Click here to close
Hello! We notice that you are using Internet Explorer, which is not supported by Xenbase and may cause the site to display incorrectly.
We suggest using a current version of Chrome,
FireFox, or Safari.
Dev Dyn
2009 Jul 01;2387:1727-43. doi: 10.1002/dvdy.21994.
Show Gene links
Show Anatomy links
Transgenesis in Xenopus using the Sleeping Beauty transposon system.
Yergeau DA
,
Johnson Hamlet MR
,
Kuliyev E
,
Zhu H
,
Doherty JR
,
Archer TD
,
Subhawong AP
,
Valentine MB
,
Kelley CM
,
Mead PE
.
???displayArticle.abstract???
Transposon-based integration systems have been widely used for genetic manipulation of invertebrate and plant model systems. In the past decade, these powerful tools have begun to be used in vertebrates for transgenesis, insertional mutagenesis, and gene therapy applications. Sleeping Beauty (SB) is a member of Tc1/mariner class of transposases and is derived from an inactive form of the gene isolated from Atlantic salmon. SB has been used extensively in human cell lines and in whole animal vertebrate model systems such as the mouse, rat, and zebrafish. In this study, we describe the use of SB in the diploid frog Xenopus tropicalis to generate stable transgenic lines. SB transposon transgenes integrate into the X. tropicalis genome by a noncanonical process and are passed through the germline. We compare the activity of SB in this model organism with that of Tol2, a hAT (hobo, Ac1, TAM)-like transposon system.
Fig. 1. Injection-mediated Sleeping Beauty trans- genesis in Xenopus. a: Schematic representation of the injection method used to generate the SB transgenic frogs. Xenopus laevis embryos were injected at the one-cell stage with pTGFP plas- mid and mRNA encoding the SB transposase. The cartoon depicts integration of the transposon substrate in one blastomere at the two-cell stage. The resulting embryo is predicted to develop as a “half transgenic” animal. b: “Half transgenic” founder. Green fluorescent protein (GFP) expres- sion in Xenopus laevis founder L2M is restricted to the left side of the dorsal midline (white dashed line). Outcross of this founder, with half of the germline containing the transgene, is predicted to generate GFP-positive F1 progeny at a rate of 25%. The observed rate of GFP transmission in the F1 tadpoles was 22% (n 376/1733).
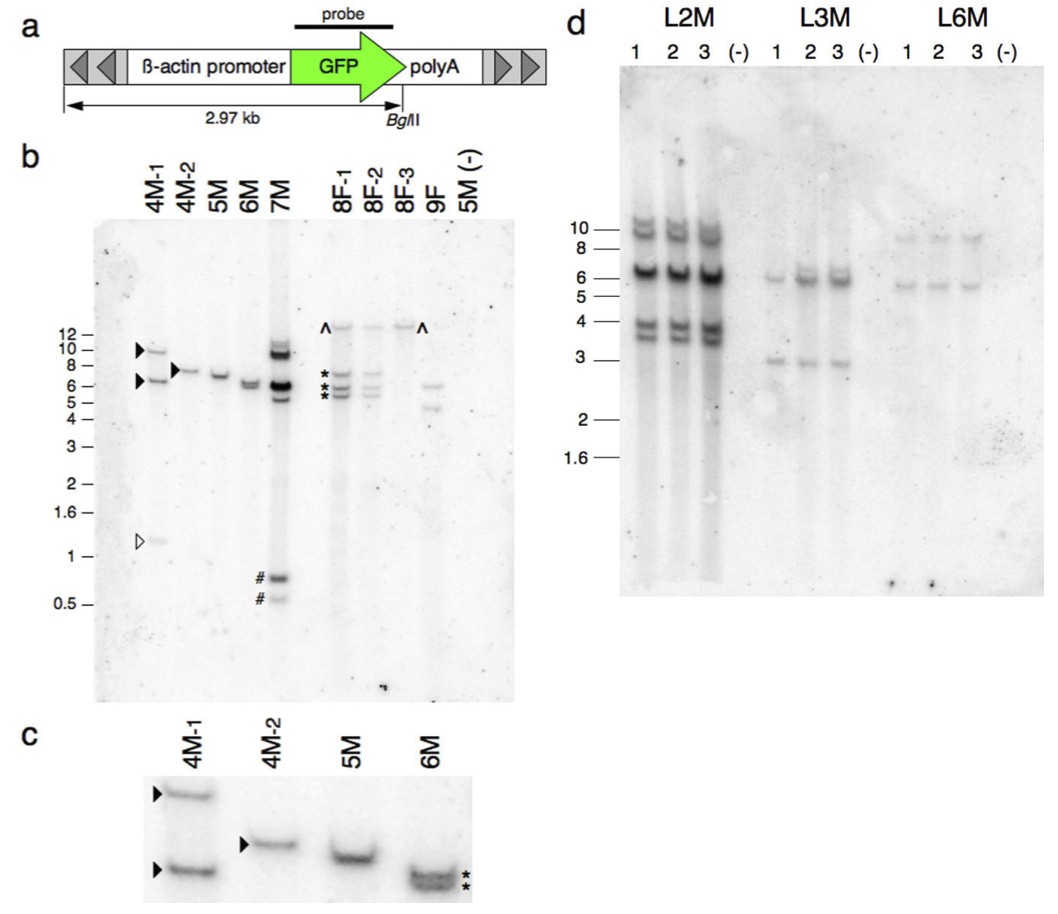
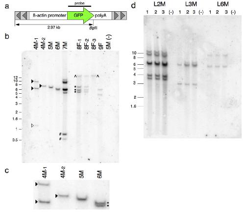
Fig. 3. Southern blot analysis of genomic DNA harvested from SB-mediated transgenic Xenopus tropicalis and Xenopus laevis. Genomic DNA harvested from progeny of each of the founder animals was digested with BglII and separated by electrophoresis on an agarose gel, transferred to a membrane and probed with a radiolabeled green fluorescent protein (GFP) -encoding DNA fragment. a: Schematic representation of the pT2GFP SB transposon indicating the approximate position of the unique BglII site and region used for the probe (bar). Not to scale. b: Southern blot analysis of pT2GFP transgenic founders. Outcross of founder 4M resulted in two discrete hybridization patterns indicating independent segregation of the alleles (compare samples 4M-1 and 4M-2). The founder animal contains, at least, four copies of the GFP sequence that are inherited by the progeny (open and closed triangles). Likewise, the progeny of 8F display two different hybridization patterns (compare 8F-1 and 8F-3). Founder 8F also contains at least four copies of the transgene (carets [!] and asterisks [*]). Progeny from founder 7M have a complex hybridization pattern suggesting the presence of a concatamer of transposon transgenes. Tadpoles 4M-1 and 7M have hybridizing bands (labeled open triangle and #) that migrate faster than the predicted lower limit for the BglII digested transgene (2.97 kb; see Fig. 1a). This indicates that the integration events at these loci are complex and have involved fragmentation of the transposon transgene. Size markers (in kb) are indicated on the left side of the blot. c: Enlarged view of the Southern blot to illustrate that founder 6M has two closely migrating bands (*).d: Southern blot analysis of Xenopus laevis founder lines L2M, L3M and L6M. Genomic DNA samples for three GFP-positive F1 animals (#1, 2, and 3) and a GFP-negative F1 sibling (#4) from each founder line were digested with BglII, separated on a 0.7% (w/v) agarose gel, and probed with a 700-bp GFP fragment as in Figure 3b. L2M founder line has at least five hybridizing GFP bands, L3M has at least three GFP-positive bands, and L6M has two GFP-positive bands.
Fig. 4. Fluorescence in situ hybidization (FISH) of cells harvested from pT2GFP transgenic Xenopus tropicalis. Interphase nuclei were prepared from circulating blood cells harvested from individual tadpoles and probed with fluorescein isothiocyanate (FITC) -labeled green fluorescent protein (GFP) for detection. White arrows indicate location of the GFP probe in the samples. a: pT2GFP X. tropicalis founder line 4M. b: pT2GFP founder line 5M. c: pT2GFP founder line 6M. d: pT2GFP founder line 7M. e: Interphase nuclei and metaphase spread of founder line 7M.
Fig 7. Southern blot analysis of F1 tadpoles from SB11-mediated pT2ÂGFP transgenic Xenopus tropicalis founders. Founder male 622E has two independently segregating insertion events; compare female 622E1 (four green fluorescent protein [GFP] -positive hybridizing bands) and 622E3 (three GFP-positive hybridizing bands). Tadpole female 622E2 has inherited both integration events. F1 progeny from founders male 623F, male 2262, and male 2232 have two GFP-positive hybridizing bands.
Fig. 8. Schematic of the integration site of the pT2GFP transgene into scaffold 842 for the X. tropicalis 5M founder line (not to scale). a: Integration of a single transposon transgene integrated into scaffold 842 as determined by Southern blot analysis showing a single 7 kb BglII-digested green fluorescent protein (GFP) -positive band. b: Cloning of the flanking genomic sequence by EPTS LM-PCR. EPTS products identified for both the 5 and 3 end of the tranposon are noted. c: Final orientation of the transposon integrated into scaffold 842 for X. tropicalis founder line 5M.
Fig. 9. Map of the integration event in X. tropicalis founder line 9F. The SB pT2GFP transgene is a concatamer of two transposons integrated into one another followed by integration into the X. tropicalis genome on scaffold 56. a: Interplasmid transposition of transposon 1 into transposon 2 followed by integration of the complex into scaffold 56. The map was derived from Southern blot data and shows the predicted orientation of the observed green fluorescent protein (GFP) -positive bands (4.5 and 6 kb). b: Flanking sequence was determined by EPTS LM-PCR. Two EPTS restriction fragments digested with NlaIII were identified and correspond to genomic DNA (product 1) and vector sequence (product 2). The 3 end of the integration site has yet to be determined and is noted by a black box and a question mark. c: Predicted orientation of the transposon concatamer integrated on scaffold 56 within the X. tropicalis founder line 9F. Not to scale.
Fig. 10. Schematic representation of the predicted integration of a multimeric pT2GFP transposon concatamer in the X. tropicalis founder line 8F-1. a: Stepwise interplasmid integration and insertion of the concatamer into scaffold 57 of the X. tropicalis genome. It is presumed that multiple, interplasmid incorporation of the transgene occurred before integration of the entire concatamer into the genome. Southern blot analysis revealed three green fluorescent protein (GFP) -hybridizing bands that were mapped according to size and predicted orientation. b: EPTS LM-PCR products from the left and right SB transposon arms. EPTS product 1 confirms integration into scaffold 57. EPTS product 2 corresponds to vector sequence upstream of the right IR/DR in the SB pT2GFP transgene. c: Predicted orientation of the multimeric transposon concatamer integration site for X. tropicalis founder 8F. The orientation of transposon 3 (R3 and L3) is predicted from Southern blot data. Schematic map is not to scale. Note: plasmid sequences that reside between transposon elements in the integrated DNA have not been fully characterized and are depicted in the schematic map as gaps between the transposon transgenes.
Fluorescence in situ hybidization (FISH) of cells harvested from pT2βGFP [Xtr.Et(CAGGS-SB10;cryga:RFP;CAGGS:GFP) : founder line 6M] transgenic Xenopus tropicalis. Interphase nuclei were prepared from circulating blood cells harvested from individual tadpoles and probed with FITC-labled GFP for detection. White arrows indicate location of the GFP probe in the samples.
Amaya,
Frog genetics: Xenopus tropicalis jumps into the future.
1998, Pubmed,
Xenbase
Amaya,
Frog genetics: Xenopus tropicalis jumps into the future.
1998,
Pubmed
,
Xenbase
Balciunas,
Enhancer trapping in zebrafish using the Sleeping Beauty transposon.
2004,
Pubmed
Collier,
Cancer gene discovery in solid tumours using transposon-based somatic mutagenesis in the mouse.
2005,
Pubmed
Cui,
Structure-function analysis of the inverted terminal repeats of the sleeping beauty transposon.
2002,
Pubmed
Davidson,
Efficient gene delivery and gene expression in zebrafish using the Sleeping Beauty transposon.
2003,
Pubmed
Doherty,
A flk-1 promoter/enhancer reporter transgenic Xenopus laevis generated using the Sleeping Beauty transposon system: an in vivo model for vascular studies.
2007,
Pubmed
,
Xenbase
Dupuy,
Mammalian germ-line transgenesis by transposition.
2002,
Pubmed
Dupuy,
Mammalian mutagenesis using a highly mobile somatic Sleeping Beauty transposon system.
2005,
Pubmed
Dupuy,
Transposition and gene disruption in the male germline of the mouse.
2001,
Pubmed
Finnegan,
Transposable elements and DNA transposition in eukaryotes.
1990,
Pubmed
Geurts,
Gene transfer into genomes of human cells by the sleeping beauty transposon system.
2003,
Pubmed
Hamlet,
Tol2 transposon-mediated transgenesis in Xenopus tropicalis.
2006,
Pubmed
,
Xenbase
Hirsch,
Xenopus, the next generation: X. tropicalis genetics and genomics.
2002,
Pubmed
,
Xenbase
Ivics,
The Sleeping Beauty transposable element: evolution, regulation and genetic applications.
2004,
Pubmed
Ivics,
Molecular reconstruction of Sleeping Beauty, a Tc1-like transposon from fish, and its transposition in human cells.
1997,
Pubmed
Kitada,
Transposon-tagged mutagenesis in the rat.
2007,
Pubmed
Klein,
Resources for genetic and genomic studies of Xenopus.
2006,
Pubmed
,
Xenbase
Klein,
Genetic and genomic tools for Xenopus research: The NIH Xenopus initiative.
2002,
Pubmed
,
Xenbase
Miskey,
The Frog Prince: a reconstructed transposon from Rana pipiens with high transpositional activity in vertebrate cells.
2003,
Pubmed
,
Xenbase
Morin,
Sequencing and analysis of 10,967 full-length cDNA clones from Xenopus laevis and Xenopus tropicalis reveals post-tetraploidization transcriptome remodeling.
2006,
Pubmed
,
Xenbase
Schmidt,
A model for the detection of clonality in marked hematopoietic stem cells.
2001,
Pubmed
Schmidt,
Detection and direct genomic sequencing of multiple rare unknown flanking DNA in highly complex samples.
2001,
Pubmed
Sinzelle,
Generation of trangenic Xenopus laevis using the Sleeping Beauty transposon system.
2006,
Pubmed
,
Xenbase
Yergeau,
Injection-mediated transposon transgenesis in Xenopus tropicalis and the identification of integration sites by modified extension primer tag selection (EPTS) linker-mediated PCR.
2007,
Pubmed
,
Xenbase
Yergeau,
Manipulating the Xenopus genome with transposable elements.
2007,
Pubmed
,
Xenbase