XB-ART-41406
J Cell Biol
2010 Apr 19;1892:233-46. doi: 10.1083/jcb.200909105.
Show Gene links
Show Anatomy links
Continued primer synthesis at stalled replication forks contributes to checkpoint activation.
Van C
,
Yan S
,
Michael WM
,
Waga S
,
Cimprich KA
.
???displayArticle.abstract???
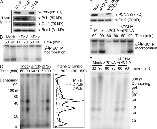
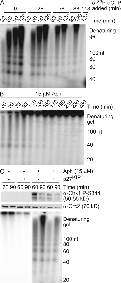
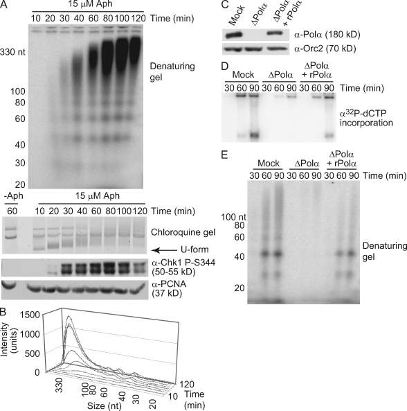
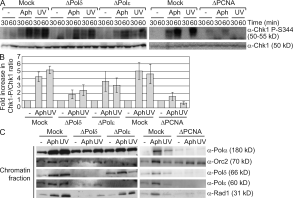
Stalled replication forks activate and are stabilized by the ATR (ataxia-telangiectasia mutated and Rad3 related)-mediated checkpoint, but ultimately, they must also recover from the arrest. Although primed single-stranded DNA (ssDNA) is sufficient for checkpoint activation, it is still unknown how this signal is generated at a stalled replication fork. Furthermore, it is not clear how recovery and fork restart occur in higher eukaryotes. Using Xenopus laevis egg extracts, we show that DNA replication continues at a stalled fork through the synthesis and elongation of new primers independent of the checkpoint. This synthesis is dependent on the activity of proliferating cell nuclear antigen, Pol-delta, and Pol-epsilon, and it contributes to the phosphorylation of Chk1. We also used defined DNA structures to show that for a fixed amount of ssDNA, increasing the number of primer-template junctions strongly enhances Chk1 phosphorylation. These results suggest that new primers are synthesized at stalled replication forks by the leading and lagging strand polymerases and that accumulation of these primers may contribute to checkpoint activation.
???displayArticle.pubmedLink??? 20385778
???displayArticle.pmcLink??? PMC2856894
???displayArticle.link??? J Cell Biol
???displayArticle.grants??? [+]
ES016486 NIEHS NIH HHS , R01 ES016486-10 NIEHS NIH HHS , R01 ES016486 NIEHS NIH HHS , R01 GM067735 NIGMS NIH HHS
Species referenced: Xenopus laevis
Genes referenced: atr atrip chek1 ercc4 orc2 pcna topbp1
???attribute.lit??? ???displayArticles.show???
References [+] :
Arias, Initiation of DNA replication in Xenopus egg extracts. 2004, Pubmed , Xenbase
Arias, Strength in numbers: preventing rereplication via multiple mechanisms in eukaryotic cells. 2007, Pubmed
Bermudez, Loading of the human 9-1-1 checkpoint complex onto DNA by the checkpoint clamp loader hRad17-replication factor C complex in vitro. 2003, Pubmed
Blow, Replication forks, chromatin loops and dormant replication origins. 2008, Pubmed
Bochman, The Mcm2-7 complex has in vitro helicase activity. 2008, Pubmed
Branzei, The DNA damage response during DNA replication. 2005, Pubmed
Burrows, How ATR turns on: TopBP1 goes on ATRIP with ATR. 2008, Pubmed
Byun, Functional uncoupling of MCM helicase and DNA polymerase activities activates the ATR-dependent checkpoint. 2005, Pubmed , Xenbase
Carty, Complete replication of plasmid DNA containing a single UV-induced lesion in human cell extracts. 1996, Pubmed
Chang, Monoubiquitination of proliferating cell nuclear antigen induced by stalled replication requires uncoupling of DNA polymerase and mini-chromosome maintenance helicase activities. 2006, Pubmed , Xenbase
Chang, DNA damage tolerance: when it's OK to make mistakes. 2009, Pubmed
Cimprich, Probing ATR activation with model DNA templates. 2007, Pubmed , Xenbase
Cimprich, ATR: an essential regulator of genome integrity. 2008, Pubmed
Delacroix, The Rad9-Hus1-Rad1 (9-1-1) clamp activates checkpoint signaling via TopBP1. 2007, Pubmed
DePamphilis, Replication of eukaryotic chromosomes: a close-up of the replication fork. 1980, Pubmed
Ellison, Biochemical characterization of DNA damage checkpoint complexes: clamp loader and clamp complexes with specificity for 5' recessed DNA. 2003, Pubmed
Friedberg, Suffering in silence: the tolerance of DNA damage. 2005, Pubmed
Friedel, ATR/Mec1: coordinating fork stability and repair. 2009, Pubmed
Fukui, Distinct roles of DNA polymerases delta and epsilon at the replication fork in Xenopus egg extracts. 2004, Pubmed , Xenbase
Garner, Studying the DNA damage response using in vitro model systems. 2009, Pubmed , Xenbase
Hamdan, Motors, switches, and contacts in the replisome. 2009, Pubmed
Hashimoto, The phosphorylated C-terminal domain of Xenopus Cut5 directly mediates ATR-dependent activation of Chk1. 2006, Pubmed , Xenbase
Heller, Replisome assembly and the direct restart of stalled replication forks. 2006, Pubmed
Hubscher, Eukaryotic DNA polymerases. 2002, Pubmed
Kochaniak, Proliferating cell nuclear antigen uses two distinct modes to move along DNA. 2009, Pubmed , Xenbase
Kumagai, TopBP1 activates the ATR-ATRIP complex. 2006, Pubmed , Xenbase
Kunkel, Dividing the workload at a eukaryotic replication fork. 2008, Pubmed
Lambert, Checkpoint responses to replication fork barriers. 2005, Pubmed
Langston, DNA replication: keep moving and don't mind the gap. 2006, Pubmed
Lee, The Rad9-Hus1-Rad1 checkpoint clamp regulates interaction of TopBP1 with ATR. 2007, Pubmed , Xenbase
Liu, The ATR-mediated S phase checkpoint prevents rereplication in mammalian cells when licensing control is disrupted. 2007, Pubmed
Lopes, Multiple mechanisms control chromosome integrity after replication fork uncoupling and restart at irreparable UV lesions. 2006, Pubmed
Luciani, Characterization of a novel ATR-dependent, Chk1-independent, intra-S-phase checkpoint that suppresses initiation of replication in Xenopus. 2004, Pubmed , Xenbase
Lupardus, Phosphorylation of Xenopus Rad1 and Hus1 defines a readout for ATR activation that is independent of Claspin and the Rad9 carboxy terminus. 2006, Pubmed , Xenbase
Lupardus, Analyzing the ATR-mediated checkpoint using Xenopus egg extracts. 2007, Pubmed , Xenbase
Lupardus, A requirement for replication in activation of the ATR-dependent DNA damage checkpoint. 2002, Pubmed , Xenbase
MacDougall, The structural determinants of checkpoint activation. 2007, Pubmed , Xenbase
Majka, Replication protein A directs loading of the DNA damage checkpoint clamp to 5'-DNA junctions. 2006, Pubmed
McGarry, Geminin, an inhibitor of DNA replication, is degraded during mitosis. 1998, Pubmed , Xenbase
Méchali, DNA synthesis in a cell-free system from Xenopus eggs: priming and elongation on single-stranded DNA in vitro. 1982, Pubmed , Xenbase
Michael, Activation of the DNA replication checkpoint through RNA synthesis by primase. 2000, Pubmed , Xenbase
Mimura, Central role for cdc45 in establishing an initiation complex of DNA replication in Xenopus egg extracts. 2000, Pubmed , Xenbase
Mordes, TopBP1 activates ATR through ATRIP and a PIKK regulatory domain. 2008, Pubmed
Murray, Cell cycle extracts. 1991, Pubmed
Navas, RAD9 and DNA polymerase epsilon form parallel sensory branches for transducing the DNA damage checkpoint signal in Saccharomyces cerevisiae. 1996, Pubmed
Nethanel, An Okazaki piece of simian virus 40 may be synthesized by ligation of shorter precursor chains. 1988, Pubmed
Nick McElhinny, Division of labor at the eukaryotic replication fork. 2008, Pubmed
Pacek, A requirement for MCM7 and Cdc45 in chromosome unwinding during eukaryotic DNA replication. 2004, Pubmed , Xenbase
Parrilla-Castellar, Cut5 is required for the binding of Atr and DNA polymerase alpha to genotoxin-damaged chromatin. 2003, Pubmed , Xenbase
Paulsen, The ATR pathway: fine-tuning the fork. 2007, Pubmed
Pursell, Yeast DNA polymerase epsilon participates in leading-strand DNA replication. 2007, Pubmed
Sasakawa, Accumulation of FFA-1, the Xenopus homolog of Werner helicase, and DNA polymerase delta on chromatin in response to replication fork arrest. 2006, Pubmed , Xenbase
Segurado, The S-phase checkpoint: targeting the replication fork. 2009, Pubmed
Shechter, Regulation of DNA replication by ATR: signaling in response to DNA intermediates. 2004, Pubmed , Xenbase
Shechter, ATR and ATM regulate the timing of DNA replication origin firing. 2004, Pubmed , Xenbase
Shiotani, Single-stranded DNA orchestrates an ATM-to-ATR switch at DNA breaks. 2009, Pubmed
Sogo, Fork reversal and ssDNA accumulation at stalled replication forks owing to checkpoint defects. 2002, Pubmed
Stadlbauer, DNA replication in vitro by recombinant DNA-polymerase-alpha-primase. 1994, Pubmed
Svoboda, Differential replication of a single, UV-induced lesion in the leading or lagging strand by a human cell extract: fork uncoupling or gap formation. 1995, Pubmed
Tourrière, Maintenance of fork integrity at damaged DNA and natural pause sites. 2007, Pubmed
Tutter, Chromosomal DNA replication in a soluble cell-free system derived from Xenopus eggs. 2006, Pubmed , Xenbase
Waga, The DNA replication fork in eukaryotic cells. 1998, Pubmed
Waga, DNA polymerase epsilon is required for coordinated and efficient chromosomal DNA replication in Xenopus egg extracts. 2001, Pubmed , Xenbase
Walter, Initiation of eukaryotic DNA replication: origin unwinding and sequential chromatin association of Cdc45, RPA, and DNA polymerase alpha. 2000, Pubmed , Xenbase
Walter, Regulated chromosomal DNA replication in the absence of a nucleus. 1998, Pubmed , Xenbase
Walter, Regulation of replicon size in Xenopus egg extracts. 1997, Pubmed , Xenbase
Yan, TopBP1 and DNA polymerase alpha-mediated recruitment of the 9-1-1 complex to stalled replication forks: implications for a replication restart-based mechanism for ATR checkpoint activation. 2009, Pubmed
Yan, Direct requirement for Xmus101 in ATR-mediated phosphorylation of Claspin bound Chk1 during checkpoint signaling. 2006, Pubmed , Xenbase
Yan, TopBP1 and DNA polymerase-alpha directly recruit the 9-1-1 complex to stalled DNA replication forks. 2009, Pubmed , Xenbase
Yanow, Xenopus Drf1, a regulator of Cdc7, displays checkpoint-dependent accumulation on chromatin during an S-phase arrest. 2003, Pubmed , Xenbase
Yao, Replisome structure and conformational dynamics underlie fork progression past obstacles. 2009, Pubmed
Yoo, Adaptation of a DNA replication checkpoint response depends upon inactivation of Claspin by the Polo-like kinase. 2004, Pubmed , Xenbase
You, The role of single-stranded DNA and polymerase alpha in establishing the ATR, Hus1 DNA replication checkpoint. 2002, Pubmed , Xenbase
Zhu, Mcm10 and And-1/CTF4 recruit DNA polymerase alpha to chromatin for initiation of DNA replication. 2007, Pubmed , Xenbase
Zou, Replication protein A-mediated recruitment and activation of Rad17 complexes. 2003, Pubmed
Zou, Single- and double-stranded DNA: building a trigger of ATR-mediated DNA damage response. 2007, Pubmed
Zou, Sensing DNA damage through ATRIP recognition of RPA-ssDNA complexes. 2003, Pubmed
