Click here to close
Hello! We notice that you are using Internet Explorer, which is not supported by Xenbase and may cause the site to display incorrectly.
We suggest using a current version of Chrome,
FireFox, or Safari.
PLoS Genet
2010 Aug 19;68:e1001073. doi: 10.1371/journal.pgen.1001073.
Show Gene links
Show Anatomy links
Microtubule actin crosslinking factor 1 regulates the Balbiani body and animal-vegetal polarity of the zebrafish oocyte.
Gupta T
,
Marlow FL
,
Ferriola D
,
Mackiewicz K
,
Dapprich J
,
Monos D
,
Mullins MC
.
???displayArticle.abstract???
Although of fundamental importance in developmental biology, the genetic basis for the symmetry breaking events that polarize the vertebrate oocyte and egg are largely unknown. In vertebrates, the first morphological asymmetry in the oocyte is the Balbiani body, a highly conserved, transient structure found in vertebrates and invertebrates including Drosophila, Xenopus, human, and mouse. We report the identification of the zebrafish magellan (mgn) mutant, which exhibits a novel enlarged Balbiani body phenotype and a disruption of oocyte polarity. To determine the molecular identity of the mgn gene, we positionally cloned the gene, employing a novel DNA capture method to target region-specific genomic DNA of 600 kb for massively parallel sequencing. Using this technique, we were able to enrich for the genomic region linked to our mutation within one week and then identify the mutation in mgn using massively parallel sequencing. This is one of the first successful uses of genomic DNA enrichment combined with massively parallel sequencing to determine the molecular identity of a gene associated with a mutant phenotype. We anticipate that the combination of these technologies will have wide applicability for the efficient identification of mutant genes in all organisms. We identified the mutation in mgn as a deletion in the coding sequence of the zebrafish microtubule actin crosslinking factor 1 (macf1) gene. macf1 is a member of the highly conserved spectraplakin family of cytoskeletal linker proteins, which play diverse roles in polarized cells such as neurons, muscle cells, and epithelial cells. In mgn mutants, the oocytenucleus is mislocalized; and the Balbiani body, localized mRNAs, and organelles are absent from the periphery of the oocyte, consistent with a function for macf1 in nuclear anchoring and cortical localization. These data provide the first evidence for a role for spectraplakins in polarization of the vertebrate oocyte and egg.
Figure 1. mgn is required for animal-vegetal polarity of the egg.Nomarski images of eggs from a wild-type (heterozygous sibling) female (A) and a mgn mutant female (B) one hour post activation. Eggs from mgn mutants exhibit cytoplasm surrounding the yolk (arrowheads) rather than restricted to the blastodisc at the animal pole as in wild-type (lateral view, animal pole up). In addition, mgn eggs are frequently smaller and display variable elevation of the chorion (arrow). Scale bar = 250 microns.
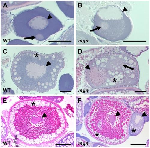
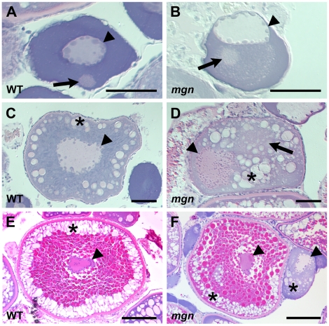
Figure 2. The mgn mutation causes defects during oogenesis.Sections of wild-type and mutant oocytes stained with hematoxylin (purple) and eosin (pink). The cytoplasm of stage I zebrafish oocytes is strongly basophilic, resulting in strong purple staining, while the mitochondria-rich Balbiani body is slightly acidophilic and stains pale pink with eosin. In wild-type mid stage I oocytes (A), the nucleus is localized at the center of the oocyte and the Balbiani body is near the future vegetal cortex. In mgn mutant stage I oocytes (B), the nucleus is asymmetrically localized and the Balbiani body, which frequently remains close to the nucleus, is surrounded by a region that is lightly stained with eosin. Wild-type stage II oocytes (C) have a central nucleus surrounded by cortical granules (CG). In stage II mgn mutant oocytes (D), the nucleus is mislocalized and CG accumulate opposite to the nucleus, in and around a faint eosin-stained area (arrow). During stage III, wild-type oocytes (E) accumulate yolk in the center of the oocyte and CG localize uniformly around the cortex, whereas stage III mgn mutant oocytes (F) display an uneven distribution of CG at the cortex. Also note stage II oocyte at right in (F). Arrowheads indicate oocyte nuclei; arrows indicate Balbiani body in (A,B); asterisks indicate CG. Scale bars = 50 microns (A,B), 100 microns (C,D), and 200 microns (E,F).
Figure 3. Germ plasm RNAs fail to localize to the cortex of mgn mutant oocytes.vasa (A–D) and dazl (E–H) in situ hybridization to wild-type and mgn mutant oocytes. vasa mRNA is found in the Balbiani body in early stage I wild-type (heterozygous) oocytes (A, arrow), transiently localizes to the vegetal cortex in late stage I (A, arrowhead) and then localizes all around the cortex during stage II (B). In mgn mutant oocytes, vasa mRNA is found in the Balbiani body in early stage I oocytes (C, arrow) and is then found ectopically localized to the middle of the oocyte during stage II (D, arrow). In early stage I wild-type oocytes, dazl mRNA is found in the Balbiani body (E, arrow) and then localizes to the vegetal cortex during late stage I (E, arrowhead) and stage II (F). dazl mRNA localizes to the Balbiani body of early stage I mgn mutant oocytes (G, left oocyte, arrow) and is found ectopically localized to the middle of the oocyte during late stage I and stage II (G, right oocyte and H, respectively, arrow). Scale bars = 50 microns.
Figure 4. The molecular lesion in mgn mutants was identified by a combination of genomic sequence capture and massively parallel sequencing.(A) Schematic diagram depicting sequence capture method, which involves: 1) Hybridization of oligos (green bars) to long genomic DNA fragments at approximately 8 kb intervals; 2) Extension of oligos with biotinylated nucleotides; 3) Capture of targeted DNA with magnetic streptavidin-coated beads; 4) Extraction of captured DNA. (B) Histogram showing read depth for the 319.8 kb sequence capture region within a 0.9 Mb genomic interval. Increased read depth in the targeted region reflects the 243-fold average enrichment of the captured sequence (x-axis = chromosomal region containing targeted interval; y-axis = number of reads aligned to the region). Oligo binding positions are depicted as blue bars at the top of the figure. (C) 31 base pair deletion in macf1 in mgn mutants that results in a frame-shift and premature stop codon. Sequence at top shows the deletion from a heterozygous sibling; sequence at bottom shows the frame-shift in a homozygous mutant. (D–E) In situ hybridization of macf1 probe to wild-type (D) and mgn mutant (E) oocytes. macf1 is expressed in stage I wild-type oocytes (D, arrow) and is localized to a restricted domain during mid to late oogenesis (D, arrowhead). Levels of macf1 transcript are reduced in mgn mutant oocytes (E). (F) Genomic interval showing SSLP and SNP markers used for mapping, candidate genes, and sequence capture regions. macf1 is transcribed from the reverse strand. Hash marks indicate 0.5 Mb of sequence not shown. Annotation based on Ensembl Zv7/danRer5 with additional annotation information from Zv8/danRer6. (G) Histograms showing read depth for the 616 kb sequence capture region within a 0.9 Mb interval. The increased read depth within the targeted region reflects the 72- and 43-fold enrichment of captured sequence from the AB and mgn mutant (TU) genomic DNA, respectively. Oligo binding positions are depicted as bars at the top of the figure. (H) Predicted protein structure of zebrafish Macf1 (Pfam database) and expected truncation in the spectraplakin domain. Actin binding domain (ABD), Plakin domain (PD), Plakin repeat domain (PRD), Spectraplakin repeat domain (SRD), Microtubule binding domain (MTBD). Green = Calponin homology domain; purple = Spectrin domain; red = plakin domain; blue = EF hand domain; orange = GAS2 domain.
Figure 5. Localization of stable microtubules but not actin is disrupted in mgn mutant oocytes.Stage I oocytes stained with an antibody to acetylated tubulin to label stable microtubules (A,B) or rhodamine phalloidin to label actin cytoskeleton (C,D). In wild-type stage I oocytes, acetylated microtubules are uniformly distributed throughout the oocyte (A,Aâ²), whereas in mgn mutant oocytes, acetylated microtubules are largely absent from peripheral regions of the oocyte (B,Bâ²). DAPI staining around oocytes labels nuclei of surrounding somatic follicle cells. Greenâ=âacetyated tubulin; blueâ=âDAPI. In both wild-type (C) and mgn mutant oocytes (D), actin is localized to the nucleus and at the cortex. Arrowheads indicate oocyte nuclei. Redâ=âphalloidin. Scale barsâ=â25 microns. All images are single optical sections.
Figure 6. mgn mutant oocytes exhibit an enlarged Balbiani body and absence of mitochondria and ER from the periphery of the oocyte.Oocytes stained with DiOC6 to label ER and mitochondria (A–E). In a wild-type mid stage I oocyte, the nucleus is in the middle of the oocyte (arrowhead) and the Balbiani body is at the future vegetal side of the oocyte (A, arrow). (B,C) Mutant oocytes exhibit an enlarged Balbiani body (arrows), and an absence of ER, mitochondria and the Balbiani body from the periphery. Images are single optical sections. In stage II wild-type oocytes (D), ER and mitochondria are localized throughout the oocyte, whereas in mgn mutant oocytes (E), ER and mitochondria are concentrated in the middle of the oocyte and are absent from peripheral regions. Images are single optical sections of 0.5 micron oocyte sections. (F) Bar graph depicting size of Balbiani body (Bb) during stage I of oogenesis. 50–70 micron oocytes, n = 10 wild-type and 10 mutant oocytes; 70–90 micron oocytes, n = 15 wild-type and 15 mutant oocytes; 90–110 micron oocytes, n = 15 wild-type and 15 mutant oocytes. Arrowheads indicate nuclei. (A–C) scale bars = 25 microns. (D,E) scale bars = 100 microns.
Figure 7. ER and mitochondria are absent from the periphery of stage II mgn mutant oocytes.Transmission electron micrographs of stage II wild-type (A–A″) and mgn mutant (B–B″) oocytes. ER and mitochondria are distributed throughout wild-type stage II oocytes (A–A″) but are absent from the periphery of stage II mgn mutant oocytes (B–B″). Arrowheads indicate oocyte nuclei. Positions of regions shown at high magnification (A′, A″, B′ and B″) are indicated by the respective colored asterisks in A and B. Dashed blue line outlines the electron dense region in which most of the ER and mitochondria are located. Scale bars = 20 microns (A, B) and 1 microns (A′, A″, B′ and B″).
Akhmanova,
Tracking the ends: a dynamic protein network controls the fate of microtubule tips.
2008, Pubmed
Akhmanova,
Tracking the ends: a dynamic protein network controls the fate of microtubule tips.
2008,
Pubmed
Albert,
Direct selection of human genomic loci by microarray hybridization.
2007,
Pubmed
Becker,
The cortical actin cytoskeleton of unactivated zebrafish eggs: spatial organization and distribution of filamentous actin, nonfilamentous actin, and myosin-II.
1996,
Pubmed
Billett,
The structure of the mitochondrial cloud of Xenopus laevis oocytes.
1976,
Pubmed
,
Xenbase
Blumenstiel,
Identification of EMS-induced mutations in Drosophila melanogaster by whole-genome sequencing.
2009,
Pubmed
Boldogh,
Mitochondria on the move.
2007,
Pubmed
Bontems,
Bucky ball organizes germ plasm assembly in zebrafish.
2009,
Pubmed
Borgese,
Endoplasmic reticulum architecture: structures in flux.
2006,
Pubmed
Bottenberg,
Context-specific requirements of functional domains of the Spectraplakin Short stop in vivo.
2009,
Pubmed
Chen,
The role of microtubule actin cross-linking factor 1 (MACF1) in the Wnt signaling pathway.
2006,
Pubmed
Chou,
DNA sequence capture and enrichment by microarray followed by next-generation sequencing for targeted resequencing: neurofibromatosis type 1 gene as a model.
2010,
Pubmed
Cox,
Milton controls the early acquisition of mitochondria by Drosophila oocytes.
2006,
Pubmed
Cox,
A Balbiani body and the fusome mediate mitochondrial inheritance during Drosophila oogenesis.
2003,
Pubmed
,
Xenbase
Dapprich,
SNP-specific extraction of haplotype-resolved targeted genomic regions.
2008,
Pubmed
D'Ascenzo,
Mutation discovery in the mouse using genetically guided array capture and resequencing.
2009,
Pubmed
Dekens,
The maternal-effect gene futile cycle is essential for pronuclear congression and mitotic spindle assembly in the zebrafish zygote.
2003,
Pubmed
Dosch,
Maternal control of vertebrate development before the midblastula transition: mutants from the zebrafish I.
2004,
Pubmed
Drabek,
Role of CLASP2 in microtubule stabilization and the regulation of persistent motility.
2006,
Pubmed
Frederick,
Moving mitochondria: establishing distribution of an essential organelle.
2007,
Pubmed
Gabriel,
Global mapping of transposon location.
2006,
Pubmed
Gnirke,
Solution hybrid selection with ultra-long oligonucleotides for massively parallel targeted sequencing.
2009,
Pubmed
Goryunov,
Nervous-tissue-specific elimination of microtubule-actin crosslinking factor 1a results in multiple developmental defects in the mouse brain.
2010,
Pubmed
Gregory,
kakapo, a gene required for adhesion between and within cell layers in Drosophila, encodes a large cytoskeletal linker protein related to plectin and dystrophin.
1998,
Pubmed
Guraya,
Recent advances in the morphology, cytochemistry, and function of Balbiani's vitelline body in animal oocytes.
1979,
Pubmed
Heasman,
The mitochondrial cloud of Xenopus oocytes: the source of germinal granule material.
1984,
Pubmed
,
Xenbase
Hertig,
Studies on the human oocyte and its follicle. I. Ultrastructural and histochemical observations on the primordial follicle stage.
1967,
Pubmed
Hertig,
The primary human oocyte: some observations on the fine structure of Balbiani's vitelline body and the origin of the annulate lamellae.
1968,
Pubmed
Hodges,
Genome-wide in situ exon capture for selective resequencing.
2007,
Pubmed
Hoischen,
Massively parallel sequencing of ataxia genes after array-based enrichment.
2010,
Pubmed
Jefferson,
Plakins: goliaths that link cell junctions and the cytoskeleton.
2004,
Pubmed
Kloc,
The Balbiani body and germ cell determinants: 150 years later.
2004,
Pubmed
Kloc,
Two distinct pathways for the localization of RNAs at the vegetal cortex in Xenopus oocytes.
1995,
Pubmed
,
Xenbase
Kloc,
Formation, architecture and polarity of female germline cyst in Xenopus.
2004,
Pubmed
,
Xenbase
Knapik,
A microsatellite genetic linkage map for zebrafish (Danio rerio).
1998,
Pubmed
Kodama,
ACF7: an essential integrator of microtubule dynamics.
2003,
Pubmed
Kosaka,
Spatiotemporal localization of germ plasm RNAs during zebrafish oogenesis.
2007,
Pubmed
,
Xenbase
Lansbergen,
Microtubule plus end: a hub of cellular activities.
2006,
Pubmed
Lee,
short stop is allelic to kakapo, and encodes rod-like cytoskeletal-associated proteins required for axon extension.
2000,
Pubmed
Lee,
The plakin Short Stop and the RhoA GTPase are required for E-cadherin-dependent apical surface remodeling during tracheal tube fusion.
2002,
Pubmed
Leung,
Plakins: a family of versatile cytolinker proteins.
2002,
Pubmed
Marlow,
Bucky ball functions in Balbiani body assembly and animal-vegetal polarity in the oocyte and follicle cell layer in zebrafish.
2008,
Pubmed
Morris,
Nuclear migration. From fungi to the mammalian brain.
2000,
Pubmed
Morris,
Nuclear positioning: the means is at the ends.
2003,
Pubmed
Morrison,
Action and interactions at microtubule ends.
2007,
Pubmed
Motta,
Mitochondrial morphology in human fetal and adult female germ cells.
2000,
Pubmed
Nagy,
Haplotype-specific extraction: a universal method to resolve ambiguous genotypes and detect new alleles - demonstrated on HLA-B.
2007,
Pubmed
Nikopoulos,
Next-generation sequencing of a 40 Mb linkage interval reveals TSPAN12 mutations in patients with familial exudative vitreoretinopathy.
2010,
Pubmed
Okou,
Microarray-based genomic selection for high-throughput resequencing.
2007,
Pubmed
Pepling,
Mouse oocytes within germ cell cysts and primordial follicles contain a Balbiani body.
2007,
Pubmed
Prout,
Autosomal mutations affecting adhesion between wing surfaces in Drosophila melanogaster.
1997,
Pubmed
Rehman,
Targeted capture and next-generation sequencing identifies C9orf75, encoding taperin, as the mutated gene in nonsyndromic deafness DFNB79.
2010,
Pubmed
Reinsch,
Mechanisms of nuclear positioning.
1998,
Pubmed
Röper,
The 'spectraplakins': cytoskeletal giants with characteristics of both spectrin and plakin families.
2002,
Pubmed
Röper,
A spectraplakin is enriched on the fusome and organizes microtubules during oocyte specification in Drosophila.
2004,
Pubmed
Santama,
Distribution and functions of kinectin isoforms.
2004,
Pubmed
Selman,
Stages of oocyte development in the zebrafish, Brachydanio rerio.
1993,
Pubmed
Slep,
Structural determinants for EB1-mediated recruitment of APC and spectraplakins to the microtubule plus end.
2005,
Pubmed
Starr,
KASH 'n Karry: the KASH domain family of cargo-specific cytoskeletal adaptor proteins.
2005,
Pubmed
Strumpf,
Kakapo, a novel cytoskeletal-associated protein is essential for the restricted localization of the neuregulin-like factor, vein, at the muscle-tendon junction site.
1998,
Pubmed
Subramanian,
Shortstop recruits EB1/APC1 and promotes microtubule assembly at the muscle-tendon junction.
2003,
Pubmed
Tanaka,
Targeted disruption of mouse conventional kinesin heavy chain, kif5B, results in abnormal perinuclear clustering of mitochondria.
1998,
Pubmed
Thisse,
Structure of the zebrafish snail1 gene and its expression in wild-type, spadetail and no tail mutant embryos.
1993,
Pubmed
Vactor,
Genes that control neuromuscular specificity in Drosophila.
1993,
Pubmed
Vedrenne,
Morphogenesis of the endoplasmic reticulum: beyond active membrane expansion.
2006,
Pubmed
Vedrenne,
Phosphorylation controls CLIMP-63-mediated anchoring of the endoplasmic reticulum to microtubules.
2005,
Pubmed
Wilhelm,
Efficient protein trafficking requires trailer hitch, a component of a ribonucleoprotein complex localized to the ER in Drosophila.
2005,
Pubmed
Wilhelmsen,
Nesprin-3, a novel outer nuclear membrane protein, associates with the cytoskeletal linker protein plectin.
2005,
Pubmed
Wilhelmsen,
KASH-domain proteins in nuclear migration, anchorage and other processes.
2006,
Pubmed
Wu,
ACF7 regulates cytoskeletal-focal adhesion dynamics and migration and has ATPase activity.
2008,
Pubmed
Yang,
RNA-associated protein 55 (RAP55) localizes to mRNA processing bodies and stress granules.
2006,
Pubmed
Yoon,
Zebrafish vasa homologue RNA is localized to the cleavage planes of 2- and 4-cell-stage embryos and is expressed in the primordial germ cells.
1997,
Pubmed
Zhang,
Mitochondrial behavior during oogenesis in zebrafish: a confocal microscopy analysis.
2008,
Pubmed
Zhang,
Massively parallel sequencing identifies the gene Megf8 with ENU-induced mutation causing heterotaxy.
2009,
Pubmed
Zhou,
RNA transport to the vegetal cortex of Xenopus oocytes.
1996,
Pubmed
,
Xenbase