Click here to close
Hello! We notice that you are using Internet Explorer, which is not supported by Xenbase and may cause the site to display incorrectly.
We suggest using a current version of Chrome,
FireFox, or Safari.
Greatwall maintains mitosis through regulation of PP2A.
Vigneron S
,
Brioudes E
,
Burgess A
,
Labbé JC
,
Lorca T
,
Castro A
.
???displayArticle.abstract??? Greatwall (GW) is a new kinase that has an important function in the activation and the maintenance of cyclin B-Cdc2 activity. Although the mechanism by which it induces this effect is unknown, it has been suggested that GW could maintain cyclin B-Cdc2 activity by regulating its activation loop. Using Xenopus egg extracts, we show that GW depletion promotes mitotic exit, even in the presence of a high cyclin B-Cdc2 activity by inducing dephosphorylation of mitotic substrates. These results indicate that GW does not maintain the mitotic state by regulating the cyclin B-Cdc2 activation loop but by regulating a phosphatase. This phosphatase is PP2A; we show that (1) PP2A binds GW, (2) the inhibition or the specific depletion of this phosphatase from mitotic extracts rescues the phenotype induced by GW inactivation and (3) the PP2A-dependent dephosphorylation of cyclin B-Cdc2 substrates is increased in GW-depleted Xenopus egg extracts. These results suggest that mitotic entry and maintenance is not only mediated by the activation of cyclin B-Cdc2 but also by the regulation of PP2A by GW.
Figure 1.
Co-depletion of GW with Wee1 or Myt1 does not prevent mitotic exit. (A) CSF extracts were co-depleted with control (CT) or anti-Wee1 (ΔWee1) and anti-GW (ΔGW) antibodies. Phosphorylation of the indicated proteins was analysed by western blot. Cyclin B–Cdc2 activity was measured by H1 histone phosphorylation assay (H1K). Finally, chromatin condensation was visualized by light microscopy. Asterisks denote non-specific bands of anti-pTyr 15 antibody. (B) Similar to (A) except that the depletion of Myt1 (ΔMyt1) was studied instead that of Wee1 before GW immunoprecipitation. Bar, 5 μm.
Figure 2.
GW depletion induces mitotic exit in CSF extracts in the presence of high cyclin B–Cdc2 activity. (A) A triple depletion with Myt1–Wee1–GW antibodies or Myt1–Wee1–Control antibodies were carried out in CSF extracts and the phosphorylation of the indicated proteins, as well as the cyclin B–Cdc2 activity and chromatin condensation were analysed. (B) CSF extracts were immunoprecipitated twice with control antibodies or with anti-Myt1 and anti-Wee1 antibodies. Subsequently, anti-GW antibody-bound Dynabeads were added to the supernatants and samples were removed at the indicated times. * Time-point 0 min in GW immunodepletions of Figure 1 corresponds to time-point 15 min of this figure. (C) Supernatants of GW, Myt1–Wee1 or Myt1–Wee1–GW immunoprecipitates were used to analyse the phosphorylation of the indicated proteins using western blot. Bar 5 μm.
Figure 3.
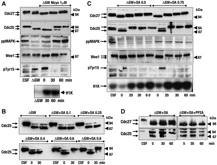
Phosphatase inhibitors, microcystin and okadaic acid (OA), rescue the phenotype induced by GW inactivation in CSF extracts. (A) GW-depleted CSF extracts were supplemented with microcystin (1 μM) and the phosphorylation of the indicated proteins as well as the cyclin B–Cdc2 activity were analysed. (B) CSF extracts were devoid of GW and supplemented with increasing doses of OA (from 0.1 to 0.8 μM). (C) GW-depleted CSF extracts were supplemented with 0.5 or 0.75 μM OA. (D) GW-depleted CSF extracts were supplemented with 0.75 μM OA and subsequently supplemented or not with purified PP2A (Upstate).
Figure 4.
PP2A binds GW in human cells and CSF extracts. (A) HEK293 cells were co-transfected with YFP-GW, PP2A/A subunit and PP2A/C subunit. Cells were then lysed and immunoprecipitated with anti-GFP antibodies or with control antibodies. The presence of GW, PP2A/A and PP2A/C in 40 ng of total protein of the input and the supernatant, as well as the IP corresponding to 500 μg of total protein were analysed by SDS–PAGE and western blot. (B) HEK293 cells were co-transfected with PP2A/A and either PP2A/C or HA-PP2A/C and immunoprecipitated with anti-HA antibodies. The presence of GW, PP2A/A and PP2A/C was then analysed in the inputs, the supernatants and the Ips. (C) HEK293 cells were co-transfected with YFP-GW and PP2A/A subunit, lysed and immunoprecipitated with anti-GFP or control antibodies as described in Material and methods section. The presence of GW, PP2A/A and PP2A/C was then analysed in the inputs and supernatants by SDS–PAGE and western blot. (D) A total of 50 μl CSF extracts were immunoprecipitated with anti-PP2A/A monoclonal antibodies (6F9) or control antibodies, and the immunoprecipitates as well as a 1.5-μl CSF sample were used to analyse the presence of GW by immunoblotting. The smeared bands present in control IP between 94 and 67 kDa correspond to immunoglobulins in which the heavy and light chains have not been correctly dissociated after boiling. The same amount of CSF extracts were used to immunoprecipitate GW with anti-GW or control antibodies, and the immunoprecipitates as well as a 1.5-μl CSF sample were treated as described above to analyse the presence of PP2A/C.
Figure 5.
GW maintains the mitotic state by promoting PP2A inhibition. (A) CSF extract was incubated with anti-PP2A/A monoclonal antibodies bound to protein G–Sepharose beads. Three runs of immunodepletion were carried out to remove PP2A. The last supernatant was then depleted of GW by a subsequent immunoprecipitation and used to analyse the phophorylation of Cdc27, Cdc2 and cyclin B2 and to measure cyclin B–Cdc2 activity. The levels of PP2A/A and C were also examined in the three supernatants recovered after PP2A/A immunoprecipitation. (B) Radiolabelled p-mal-cMos was incubated with a PP2A complex obtained from CSF (PP2A CSF) or GW-depleted CSF extracts (PP2A Δ GW). After 1-h incubation, the supernatants were submitted to SDS–PAGE, stained with Coomassie Blue and the phosphorylation of p-mal-cMos revealed by autoradiography. One-tenth of the PP2A immunoprecipitates from CSF (IP PP2A CSF) and GW-depleted CSF extracts (IP PP2A ΔGW) were used to measure the amount of PP2A/C immunoprecipitated in each condition by western blotting. Coomassie Blue staining showing the levels of phosphorylated p-mal-cMos, as well as a scan of this gel using Typhoon Scanner, from the input (10 μl p-mal-cMosp33) and the supernatant of the dephosphorylation reactions with PP2A from CSF (PP2A CSF) and GW-depleted CSF extracts (PP2A ΔGW) are shown. (C) A procedure similar to that followed in (B) except that supernatants were taken at 0, 20, 40, 60 and 80 min of incubation. The gels were scanned using a Typhoon Scanner and quantified by using ImageQuant TL software. Statistical analysis of the results, obtained from three different independent experiments, was performed using unpaired Student's t test. The amounts of phosphorylated p-mal-cMos present at each time were expressed as mean±s.e.m. Statistical difference in the last time point is indicated by an asterisk (*) P<0.0212.
Abrieu,
Mps1 is a kinetochore-associated kinase essential for the vertebrate mitotic checkpoint.
2001, Pubmed,
Xenbase
Abrieu,
Mps1 is a kinetochore-associated kinase essential for the vertebrate mitotic checkpoint.
2001,
Pubmed
,
Xenbase
Abrieu,
The Polo-like kinase Plx1 is a component of the MPF amplification loop at the G2/M-phase transition of the cell cycle in Xenopus eggs.
1998,
Pubmed
,
Xenbase
Bernis,
Pin1 stabilizes Emi1 during G2 phase by preventing its association with SCF(betatrcp).
2007,
Pubmed
,
Xenbase
Castro,
Cyclin B/cdc2 induces c-Mos stability by direct phosphorylation in Xenopus oocytes.
2001,
Pubmed
,
Xenbase
Castro,
c-Mos and cyclin B/cdc2 connections during Xenopus oocyte maturation.
2001,
Pubmed
,
Xenbase
Chen,
Characterization of spindle assembly checkpoint in Xenopus egg extracts.
1997,
Pubmed
,
Xenbase
Draetta,
Cell cycle: will the real Cdk-activating kinase please stand up.
1997,
Pubmed
Félix,
Cdc2 H1 kinase is negatively regulated by a type 2A phosphatase in the Xenopus early embryonic cell cycle: evidence from the effects of okadaic acid.
1990,
Pubmed
,
Xenbase
Fesquet,
Is Cdk7/cyclin H/MAT1 the genuine cdk activating kinase in cycling Xenopus egg extracts?
1997,
Pubmed
,
Xenbase
Kremmer,
Separation of PP2A core enzyme and holoenzyme with monoclonal antibodies against the regulatory A subunit: abundant expression of both forms in cells.
1997,
Pubmed
Lorca,
Fizzy is required for activation of the APC/cyclosome in Xenopus egg extracts.
1998,
Pubmed
,
Xenbase
MacKintosh,
Cyanobacterial microcystin-LR is a potent and specific inhibitor of protein phosphatases 1 and 2A from both mammals and higher plants.
1990,
Pubmed
Matsusaka,
Chfr acts with the p38 stress kinases to block entry to mitosis in mammalian cells.
2004,
Pubmed
Mochida,
Calcineurin is required to release Xenopus egg extracts from meiotic M phase.
2007,
Pubmed
,
Xenbase
Morgan,
Cyclin-dependent kinases: engines, clocks, and microprocessors.
1997,
Pubmed
Murray,
Cell cycle extracts.
1991,
Pubmed
Nishiyama,
Transient activation of calcineurin is essential to initiate embryonic development in Xenopus laevis.
2007,
Pubmed
,
Xenbase
Nurse,
Universal control mechanism regulating onset of M-phase.
1990,
Pubmed
Perdiguero,
Regulation of Cdc25C activity during the meiotic G2/M transition.
2004,
Pubmed
,
Xenbase
Perry,
Cdc25 and Wee1: analogous opposites?
2007,
Pubmed
Pines,
Isolation of a human cyclin cDNA: evidence for cyclin mRNA and protein regulation in the cell cycle and for interaction with p34cdc2.
1989,
Pubmed
Rivas,
Biochemical characterization and inhibitory effects of dinophysistoxin-1, okadaic acid and microcystine 1-r on protein phosphatase 2a purified from the mussel Mytilus chilensis.
2000,
Pubmed
Russo,
Structural basis of cyclin-dependent kinase activation by phosphorylation.
1996,
Pubmed
Wu,
PP1-mediated dephosphorylation of phosphoproteins at mitotic exit is controlled by inhibitor-1 and PP1 phosphorylation.
2009,
Pubmed
,
Xenbase
Yu,
Greatwall kinase: a nuclear protein required for proper chromosome condensation and mitotic progression in Drosophila.
2004,
Pubmed
Yu,
Greatwall kinase participates in the Cdc2 autoregulatory loop in Xenopus egg extracts.
2006,
Pubmed
,
Xenbase
Zhao,
Roles of Greatwall kinase in the regulation of cdc25 phosphatase.
2008,
Pubmed
,
Xenbase