Click here to close
Hello! We notice that you are using Internet Explorer, which is not supported by Xenbase and may cause the site to display incorrectly.
We suggest using a current version of Chrome,
FireFox, or Safari.
???displayArticle.abstract???
The Wnt/beta-catenin signaling pathway plays essential roles in cell proliferation and differentiation, and deregulated beta-catenin protein levels lead to many types of human cancers. On activation by Wnt, the Wnt co-receptor LDL receptor related protein 6 (LRP6) is phosphorylated at multiple conserved intracellular PPPSPXS motifs by glycogen synthase kinase 3 (GSK3) and casein kinase 1 (CK1), resulting in recruitment of the scaffolding protein Axin to LRP6. As a result, beta-catenin phosphorylation by GSK3 is inhibited and beta-catenin protein is stabilized. However, how LRP6 phosphorylation and the ensuing LRP6-Axin interaction lead to the inhibition of beta-catenin phosphorylation by GSK3 is not fully understood. In this study, we reconstituted Axin-dependent beta-catenin phosphorylation by GSK3 and CK1 in vitro using recombinant proteins, and found that the phosphorylated PPPSPXS peptides directly inhibit beta-catenin phosphorylation by GSK3 in a sequence and phosphorylation-dependent manner. This inhibitory effect of phosphorylated PPPSPXS motifs is direct and specific for GSK3 phosphorylation of beta-catenin at Ser33/Ser37/Thr41 but not for CK1 phosphorylation of beta-catenin at Ser45, and is independent of Axin function. We also show that a phosphorylated PPPSPXS peptide is able to activate Wnt/beta-catenin signaling and to induce axis duplication in Xenopus embryos, presumably by inhibition of GSK3 in vivo. Based on these observations, we propose a working model that Axin recruitment to the phosphorylated LRP6 places GSK3 in the vicinity of multiple phosphorylated PPPSPXS motifs, which directly inhibit GSK3 phosphorylation of beta-catenin. This model provides a possible mechanism to account, in part, for inhibition of beta-catenin phosphorylation by Wnt-activated LRP6.
???displayArticle.pubmedLink???
19293931
???displayArticle.pmcLink???PMC2654145 ???displayArticle.link???PLoS One ???displayArticle.grants???[+]
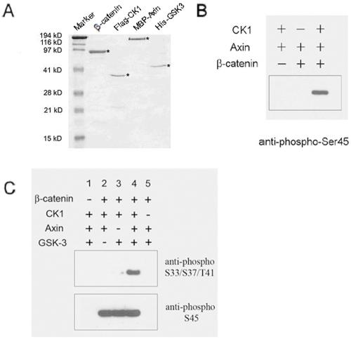
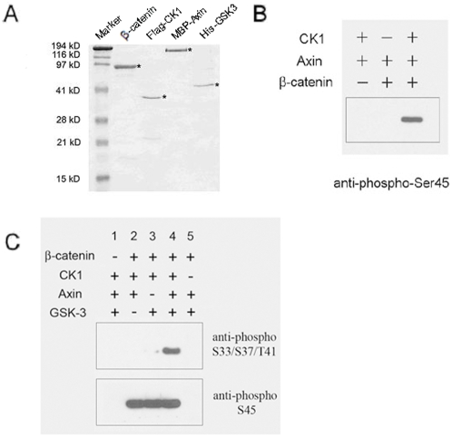
Figure 1. In vitro reconstitution of Axin-dependent and CK1 priming-dependent β-catenin phosphorylation by GSK3.A. Recombinant GST-β-catenin, Flag-CK1, MBP-Axin, and His-GSK3 proteins were expressed in bacteria or insect cells and purified by glutathione agarose, anti-Flag M2 agarose, amylose resin, or Ni-NTA resin, respectively. In the case of β-catenin, GST was cleaved via thrombin and purified away from β-catenin. * indicates each recombinant protein. B. β-catenin phosphorylation by CK1 was reconstituted in vitro using purified proteins. The phosphorylation reaction products were analyzed by western blotting using an anti-phospho-Ser45 β-catenin antibody. C. Axin-dependent phosphorylation by GSK3 was reconstituted in vitro using purified proteins. For Axin-dependent β-catenin phosphorylation in this and other figures, 0.43 µM of GSK3, 0.54 µM of CK1α, 0.21 µM of Axin, and 0.73 µM of β-catenin were used in each assay. The phosphorylation reaction products were analyzed by western blotting using an anti-phospho-Ser45 β-catenin antibody and an anti-phospho-Ser33/Ser37/Thr41 β-catenin antibody.
Figure 2. Peptide design according to the PPPSPXS motifs in human LRP6.A. Sequence alignment of the five PPPSPXS motifs in human LRP6 and LRP5 by the Cluster V program. The PPPSPXS motifs are highlighted in color and boxed. B. The sequences of synthetic peptides are shown. The PPPSPXS motifs in the peptides are underlined, and phosphorylated Ser/Thr residues are shown in italics. The C or K residue in the parenthesis at the amino terminus of peptides A, C, D, and E was introduced for protein conjugation purposes (during immunization for antibody production) [34], [37].
Figure 3. Phosphorylated PPPSPXS peptides inhibit β-catenin phosphorylation by GSK3 in vitro.A. The HA, Phos-E, Phos-C, Phos-D and Phos-A peptides (left panel) and the HA, Phos-A, and A-mut peptides (right panel) were included in the β-catenin phosphorylation assay. Each peptide was at 10 µM final concentration. B. Four-fold serial dilutions of HA, Phos-A, and A-mut peptides were included in the β-catenin phosphorylation assay. C. Four-fold serial dilutions of Phos-A, and 14-3-3BP peptides were included in the β-catenin phosphorylation assay. D. Four-fold serial dilutions of HA, Phos-E, Phos-A, Phos-C, and Phos-D peptides were included in the β-catenin phosphorylation assay. E. The result from D was quantified via Adobe Photoshop. β-catenin phosphorylation assays were performed in the presence of Axin and CK1 as in Figure 1C. Each peptide was at 10 µM, 2.5 µM, 0.63 µM, and 0.16 µM (four-fold serial dilutions) final concentration. The phosphorylation reaction products were analyzed by western blotting using an anti-phospho-Ser33/Ser37/Thr41 β-catenin antibody and an anti-β-catenin antibody.
Figure 4. The inhibition of β-catenin phosphorylation by phosphorylated PPPSPXS peptides is specific for GSK3 and independent of Axin function.A. Different Axin constructs used in this study, the full length Axin (amino acid 1â863), AxinÎDix (1-773), and Axin(351-701) are shown. B. Purification of the full length Axin, AxinÎDix, and Axin(351-701) proteins. These Flagged tagged Axin and Axin fragments were expressed in HEK293T cells, purified via M2 agarose (Sigma) resin, and eluted by 0.2 mg/ml Flag peptides. C and D. The Phos-A peptide inhibited GSK3 phosphorylation of β-catenin in the presence of the full length Axin, or AxinÎDIX (C), or Axin(351-701) (D). Four-fold serial dilutions of the Phos-A peptide were tested as in Figure 3. The A-mut peptide was added at the concentration equivalent to that of Phos-A without dilution (10 µM). The phosphorylation reaction products were analyzed using an anti-phospho-Ser33/Ser37/Thr41 β-catenin antibody. E. Inhibition of GSK3 phosphorylation of β-catenin by Phos-A was independent of Axin. Four-fold serial dilutions of the Phos-A peptide (10 µM, 2.5 µM, and 0.63 µM) were included in the β-catenin phosphorylation assay in the absence or presence of Axin. The A-mut peptide was added at the concentration equivalent to that of Phos-A without dilution (10 µM). The phosphorylation reaction products were analyzed using an anti-phospho-Ser33/Ser37/Thr41 β-catenin antibody. Note that in order to achieve and visualize β-catenin phosphorylation by GSK3 in the absence of Axin (lanes 1â5), 5-fold excess amount of GSK3 (2.2 µM) was employed compared to that in the presence of Axin (lanes 6â10), and the film was overexposed. F. β-catenin Ser45 phosphorylation by CK1 was not affected by Phos-A, used at 10 µM and 2.5 µM. A-mut was at 10 µM. The phosphorylation reaction products were analyzed using an anti-phospho-Ser33/Ser37/Thr41 β-catenin antibody and an anti-phospho-Ser45 β-catenin antibody.
Figure 5. The phosphorylated PPPSPXS peptide inhibits phosphorylation of glycogen synthase and Tau by GSK3.A. Recombinant GST-tagged mouse glycogen synthase carboxyl-terminal domain (mGS-CTD) was expressed in bacteria, and purified by glutathione agarose resin. B. In vitro reconstitution of GS phosphorylation by CK2 and GSK3. The phosphorylation reaction products were analyzed using an anti-phospho-Ser641 GS antibody. C. GS phosphorylation at Ser641 was inhibited by Phos-A, but not by A-mut. The phosphorylation reaction products were analyzed using an anti-phospho-Ser641 GS antibody. D. In vitro reconstitution of Tau phosphorylation by GSK3. The phosphorylation reaction products were analyzed using an anti-phospho-Tau antibody (PHF1). E. Tau phosphorylation was inhibited by Phos-A, but not A-mut. The phosphorylation reaction products were analyzed using an anti-phospho-Tau antibody (PHF1). F and G. Different concentrations of Phos-A inhibited β-catenin and Tau phosphorylation by GSK3 in a similar manner. A four-fold dilution of Phos-A was employed. The graph represents the average of three independent experiments.
Figure 6. The Phos-A but not the A-mut peptide induces axis duplication and Xnr3 expression in Xenopus embryos.A, B, C, D. Uninjected embryo (A), A-mut-injected embryo (B), and Phos-A-injected embryo (C) shown at neural fold stage. The duplicated partial axis is labeled by the red arrowhead. Ventrally injected Phos-A (4.8 ng/embryo) induced axis duplication in 19% embryos (10 of 52). A-mut (4.8 ng/embryo) did not induce axis duplication (0 of 60). Three independent experiments were combined (D). E. Phos-A (3 and 4.8 ng/embryo) but not A-mut (4.8 ng/embryo) induced Xnr3 expression in animal pole explants, as assayed by RT-PCR. Xenopus Wnt8 RNA injection (8 pg/embryo) served as a positive control. The activity of the Phos-A peptide was significantly weaker than that of Wnt8 RNA, likely due to dilution, proteolysis and/or dephosphorylation in the embryo in the absence of any de novo synthesis. WE: whole embryo. EF1-a: loading control. –RT: without reverse transcriptase.
Figure 7. A working model for LRP6 inhibition of β-catenin phosphorylation by the Axin-GSK3 complex.While one of the five phosphorylated PPPSPXS motifs of LRP6 physically interacts with Axin, other phosphorylated PPPSPXS motifs may directly inhibit GSK3 phosphorylation of β-catenin in the Axin complex. Axin-binding to motif C is drawn arbitrarily. See Discussion for details.
Aberle,
beta-catenin is a target for the ubiquitin-proteasome pathway.
1997, Pubmed
Aberle,
beta-catenin is a target for the ubiquitin-proteasome pathway.
1997,
Pubmed
Amit,
Axin-mediated CKI phosphorylation of beta-catenin at Ser 45: a molecular switch for the Wnt pathway.
2002,
Pubmed
Behrens,
Functional interaction of an axin homolog, conductin, with beta-catenin, APC, and GSK3beta.
1998,
Pubmed
,
Xenbase
Behrens,
Functional interaction of beta-catenin with the transcription factor LEF-1.
1996,
Pubmed
,
Xenbase
Bilic,
Wnt induces LRP6 signalosomes and promotes dishevelled-dependent LRP6 phosphorylation.
2007,
Pubmed
Cselenyi,
LRP6 transduces a canonical Wnt signal independently of Axin degradation by inhibiting GSK3's phosphorylation of beta-catenin.
2008,
Pubmed
,
Xenbase
Dajani,
Structural basis for recruitment of glycogen synthase kinase 3beta to the axin-APC scaffold complex.
2003,
Pubmed
Davidson,
Casein kinase 1 gamma couples Wnt receptor activation to cytoplasmic signal transduction.
2005,
Pubmed
,
Xenbase
Doble,
GSK-3: tricks of the trade for a multi-tasking kinase.
2003,
Pubmed
Doble,
Functional redundancy of GSK-3alpha and GSK-3beta in Wnt/beta-catenin signaling shown by using an allelic series of embryonic stem cell lines.
2007,
Pubmed
Dominguez,
Role of glycogen synthase kinase 3 beta as a negative regulator of dorsoventral axis formation in Xenopus embryos.
1995,
Pubmed
,
Xenbase
Greenberg,
Hydrofluoric acid-treated tau PHF proteins display the same biochemical properties as normal tau.
1992,
Pubmed
Harland,
Formation and function of Spemann's organizer.
1997,
Pubmed
Hart,
Downregulation of beta-catenin by human Axin and its association with the APC tumor suppressor, beta-catenin and GSK3 beta.
1998,
Pubmed
,
Xenbase
Hart,
The F-box protein beta-TrCP associates with phosphorylated beta-catenin and regulates its activity in the cell.
1999,
Pubmed
He,
Glycogen synthase kinase-3 and dorsoventral patterning in Xenopus embryos.
1995,
Pubmed
,
Xenbase
He,
Identification of c-MYC as a target of the APC pathway.
1998,
Pubmed
He,
LDL receptor-related proteins 5 and 6 in Wnt/beta-catenin signaling: arrows point the way.
2004,
Pubmed
Hendriksen,
Plasma membrane recruitment of dephosphorylated beta-catenin upon activation of the Wnt pathway.
2008,
Pubmed
,
Xenbase
Huber,
Nuclear localization of beta-catenin by interaction with transcription factor LEF-1.
1996,
Pubmed
,
Xenbase
Ikeda,
Axin, a negative regulator of the Wnt signaling pathway, forms a complex with GSK-3beta and beta-catenin and promotes GSK-3beta-dependent phosphorylation of beta-catenin.
1998,
Pubmed
Itoh,
Axis determination in Xenopus involves biochemical interactions of axin, glycogen synthase kinase 3 and beta-catenin.
1998,
Pubmed
,
Xenbase
Kimelman,
beta-catenin destruction complex: insights and questions from a structural perspective.
2006,
Pubmed
Kitagawa,
An F-box protein, FWD1, mediates ubiquitin-dependent proteolysis of beta-catenin.
1999,
Pubmed
Latres,
The human F box protein beta-Trcp associates with the Cul1/Skp1 complex and regulates the stability of beta-catenin.
1999,
Pubmed
,
Xenbase
Liu,
Rapid, Wnt-induced changes in GSK3beta associations that regulate beta-catenin stabilization are mediated by Galpha proteins.
2005,
Pubmed
Liu,
beta-Trcp couples beta-catenin phosphorylation-degradation and regulates Xenopus axis formation.
1999,
Pubmed
,
Xenbase
Liu,
Control of beta-catenin phosphorylation/degradation by a dual-kinase mechanism.
2002,
Pubmed
,
Xenbase
Logan,
The Wnt signaling pathway in development and disease.
2004,
Pubmed
MacDonald,
Wnt signal amplification via activity, cooperativity, and regulation of multiple intracellular PPPSP motifs in the Wnt co-receptor LRP6.
2008,
Pubmed
,
Xenbase
Mao,
Low-density lipoprotein receptor-related protein-5 binds to Axin and regulates the canonical Wnt signaling pathway.
2001,
Pubmed
Mi,
The low density lipoprotein receptor-related protein 6 interacts with glycogen synthase kinase 3 and attenuates activity.
2006,
Pubmed
Molenaar,
XTcf-3 transcription factor mediates beta-catenin-induced axis formation in Xenopus embryos.
1996,
Pubmed
,
Xenbase
Moon,
The promise and perils of Wnt signaling through beta-catenin.
2002,
Pubmed
,
Xenbase
Orford,
Serine phosphorylation-regulated ubiquitination and degradation of beta-catenin.
1997,
Pubmed
Piao,
Direct inhibition of GSK3beta by the phosphorylated cytoplasmic domain of LRP6 in Wnt/beta-catenin signaling.
2008,
Pubmed
,
Xenbase
Pierce,
Regulation of Spemann organizer formation by the intracellular kinase Xgsk-3.
1995,
Pubmed
,
Xenbase
Pinson,
An LDL-receptor-related protein mediates Wnt signalling in mice.
2000,
Pubmed
Polakis,
Wnt signaling and cancer.
2000,
Pubmed
Sakanaka,
Bridging of beta-catenin and glycogen synthase kinase-3beta by axin and inhibition of beta-catenin-mediated transcription.
1998,
Pubmed
Salic,
Control of beta-catenin stability: reconstitution of the cytoplasmic steps of the wnt pathway in Xenopus egg extracts.
2000,
Pubmed
,
Xenbase
Tamai,
LDL-receptor-related proteins in Wnt signal transduction.
2000,
Pubmed
,
Xenbase
Tamai,
A mechanism for Wnt coreceptor activation.
2004,
Pubmed
,
Xenbase
Tetsu,
Beta-catenin regulates expression of cyclin D1 in colon carcinoma cells.
1999,
Pubmed
van Es,
You Wnt some, you lose some: oncogenes in the Wnt signaling pathway.
2003,
Pubmed
Wehrli,
arrow encodes an LDL-receptor-related protein essential for Wingless signalling.
2000,
Pubmed
Winston,
The SCFbeta-TRCP-ubiquitin ligase complex associates specifically with phosphorylated destruction motifs in IkappaBalpha and beta-catenin and stimulates IkappaBalpha ubiquitination in vitro.
1999,
Pubmed
Wolf,
Multiple PPPS/TP motifs act in a combinatorial fashion to transduce Wnt signaling through LRP6.
2008,
Pubmed
Wu,
Threonine 41 in beta-catenin serves as a key phosphorylation relay residue in beta-catenin degradation.
2006,
Pubmed
Wu,
Ozz; a new name on the long list of beta-catenin's nemeses.
2004,
Pubmed
Wu,
Structure of a beta-TrCP1-Skp1-beta-catenin complex: destruction motif binding and lysine specificity of the SCF(beta-TrCP1) ubiquitin ligase.
2003,
Pubmed
Yanagawa,
Casein kinase I phosphorylates the Armadillo protein and induces its degradation in Drosophila.
2002,
Pubmed
Zeng,
Initiation of Wnt signaling: control of Wnt coreceptor Lrp6 phosphorylation/activation via frizzled, dishevelled and axin functions.
2008,
Pubmed
,
Xenbase
Zeng,
The mouse Fused locus encodes Axin, an inhibitor of the Wnt signaling pathway that regulates embryonic axis formation.
1997,
Pubmed
,
Xenbase
Zeng,
A dual-kinase mechanism for Wnt co-receptor phosphorylation and activation.
2005,
Pubmed
,
Xenbase