|
Figure 2. Analysis of the spatial expression patterns of the fgf1, fgf4, and fgf8 subfamilies. A: Whole mount in situ hybridisations of fgf1 and fgf2 at the indicated stages. B: Whole mount in situ hybridisations of fgf4 and fgf6 at the indicated stages. C: Whole mount in situ hybridisations of fgf8. For stage 10.5, the images are vegetal views; for stage 15, the images are dorsal views; and for stage 23, 28, 35, and 40, the images are lateral views (anterior is left, posterior is right, dorsal is up, and ventral is down). A schematic representation of a Xenopus embryo at stage 28 with the different embryonic tissues labelled is presented in Supp. Figure S3.
|
|
Figure 3. Cross section analysis of the spatial expression patterns of the fgf1, fgf4, and fgf8 subfamilies. Coronal sections of indicated fgfs from the whole mount in situ hybridisations shown in Figure 2. The black lines indicate the position of the sections shown; when multiple sections are shown, numbers correspond to the appropriate black line and, therefore, the section's position on the embryo. In all sections, dorsal is up and ventral is down.
|
|
Figure 4. Analysis of the spatial expression patterns of the fgf7 and fgf9 subfamilies. A: Whole mount in situ hybridisations of fgf3, fgf7, fgf10, and fgf22 at the indicated stages. B: Whole mount in situ hybridisations of fgf9 and fgf20 at the indicated stages. For stage 10.5, the images are vegetal views; for stage 15, the images are dorsal views; and for stage 23, 28, 35, and 40, the images are lateral views (anterior is left, posterior is right, dorsal is up, and ventral is down). A schematic representation of a Xenopus embryo at stage 28 with the different embryonic tissues labelled is presented in Supp. Figure S3.
|
|
Figure 5. Cross-section analysis of the spatial expression patterns of the fgf7 and fgf9 subfamilies. Coronal sections of the indicated fgfs from the whole mount in situ hybridisations shown in Figure 4. The black lines indicate the position of the sections shown; when multiple sections are shown numbers correspond to the appropriate black line and, therefore, the section's position on the embryo. In all sections, dorsal is up and ventral is down.
|
|
Figure 6. Analysis of the spatial expression patterns of the intracellular fgfs and hormone-like fgfs subfamilies. A: Whole mount in situ hybridisations of fgf12, fgf13, and fgf14 at the indicated stages. B: Whole mount of the hormone-like fgfs at the indicated stages. For stage 10.5, the images are vegetal views; for stage 15, the images are dorsal views; and for stage 23, 28, 35, and 40, the images are lateral views (anterior is left, posterior is right, dorsal is up, and ventral is down). A schematic representation of a Xenopus embryo at stage 28 with the different embryonic tissues labelled is presented in Supp. Figure S3.
|
|
Figure 7. Cross-section analysis of the spatial expression patterns of the intracellular fgfs subfamily. Coronal sections of indicated fgfs from the whole mount in situ hybridisation shown in Figure 6. The black lines indicate the position of the sections shown; when multiple sections are shown, numbers correspond to the appropriate black line and, therefore, the section's position on the embryo. In all sections, dorsal is up and ventral is down.
|
|
Figure 8. Spatial expression of the fgfr genes during early Xenopus tropicalis development. Antisense probes specific for each receptor were generated from the constructs indicated in Supp. Table 2 and in situ hybridisations were performed. 10.5a shows animal views and 10.5v shows vegetal views of gastrulating embryos, and stage15 presents dorsal views of a neurulating embryo. Stage 23, 28, 35, 40 are lateral views with anterior left and dorsal up. A schematic representation of a Xenopus embryo at stage 28 with the different embryonic tissues labelled is presented in Supp. Figure S3.
|
|
Figure 9. Cross-section analysis of the spatial expression patterns of the fgfrs. Coronal sections of indicated fgfrs from the whole mount in situ hybridisation shown in Figure 8. The black lines indicate the position of the sections shown. The sections labelled ldquo 1 rdquo are all at the level of the eye; the sections labelled ldquo 2 rdquo are through the otic vesicle; the sections labelled ldquo 3 rdquo are at the level of the pronephros; and the sections labelled ldquo 4 rdquo are in the tail of the embryo. In all sections, dorsal is up and ventral is down.
|
|
fgf13 (fibroblast growth factor 13) gene expression in Xenopus tropicalis embryo, assayed via in situ hybridization, NF stage 23, lateral view, anterior left, dorsal up.
|
|
|
|
fgf20 (fibroblast growth factor 20) gene expression in Xenopus tropicalis embryo, assayed via in situ hybridization, NF stage 28, lateral view, anterior left, dorsal up.
|
|
fgf8 (fibroblast growth factor 8 (androgen-induced)) gene expression in Xenopus tropicalis embryo, assayed via in situ hybridization, NF stage 28, lateral view, anterior left, dorsal up.
|
|
fgf (fibroblast growth factor 1 (acidic)) gene expression in Xenopus tropicalis embryo, assayed via in situ hybridization, NF stage 23, lateral view, anterior left, dorsal up.
|
|
fgf3 (fibroblast growth factor 3) gene expression in Xenopus tropicalis embryo, assayed via in situ hybridization, NF stage 15, dorsal view, anterior left.
|
|
fgf6 (fibroblast growth factor 6) gene expression in Xenopus tropicalis embryo, assayed via in situ hybridization, NF stage 40, lateral view, anterior left, dorsal up.
|
|
|
|
fgf9 (fibroblast growth factor 9) expression in Xenopus tropicalis embryo, assayed via insitu hybridization, NF stage 28, lateral view, anterior left, dorsal up.
|
|
|
|
fgf12 (fibroblast growth factor 12) gene expression in Xenopus tropicalis embryo, assayed via in situ hybridization, NF stage 23, lateral view, anterior left, dorsal up.
|
|
fgf13 (fibroblast growth factor 13) gene expression in Xenopus tropicalis embryo, assayed via in situ hybridization, NF stage 28, lateral view, anterior left, dorsal up.
|
|
fgf19 (fibroblast growth factor 19) gene expression in Xenopus tropicalis embryo, assayed via in situ hybridization, NF stage 10.5, blastoporal view, dorsal up.
|
|
|
|
fgf23.1 (fibroblast growth factor 23, gene 1) gene expression in Xenopus tropicalis embryo, assayed via in situ hybridization, NF stage 23, lateral view, anterior left, dorsal up.
|
|
fgfr1 (fibroblast growth factor receptor 1 ) gene expression in Xenopus tropicalis embryo, assayed via in situ hybridization, NF stage 28, lateral view, anterior left, dorsal up.
|
|
fgfr2 (fibroblast growth factor receptor 2) gene expression in Xenopus tropicalis embryo, assayed via in situ hybridization, NF stage 23, lateral view, anterior left, dorsal up.
|
|
|
|
fgf22 (fibroblast growth factor 22) gene expression in Xenopus tropicalis embryo, assayed via in situ hybridization, NF stage 28, lateral view, anterior left, dorsal up.
|
|
Figure 10. Detail analysis of the expression of the different fgf and fgfr genes in the otic vesicle. A Coronal sections (dorsal up) of whole mount in situ hybridisations staining within the otic vesicle for fgf1, fgf2, fgf3, fgf4, fgf8, fgf10 and fgf20 at stages 28, 35 and 40. B Coronal sections (dorsal up) of whole mount in situ hybridisations staining within the otic vesicle for fgfr1, fgfr2, fgfr3 and fgfr4 at stages 28, 35 and 40.
|
|
Supp. Fig. S1. Analysis of the genomic locus surrounding X. tropicalis fgf genes. A: Synteny of fgf 2, fgf3, fgf4, fgf19, fgf6, and fgf23 were analysed for human, mouse, and Xenopus tropicalis. Chromosomal loci were constructed from Metazome (http://www.metazome.net/) showing the high level of conservation of the gene loci surrounding fgf genes. For each alignment, boxes with the same colour correspond to the same gene; white boxes correspond to genes without annotation or without orthologues in the species shown here. Hsa = Homo sapiens; Mmu = Mus musculus; and Xtr = Xenopus tropicalis. B: Identification of a partial sequence of fgf21. By synteny analysis, we have identified the region corresponding to the fgf21 locus in Xenopus tropicalis. We then used an EST for Xenopus laevis fgf21 (accession number EB470635) to identify the sequence in the X. tropicalis genome. This region of the genome contains numerous gaps (black boxes), which probably explain why we were unable to identify the full sequence. C: Identification of the genomic locus where fgf17 would be expected to be located. Our efforts to find X. tropicalis fgf17 were unsuccessful despite a fairly complete sequence around this region of the genome. Hsa = Homo sapiens; Mmu = Mus musculus; Xtr = Xenopus tropicalis.
|
|
Supp. Fig. S2. Phylogenetic tree of fgf sequences. Unrooted N-J phylogenetic tree of fgf sequences using CLUSTALW (http://align.genome.jp/) showing the subdivision of the different fgfs into seven subfamilies in Xenopus tropicalis.
|
|
Supp. Fig. S3. Schematic representation of a Xenopus embryo at stage 28. A schematic representation of a stage-28 embryo with the different tissues coloured and annotated. The yellow-green area at the very anterior of the embryo includes the forebrain, anterior mesoderm, and the anterior placode area. Just posterior in brown is the olfactory placodes. The eye is in purple with the lens in dark purple. The trigeminal nerve is in pink and the otic vesicle in orange. The grey area represents the branchial arches. The neural tube is yellow with the Midbrain-Hindbrain Boundary in dark pink. The notochord in red runs ventral to the neural tube. The light blue stripes represent the somites and the blue area posterior to the somites is the presomitic mesoderm. The tailbud is in dark blue. The pronephric tubules and duct are in burgundy. The fin core is in dark green while the fin crest is in light green.
|
|
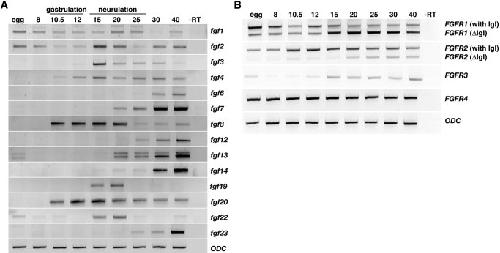
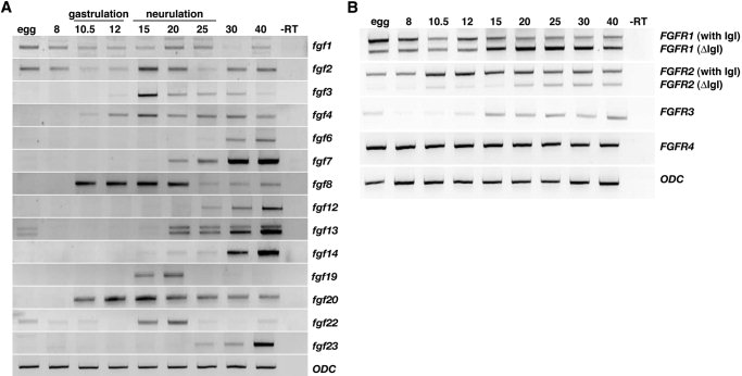
Figure 1. Temporal expression of fgf ligands and receptors. A: Temporal expression of fgf genes by RT-PCR. B:Temporal expression of fgfr genes by RT-PCR. In A and B, embryos were harvested for RNA extraction at the indicated stages, and RT-PCR analysis was performed using the oligonucleotides and conditions described in Supp. Table 1. The housekeeping gene ornithine decarboxylase (ODC) was used as a control for equal loading. -RT lane is a negative control using RNA from st40 without the addition of reverse transcriptase.
|
|
|
|
fgf2 (fibroblast growth factor 2 (basic)) gene expression in Xenopus tropicalis embryo, assayed via in situ hybridization, NF stage 15, dorsal view, anterior up.
|
|
fgf2 (fibroblast growth factor 2 (basic))gene expression in Xenopus tropicalis embryo, assayed via in situ hybridization, NF stage 23, lateral view, anterior left, dorsal up.
|
|
fgf2 (fibroblast growth factor 2 (basic)) gene expression in Xenopus laevis embryo, assayed via in situ hybridization, NF stage 28, lateral view, anterior left, dorsal up.
|
|
|
|
fgf2 (fibroblast growth factor 2 (basic)) gene expression in Xenopus tropicalis embryo, assayed via in situ hybridization, NF stage 40, lateral view, anterior left, dorsal up.
|
|
fgf4 (fibroblast growth factor 4 (heparin secretory transforming protein 1, Kaposi sarcoma oncogene)) gene expression in Xenopus tropicalis embryo, assayed via in situ hybridization, NF stage 10.5, blastoporal view, dorsal up.
|
|
fgf4 (fibroblast growth factor 4 (heparin secretory transforming protein 1, Kaposi sarcoma oncogene)) gene expression in Xenopus tropicalis embryo, assayed via in situ hybridization, NF stage 28, lateral view, anterior left, dorsal up.
|
|
|
|
fgf8 (fibroblast growth factor 8) gene expression in Xenopus tropicalis embryo, assayed via in situ hybridization, NF stage 10.5, blastoporal view, dorsal up.
|
|
fgf8 (fibroblast growth factor 8) gene expression in Xenopus tropicalis embryo, assayed via in situ hybridization, NF stage 15, anteriodorsal view, posterior up.
|
|
fgf8 (fibroblast growth factor 8) gene expression in Xenopus tropicalis embryo, assayed via in situ hybridization, NF stage 40, lateral view, anterior left, dorsal up.
|
|
fgf4 (fibroblast growth factor 4 (heparin secretory transforming protein 1, Kaposi sarcoma oncogene) ) gene expression in Xenopus tropicalis embryo, assayed via in situ hybridization, NF stage 23, lateral view, anterior left, dorsal up.
|
|
fgf4 (fibroblast growth factor 4 (heparin secretory transforming protein 1, Kaposi sarcoma oncogene) ) gene expression in Xenopus tropicalis embryo, assayed via in situ hybridization, NF stage 40, lateral view, anterior left, dorsal up.
|
|
fgf3 (fibroblast growth factor 3) gene expression in Xenopus tropicalis embryo, assayed via in situ hybridization, NF stage 28, lateral view, anterior left, dorsal up.
|
|
|
|
fgf10 (fibroblast growth factor 10) gene expression in Xenopus tropicalis embryo, assayed via in situ hybridization, NF stage 23, left: lateral view, anterior left, dorsal up. right: in cross section, through otic placode, dorsal up.
|
|
fgf19 (fibroblast growth factor 19) gene expression in Xenopus tropicalis embryo, assayed via in situ hybridization, NF stage 23, lateral view, anterior left, dorsal up.
|
|
Whole mount in situ hybridizations of fgf14 at the indicated stage of 35.
|
|
Whole mount in situ hybridization of fgf14 at the indicated stage of 35.
|