Click here to close
Hello! We notice that you are using Internet Explorer, which is not supported by Xenbase and may cause the site to display incorrectly.
We suggest using a current version of Chrome,
FireFox, or Safari.
BMC Cell Biol
2009 Oct 16;10:74. doi: 10.1186/1471-2121-10-74.
Show Gene links
Show Anatomy links
Karyopherin binding interactions and nuclear import mechanism of nuclear pore complex protein Tpr.
Ben-Efraim I
,
Frosst PD
,
Gerace L
.
???displayArticle.abstract???
BACKGROUND: Tpr is a large protein with an extended coiled-coil domain that is localized within the nuclear basket of the nuclear pore complex. Previous studies 1 involving antibody microinjection into mammalian cells suggested a role for Tpr in nuclear export of proteins via the CRM1 export receptor. In addition, Tpr was found to co-immunoprecipitate with importins alpha and beta from Xenopus laevis egg extracts 2, although the function of this is unresolved. Yeast Mlp1p and Mlp2p, which are homologous to vertebrate Tpr, have been implicated in mRNA surveillance to retain unspliced mRNAs in the nucleus34. To augment an understanding of the role of Tpr in nucleocytoplasmic trafficking, we explored the interactions of recombinant Tpr with the karyopherins CRM1, importin beta and importin alpha by solid phase binding assays. We also investigated the conditions required for nuclear import of Tpr using an in vitro assay.
RESULTS: We found that Tpr binds strongly and specifically to importin alpha, importin beta, and a CRM1 containing trimeric export complex, and that the binding sites for importins alpha and beta are distinct. We also determined that the nuclear import of Tpr is dependent on cytosolic factors and energy and is efficiently mediated by the importin alpha/beta import pathway.
CONCLUSION: Based on the binding and nuclear import assays, we propose that Tpr is imported into the nucleus by the importin alpha/beta heterodimer. In addition, we suggest that Tpr can serve as a nucleoporin binding site for importin beta during import of importin beta cargo complexes and/or importin beta recycling. Our finding that Tpr bound preferentially to CRM1 in an export complex strengthens the notion that Tpr is involved in protein export.
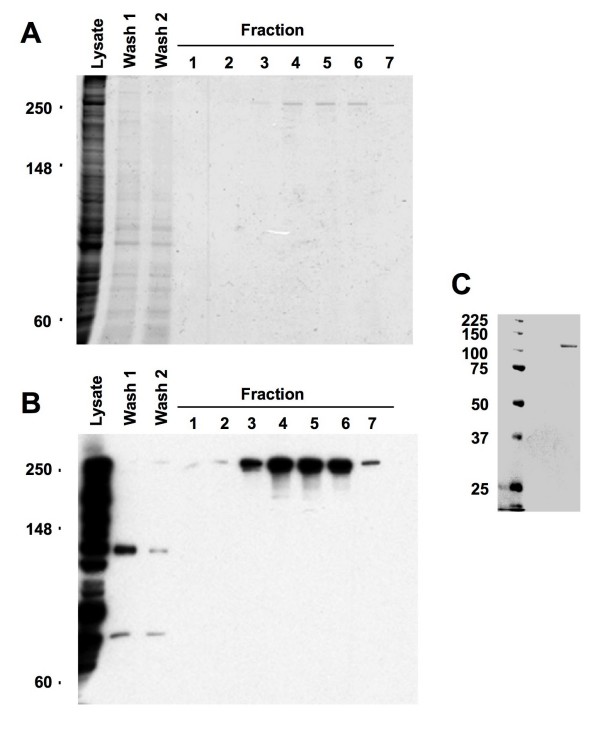
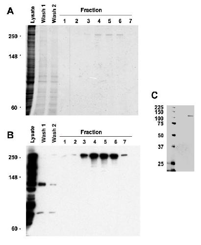
Figure 1. Purification of recombinant Tpr from SF9 cells and C-Tpr (residues 1626-2348) from bacteria. Panel A: Coomassie stained SDS-PAGE (8%) of a representative 6×His-Tpr purification. Shown are the cell lysate following centrifugation, washes (800 mM NaCl, 20 mM HEPES pH7.5, 10% glycerol, 15 mM imidazole and protease inhibitors) to remove material non-specifically bound to the resin and seven elution fractions (100 mM NaCl, 20 mM HEPES, 150 mM imidazole and 5 mM beta-mercaptoethanol with protease inhibitors). Panel B: Western analysis of the samples in Fig.1 Panel A, probed with a combination of antibodies to the N-terminus and the C-terminus of Tpr. Panel C: Coomassie stained SDS-PAGE (8%) of a representative purified CTpr(1626-2348).
Figure 2. Characterization of the binding of CRM1 or importin β to Tpr or C-Tpr. Panel A: Binding was analyzed in the absence of RanGTP and NES (empty circles) or presence of RanGTP and NES (filled triangles) or absence of RanGTP and presence of NES (filled circles). Increasing eqimolar concentrations of CRM1, RanGTP and NES were incubated with Tpr and bound CRM1 was quantified as described in materials and methods. Panel B: Binding to Tpr was analyzed with increasing concentrations of importin β (filled circles) or importin β I178D (inverted triangles). Binding to C-Tpr was analyzed with increasing concentrations of importin β. The results are from duplicates of a single typical experiment. The standard deviation was <5% of the mean. The data were fitted to the equation B(Y) = Bmax × Y/(Kd + Y) (using Kaleida Graph software) where Y is the concentration of CRM1 (Panel A) or importin β/importin β I178D (Panel B) and B is the amount of CRM1(Panel A) or importin β/importin β I178D (Panel B) specifically bound. The correlation coefficients of the data to the fitted curves were >0.99.
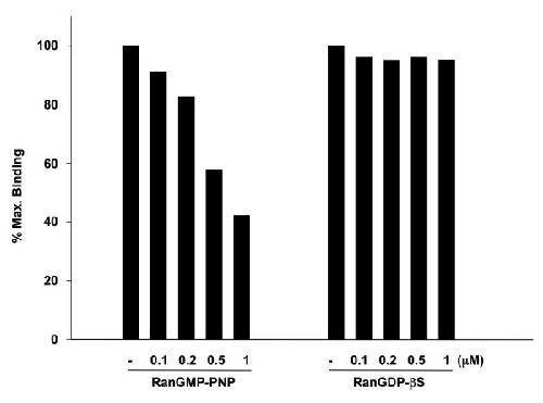
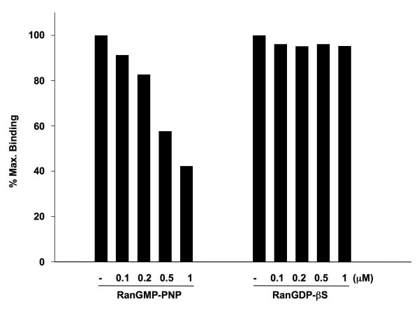
Figure 3. The binding of importin β to Tpr in the solid phase assay is sensitive to RanGTP. The binding of 100 nM importin β to Tpr adsorbed to microtiter wells was analyzed in the absence, or in the presence of 0.1, 0.2, 0.5 and 1 μM RanGMP-PNP or RanGDPβS, as indicated. The bound importin β was quantified as described in materials and methods.
Figure 4. Characterization of the binding of ΔIBB-importin α to Tpr and demonstration of different binding sites for ΔIBB-importin α and importin β on Tpr. Panel A: Increasing concentrations of ΔIBB-importin α were incubated with immobilized Tpr or C-Tpr and the bound ΔIBB-importin α was quantified as described in materials and methods. The data were analyzed as described in Fig. 1. Panel B: The binding of 60 nM importin β to Tpr pre-adsorbed to microtiter wells was analyzed in the absence of ΔIBB-importin α or in the presence of 60, 120, 300 and 600 nM ΔIBB-importin α, as indicated. Bound importin β and ΔIBB-importin α were quantified as described in Materials and Methods.
Figure 5. C-Tpr import into the nucleus is cytosol, temperature and energy dependent and is blocked by WGA. Digitonin-permeabilized NRK cells were incubated with 8 pmoles of Cy5-C-Tpr for 20 min at 30°C (panel A) or 4°C (panel B) in the presence of cytosol and an energy-regenerating system. Panel C: 8 μg WGA was added. Panel D: the ATP regenerating system was replaced by an ATP-depleting system, 0.8885 U hexokinase + glucose. Samples were visualized by confocal microscopy.
Figure 6. Role of importin α/β nuclear import pathway in the nuclear distribution of C-Tpr. Digitonin-permeabilized NRK cells were incubated with 8 pmoles Cy5-C-Tpr (Panels A, C, E, G) or 8 pmoles Cy3-BSA-NLS (coupled with a synthetic peptide comprising the NLS of SV40 T-antigen; Panels B, D, F, H) and nuclear import was conducted with recombinant factors as described in Materials and Methods. Panels A, B: nuclear import of Cy5-C-Tpr and Cy5-BSA-NLS performed at 30°C; panels C, D: importin α was omitted; panels E, F: importin β was omitted; panels G, H: Cy5-C-Tpr and Cy3-BSA-NLS competed with 10-fold molar excess of unlabeled cargo. Samples were visualized by confocal fluorescent microscopy.
Antonin,
Nuclear pore complex assembly through the cell cycle: regulation and membrane organization.
2008, Pubmed
Antonin,
Nuclear pore complex assembly through the cell cycle: regulation and membrane organization.
2008,
Pubmed
Askjaer,
RanGTP-regulated interactions of CRM1 with nucleoporins and a shuttling DEAD-box helicase.
1999,
Pubmed
,
Xenbase
Bangs,
Functional analysis of Tpr: identification of nuclear pore complex association and nuclear localization domains and a role in mRNA export.
1998,
Pubmed
Bayliss,
Structural basis for the interaction between FxFG nucleoporin repeats and importin-beta in nuclear trafficking.
2000,
Pubmed
Ben-Efraim,
Gradient of increasing affinity of importin beta for nucleoporins along the pathway of nuclear import.
2001,
Pubmed
Bodoor,
Sequential recruitment of NPC proteins to the nuclear periphery at the end of mitosis.
1999,
Pubmed
Casolari,
Guardian at the gate: preventing unspliced pre-mRNA export.
2004,
Pubmed
Cordes,
Identification of protein p270/Tpr as a constitutive component of the nuclear pore complex-attached intranuclear filaments.
1997,
Pubmed
,
Xenbase
Cordes,
Molecular segments of protein Tpr that confer nuclear targeting and association with the nuclear pore complex.
1998,
Pubmed
,
Xenbase
Cornett,
Polyglutamine expansion of huntingtin impairs its nuclear export.
2005,
Pubmed
Dasso,
The Ran GTPase: theme and variations.
2002,
Pubmed
Denning,
Disorder in the nuclear pore complex: the FG repeat regions of nucleoporins are natively unfolded.
2003,
Pubmed
Denning,
Rapid evolution exposes the boundaries of domain structure and function in natively unfolded FG nucleoporins.
2007,
Pubmed
Dultz,
Systematic kinetic analysis of mitotic dis- and reassembly of the nuclear pore in living cells.
2008,
Pubmed
Fahrenkrog,
The nuclear pore complex: a jack of all trades?
2004,
Pubmed
Feuerbach,
Nuclear architecture and spatial positioning help establish transcriptional states of telomeres in yeast.
2002,
Pubmed
Fornerod,
The human homologue of yeast CRM1 is in a dynamic subcomplex with CAN/Nup214 and a novel nuclear pore component Nup88.
1997,
Pubmed
Frosst,
Tpr is localized within the nuclear basket of the pore complex and has a role in nuclear protein export.
2002,
Pubmed
Galy,
Nuclear pore complexes in the organization of silent telomeric chromatin.
2000,
Pubmed
Galy,
Nuclear retention of unspliced mRNAs in yeast is mediated by perinuclear Mlp1.
2004,
Pubmed
Green,
The C-terminal domain of myosin-like protein 1 (Mlp1p) is a docking site for heterogeneous nuclear ribonucleoproteins that are required for mRNA export.
2003,
Pubmed
Hase,
Direct interaction with nup153 mediates binding of Tpr to the periphery of the nuclear pore complex.
2003,
Pubmed
Hase,
Amino acid substitutions of coiled-coil protein Tpr abrogate anchorage to the nuclear pore complex but not parallel, in-register homodimerization.
2001,
Pubmed
Hediger,
Myosin-like proteins 1 and 2 are not required for silencing or telomere anchoring, but act in the Tel1 pathway of telomere length control.
2002,
Pubmed
Hu,
Efficiency of importin alpha/beta-mediated nuclear localization sequence recognition and nuclear import. Differential role of NTF2.
1999,
Pubmed
,
Xenbase
Joseph,
Ran at a glance.
2006,
Pubmed
Kehlenbach,
Stimulation of nuclear export and inhibition of nuclear import by a Ran mutant deficient in binding to Ran-binding protein 1.
2001,
Pubmed
Kölling,
A new yeast gene with a myosin-like heptad repeat structure.
1993,
Pubmed
Kosova,
Mlp2p, a component of nuclear pore attached intranuclear filaments, associates with nic96p.
2000,
Pubmed
Krull,
Nucleoporins as components of the nuclear pore complex core structure and Tpr as the architectural element of the nuclear basket.
2004,
Pubmed
Lince-Faria,
Spatiotemporal control of mitosis by the conserved spindle matrix protein Megator.
2009,
Pubmed
Lyman,
Influence of cargo size on Ran and energy requirements for nuclear protein import.
2002,
Pubmed
Melchior,
Inhibition of nuclear protein import by nonhydrolyzable analogues of GTP and identification of the small GTPase Ran/TC4 as an essential transport factor.
1993,
Pubmed
Mitchell,
Nucleotide sequence analysis of human tpr cDNA clones.
1992,
Pubmed
Mosammaparast,
Karyopherins: from nuclear-transport mediators to nuclear-function regulators.
2004,
Pubmed
Niepel,
The nuclear pore complex-associated protein, Mlp2p, binds to the yeast spindle pole body and promotes its efficient assembly.
2005,
Pubmed
Palancade,
Nucleoporins prevent DNA damage accumulation by modulating Ulp1-dependent sumoylation processes.
2007,
Pubmed
Pemberton,
Mechanisms of receptor-mediated nuclear import and nuclear export.
2005,
Pubmed
Rexach,
Protein import into nuclei: association and dissociation reactions involving transport substrate, transport factors, and nucleoporins.
1995,
Pubmed
Rose,
The plant nuclear envelope.
2004,
Pubmed
Schwartz,
Modularity within the architecture of the nuclear pore complex.
2005,
Pubmed
Shah,
Major binding sites for the nuclear import receptor are the internal nucleoporin Nup153 and the adjacent nuclear filament protein Tpr.
1998,
Pubmed
,
Xenbase
Shibata,
Nucleocytoplasmic transport of proteins and poly(A)+ RNA in reconstituted Tpr-less nuclei in living mammalian cells.
2002,
Pubmed
Stewart,
Molecular mechanism of the nuclear protein import cycle.
2007,
Pubmed
Strambio-de-Castillia,
Proteins connecting the nuclear pore complex with the nuclear interior.
1999,
Pubmed
Tran,
Dynamic nuclear pore complexes: life on the edge.
2006,
Pubmed
Vinciguerra,
Perinuclear Mlp proteins downregulate gene expression in response to a defect in mRNA export.
2005,
Pubmed
Weis,
Regulating access to the genome: nucleocytoplasmic transport throughout the cell cycle.
2003,
Pubmed
Wen,
Identification of a signal for rapid export of proteins from the nucleus.
1995,
Pubmed
Xu,
NUCLEAR PORE ANCHOR, the Arabidopsis homolog of Tpr/Mlp1/Mlp2/megator, is involved in mRNA export and SUMO homeostasis and affects diverse aspects of plant development.
2007,
Pubmed
Zhao,
Mlp-dependent anchorage and stabilization of a desumoylating enzyme is required to prevent clonal lethality.
2004,
Pubmed
Zimowska,
A Drosophila Tpr protein homolog is localized both in the extrachromosomal channel network and to nuclear pore complexes.
1997,
Pubmed