Click here to close
Hello! We notice that you are using Internet Explorer, which is not supported by Xenbase and may cause the site to display incorrectly.
We suggest using a current version of Chrome,
FireFox, or Safari.
Dev Dyn
2011 May 01;2405:1127-41. doi: 10.1002/dvdy.22503.
Show Gene links
Show Anatomy links
Matrix metalloproteinase expression during blastema formation in regeneration-competent versus regeneration-deficient amphibian limbs.
Santosh N
,
Windsor LJ
,
Mahmoudi BS
,
Li B
,
Zhang W
,
Chernoff EA
,
Rao N
,
Stocum DL
,
Song F
.
???displayArticle.abstract???
We used an antibody array to compare the protein expression of matrix metalloproteinases (MMPs)-1, -2, -3, -8, -9, -10, and -13, as well as the tissue inhibitors of metalloproteinases (TIMPs)-1, -2, and -4 during blastema formation in amputated hindlimbs of regeneration-competent wild-type axolotls and stage-54 Xenopus, and regeneration-deficient short-toes axolotls and Xenopus froglets. Expression of MMP-9 and -2 was also compared by zymography. Both short-toes and froglet failed to up-regulate MMPs in a pattern comparable to the wild-type axolotl, suggesting that subnormal histolysis is at least in part responsible for the poor blastema formation characteristic of both short-toes and froglet. MMP levels were much lower in amputated stage-54 Xenopus limb buds than in the other animals, suggesting that blastema formation in these limb buds requires much less extracellular matrix degradation than in fully differentiated limbs. TIMP expression patterns followed the same trends as the MMP's in each group of animals.
Figure 1. Gelatin Zymography. Twenty micrograms of total protein from all the time points of wild-type axolotl, s/s axolotl, Xenopus stage-54, and Xenopus stage-60 were mixed with loading dye with (D, H, L, P) or without β-mercaptoethanol (A, E, I, M) and resolved in a 12% SDS-PAGE with 1 mg/ml gelatin at 200V. The gels were washed thoroughly to remove SDS and incubated for 24 hr at 37°C with or without inhibitors, 10 μM 1, 10-phenanthroline (B, F, J, N), or 1 mg/ml soybean trypsin inhibitor (C, G, K, O) and then stained with Coomassie blue to visualize lytic bands. [Color figure is in the online issue, which is available at wileyonlinelibrary.com.]Download figure to PowerPoint
Figure 2. Western blot analyses for MMP-9 expression during limb regeneration. Forty micrograms of total protein from all the time point samples of wild-type axolotl, s/s axolotl, Xenopus stage-54, and stage-60 was resolved in 12% SAS-PAGE gel and transferred to the nitrocellulose membranes. The concentration for primary anti-MMP-9 antibody was 0.65 μg/ml for axolotls and 1 mg/ml for Xenopus. [Color figure is in the online issue, which is available at wileyonlinelibrary.com.]
Figure 3. The relative expression of MMP-9 compared to wild-type axolotl control detected by Western Blot. The density of MMP-9 was measured by Quantity One volume analysis software and two-way ANOVA was used to analyze data. *Statistically significant compared to Wild-type Axolotl control (P < 0.05).Download figure to PowerPoint
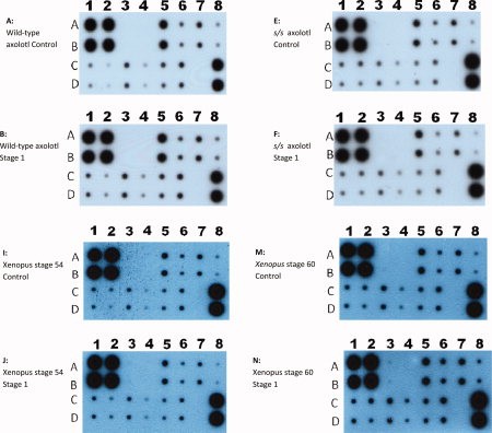
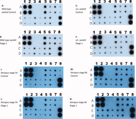
Figure 4. MMP Antibody Array. Twenty micrograms of total protein from individual stages from wild-type axolotl, s/s axolotl, Xenopus stage-54, and Xenopus stage-60 were incubated with the MMP membrane following the manufacturer's instruction. The signals of the different MMPs and TIMPs were detected by exposing the membranes to X-ray film for 30 sec and the films were developed. The density of each dot was measured by NIH SCION image Beta 4.03 software. Positive control was used as an internal control to normalize the blots, while the negative control was measured as background. [Color figure is in the online issue, which is available at wileyonlinelibrary.com.]
Figure 5. The relative fold change of the expression of MMPs and TIMPs in wild-type axolotl. The density of each dot from the MMP array was measured by NIH SCION image Beta 4.03 software and adjusted for the background by the negative control. The different arrays was normalized by the positive control. *Statistically significant compared to control (P < 0.05).Download figure to PowerPoint
Figure 6. The relative fold change of the expression of MMPs and TIMPs in s/s axolotl. The density of each dot from the MMP array was measured by NIH SCION image Beta 4.03 software, and adjusted for the background by the negative controls. The different arrays was normalized by the positive control. *Statistically significant compared to control (P < 0.05).Download figure to PowerPoint
Figure 7. The relative fold change of the expression of MMPs and TIMPs in Xenopus stage-54. The density of each dot from the MMP array was measured by NIH SCION image Beta 4.03 software, and adjusted for the background by the negative controls. The different arrays was normalized by the positive control. *Statistically significant compared to control (P < 0.05).Download figure to PowerPoint
Figure 8. The relative fold change of the expression of MMPs and TIMPs in Xenopus stage-60. The density of each dot from the MMP array was measured by NIH SCION image Beta 4.03 software and adjusted for the background by the negative controls. The different arrays was normalized by the positive control. *Statistically significant compared to control (P < 0.05).Download figure to PowerPoint