Click here to close
Hello! We notice that you are using Internet Explorer, which is not supported by Xenbase and may cause the site to display incorrectly.
We suggest using a current version of Chrome,
FireFox, or Safari.
???displayArticle.abstract???
To study roles of the myelin basic protein (mbp) gene products in nervous system development, cDNA cloning and expression analyses were performed in Xenopus laevis. We cloned cDNAs for XMBP.1 and XMBP.2 encoded by xmbp.1 and xmbp.2 genes, respectively. We also identified xmbp.1 gene transcripts encoding three XGolli (X.laevis gene of the oligodendrocyte lineage) proteins, XBG21.1, XJ37.1, and XTP8.1, which are homologues of mouse BG21, J37, and TP8, respectively. In reverse transcription-polymerase chain reaction (RT-PCR) analyses, the XMBP, XJ37, and XTP8 mRNAs were expressed in brain, ovaries, testes, and/or thymus in frogs and in larvae after hatching. In contrast, the XBG21 mRNA was found fairly ubiquitously in adult tissues, unfertilized eggs and embryos throughout the developmental stages examined. Western blot analyses using three different monoclonal antibodies (mAbs) showed that the central and peripheral myelin contained 20kDa and18.5 kDa XMBP variants. In addition, XMBP was found in thymus by Western blotting and in thymocytecytoplasm immunocytochemically. However, the XGolli protein, most provably XBG21, was detectable only in testes. The results indicate that the structure of xmbp gene products seems highly conserved among amphibians and mammals, although their expression patterns and thus physiological roles may partially differ. This is the first report that systematically describes the mbp gene products in nonmammalian vertebrates.
Fig. 1. Comparison of Xenopus and mammalian MBP and Golli proteins. (A) Alignment of predicted aa sequences of XMBP.1 and XMBP.2 with the mouse MBP 18.5-kDa isoform (mMBP). (BâD) Alignment of predicted aa sequences of XGolli proteins with those of mammalian counterparts. The sequences of XBG21.1 (B), XJ37.1 (C), and XTP8.1 (D) are aligned with those of mouse BG21 (mBG21), human HOG7 (HOG7), and mouse TP8 (mTP8), respectively. The Xenopus sequences are deduced from the isolated cDNA clones, and the mouse and human sequences are from Campagnoni et al. (1993) and Pribyl et al. (1993), respectively. The dots and bars in the sequences correspond to identical residues and gaps, respectively. The asterisk represents a predicted myristoylatable residue. The boxed sequences, designated P1, P2, and P3, were used to prepare synthetic peptide antigens for mAb production. The XMBP and XGolli-specific sequences are marked in yellow and blue, respectively. The Xenopus sequence data shown in this figure are deposited in the DDBJ/EMBL/GenBank database: XMBP.1, AB000736; XMBP.2, BC160774; XBG21.1, BC123227; XJ37.1, AB371427; and XTP8.1, AB371428.
Fig. 2. Schematic illustration of the xmbp.1 gene structure and production of XGolli.1 and XMBP.1 mRNAs from the gene. The XGolli.1 mRNAs are produced by transcription from the first transcription start site (tss1), followed by alternative RNA splicing, whereas the XMBP.1 mRNA is transcribed from the second transcription start site (tss2) and then spliced. The boxes and lines in the gene represent exons and introns, respectively, that are estimated by cDNA sequencing and genomic PCR analyses. The shaded box in the mRNAs represents the protein-coding region. The sizes of the exons and the introns are not illustrated proportionally. Pairs of red triangles (aâd) under mRNA boxes indicate the primer combinations in RTâPCR analyses shown in Fig. 3.
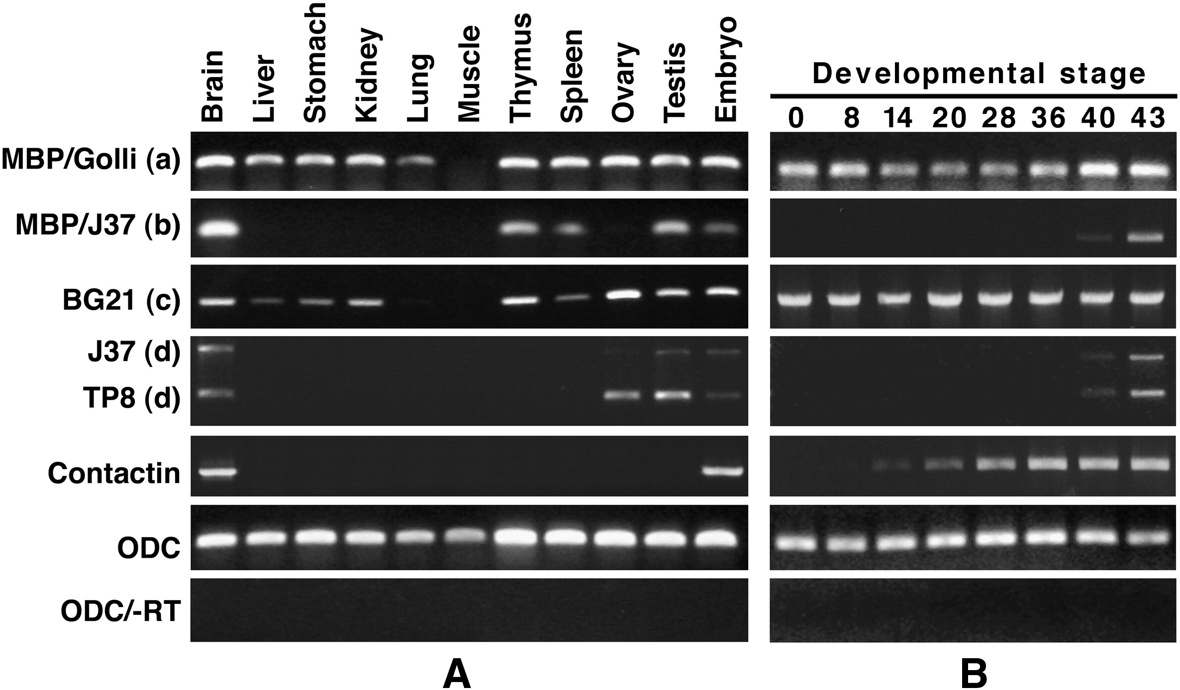
Fig. 3. RTâPCR analyses of xmbp gene expression. (A) Distribution of the XGolli and XMBP mRNAs in the adult tissues and whole embryos at stage 40 (embryo), as indicated on the top of panels. (B) Developmental expression of the XGolli and XMBP mRNAs in unfertilized eggs (stage 0) and blastula (stage 8) to late tailbud (stage 43) embryos. Total RNA fractions were isolated from various adult tissues, unfertilized eggs, and embryos at different stages, and the cDNA fragment for each transcript (labeled at the left of each panel) was amplified by RTâPCR. The primer combination for each transcript (aâd in parenthesis) is indicated in Fig. 3. Note that assays with the primer combination (d) amplified J37 and TP8 cDNA fragments. Contactin is a neuronal differentiation marker (Nagata et al., 1996), while ornithine decarboxylase (ODC) is a positive control housekeeping gene product. ODC/âRT is a transcriptional control without a reverse transcriptase.
Fig. 4. Western blot analyses of XMBP and XGolli proteins. (A) Cultured 293T cells were transfected either with pCEP-XBG21.1 (XBG21.1), pCEP-XJ37.1 (XJ37.1), or a control vacant pCEP4 (Vector), and the lysates were fractionated along with brain extract (Brain) by SDSâPAGE. The proteins in gels were then transferred to a PVDF membrane and analyzed with the mAbs 5A3, 3H8, or 2A9 and the anti-mouse IgG-alkaline phosphatase (AP) conjugate. Numbers on the left of the panels represent protein size in kilodaltons. (B) Western blot analysis of the brain myelin fraction. The brain extract and myelin fraction were separated by SDSâPAGE, and proteins in the gel were visualized by silver staining (left panel) or analyzed by Western blotting with the 5A3 mAb. (C) The major XMBP variants are 20 kDa and 18.5 kDa in size. Extracts from larval (stage 56) brain, adult brain, spinal cords, and sciatic nerves were analyzed by Western blotting using the 5A3 mAb.
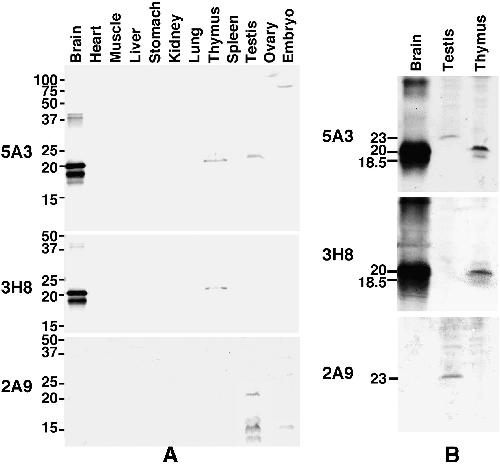
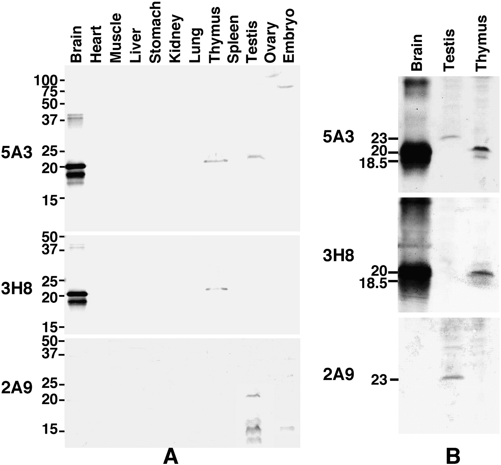
Fig. 5. Tissue distribution of XMBP and XGolli proteins, as analyzed by Western blotting. (A) Extracts of the adult tissues indicated (brain extract diluted to 1:50) or stage-40 embryos were fractionated by SDSâPAGE and XMBP or XGolli proteins were detected with the mAbs 5A3, 3H8, and 2A9. (B) XMBP occurs in brain and thymus, and XBG21 in testes. Extracts from these three tissues were examined as in A, but with a longer color development time, to visualize weakly labeled proteins. Numbers on the left of panels represent protein size in kilodaltons.
Fig. 6. Whole-mount immunocytochemistry of XMBP distribution in larvae. (AâD- Stage-47 albino larvae were immunocytochemically stained with the 3H8 Ab. MN, Mauthner neuron; VF, ventral fascicles of spinal cord. Arrows in D indicate immature myelin-forming cells. Scale bars in A, 1 mm; scale bars in B and D, 200 µm.
Fig. S1. Immunocytochemical analyses of XMBP and XGolli proteins in thymocytes and cultured cells. Thymocytes and 293T cells transfected with the pCEP-XJ37.1 (293T/J37.1) vector were incubated successively with either the 5A3, 3H8, 2A9, or XT-1 mAbs or mouse IgG (control), and then with an anti-mouse IgG Ab conjugated with TRITC. Thymocyte nuclei were counterstained with DAPI. Stained cells were observed under a fluorescence microscope, with optics for red (TRITC) or blue (DAPI) fluorescence. Scale bar for all pictures, 10 μm.