|
Figure 1. The histone variant H2AL2 can substitute for conventional H2A in the nucleosome. (A) Sequence alignment of mouse H2A.1 and H2AL2 and human H2A.Bbd. The N- and C-termini, the histone-fold domain as well as the docking domain (in bold) are indicated. (B) SDS PAGE of the purified recombinant histones used for nucleosome reconstitution. (C) EMSA of reconstituted nucleosome core particles. 32P-end labeled 147 bp 601.2 DNA sequence was used to reconstitute conventional and histone variant H2AL2 core particles. The reconstituted particles were run on 5% PAGE under native conditions. The positions of the core particles and of free DNA are indicated. Note that under the conditions of reconstitution essentially no free DNA was observed. (D) Preparative EMSA of reconstituted nucleosomes. Conventional and H2AL2 nucleosomes, reconstituted on 255 bp 601 DNA sequence, were run on 5% native PAGE, the bands corresponding to the nucleosomes were excised and then the nucleosomes were eluted from the gel. The gel-purified nucleosomes were run on SDS electrophoresis. (E) SDS PAGE of both conventional and H2AL2 histone octamers (lanes 3 and 4) and gel-purified reconstituted nucleosomes (lanes 1 and 2).
|
|
Figure 2. DNase I and hydroxyl radical footprinting show alterations in the structure of the histone variant H2AL2 nucleosome. (A) DNase I footprinting. Conventional (lanes 2–7) and H2AL2 (lanes 9–14) nucleosome core particles were reconstituted by using 32P-radiolabeled 147 bp 601.2 positioning DNA sequence and digested with decreasing amount of DNase I. After purification, the cleaved DNA was run on an 8% sequencing PAGE. Lanes 1 and 15 show the DNase I digestion pattern of free DNA. The molecular marker (lane 8) is a HaeIII digested mix of the eight 147 bp 601.2 fragments; the band with the highest molecular weight corresponds to 147 bp and the consecutive bands are separated by 10 bp (see ‘Material and Methods’ section, one pot assay). The position of the nucleosome dyad is indicated at the right part of the figure. (B) Hydroxyl radical footprinting. Centrally positioned conventional and H2AL2 nucleosomes were reconstituted on 32P-radiolabeled 255 bp 601 positioning DNA sequence and subjected to OH cleavage. The cleaved DNA was purified from the conventional and H2AL2 nucleosomes and run (in duplicate) on 8% PAGE under denaturing conditions. Lanes 1 and 2 were not adjacent to lanes 3 and 4 in the original gel, and they were thus demarked accordingly. The right part of the figure shows the scans of the OH cleavage patterns of the two samples (red, H2AL2 nucleosomes; black, H2A nucleosomes). The position of the nucleosome dyad is indicated. Note the lower contrast of the cleaved H2AL2 nucleosomal DNA (designated by asterisk) toward the end of the nucleosome DNA.
|
|
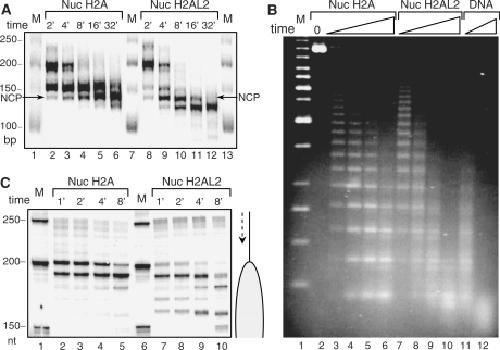
Figure 3. Higher accessibility of H2AL2 mono-nucleosomes and nucleosomal arrays to micrococcal nuclease and exonuclease III digestion. (A) Identical amounts (50 ng) of conventional (Nuc H2A) and H2AL2 (Nuc H2AL2) nucleosomes (reconstituted on a body-labeled 255 bp 601 sequence) in a solution of 10 μl were digested (in the presence of 1 μg plasmid DNA) with 8 units/ml of micrococcal nuclease for the indicated times (2–32 min) at room temperature. After arresting the reaction, the digested DNA was isolated and run on 10% native PAGE. Lanes 1, 7 and 13, DNA molecular mass markers. The lengths (in bp) of the markers are indicated at the left side of the figure. (B) Micrococcal nuclease digestion of conventional H2A and histone variant H2AL2 33X200–601 arrays. Hundred nanogram of fully saturated reconstituted conventional (lanes 2–5), H2AL2 (lanes 7–10) and naked DNA (lanes 11 and 12) arrays were digested for different time points with micrococcal nuclease. The digested DNA was isolated and run on 1.4% agarose gel and visualized with SYBR green. Lane 1, 1-kb molecular mass DNA marker. (C) Exonuclease III digestion of conventional and H2AL2 nucleosomes. Fifty nanogram of uniquely 5′-end-labeled centrally positioned nucleosomes (reconstituted on a 255 bp 601 sequence) were digested with the same amount of exonuclease III for the times indicated. The reaction was arrested and, after purification, the digestion products were run on an 8% denaturing gel. The lengths of the 50-bp DNA marker (lanes 1 and 6) are indicated at the left side of the figure.
|
|
Figure 4. ‘One pot assay’ of conventional and H2AL2 nucleosomes. (A) Kinetics of the HaeIII digestion of conventional H2A (Nuc H2A) and variant H2AL2 (Nuc H2AL2) nucleosomes. Identical amounts of both types of nucleosomes were digested with 5 U/µl of Hae III at 30°C for the times indicated. After arresting the digestion, DNA was isolated and run on an 8% denaturing PAGE. Lane 1, naked DNA digested with 5 U/µl for 5 min. (B) Quantification of the data presented in (A). Note that the quantification for the accessibility at d7 is not presented, since the corresponding band is not resolved from the undigested DNA under our conditions (see panel A).
|
|
Figure 5. AFM imaging shows that the H2AL2 histone octamer is complexed with ∼130 bp of DNA. Centrally positioned conventional and H2AL2 nucleosomes were reconstituted on 255 bp 601 DNA sequence and visualized by AFM. Representative AFM images for the conventional (nuc H2A) and H2AL2 (nuc H2AL2) particles are presented in (A) and (B), respectively. (C) Complexed DNA length (Lc) distribution for conventional and H2AL2 nucleosomes. Note the difference in the peak position in the distribution curves of the two samples. (D) Nucleosome position (ΔL) distribution for conventional and H2AL2 nucleosomes. The numbers of particles used for the calculation of the distributions were N = 1252 and N = 2805 for conventional and H2AL2 nucleosomes, respectively.
|
|
Figure 6. Electron cryo-microscopy visualization of conventional H2A and histone variant H2AL2 tri-nucleosomes. A DNA fragment containing three tandem 601 positioning sequence repeats was used to reconstitute conventional (A) and H2AL2 tri-nucleosomes (B) and they were visualized by E-CM. Typical micrographs for both types of particles are shown. The conventional trinucleosomes exhibit V-shaped structure with the two-end nucleosomes at both ends of the ‘V’ and the middle nucleosome at the center of the ‘V’. In contrast, the majority of the H2AL2 trinucleosomes exhibit ‘beads on a string’ structure and very few H2AL2 trinucleosomes show open ‘V’-type of organization. Black arrows indicate the linker DNA, while the nucleosome is designated by white arrows.
|
|
Figure 7. SWI/SNF and RSC remodeling of conventional and H2AL2 nucleosomes. End-positioned conventional (lanes 2–7) and H2AL2 (lanes 9–14) nucleosomes were reconstituted on a 32P-5′-labeled 200 bp 601 DNA fragment and incubated for increasing times (from 2.5 to 40 min) at 30°C with two units of either SWI/SNF (A) or RSC (B). After arresting the reactions, the samples were digested with DNase I, DNA was extracted and run on an 8% sequencing gel. The position of the dyad is indicated at the left part of the figure. Lanes 1 and 8 of each panel show the digestion pattern of free DNA.
|
|
Figure 8. The presence of H2AL2 interferes with both SWI/SNF and RSC nucleosome remodeling and mobilization. (A) Nucleosome mobilization assay. Centrally positioned conventional and H2AL2 nucleosomes were reconstituted on a 32P-end-labeled 255 bp 601 DNA fragment and used for either RSC (left panel) or SWI/SNF (right panel) mobilization assay. Both types of reconstituted nucleosomes were incubated for 40 min at 30°C with increasing amounts of the respective remodeler in the presence of ATP. After arresting the reaction, the samples were run on a 5% native PAGE (the conventional and H2AL2 RSC-treated nucleosomes were run on two different gels and the data are presented in two separate panels). The center and the end-positioned (slid) nucleosomes and free DNA are indicated. The lower part of the figure shows the quantification of the data. (B) DNase I footprinting of RSC remodeled conventional and H2AL2 nucleosomes. Both centrally positioned conventional and H2AL2 particles, reconstituted on a 32P-end-labeled 255 bp 601 DNA fragment, were treated with the highest amount of RSC used in the mobilization reaction as described in (A). After arresting the remodeling reaction the samples were digested with DNase I, the cleaved DNA was purified and run on an 8% sequencing PAGE. A schematic of the nucleosome is shown in the upper part of the figure. Lane 3, showing the digestion of the naked DNA, was not adjacent to lanes 2 and 4 in the original gel, and was thus demarked accordingly.
|
|
Figure 9. XbaI nuclease restriction and AFM analyses of the RSC-induced relocation of conventional and histone variant H2AL2 nucleosomes. (A) Schematics of the XbaI restriction analysis used to study the RSC-induced mobilization of conventional and histone variant H2AL2 nucleosomes. The XbaI restriction site is located in the linker DNA of the nucleosome at 233 bases from the end of the 32P-end-labeled 601.2 DNA fragment. If RSC induces sliding of the nucleosome, the cut efficiency of XbaI is expected to decrease two-fold (the nucleosome will be mobilized to both ends of the DNA fragment, left panel). If RSC is unable to mobilize the nucleosome, no decrease of the XbaI cut efficiency will be observed (right panel). (B) Identical amounts (150 ng) of H2A (left panel) or H2AL2 (right panel) 32P-end-labeled nucleosomes were incubated with 0.04 units/μl of XbaI either in the presence or the absence of 1 mM ATP. After digestion for the times indicated, the reaction was stopped and the digestion products were separated on the same 8% sequencing gel (the migrated products, which loading was not adjacent in the original gel, are demarked by vertical lines). The positions of the full length (FL) and cut DNA fragment are indicated on the left of the figure. (C) Quantifications of the data presented in (B). Note the 2-fold decrease of cut yield for the conventional H2A nucleosomes (Nuc H2A, left panel) and the absence of effect on the cut yield in the case of H2AL2 (Nuc H2AL2, right panel) nucleosomes. The digestion with Xba 1 was carried out in remodeling buffer and under these conditions a digestion plateau was reached at ∼50–60%. (D) Position distribution (ΔL) of conventional and H2AL2 histone variant nucleosomes before and after treatment with RSC. Either conventional or H2AL2 nucleosomes were treated with RSC in the presence of ATP and the samples were visualized by AFM. The insets indicate the centrally positioned (first peak) and the mobilized, end-positioned conventional nucleosomes (second peak). The numbers of analyzed nucleosomes are: N(H2A-RSC) = 524, N(H2A+RSC) = 688 conventional nucleosomes and N(H2AL2-RSC) = 1063 and N(H2AL2+RSC) = 1341 variant nucleosomes, respectively.
|