Click here to close
Hello! We notice that you are using Internet Explorer, which is not supported by Xenbase and may cause the site to display incorrectly.
We suggest using a current version of Chrome,
FireFox, or Safari.
Mol Cell Proteomics
2011 Feb 01;102:M110.004697. doi: 10.1074/mcp.M110.004697.
Show Gene links
Show Anatomy links
TMEM16A(a)/anoctamin-1 shares a homodimeric architecture with CLC chloride channels.
Fallah G
,
Römer T
,
Detro-Dassen S
,
Braam U
,
Markwardt F
,
Schmalzing G
.
???displayArticle.abstract??? TMEM16A/anoctamin-1 has been identified as a protein with the classic properties of a Ca(2+)-activated chloride channel. Here, we used blue native polyacrylamide gel electrophoresis (BN-PAGE) and chemical cross-linking to assess the quaternary structure of the mouse TMEM16A(a) and TMEM16A(ac) splice variants as well as a genetically concatenated TMEM16A(a) homodimer. The constructs carried hexahistidyl (His) tags to allow for their purification using a nondenaturing metal affinity resin. Neither His-tagging nor head-to-tail concatenation of two copies of TMEM16A(a) noticeably affected Ca(2+)-induced measured macroscopic Cl(-) currents compared with the wild-type TMEM16A(a) channel. The digitonin-solubilized, nondenatured TMEM16A(a) protein migrated in the BN-PAGE gel as a homodimer, as judged by comparison with the concatenated TMEM16A(a) homodimer and channel proteins of known oligomeric structures (e.g. the voltage-gated Cl(-) channel CLC-1). Cross-linking with glutaraldehyde corroborated the homodimeric structure of TMEM16A(a). The TMEM16A(a) homodimer detected in Xenopus laevis oocytes and HEK 293 cells dissociated into monomers following denaturation with SDS, and reducing versus nonreducing SDS-PAGE provided no evidence for the presence of intersubunit disulfide bonds. Together, our data demonstrate that the Ca(2+)-activated chloride channel member TMEM16A shares an obligate homodimeric architecture with the hCLC-1 channel.
Fig. 1. Functional characterization of mTMEM16A(a) in X. laevis oocytes. A, Topological model of mTMEM16A, as drawn with TeXtopo (44). The indicated location of the transmembrane segments (TMI-TMVIII) was calculated with the topology prediction program MEMSAT3.0 (56). The C-terminal His tag (green) and the positions of the five luminally located N-glycosylation sequons (NXS/T) are also indicated. Human TMEM16A(a) isoforms are generated by the inclusion or omission of three alternative segments, b-d (14), of which the sequence of segment c (EAVK) was identified in the mouse genome following a BLAST search of DNA databases. B, Current responses were elicited in uninjected control oocytes and mTMEM16A(a)-expressing oocytes by the addition of 1 μm A23187 for the time indicated by the horizontal bar. The time-dependent outward conductances are the mean ± S.E. of recordings from five to six oocytes per data point. C, The bars represent the mean ± S.E. (5 to 17 oocytes per bar) of the maximum outward conductance from the A23187-elicited current response in oocytes expressing the indicated mTMEM16A(a) constructs, recorded as in B.
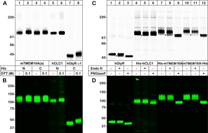
Fig. 2. Total and cell-surface expression of the Cl−-conducting channels mTMEM16A(a), hCLC-1, and hGlyR α1. A, B, The indicated [35S]-methionine- and Cy5-labeled proteins were purified by Ni-NTA chromatography and resolved with both reducing and nonreducing SDS-urea-PAGE. The incorporated [35S]-methionine (A) and Cy5 fluorescence (B) was visualized with phosphorimaging and Typhoon fluorescence scanning to display the total and cell-surface pools of the proteins, respectively. N and C in the figure legend indicate whether the His tag was N- or C-terminally positioned, respectively. C, D, Aliquots of the same protein samples used in A and B were deglycosylated with Endo H and PNGase F, as indicated, and were found to exist exclusively in the complex-glycosylated form in the plasma membrane (D). In contrast, the [35S]-methionine-labeled protein was partially Endo H-sensitive (C, red arrowheads).
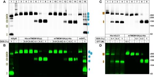
Fig. 3. BN-PAGE analysis of the oligomeric structure of mTMEM16A(a). The indicated channel proteins were purified by nondenaturing Ni-NTA chromatography from digitonin extracts of X. laevis oocytes, resolved by BN-PAGE, and visualized in the [35S]-methionine-labeled total form or the Cy5-labeled plasma membrane-bound form with phosphorimaging (upper panels) or Typhoon fluorescence scanning (lower panels), respectively. Protein migration is shown both under native conditions and after partial denaturation following a 1-h incubation with SDS and/or DTT at 37 °C, as indicated. A, B, The yellow and blue ovals schematically illustrate the oligomeric states (protomers to pentamers) of the partially denatured hGlyR α1 and m5HT3R, respectively. C, D, The orange ovals schematically illustrate the native homodimeric and the denatured protomeric states of the hCLC-1 channel; the homodimeric structure of prokaryotic CLCs was verified by x-ray crystallography (54). The number in the right margin indicates the mass of the partially disassembled hGlyR α1, which resolved in the BN-PAGE gel as a ladder of proteins consisting of one to five 52-kDa protomers (cf. Figs. 3A and 3B, lane 1).
Fig. 4. Analysis of the oligomeric structure of mTMEM16A(a) following chemical cross-linking. mTMEM16A(a)-expressing X. laevis oocytes were metabolically labeled with [35S]-methionine overnight. After an additional 24-h chase, the outer oocyte surface was labeled with Cy5-NHS-ester. Immediately thereafter, the oocytes were homogenized in the presence of the indicated concentration of dimethyl adipimidate (DMA) or glutaraldehyde (GA). The proteins were purified by nondenaturing Ni-NTA chromatography and resolved in the fully SDS-denatured state with reducing SDS-urea-PAGE (A, B) and in the nondenatured and partially SDS-denatured state with BN-PAGE (C, D). The upper and lower panels present the [35S]-methionine-labeled total form and the Cy5-labeled plasma membrane-bound form of the polypeptides. Note that no protein could be isolated following treatment with 100 mm glutaraldehyde. The concatenated mTMEM16A(a) dimer was also analyzed. The orange and green double ovals indicate the position(s) of the concatenated mTMEM16A(a) homodimer following no treatment or treatment with 10 mm glutaraldehyde, respectively. Lanes 12â14 were taken at threefold higher image gain settings than the other lanes.
Barish,
A transient calcium-dependent chloride current in the immature Xenopus oocyte.
1983, Pubmed,
Xenbase
Barish,
A transient calcium-dependent chloride current in the immature Xenopus oocyte.
1983,
Pubmed
,
Xenbase
Becker,
The P2X7 carboxyl tail is a regulatory module of P2X7 receptor channel activity.
2008,
Pubmed
,
Xenbase
Beitz,
T(E)Xtopo: shaded membrane protein topology plots in LAT(E)X2epsilon.
2000,
Pubmed
Büttner,
Ubiquitination precedes internalization and proteolytic cleavage of plasma membrane-bound glycine receptors.
2001,
Pubmed
,
Xenbase
Caputo,
TMEM16A, a membrane protein associated with calcium-dependent chloride channel activity.
2008,
Pubmed
Cross,
A fast block to polyspermy in frogs mediated by changes in the membrane potential.
1980,
Pubmed
Das,
Topology of NGEP, a prostate-specific cell:cell junction protein widely expressed in many cancers of different grade level.
2008,
Pubmed
Dascal,
Role of calcium mobilization in mediation of acetylcholine-evoked chloride currents in Xenopus laevis oocytes.
1985,
Pubmed
,
Xenbase
Detro-Dassen,
Conserved dimeric subunit stoichiometry of SLC26 multifunctional anion exchangers.
2008,
Pubmed
,
Xenbase
Duckwitz,
P2X5 subunit assembly requires scaffolding by the second transmembrane domain and a conserved aspartate.
2006,
Pubmed
,
Xenbase
Duran,
Chloride channels: often enigmatic, rarely predictable.
2010,
Pubmed
Dutzler,
X-ray structure of a ClC chloride channel at 3.0 A reveals the molecular basis of anion selectivity.
2002,
Pubmed
Dutzler,
A structural perspective on ClC channel and transporter function.
2007,
Pubmed
Fahlke,
Subunit stoichiometry of human muscle chloride channels.
1997,
Pubmed
,
Xenbase
Ferrera,
Regulation of TMEM16A chloride channel properties by alternative splicing.
2009,
Pubmed
Gendreau,
A trimeric quaternary structure is conserved in bacterial and human glutamate transporters.
2004,
Pubmed
,
Xenbase
Gloor,
A vector for the synthesis of cRNAs encoding Myc epitope-tagged proteins in Xenopus laevis oocytes.
1995,
Pubmed
,
Xenbase
Gomez-Hernandez,
Calcium dependence and distribution of calcium-activated chloride channels in Xenopus oocytes.
1997,
Pubmed
,
Xenbase
Griffon,
Molecular determinants of glycine receptor subunit assembly.
1999,
Pubmed
,
Xenbase
Isacoff,
Evidence for the formation of heteromultimeric potassium channels in Xenopus oocytes.
1990,
Pubmed
,
Xenbase
Jones,
Principles of protein-protein interactions.
1996,
Pubmed
Jones,
Improving the accuracy of transmembrane protein topology prediction using evolutionary information.
2007,
Pubmed
Klapperstück,
Characteristics of P2X7 receptors from human B lymphocytes expressed in Xenopus oocytes.
2000,
Pubmed
,
Xenbase
Langosch,
Conserved quaternary structure of ligand-gated ion channels: the postsynaptic glycine receptor is a pentamer.
1988,
Pubmed
Leitner,
Probing native protein structures by chemical cross-linking, mass spectrometry, and bioinformatics.
2010,
Pubmed
Liman,
Subunit stoichiometry of a mammalian K+ channel determined by construction of multimeric cDNAs.
1992,
Pubmed
,
Xenbase
Ludewig,
Two physically distinct pores in the dimeric ClC-0 chloride channel.
1996,
Pubmed
,
Xenbase
Machaca,
Reversible Ca gradients between the subplasmalemma and cytosol differentially activate Ca-dependent Cl currents.
1999,
Pubmed
,
Xenbase
Marianayagam,
The power of two: protein dimerization in biology.
2004,
Pubmed
Middleton,
Homodimeric architecture of a ClC-type chloride ion channel.
1996,
Pubmed
Middleton,
Purification, reconstitution, and subunit composition of a voltage-gated chloride channel from Torpedo electroplax.
1994,
Pubmed
Migneault,
Glutaraldehyde: behavior in aqueous solution, reaction with proteins, and application to enzyme crosslinking.
2004,
Pubmed
Miledi,
A calcium-dependent transient outward current in Xenopus laevis oocytes.
1982,
Pubmed
,
Xenbase
Miledi,
Chloride current induced by injection of calcium into Xenopus oocytes.
1984,
Pubmed
,
Xenbase
Miller,
Dimeric structure of single chloride channels from Torpedo electroplax.
1984,
Pubmed
Minier,
Techniques: Use of concatenated subunits for the study of ligand-gated ion channels.
2004,
Pubmed
Nayeem,
Quaternary structure of the native GABAA receptor determined by electron microscopic image analysis.
1994,
Pubmed
Nicke,
Assembly of nicotinic alpha7 subunits in Xenopus oocytes is partially blocked at the tetramer level.
2004,
Pubmed
,
Xenbase
Nicke,
Blue native PAGE as a useful method for the analysis of the assembly of distinct combinations of nicotinic acetylcholine receptor subunits.
1999,
Pubmed
,
Xenbase
Nicke,
P2X1 and P2X3 receptors form stable trimers: a novel structural motif of ligand-gated ion channels.
1998,
Pubmed
,
Xenbase
Nicke,
Monomeric and dimeric byproducts are the principal functional elements of higher order P2X1 concatamers.
2003,
Pubmed
,
Xenbase
Oosawa,
Rat brain glutamate receptors activate chloride channels in Xenopus oocytes coupled by inositol trisphosphate and Ca2+.
1989,
Pubmed
,
Xenbase
Oron,
Inositol 1,4,5-trisphosphate mimics muscarinic response in Xenopus oocytes.
,
Pubmed
,
Xenbase
Parker,
Changes in intracellular calcium and in membrane currents evoked by injection of inositol trisphosphate into Xenopus oocytes.
1986,
Pubmed
,
Xenbase
Rosenfeld,
In-gel digestion of proteins for internal sequence analysis after one- or two-dimensional gel electrophoresis.
1992,
Pubmed
Sadtler,
A basic cluster determines topology of the cytoplasmic M3-M4 loop of the glycine receptor alpha1 subunit.
2003,
Pubmed
,
Xenbase
Saiyed,
Molecular basis of gephyrin clustering at inhibitory synapses: role of G- and E-domain interactions.
2007,
Pubmed
,
Xenbase
Schägger,
Analysis of molecular masses and oligomeric states of protein complexes by blue native electrophoresis and isolation of membrane protein complexes by two-dimensional native electrophoresis.
1994,
Pubmed
Schroeder,
Expression cloning of TMEM16A as a calcium-activated chloride channel subunit.
2008,
Pubmed
,
Xenbase
Takahashi,
Rat brain serotonin receptors in Xenopus oocytes are coupled by intracellular calcium to endogenous channels.
1987,
Pubmed
,
Xenbase
Vergani,
CFTR channel opening by ATP-driven tight dimerization of its nucleotide-binding domains.
2005,
Pubmed
Verkman,
Chloride channels as drug targets.
2009,
Pubmed
Wittig,
Mass estimation of native proteins by blue native electrophoresis: principles and practical hints.
2010,
Pubmed
Wittig,
High resolution clear native electrophoresis for in-gel functional assays and fluorescence studies of membrane protein complexes.
2007,
Pubmed
Yang,
TMEM16A confers receptor-activated calcium-dependent chloride conductance.
2008,
Pubmed
,
Xenbase