XB-ART-4164
Dev Growth Differ
2003 Jan 01;455-6:499-506. doi: 10.1111/j.1440-169x.2003.00717.x.
Show Gene links
Show Anatomy links
Long-term culture of Xenopus presumptive ectoderm in a nutrient-supplemented culture medium.
???displayArticle.abstract???
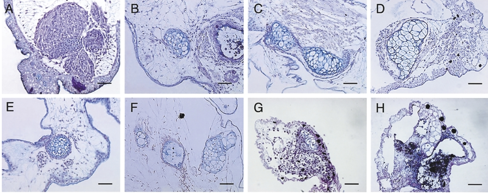
Animal cap assay is a useful experimental model for investigating the activity of inducers in amphibian development. This assay has revealed that activin A is a potent mesoderm-inducing factor. However, it has been very difficult to induce highly differentiated tissues such as cartilage in a 3-4 day culture period. It was recently reported that jaw cartilage was induced in vitro in an animal cap that had been cultured for 14 days in Steinberg's solution using the sandwich culture method and activin A. Under these conditions, necrosis was occasionally observed in the explants. In this study, we have achieved long-term animal cap cultures in a nutrient-supplemented culture medium designated RDX. This medium was made by modifying the saline concentration of the RD medium previously developed as a basal medium for the serum-free culture of various kinds of mammalian cells. The explants cultured in RDX grew more vigorously compared with those in Steinberg's solution. RDX medium promoted a wider variety of tissue induction and gene expression in the animal caps than Steinberg's solution, and also increased the frequency of cartilage induction. Therefore, the supplemental nutrients may support and promote the differentiation of cartilage. This long-term culture method using RDX medium is useful for studying the differentiation of tissues or organs such as cartilage in vitro.
???displayArticle.pubmedLink??? 14706074
???displayArticle.link??? Dev Growth Differ
???displayArticle.grants???
Species referenced: Xenopus laevis
Genes referenced: ccdc34 dll4 gsc inhba rdx tirap
???attribute.lit??? ???displayArticles.show???
