Click here to close
Hello! We notice that you are using Internet Explorer, which is not supported by Xenbase and may cause the site to display incorrectly.
We suggest using a current version of Chrome,
FireFox, or Safari.
???displayArticle.abstract???
Xenopus laevis tadpoles are capable of hindlimb regeneration, although this ability declines with age. Bmp signaling is one pathway known to be necessary for successful regeneration to occur. Using an inducible transgenic line containing an activated version of the Bmp target Msx1, we assessed the ability of this transcription factor to enhance regeneration in older limbs. Despite considerable evidence correlating msx1 expression with regenerative success in vertebrate regeneration models, we show that induction of msx1 during hindlimb regeneration fails to induce complete regeneration. However, we did observe some improvement in regenerative outcome, linked to morphological changes in the early wound epithelium and a corresponding increase in proliferation in the underlying distal mesenchyme, neither of which are maintained later. Additionally, we show that Msx1 is not able to rescue limb regeneration in a Bmp signalling-deficient background, indicating that additional Bmp targets are required for regeneration in anuran limbs. Developmental Dynamics 238:1366-1378, 2009. (c) 2009 Wiley-Liss, Inc.
Figure 1. Development of the M1 transgenic line of Xenopus laevis. A-D: Endogenous expression of Msx1 in Xenopus hindlimbs from stage 52 to 55. Scale bars = 250 mu m, and limbs are oriented with distal to the left and posterior uppermost. Expression is restricted to the distalmesenchyme and excluded from the apical epidermal ridge (AER; black arrowheads in A). There is also an early proximal-anterior located expression (white arrowhead, A). Later expression is interdigital. E: Schematic representation of the eveMsx1 transgene. At 24 or below, the transgene is silent. At 34, however, heat shock factors (black circles) bind to the hsp70 promoter sequence and activate transcription of eveMsx1. The construct is fused to a second transgene containing the gamma -crystallin promoter driving green fluorescent protein (GFP). F,G: Phenotypes of tadpoles following heat shock at stage 14. WT embryos develop normally and are unaffected by the heat shock (F). Transgenic tadpoles have a flattened anteriorhead, reduced eye size, reduced number of melanocytes (pigment cells), and a shortened tail (G). H,I: In situ hybridization using an Msx1 probe to show the normal expression of Msx1 (H) is expanded and up-regulated in heat shocked transgenic animals (I).
Figure 2. Regeneration phenotypes in stage 54 amputated Xenopus wild-type (WT) or M1 limbs. A,B: M1 unoperated (left) contralateral limbs. A: Dorsal view of unoperated limb of stage 57 M1 tadpole and B ventral view of skeletal preparation showing the limb elements present at stage 57. CâH: ventral view of operated (right) limb following amputation at knee level at stage 54, heat shocked and fixed at stage 57. Câ²âHâ²: Skeletal preparations of the corresponding tadpoles. Alcian blue stains the cartilage and alizarin red the ossified bonetissue. C,Câ²: WT limb in which no regeneration has taken place and a stump is formed ending at the knee. D,Dâ²: WT limb that has regenerated two toes and has no tibiaâfibula and an abnormal metatarsal. E,Eâ²: WT limb that has regenerated a tibiaâfibula, abnormal metatarsal, one normal toe, and a vestigial distal phalange (counted as two toes). F,Fâ²: M1 limb that regenerated four toes but lacks a tibiaâfibula. G,Gâ² M1 limb that regenerated an abnormal metatarsal and tibiaâfibula as well as three toes. H,Hâ²: M1 limb with regenerated tibiaâfibula, abnormal metatarsal and a single toe. A vestigial proximal phalange is also present (counted as 1 toe).
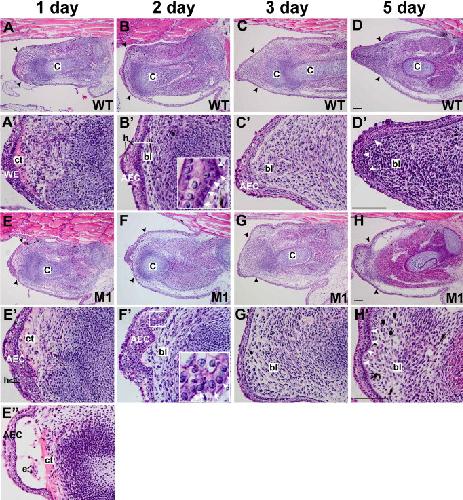
Figure 4. Histological analysis of M1 and wild-type (WT) partially amputated hindlimbs. AâD: Sections of WT limbs showing the whole limb after 1â5 days of regeneration following stage 54 knee level amputation. Aâ²âDâ²: Higher magnification of the distal tip in sections AâD, respectively. EâH: Sections of M1 limbs showing the whole limb after 1â5 days of regeneration. Eâ²âHâ²: Higher magnification of the distal tip of sections EâH, respectively. Eâ² shows a 1 day postamputation M1 limbdistal tip in which the apical epithelial cap (AEC) has detached from the underlying mesenchyme creating a gap containing connective tissue and presumptive eosinophils. c, cartilage; ct, connective tissue; bl, blastema; e, eosinophils; WE, wound epithelium; h, hypertrophic cells. Black arrowheads in AâH indicate the approximate level of amputation. White arrowheads in Dâ², Hâ² indicate the eosin stained basement membrane. Insets in Bâ², Fâ² correspond to white box and arrows mark columnar-like cells. Tadpoles are oriented with dorsal side uppermost, and anterior to the right. Limbs are, therefore, distal to the left, posterior uppermost. Scale bars = 100 μm in D,H (applies to AâH), 100 μm in Dâ²,Hâ² (applies to Aâ²âHâ²,Eâ²).
Figure 5. Cell proliferation analysis in M1 and wild-type (WT) hindlimbs after amputation. Tadpoles were injected with 5â²-bromo-2â²-deoxyuridine (BrdU) either 28 or 52 hr after amputation of the righthindlimb at stage 54, and fixed 20 hr later. Cells that have incorporated BrdU during cell divisions have darkly stained nuclei. AâD: Representative sections showing the pattern of BrdU accumulation along the whole limb. Aâ²âDâ²: Higher magnification of the distal tip of the limb showing the apical epithelial cap (AEC) and blastema (bl). EâG: Bar graphs showing the number of BrdU-labeled cells in a 200 à 200 μm area for mesenchyme or a 200 μm length along the distal tip. Bars show the average of 3 counts for each of 3 representative limbs (except n = 2 limbs for M1 72 h) and error bars are standard error. E: Proliferating cells in the blastema/distallimb; an asterisk indicates a significant difference (P = 0.047) between the number of proliferating cells in WT and M1 limbs at the earlier time point. F: Proliferating cells in the proximallimb. G: Proliferating cells in the epithelia/AEC. Scale bar = 200 μm in A (applies to AâD), 200 μm in Aâ² (applies to Aâ²âDâ²).