported by Xenbase and may cause the site to display incorrectly.
We suggest using a current version of Chrome,
FireFox, or Safari.
Genes Cells
2011 Jan 01;161:12-22. doi: 10.1111/j.1365-2443.2010.01464.x.
Show Gene links
Show Anatomy links
Positively charged residues located downstream of PIP box, together with TD amino acids within PIP box, are important for CRL4(Cdt2) -mediated proteolysis.
Michishita M
,
Morimoto A
,
Ishii T
,
Komori H
,
Shiomi Y
,
Higuchi Y
,
Nishitani H
.
???displayArticle.abstract??? PCNA links Cdt1 and p21 for proteolysis by Cul4-DDB1-Cdt2 (CRL4(Cdt2) ) in the S phase and after DNA damage in mammalian cells. However, other PCNA-interacting proteins, such as ligase I, are not targets of CRL4(Cdt2) . In this study, we created chimera constructs composed of Cdt1 and ligase I and examined how the proteolysis of PCNA-interacting proteins is regulated. Consistent with a recent report using the Xenopus egg system (Havens & Walter 2009), two amino acid elements are also required for degradation in HeLa cells: TD amino acid residues in the PIP box and the basic amino acid at +4 downstream of the PIP box. In addition, we demonstrate that a basic amino acid at +3 is also required for degradation and that an acidic amino acid residue following the basic amino acids abolishes the degradation. Electrostatic surface images suggest that the basic amino acid at +4 is involved in a contact with PCNA, while +3 position extending to opposite direction is important to create a positively charged surface. When all these required elements were introduced in ligase I peptide, the substituted form became degraded. Our results demonstrate that PCNA-dependent degron is strictly composed to avoid illegitimate destruction of PCNA-interacting proteins.
Figure 1
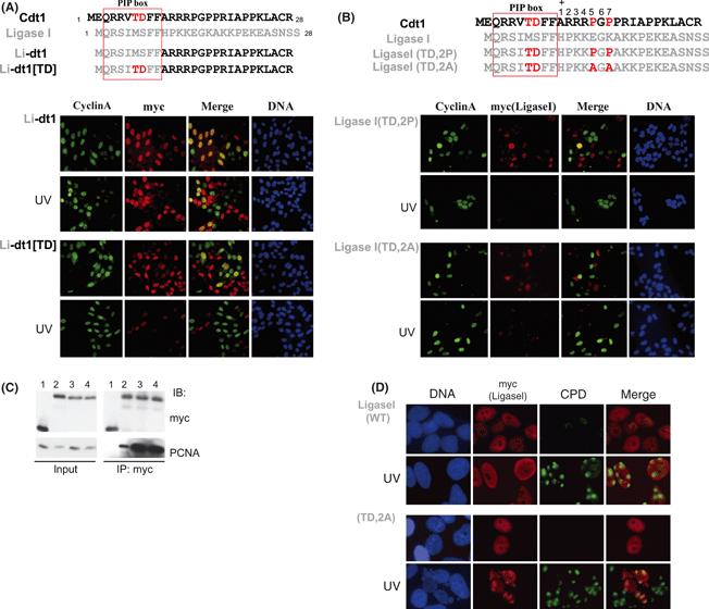
Both of the basic amino acids 13R and 14R of Cdt1 are required for CRL4-mediated proteolysis. (A) Basic amino acid cluster 12RRR14 or following three amino acids 15PGP17 were changed to alanines (12AAA14 and 15AAA17, respectively) using the construct Cdt1(1-101)Cy-9myc3NLS, and HeLa cells stably expressing them were isolated. Stability during the S phase and following UV irradiation (UV) was examined by double staining with antibodies for cyclin A and myc (for Cdt1). (B) 13R or 14R of Cdt1 was changed to alanine using the construct Cdt1(1–28)-9myc3NLS, and HeLa cells stably expressing them were isolated. The stability of Cdt1(1–28), Cdt1(1–28)[R13A], and Cdt1(1–28)[R14A] was examined as above.
Figure 2
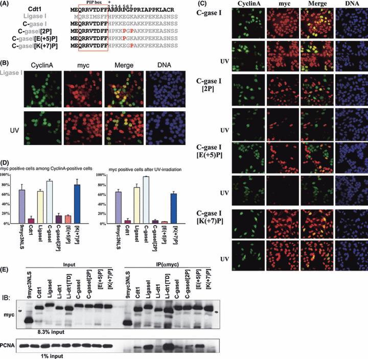
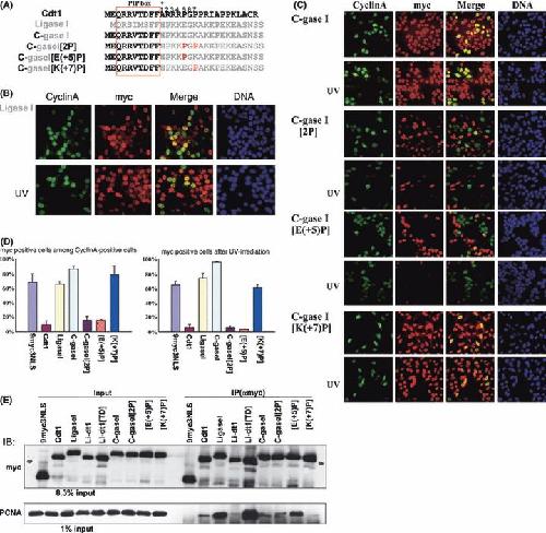
Acidic amino acid following the basic amino acids located in downstream from the PIP box interrupts degradation. (A) Alignment of 28 amino-terminal regions of Cdt1, ligase I, and their chimera constructs. (B) Ligase I expressing the amino-terminal 28 amino acid region. Ligase I(1–28)-9myc3NLS is stable both during the S phase and following UV irradiation (UV). (C) The stability of chimera construct C-gase I(1–28)-9myc3NLS and its mutated forms, as shown in (A), were examined. (D) Frequency of cells expressing indicated constructs was examined in cyclin A-positive cells (left) or in whole cells after UV irradiation (right). (E) Co-immunoprecipitation assay. 293T cells were transfected with the indicated plasmids (9myc3NLS, Cdt1(1–28)-, ligase I(1–28)-, Li-dt1(1–28)-, Li-dt1(1–28)[TD]-, C-gaseI(1–28)-, C-gaseI(1–28) [2P]-, C-gaseI(1–28) [E(+5)P]-, C-gaseI(1–28) [K(+7)P]-9myc3NLS). Two days later, cell extract was prepared and immunoprecipitated with anti-myc antibody as described in Experimental procedures. Precipitates were blotted with antibodies for myc and PCNA.
Figure 3
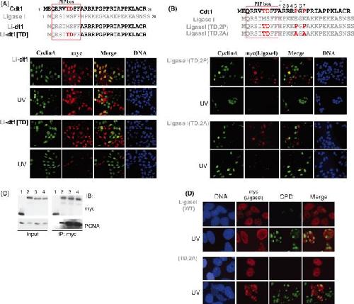
Ligase I is degraded when TD amino acid substitution is introduced within the PIP box and acidic amino acid at +5 is neglected. (A) Li-dt1 is degraded through CRL4Cdt2 when MS amino acids in the PIP box were changed to TD. HeLa cells stably expressing Li-dt1(1–28)-9myc3NLS (Li-dt1) or Li-dt1(1–28)[TD]-9myc3NLS (Li-dt1[TD]) were examined for stability. (B) Ligase I constructs mutated to TD within the PIP box and mutated at +5 acidic amino acid together with at +7, ligase I(1–28) [TD, 2A] or [TD, 2P], were examined for stability. (C) Interaction of ligase I and its mutated forms with PCNA. 293T cells were transfected with plasmids and treated as described in Figure 2E to examine the interaction with PCNA. The following plasmids were transfected: (lane 1) 9myc3NLS, (lane 2) ligase I(1–28)-9myc3NLS, (lane 3) ligase I(1–28) [TD]-9myc3NLS and (lane 4) ligase I(1–28) [TD, 2A]-9myc3NLS. (D) Ligase I(1–28) [TD, 2A], but not ligase I(1–28) accumulates at the sites of DNA damage. Half of the HeLa cell culture stably expressing ligase I(1–28) (WT) or ligase I(1–28) [TD, 2A]was treated with MG132 1 h before micropore UV irradiation (UV). Thirty minutes later, cells were fixed and stained with antibodies for myc (ligase I) and CPD.
Figure 4
A model showing that TD amino acids within the PIP box and two basic amino acids at +3 and +4 downstream of the PIP box create a degron for CRL4Cdt2, but that it is inhibited by an acidic amino acid at +5. (A) Alignment of PIP box-containing proteins. (h); human, (m): mouse and (X): Xenopus. (B) Electrostatic surface image of PCNA bound with p21 peptide, adopted from (Gulbis et al. 1996). p21 peptide is shown as a ball-and-stick model and colored by green (left). Surfaces with positive and negative areas are represented in blue and red, respectively. The surface electrostatic potentials were calculated from structure coordinates (PDB: 1AXC) by using MolFeat (FiatLux Co.).