|
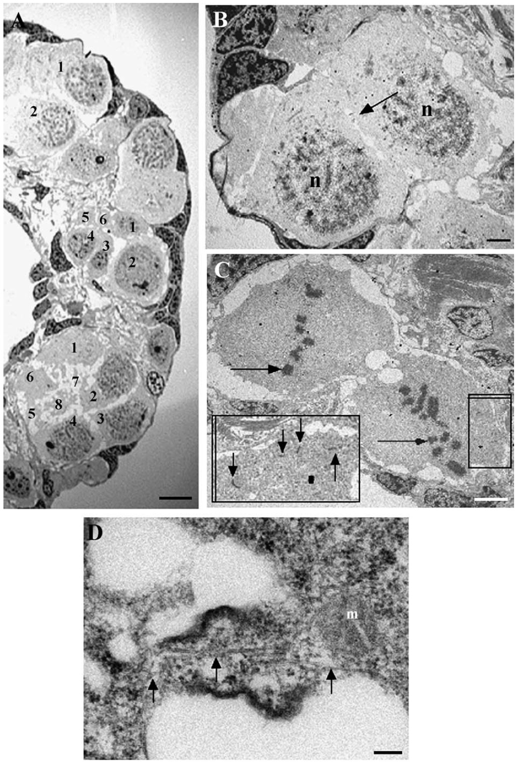
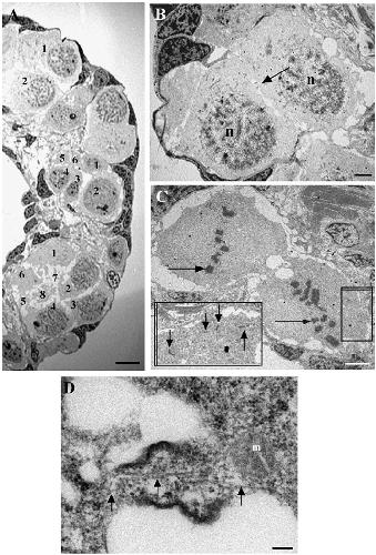
Fig. 1. Ring canals in the Xenopus ovary. Electron microscopy image of a fragment of froglet ovary showing several cysts of synchronously developing
cystocytes. Numbers indicate individual cells visible in a given cyst (A). Two cystocytes connected by a ring canal (arrow), nuclei (n) (B). Two cystocytes in
metaphase of second cystocyte division. Arrows point to the chromosomes in metaphase. Inset shows the region of cell pole with undispersed mitochondrial
cement (arrows) (C). High magnification of a ring canal with vesicular cytoplasm and microtubules. Arrows point to the microtubules traversing the canal,
mitochondrion (m) (D). Scale bar is equal to 150 Am in A, 4 Am in B and C, and 150 nm in D.
|
|
Fig. 2. Ring canals contain actin, kelch and hts. Fragment of a 16-cell cyst, stained for actin (red) with rhodamine-phalloidin. Arrow points to the ring canal (A).
Nuclei of the same cyst counter-stained with Hoechst 33258 (B). Merged view of A and B (C). Different views of ring canals stained for actin with rhodamine phalloidin,
single ring canals (D and E). Section of the 8-cell cyst (with only six cells visible) stained with anti-kelch antibody. Arrow points to the localization
of kelch protein, nuclei (n) (F). Colocalization of actin (red) and kelch (green) in whole mount staining of a single cystocyte. Merged view (yellow). Arrow
points to the ring canal (G). Section of a fragment of ovary stained with anti-hts antibody. Hts is localized in a pattern similar to the location of ring canals (long
arrows), nucleus (n) (H). Light microscopy whole mount (AâE and G) and sections (F and H). Scale bar is equal to 10 Am in AâC, 500 nm in Dâ E, 7 Am in F,
25 Am in G and 10 Am in H.
|
|
Fig. 3. Distribution of centrioles in the froglet ovary. Confocal image of a whole mount of an ovary from a froglet stained with anti-centrin antibody (green) and
costained for actin with rhodamine-phalloidin (red). Numerous centriole doublets (arrow) of somatic cells are visible on the surface optical section of the ovary
(A). Deeper optical sections of the same region of ovary showing germline cysts with the centrioles (arrows) at the base of the nuclei (n) (B). Fragment of 16-
cell cyst showing centriole doublets (arrow), actin-stained (red) cell boundaries (C) and Hoechst-stained nuclei (n) (D). Single cystocyte showing centriole
doublet (arrow) within the PMC, Hoechst-stained nucleus (n) (E). Scale bar is equal to 10 Am in A and B, 8 Am in C and D, and 5 Am in E.
|
|
Fig. 4. Localization of centrioles in the cystocytes. Electron microscopy image of cystocyte showing round nucleus and the centriole (thin arrow) within the
PMC. The PMC is in the basal part of the cell, thick arrow points to the cement that is visible between the mitochondria (A). High magnification of the central
part of PMC showing pair of centrioles (thin arrows) surrounded by mitochondria (m) with mitochondrial cement (thick arrows) (B). Fragment of the cystocyte
showing vesicles (double arrows) and electron light cytoplasm (star) of the fusome. Slightly parted centrioles (thin arrows) are located within the fusome.
Mitochondria with mitochondrial cement (thick arrow) are visible on the fusome periphery. Fragment of the nucleus is visible in left lower corner (C). High
magnification of the centriole (arrow) near the ring canal. Vesicular cytoplasm within the ring canal and numerous microtubules surrounding the centriole are
also visible (D). Scale bar is equal to 2 Am in A, 300 nm in B, 600 nm in C and 300 nm in D.
|
|
Fig. 5. MTOC activity of centrioles. Whole mount of froglet ovary stained with anti-tubulin antibody (A and B). Microtubules (green, arrows) are visible in the
basal parts of cystocytes and traversing the bridges between cystocytes (arrowheads) (A). Asters and spindles (arrows) in mitotic cystocytes (B). Electron
microscopy image of microtubules in cystocytes (Câ E). Microtubules (arrows) branching toward the mitochondria (m) in the PMC region of the cystocyte.
Fragment of the nucleus is visible in the upper left corner (C). Numerous microtubules (arrows) are visible in the PMC region. The centriole (thick arrow) is at
the center of the PMC between mitochondria (m) and mitochondrial cement (thick short arrows) (D). Fragment of PMC with the microtubules (arrows)
radiating from the centriole (short arrow) toward the mitochondria (m) (E). Scale bar is equal to 14 Am in A and B, 300 nm in C and D, and 200 nm in E.
|
|
Fig. 6. The fusome contains spectrin and hts. Immunostaining with anti-spectrin and anti-hts antibody on sections (BâF) and whole mount (G) of froglet ovary.
Cystoblast showing the mitochondrial aggregate (long arrow) and several lobes of the nucleus (short arrows), hematoxylin and eosin staining (A). Spectrin is
present in the mitochondrial aggregate (long arrow) of the cystoblast, short arrow points to the unstained nucleus (B). 2- and 4-cell (C), 8-cell (D) and 16-cell
(E) cysts showing the presence of spectrin (long arrows) in the cytoplasm where PMCs and fusome are located. Short arrows point to the nuclei. Cyst of
prophase oocytes with spectrin visible as the spots (long arrow) in the middle of the PMCs. Short arrow points to unstained nucleus (F). Several 16-cell
germline cysts with branching fusomes stained for the presence of hts protein (arrows). Short arrows point to the nuclei (G). Scale bar is equal to 27 Am in A
and B, 10 Am in CâF and 20 Am in G.
|
|
Fig. 7. Three-dimensional reconstruction of interphase cysts. Two different
8-cell cysts with six nuclei visible. Cyst 1 (A) and four different views of
cyst 2 (Bâ E). Cytoplasm is gray, nuclei are red, mitochondria of PMC are
green, centrioles blue and ring canals are yellow. In cyst 1, five ring canals
and four centrioles near the PMC and ring canals are visible. Spatial
relationships between mitochondria, centrioles and ring canals are visible in
all reconstructions. Also note the constant distance (2 Am) between the
centrioles and ring canals in all cystocytes (see text). PMC, ring canals and
centrioles face each other and are located centripetally in ââthe rosetteââ
conformation (see text). These reconstructions were from 38 serial ultrathin
sections similar to the section shown in Fig. 1B.
|
|
Fig. 8. Geometry of the cyst. Comparison among the pattern of divisions, ring canal distribution and ultimate geometry of female germline cyst in Xenopus and
Drosophila. Numbers from 1 to 4 indicate successive generations of ring canals and cystocytes. Different colors indicate cystocytes of the same generation (A).
Actual light microscopy image of two M1 cystocytes (yellow circles) in metaphase of the second division. Drawing underneath shows a 4-cell cyst that will
result from this division (B). Two different sections of 8-cell cyst in metaphase of fourth division (C, D). Drawings underneath show a 16-cell cyst that will
result from this division. Color circles represent successive generation of cystocytes visible in the section, arrows indicate ring canals visible in the section, stars
indicate cells that are present in this cysts but are not visible in the section, white circles represent cystocytes that will form as the result of this particular
division. Scale bar is equal to 20 Am.
|
|
Fig. 9. Spatial relationship among PMCs, centrioles and ring canals. Electron microscopy image of three neighboring cystocytes. In all three cells, the PMCs
with mitochondrial cement (white arrows) face the center of the cyst. Ring canal (arrow) is visible between two cells. Double arrow points to the fusome
adjacent to the nucleus (A). Two cystocytes connected by the ring canal, with centriole (arrow) at the vicinity of the ring canal. PMC with mitochondrial cement
(white arrow) is facing the center of the cyst (B). PMC with mitochondrial cement (white arrow) facing the ring canal (black arrow) (C), nucleus (n). Scale bar
is equal to 2.5 Am in A, 1.4 Am in B and 500 nm in C.
|
|
Fig. 10. Summary of the architecture of female germline cyst in Xenopus. Germ stem cell and cystoblast that is a precursor cell of the cyst are light yellow. They
have a lobulated nucleus and a mitochondrial aggregate that contains spectrin and might be an equivalent of Drosophila spectrosome. There is no information
available on the pattern of division of the germ stem cell. It is not clear if the division of the germ stem cell results in another stem cell and cytoblast (this is
more plausible) or just two cytoblasts that will both form the cysts. Cystocytes of the same generation (M1–M4) are labeled with the same color, ring canals
and fusomes are yellow, PMC with centrioles in the center are green, nuclei are dark blue. Synaptonemal complexes (SS) are blue. Numbers indicate successive
generations of ring canals. All ring canals, PMCs, centrioles and synaptonemal complexes are located centripetally and face the center of the cyst (see text).
|
|
Fig. 11. Axial polarity of prophase oocytes. Fragment of pachytene oocyte with the synaptonemal complexes (thin arrows) facing the PMC. Thick arrows point
to the mitochondrial cement within PMC (A). Fragment of pachytene oocyte. Synaptonemal complex (thin arrow) and PMC adjacent to the nuclear envelope.
Thick arrow points to the mitochondrial cement of PMC, double arrow points to the centriole (B, C). Scale bar is equal to 900 nm in A and B, and 700 nm in C.
|
|
Fig. 12. Apoptosis in froglet ovary. Whole mount TUNEL staining. Whole ovary (A) and its fragments showing randomly distributed apoptotic cells (arrows)
in the cortex of the ovary. Pâpigment in the malanocytes (B). Higher magnification of the ovary showing unstained cyst in the center and apoptotic cells
(arrows) located at the periphery and between the cysts, TUNEL staining (C) and Hoechst and TUNEL double staining (D). Scale bar is equal to 350 Am in A,
200 Am in B and 80 Am in C and D.
|