Click here to close
Hello! We notice that you are using Internet Explorer, which is not supported by Xenbase and may cause the site to display incorrectly.
We suggest using a current version of Chrome,
FireFox, or Safari.
Dev Biol
2004 Jan 01;2651:105-12. doi: 10.1016/j.ydbio.2003.09.030.
Show Gene links
Show Anatomy links
FLASH, a component of the FAS-CAPSASE8 apoptotic pathway, is directly regulated by Hoxb4 in the notochord.
Morgan R
,
Nalliah A
,
Morsi El-Kadi AS
.
???displayArticle.abstract???
The Hox genes are a family of homeodomain-containing transcription factors that confer positional identity during development. Although their regulation and function have been extensively studied, very little is known of their downstream target genes. Here we show that Hoxb4 directly induces the expression of FLASH in the notochord of embryos after neurulation. FLASH is a component of the FAS-CAPSASE8 apoptotic pathway, and blocking its activity, or that of Hoxb4, prevents apoptosis in the notochord.
Fig. 1. Differential display identifies FLASH as a possible down stream
target of Hoxb4. Hoxb4âGR (which confers dexamethasone dependence
on Hoxb4 activity) was injected into fertilised eggs and activated at
either stage 7 (blastula) or stage 10 (gastrula). Total RNA was extracted
at the tailbud stage and randomly amplified. Identical but independent
amplifications were performed to check for reproducibility. (+), Hoxb4
activated by dexamethasone at the stage indicated; ( ), no dexamethasone
added.
Fig. 2. RT-QPCR analysis of RNA extracted from noninjected control
(âNICâ) or Hox-expressing embryos. Fertilised eggs were injected with
either Hoxb1, Hoxb4, Hoxb5 or Hoxb9 mRNA (as shown above each lane).
Total RNA was extracted at the neurula stage and examined for the
expression of FLASH, Hoxb4, Hoxb5, Rap1 or ef1a by RT-QPCR. Note
that the Hoxb4 PCR primers do not recognise the injected Hoxb4 RNA and
are therefore specific for the endogenous Hoxb4 transcript. Ef1a is included
as a loading control, and the ratio of target â ef1a is shown numerically for
each gene.
Fig. 3. Whole mount in situ hybridisation analysis of FLASH (A, C) and
Hoxb4 (B, D) expression. (A, B) Lateral view of tailbud (stage 28)
embryos, dorsal top and posterior to right. The arrowheads mark the limits
of FLASH and Hoxb4 expression in the notochord. (C, D) Dorsal to ventral
sections through A and B, respectively, midway along the axis. The dorsal
side is uppermost. (E) Schematic view of the sections in C and D to identify
the major anatomical features. en, endoderm; nc, notochord; nt, neural tube.
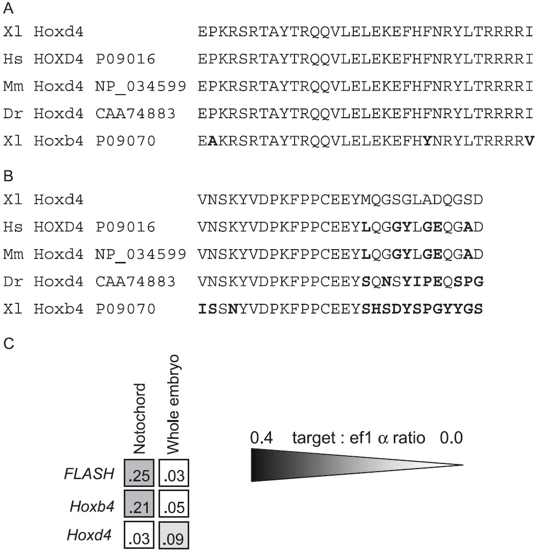
Fig. 4. Hoxd4 is not expressed in the tailbud stage notochord. (A, B) Sequence comparisons of Xenopus HOXD4 and HOXB4 proteins compared to those from
other species, as shown. The Genebank accession numbers are shown next to each gene name. (A) The N-terminal part of the homeodomain. (B) The Nterminal
part of the HOX protein starting from amino acid number 20. (C) RT-QPCR analysis of RNA extracted from both isolated notochords and whole
embryos at the tailbud stage. Ef1a is included as a loading control, and the ratio of target to ef1a signal is shown for each gene. Dr, Danio rerio (Zebrafish); Hs,
Homo sapiens (human); Mm, Mus musculus (mouse); Xl, Xenopus laevis (frog).
Fig. 5. RT-QPCR analysis of RNA extracted from control (âuntreatedâ) or
Hoxb4 âGR expressing embryos. The embryos were treated with
dexamethasone (DEX) and cycloheximide (CHX), either alone or in
combination, as shown. Ef1a is included as a loading control, and the ratio
of target to ef1a signal is shown for each gene.
Fig. 6. Blocking Hoxb4 translation results in the reduced expression of
FLASH, and blocks programmed cell death in the notochord. (A)
Isolated notochords were cultured either in 0.1 MMR buffer either
alone (1), with an antisense Hoxb4 morpholino (2), an antisense FLASH
morpholino (3), or a control (scrambled sequence) morpholino (4). Total
RNA was extracted from the notochords after 3 h and analysed for the
expression of FLASH, Rap1, Hoxb4, and Hoxb5 by RT-QPCR. The
ratio of each gene is expressed as a proportion of the loading control
signal (ef1a). (B) Whole mount TUNEL analysis for programmed cell
death in the notochords treated as described in part A (1â4). Scale bar:
0.25 mm.
casp8ap2 (caspase 8 associated protein 2) gene expression in Xenopus laevis embryo, assayed via in situ hybridization, NF stage 28, lateral view, anteriorleft, dorsal up.