|
Additional file 2. Supplemental Figure S1 - The 12M founder has four independently-segregating Tol2XIG transposons each with a unique GFP expression pattern. Outcross of the 12M founder resulted in the segregation of four independent Tol2XIG alleles and revealed unique GFP expression patterns associated with each integration event. (a) Schematic representation of the outcross of founder 12M to yield tadpoles with individual expression patterns. The individual patterns were named Soul Patch (slp), Handlebar (hbr), Garibaldi (grb) and Chinstrap (chs). Tadpoles were photographed at stage 51 and the figures are oriented with anterior towards the top of the panel. The intense GFP expression in the slp embryo in the basihyal basibranchial cartilage is labelled BB. The bright GFP expression in the leading edge of the hbr tadpole is indicated by the white arrow. The white arrowhead in the chs panel points to the GFP expression in the lower jaw of the tadpole. The eye is labelled in this panel to guide the reader. (b) Southern blot analysis of F1 tadpoles harbouring different combinations of the four transposons in founder 12M. Genomic DNA from individual tadpoles was digested with BglII and the resulting Southern blot was probed with a GFP probe. (c) EPTS LM-PCR was used to clone the genomic sequences flanking the transposon insertion sites in three of the four 12M alleles. The genomic DNA sequence flanking the transposon is indicated by the capitalized text and the sequence of the 5' end of Tol2XIG is shown in lowercase italics.
|
|
Additional file 3. Supplemental Figure S2 - GFP expression in the Soul Patch line. GFP expression profile of the Soul Patch (slp) line derived from the Tol2XIG 12M founder. The EF-1α promoter in the Tol2XIG construct can be influenced by local regulatory elements near the transposon insertion site to override the normal ubiquitous expression of the GFP reporter. The slp allele has intense GFP expression in various cartilages in the developing tadpole (Stage 51 shown). (a) slp results in intense GFP expression in the provisionally identified basihyal basibranchial (BB) cartilage at the midline of the head. (b) Schematic representation of the tadpole head skeleton indicating the relative position of the basihyal basibranchial cartilage (adapted from Weisz, 1945 [59]). The slp allele also results in intense GFP expression in the cartilage supporting the tentacle (c and e) and the cartilage supporting the gill arches (d, white arrows). GFP expression is clearly visible in the outflow tract (OT) of the heart in slp tadpoles (f). Images a, c, d and f were taken on a fluorescent dissecting microscope and e is an
|
|
Figure 2. Chromosomal location of Tol2 transposon insertions in the Xenopus tropicalis genome. (a) Schematic representation of Xenopus tropicalis chromosomes and the relative location of the Tol2 integration sites (not to scale). Chromosomal assignments were predicted using the scaffold identity revealed by comparison of the transposon flanking sequence with the Xenopus tropicalis genome sequence (JGI v4.1 assembly). The position of the Tol2 integration on each chromosome was estimated from the map position of the corresponding scaffold. The parental integration sites (10M and 12M (hbr)) used for somatic remobilization are depicted by the thick lines and are labeled on the left side of the chromosome. Examples of remobilized somatic transposition events listed in Figure 1b are labelled on the right hand side of the chromosome. Mapping the integration sites provided evidence for both 'local hopping' and random re-integration throughout the genome. (b) Fluorescent in situ hybridization (FISH) analysis of the 10M line confirms the location of the Tol2XIG transposon on the long arm of chromosome 8 (linkage group 5). Metaphase spreads prepared from heterozygous 10M tadpoles were hybridized with a digoxigenin-labeled GFP probe and counterstained with DAPI.
|
|
Figure 3. Remobilized Tol2 transposons are transmitted through the germline and result in novel GFP expression patterns. Fluorescent photomicrographs of sibling GFP-positive tadpoles from the outcross of remobilized frog 12M2♀5. (a) The parental integration pattern (hbr) is shown in the tadpole on the left (anterior facing upper left) and the novel GFP expression pattern is shown on the right (jovan heat, joh; anterior facing lower right). The tadpoles were oriented to juxtapose the kidneys for comparison of the different levels of GFP expression in the kidneys of the two lines. Note the intense GFP expression in the kidney of the joh tadpole (white arrow) compared to the kidney of the hbr tadpole (white arrowhead). (b) Representative GFP expression patterns from the outcross of 12M2♀5. Left column shows tadpoles (stage 48) with the parental (hbr) GFP expression pattern. Four novel transposon insertion sites were identified in the progeny of 12M2♀5 and were named jovan heat (joh), brut (bru), centaure (cen) and follique (fol). Each of the novel integration events has a subtle difference in the resulting GFP expression pattern. All tadpoles are oriented with the anterior facing towards the lower right corner of each panel.
|
|
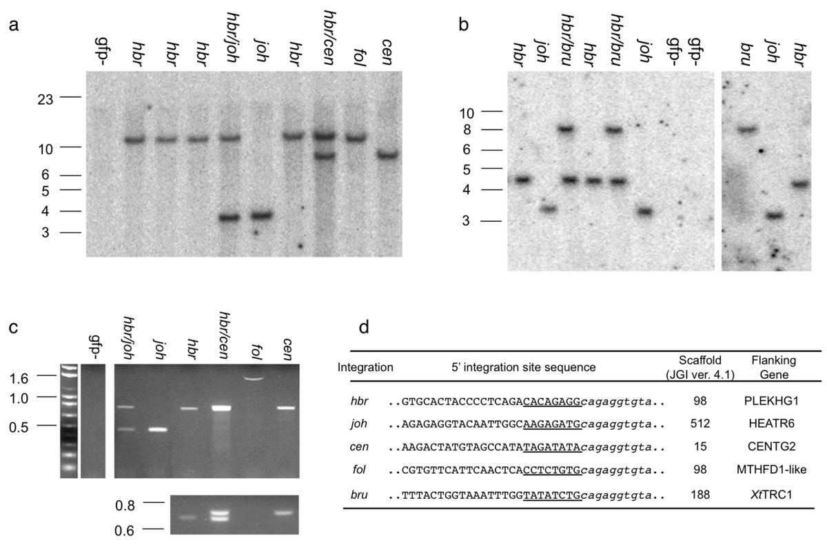
Figure 4. Molecular analysis of the progeny from 'remobilized' frog 12M2♀5. Southern blot analysis was performed on genomic DNA harvested from individual tadpoles and digested with either BamHI (a) or BglII (b) and probed with a radiolabeled GFP probe to demonstrate the inheritance of novel transposon integration events. EPTS LM-PCR was used to amplify the genomic sequences flanking the 5' end of the Tol2 transposon. The amplified bands were resolved on agarose gels (c) and subcloned prior to sequence analysis. Sequence analysis (d) revealed that the novel remobilization events were the result of transposition as the insertion sites were flanked by the expected 8 bp target site duplications (TSD, underlined). The flanking genomic sequence is depicted by the capitalized text and the Tol2 sequence is shown in lowercase italics. The fol integration event was mapped to the same scaffold as the parental (hbr) integration site and represents a 'local hopping' transposition.
|
|
Additional file 4. The jovan heat (joh) allele has a Tol2XIG transposon integrated near the HNF1β gene (a) Schematic representation of the Tol2XIG integration event in joh (not to scale). The transposition reaction resulted in integration of the transposon in intron 9 of a novel HEAT motif-containing gene on scaffold 512:565147. In situ hybridization with antisense RNA probes generated to the HEAT repeat cDNA indicated low-level ubiquitous expression of the HEAT motif-containing gene that lacked robust expression in the developing kidney (data not shown). The HNF1β gene flanks the 3' end of the HEAT motif-containing gene and is approximately 46 kb from the Tol2XIG transposon. (b) In situ hybridization for HNF1β expression during Xenopus development shows intense staining in the developing kidney [47]. Antisense RNA probes were synthesized from a Xenopus laevis HNF1β cDNA (IMAGE 4959359). In situ stained albino Xenopus laevis embryos shown at stages 27 and 35 (anterior is facing to the right, dorsal up). Arrows point to the developing kidney.
|
|
Figure 6. Family tree of the 12M founder line with remobilization of progeny from F1 frog 12M2. Schematic representation of the outcross and remobilization strategy used to characterize the 12M family. The founder (P0) 12M frog was outcrossed to yield the four independently-segregating alleles slp, hbr, grb and chs. An F1 frog that had a single hbr allele (12M2♀) was used to generate one-cell embryos for the Tol2 injection-mediated remobilization experiment. Outcross of remobilized F2 frog 12M2♀5 resulted in the generation of four new Tol2XIG transposon alleles. Serial outcross of the progeny of 12M2♀5 indicated that, in the absence of injected Tol2 transposase, the remobilized Tol2 transposons are stable in the Xenopus tropicalis genome and are transmitted to the progeny at the expected Mendelian frequencies.
|
|
Figure 7. Proposed mechanism for the increase in the number of transposons following injection-mediated Tol2 remobilization. One-cell embryos harvested from an outcross of 12M2, with a single transposon integration (hbr), were injected with Tol2 mRNA. GFP-positive tadpoles were raised to adulthood and outcrossed to identify germline transmission of the remobilized transposon. Analysis of progeny from remobilized frog 12M2â5 indicated that many of the offspring had inherited multiple copies of the Tol2XIG transposon. The Tol2 transposase uses a simple 'cut-and-paste' transposition mechanism and the apparent increase in transposon content in the progeny was unexpected. The likely explanation for the increase in number of Tol2 transposons is the remobilization of the substrate following DNA replication, but prior to mitosis (reviewed in [42]), in the blastomeres in the early embryo. DNA replication (S phase) results in two copies of the Tol2 substrate in each cell and one, or both, copies can be remobilized by the injected Tol2 transposase enzyme. During mitosis the transposon alleles are randomly segregated into the daughter cells. In the example depicted in the cartoon (a), the resident Tol2 transposon on the hypothetical blue chromosome is replicated during S phase and one copy is remobilized by the Tol2 transposase to a new location on a hypothetical grey chromosome. If the targeted blastomere gives rise to a germ cell, then the resulting gametes may contain different combinations of the transposon alleles (b) and the resulting tadpoles may have one or both of the integration events.
|
|
Figure 1. Somatic remobilization of a single copy Tol2 transposon in Xenopus tropicalis. (a) Schematic of the micro-injection remobilization strategy. Embryos were injected with synthetic Tol2 transposase mRNA at the one-cell stage and allowed to develop to swimming tadpole stage before genomic DNA was harvested for analysis of the integration sites by EPTS LM-PCR. (b) Sequence of the Tol2 integration sites identified in the 'remobilized' tadpoles. Two independent single transposon integration sites (10M and 12M) were used to demonstrate somatic remobilization of Tol2 transposons in Xenopus tropicalis. The parental integration sites are shown in bold. Examples of novel re-integration sites, indicating remobilization of the parental transposon, are listed below the parental site and are labelled to identify the tadpole and clone number (for example, 10M-tadpole number-clone number). Multiple remobilization events could be identified in individual tadpoles, tadpole 10M-1 had four novel integration events, suggesting that multiple independent remobilizations had occurred in discrete blastomeres during early development. All tadpoles analyzed (18/18 = 100%) had at least one novel re-integration event. The parental transposon could be remobilized from either male or female Tol2XIG F1 transgenic donor animals. The genomic sequence flanking the 5'-end of the transposon is shown in capital letters and the eight base pair target site duplication (TSD) is underlined. The transposon sequence in depicted by lower case italics text. The transposon flanking sequences were compared to the Xenopus tropicalis genome sequence (JGI assembly v4.1) to identify the scaffold identity of the integration site and to identify flanking genes; the gene nearest to the transposition site is listed in the table.
|
|
Figure 5. Chromosome map of Tol2 transposon insertions transmitted through the germline. (a) Schematic representation of Xenopus tropicalis chromosomes and the relative location of the Tol2 integration sites (not to scale). Chromosomal assignments were predicted using the scaffold identity revealed by comparison of the transposon flanking sequence with the Xenopus tropicalis genome sequence (JGI v4.1 assembly). The position of the Tol2 integration on each chromosome was estimated from the map position of the corresponding scaffold. The parental integration site, hbr used for the germline remobilization experiment, is depicted by the thick green line and is labeled on the left side of the chromosome. Examples of remobilized transposition events that are passed through the germline are in green and are labeled on the right hand side of the corresponding chromosome. Mapping the integration sites provided evidence for both 'local hopping' and random re-integration throughout the genome. Remobilization events are indicated by the arrows. (b) Sequence analysis of the EPTS LM-PCR product from the fol allele reveals integration of the Tol2XIG transposon at the beginning of the first exon of the MTHFD1L gene. The sequence of the 5'-end of Tol2XIG is in lowercase italics and represented by the red arrow. The integration event has occurred at the first nucleotide of exon 1 (uppercase text) of the MTHFD1L gene, 169 bp upstream of the translation start codon, depicted by the dark arrow above the sequence. The first five amino acids of the MTHFD1L gene are shown in single letter code below the corresponding codons.
|
|
Representative GFP expression patterns from NF stage 48 tadpole with novel transposon insertion sites called centaure (cen). tadpole in dorsal view, with anterior facing towards the lower right corner.
|