XB-ART-38824
Proc Natl Acad Sci U S A
2008 Oct 28;10543:16608-13. doi: 10.1073/pnas.0808328105.
Show Gene links
Show Anatomy links
Modulation of potassium channel function confers a hyperproliferative invasive phenotype on embryonic stem cells.
???displayArticle.abstract???
Ion transporters, and the resulting voltage gradients and electric fields, have been implicated in embryonic development and regeneration. These biophysical signals are key physiological aspects of the microenvironment that epigenetically regulate stem and tumor cell behavior. Here, we identify a previously unrecognized function for KCNQ1, a potassium channel known to be involved in human Romano-Ward and Jervell-Lange-Nielsen syndromes when mutated. Misexpression of its modulatory wild-type beta-subunit XKCNE1 in the Xenopus embryo resulted in a striking alteration of the behavior of one type of embryonic stem cell: the pigment cell lineage of the neural crest. Depolarization of embryonic cells by misexpression of KCNE1 non-cell-autonomously induced melanocytes to overproliferate, spread out, and become highly invasive of blood vessels, liver, gut, and neural tube, leading to a deeply hyperpigmented phenotype. This effect is mediated by the up-regulation of Sox10 and Slug genes, thus linking alterations in ion channel function to the control of migration, shape, and mitosis rates during embryonic morphogenesis. Taken together, these data identify a role for the KCNQ1 channel in regulating key cell behaviors and reveal the molecular identity of a biophysical switch, by means of which neoplastic-like properties can be conferred upon a specific embryonic stem cell subpopulation.
???displayArticle.pubmedLink??? 18931301
???displayArticle.pmcLink??? PMC2575467
???displayArticle.link??? Proc Natl Acad Sci U S A
???displayArticle.grants??? [+]
5K22DE16633 NIDCR NIH HHS, 5T32DE007327-07 NIDCR NIH HHS, R01-GM07742 NIGMS NIH HHS , K22 DE016633-04 NIDCR NIH HHS, K22 DE016633 NIDCR NIH HHS, T32 DE007327 NIDCR NIH HHS
Species referenced: Xenopus
Genes referenced: atp6v0c dct gal.2 kcne1 kcnq1 snai2 sox10 trpc2
???displayArticle.antibodies??? Kcne1 Ab1 Kcnq1 Ab1 Kcnq1 Ab2
???attribute.lit??? ???displayArticles.show???
|
|
Fig. 1. KCNE1 overexpression induces hyperpigmentation. (A) Microinjection of KCNE1 mRNA at the one-cell stage induces 32% of embryos grown to stage 45 to exhibit hyperpigmentation compared with controls (<2%). (B) Controls. (C) Hyperpigmented embryos have far more melanocytes in the head but very normal overall development. Yellow rectangle indicates region in which melanocytes were counted (Table 1). (Magnifications: B and C, Ã9.) |
|
|
Fig. 2. KCNE1 inhibits KCNQ1 currents and depolarizes embryonic cells. (A) Tail currents were analyzed at â120 mV and normalized to the value followed after the 60-mV depolarizing pulse to estimate the voltage dependence of channel activation (n = 10 or 11). At voltages of 0 mV or less, addition of KCNE1 reduced the currents compared with KCNQ1 alone. (B) KCNQ1 (5 ng of mRNA) was expressed alone or together with 0.2 ng of KCNE1 mRNA. Each lane was loaded with equal amounts of protein (as estimated by Bradford test and Ponceau staining). Four consecutive biotinylation Western blots detected no clear alterations of KCNQ1 protein in the plasma membrane (densitometric analysis of all four gels normalized to the respective KCNQ1 band gave 1.0061 ± 0.1025 for KCNQ1 + KCNE1 injections). Analysis of membrane potential in vivo using DiSBAC voltage reporter dye reveals that KCNE1 mRNA expression depolarizes cells in the neurulating embryo. (C) Histograms showing normalized frequencies corresponding to normalized fluorescence intensities were created for each embryo (n = 37). One example each of the histograms from controls (injected with mRNA encoding Xenopus Ductin, a subunit of the V-ATPase ion pump) and KCNE1-injected embryos are shown. The peak value is the value of relative intensity corresponding to a frequency of 1.0. Also indicated is the half-maximum (frequency = 0.5) position at which width was measured for statistical comparisons. Area is computed as the peak times the width. These two histograms were chosen because their peak and width values are closest to the mean values; however, there was large variation in shapes of the histograms. (D) Bar chart showing the difference between three descriptors of histograms from xDuctin- and KCNE1-injected embryos. Control xDuctin-injected histograms had a mean peak at 0.255 ± 0.093 (mean ± 99% confidence intervals), a mean width of 0.150 ± 0.042, and a mean area of 0.044 ± 0.030, whereas the mean peak for KCNE1-injected embryos was at 0.786 ± 0.134, the mean width was 0.627 ± 0.192, and mean area was 0.552 ± 0.308. Two-tailed t tests revealed highly significant differences for each comparison: peaks, P = 8 à 10â10; widths, P = 2 à 10â6; areas, P = 4 à 10â4. Control n = 15; KCNE1 n = 22. |
|
|
Fig. 3. KCNE1 expression induces a neoplastic-like phenotype in melanocytes. Control larvae sectioned through the brain (A) and tail (Aâ²) possess a small number of melanocytes at the dorsal surface of the neural tube (NT); these cells have the normal rounded morphology (red arrows). In contrast, embryos injected with KCNE1 exhibit higher numbers of melanocytes that spread out into a more dendritic morphology (green arrows), observed in both the brain (B) and the tail (Bâ², where the melanocytes penetrate the somite and surround the spinal cord). (C) The level of sections for A, Aâ², B, Bâ², and D. (D) Melanocytes of KCNE1-injected larvae often invade the dense nervous tissues of the neural tube (green arrow). Blue stain in B, Bâ², and D indicates lineage label coinjected with KCNE1 mRNA. At 3 months, the ectopic melanocytes colonized the blood vessels (control embryo in E, white arrows, vs. KCNE1-injected in F, red arrows). (Magnifications: A, B, and D, Ã12; Aâ² and Bâ², Ã20; E and F, Ã7.5.) |
|
|
Fig. 4. KCNE1-induced hyperpigmentation phenotype is a non-cell-autonomous effect involving up-regulation of Sox10 and Slug expression. (A) Embryos were injected with a mixture of KCNE1 and β-gal mRNAs and were lightly bleached at stage 43, allowing evaluation of melanocytes and clear detection of the β-gal lineage label in the area dorsal to the eyes, which normally has few or no melanocytes (all of the melanocytes in this region are ectopic). The vast majority of the excess cells did not themselves contain the lineage label (B, white arrows indicate lack of β-gal signal; blue arrow indicates cells positive for β-gal), illustrating the non-cell-autonomous mechanism of hyperpigmentation induction by KCNE1. Embryos were injected with KCNE1 + β-gal mRNAs at the one-cell stage (resulting in mosaic expression throughout the embryo), processed for in situ hybridization, and sectioned. Note the ectopic expression of Sox10 (C) and Xslug (D, compare with contralateral side showing very little Sox10 expression on the side where KCNE1 was not injected). Ectopic domains lie adjacent to KCNE1-misexpressing cells. Red signal (and red arrowheads) indicate β-gal lineage label of injected cells. Blue arrows indicate the positive in situ hybridization signal (purple). |
|
|
Fig. 5. A model of KCNQ1/KCNE1 function in embryogenesis. (A) A parsimonious model of the data proposes that KCNE1 modifies the function of KCNQ1, which up-regulates Sox10 and its downstream targets, such as XSlug. These factors are known to be necessary and sufficient for the observed up-regulation of proliferation, change in cell shape, and induction of invasive migration behavior in melanocytes. (B) Embryonic regions expressing KCNE1 induce up-regulation of key transcription factors, such as Sox10 and Slug, in other cells in the neural crest population, which confers upon them a hyperproliferative, invasive phenotype. This illustrates a non-cell-autonomous mechanism by which ion flows are transduced into canonical transcription cascades that control cell behavior. Black dashed lines indicate migration of hyperproliferating offspring of the target (green) cell. The original event takes place in the cell expressing KCNE1 (blue), which does not itself contribute all of the proliferative offspring. The target cell may induce the XSox10 pathway in neighbors by conventional biochemical signals (e.g., BMPs, FGFs, and WNTs). The direct biophysical interaction occurs in the target cell, where KCNE1-mediated loss of membrane polarization is relayed to the downstream signaling machinery by cell-autonomous mechanisms. |
|
|
Fig. S1. Endogenous expression of KCNQ1 mRNA. In situ hybridization with an antisense probe to native Xenopus KCNQ1 was performed on embryos at various stages. (DâF) Embryos were embedded in JB4 medium and sectioned at 30 m after hybridization in whole mount. During neurulation, anterior neural plate cells exhibited a strong signal, and expression also was detected in the neural folds (A) and in the mandibular, hyoid, and branchial neural crest streams (B). At tailbud stage, embryos exhibited strong expression in the tail, branchial arches, face, and dorsal neural tube (C); stain in tailbud (D), neural tube (E), and underlying cells around the cement gland (F) was confirmed in section. The extending tail maintained a focus of expression in under the spinal cord (G). Red arrows indicate positive signal. cg indicates cement gland. |
|
|
Fig. S2. Endogenous expression of KCNE1 mRNA. Expression was not detected during neurulation (A). During organogenesis (B), zygotic transcription was detected in the eye (blue arrowhead), cement gland (yellow arrowhead), otic vesicle (green arrowhead), and hindgut (red arrow). Sections confirmed expression in cells underlying the cement gland (C) and within the eye (D), possibly in the internuclear layer. Red arrows indicate positive signal. |
|
|
Fig. S3. Hyperpigmentation can be induced even after neural crest specification. (A) A wild-type embryo (control) at stage 45. (B) A typical hyperpigmented embryo (induced by KCNE1 overexpression), photographed here without tricaine, which causes the pigment granules in each cell to contract into the center, facilitating counting (used in Fig. 1). Larvae exposed to Chromanol 293B (a specific blocker ofKCNQ1channels) at stage 41 acquired a hyperpigmented phenotype within 6 days of culture, first in the region overlying the hindbrain (C, blue arrow) and then spreading throughout the head (D, red arrows indicate ectopic melanocytes in the periocular region). |
|
|
Fig. S4. KCNQ1 channels determine the resting membrane potentials of oocytes. (A) Representative membrane potential readings from Xenopus embryos at stage 21 in the KCNQ1-expressing region (as in Fig. S1 A and B) reveal that frog embryo cells in vivo exhibit resting potentials similar to those found in oocytes. (B) X. laevis oocytes were injected with 20 ng or no KCNQ1 mRNA. The resting membrane potentials (Vmembrane) were recorded for 5 min, and 100MChromanol 293B (a blocker of KCNQ1 channels) was applied for 1 min. The x axis indicates time. (C) Oocytes were each injected with 0, 0.2, 2, or 20 ng of KCNQ1 mRNA. The resting membrane potentials and currents at 0 mV (3-sec pulse) were recorded in ND96 solution (black circles) and after incubation for 1 h in 100 M Chromanol 293B (gray circles). The current values were normalized to the currents at 20 ng per oocyte. Data are presented as mean SEM; n 11–14). (D) Dose–response of currents to concentrations of applied Chromanol 293B from 1 to 100 M showing that currents are blocked by a KCNQ1 blocker in a concentration-dependent manner. The x axis indicates time. |
|
|
Fig. S5. KCNE1 exerts multiple parallel effects on KCNQ1 currents. (A) KCNQ1 was expressed alone or coinjected with KCNE1 mRNA at two concentrations (0.02 ng of KCNE1 mRNA per oocyte; 2 ng of KCNE1 mRNA per oocyte). Representative current traces at voltages indicated are shown. At a low concentration (0.02 ng of KCNE1 mRNA per oocyte), currents activate faster and result in larger currents after 7 sec compared with currents resulting from KCNQ1 coinjected with a 100-fold larger KCNE1 concentration (2 ng of KCNE1 mRNA per oocyte), indicating that high KCNE1 expression can suppress currents. (B) The currents shown in A at 60 mV are plotted on top of each other. Scaling of current amplitudes is as in A. Under these conditions it is clear that channel currents are smaller due to coexpression of KCNE1 with KCNQ1 in the first phase and depending on the amount of KCNE1 coinjected (a vs. b, phase of KCNE1 suppression at 0.02 ng of KCNE1 mRNA per oocyte indicated by vertical striation 3 about 0.4 sec; a vs. c, phase of KCNE1 suppression at 2 ng of KCNE1 mRNA per oocyte indicated by horizontal striation 3 about 2 sec). (C) Peak currents were analyzed at the end of the 7-sec pulses and plotted vs. the respective voltage (n 10–11). KCNQ1 channels were expressed alone or together with KCNE1 mRNA. (D) Oocytes were injected with 5 ng of KCNQ1 2 ng of KCNE1 mRNA. Peak channel currents at 60 mV, 0 mV, and 60 mV were normalized to the peak currents of KCNQ1 expressed alone at the respective voltage (normalized value of 1 indicates no change from KCNQ1 alone; normalized value of 0 indicates inhibition of current). These data indicate that K currents are suppressed by KCNE1 at voltages below 0 mV. |
|
|
Fig. S6. KCNE1 expression induces neoplastic-like phenotypes in melanocytes. Embryos exposed to RL-3 (an activator of KCNQ1) express slightly fewer melanocytes in the neural tube (A) and many fewer melanocytes in the tail (A ), compared with Fig. 3 A and A . Closer examination of sections taken through the neural tube (B) revealed that melanocytes of KCNE1-injected larvae often dropped down and invaded the dense nervous tissues of the neural tube (green arrows). Blue stain in B indicates lineage label that was coinjected with KCNE1 mRNA. Sections through the gut indicate the presence of numerous melanocytes (D, arrowheads) in KCNE1-injected larvae, where control embryos have none (C). During the second week of development, the excess melanocytes continue to migrate and spread out. They leave the trunk core and invade the dorsal fin (E, red arrowheads). Occasionally, KCNE1-misexpressing animals exhibited small growths on their outer surface, which often contained a core of melanocytes within (F, green arrowheads). When larvae were grown for 3 months, the hyperpigmentation and metastasis phenotype continued, and the ectopic melanocytes were seen to colonize the blood vessels: controls are shown in G (white arrows indicate lack of melanocytes in blood vessels), whereas KCNE1-injected larvae are shown in whole mount in H (red arrows indicate melanocytes throughout the ventral vessels). Higher magnification (H ) reveals melanocytes completely encircling the vessel. Melanocytes also spread throughout the epidermal layers of the animal (compare control in I with KCNE1-injected shown in J). Several particular internal organ primordia are frequently invaded, such as the pronephros and lateral ganglia (higher-magnification indicated by green arrow, shown in J ). Yellow plus signs indicate tissues from KCNE1-injected embryos; minus signs indicate control tissues. NT, neural tube; LP, lateral plate; vp, velar plate. |
|
|
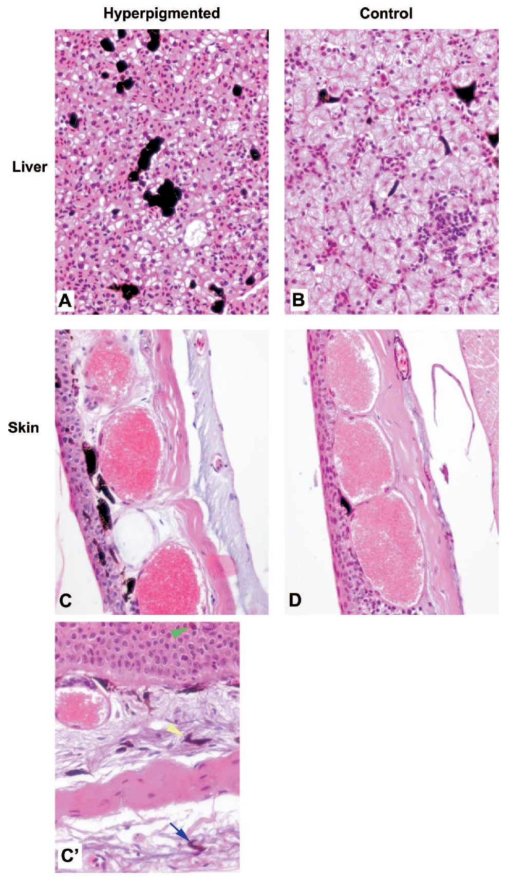
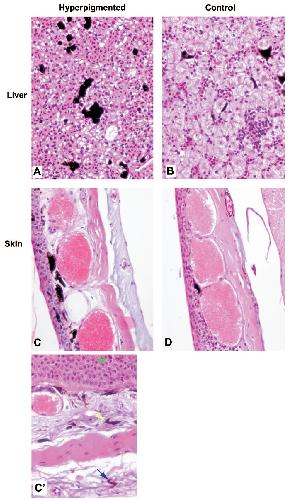
Fig. S7. Histological characterization of ectopic melanocytes. Embryos injected with KCNE1 mRNA were embedded in paraffin, sectioned, and stained with hematoxylin/eosin by using standard methods. Two specific organs were chosen for in-depth analysis: liver and skin. In the liver, KCNE1-injected larvae (A) possessed many more melanocytes compared with controls (B). In the skin, we observed far more melanocytes in the connective tissue under the dermis of KCNE1-overexpressing animals (C, C ) than of controls (D). These melanocytes occurred in groups, although it is not yet known whether they travel in groups or whether they proliferate in situ after reaching their destination compared with controls. In C (higher magnification of region from C), green arrowhead indicates epidermal melanocyte (not seen in controls), yellow arrows indicate dermal melanocytes (rarely seen in controls), and blue arrows indicate subdermal/peritoneal melanocytes. |
|
|
Fig. S8. KCNE1 does not induce ectopic cells to enter melanocyte lineage. Embryos were injected with low levels of a mixture of KCNE1 and -gal mRNA at the one-cell stage (resulting in random mosaic expression throughout the embryo), fixed at early tailbud stages (before melanocyte migration), and processed for in situ hybridization to reveal the expression of Trp-2, a marker of early melanocyte cell lineage. Compared with controls (A), injected embryos revealed no ectopic expression (B, red -gal revealing lineage label in a majority of injected cells) beyond the normal endogenous expression at the dorsal domain (blue arrows). |
|
|
kcne1 (potassium channel, voltage gated subfamily E regulatory beta subunit 1) gene expression in Xenopus laevis embryo, assayed via in situ hybridization, NF stage 28, lateral view, anterior left, dorsal up. |
|
|
kcnq1 (potassium channel, voltage gated KQT-like subfamily Q, member 1) gene expression in Xenopus laevis embryo, assayed via in situ hybridization, NF stage 18, dorsal view, anterior up. |
|
|
kcnq1 (potassium channel, voltage gated KQT-like subfamily Q, member 1) gene expression in Xenopus laevis embryo, assayed via in situ hybridization, NF stage 22, anterior view, dorsal up. |
|
|
kcnq1 (potassium channel, voltage-gated KQT-like subfamily Q, member 1) gene expression in Xenopus laevis embryo, assayed via in situ hybridization, NF stage 26, lateral view, anterior right, dorsal up. Key: red arrows point to tailbud and anterior and porterior branchial neural crest streams. |
References [+] :
Adams,
H+ pump-dependent changes in membrane voltage are an early mechanism necessary and sufficient to induce Xenopus tail regeneration.
2007, Pubmed,
Xenbase
Adams, H+ pump-dependent changes in membrane voltage are an early mechanism necessary and sufficient to induce Xenopus tail regeneration. 2007, Pubmed , Xenbase
Adams, Early, H+-V-ATPase-dependent proton flux is necessary for consistent left-right patterning of non-mammalian vertebrates. 2006, Pubmed , Xenbase
Aoki, Sox10 regulates the development of neural crest-derived melanocytes in Xenopus. 2003, Pubmed , Xenbase
Arcangeli, A novel inward-rectifying K+ current with a cell-cycle dependence governs the resting potential of mammalian neuroblastoma cells. 1995, Pubmed
Aw, H,K-ATPase protein localization and Kir4.1 function reveal concordance of three axes during early determination of left-right asymmetry. 2008, Pubmed , Xenbase
Bai, Electrophysiological properties of human adipose tissue-derived stem cells. 2007, Pubmed
Barhanin, K(V)LQT1 and lsK (minK) proteins associate to form the I(Ks) cardiac potassium current. 1996, Pubmed , Xenbase
BARNARD, Electronegativity of the cancerous cervix. 1949, Pubmed
Biagiotti, Cell renewing in neuroblastoma: electrophysiological and immunocytochemical characterization of stem cells and derivatives. 2006, Pubmed
Bjerkvig, Opinion: the origin of the cancer stem cell: current controversies and new insights. 2005, Pubmed
Bleich, KVLQT channels are inhibited by the K+ channel blocker 293B. 1997, Pubmed , Xenbase
Cai, Membrane properties of rat embryonic multipotent neural stem cells. 2004, Pubmed
Carl, Inhibition of neural crest migration in Xenopus using antisense slug RNA. 1999, Pubmed , Xenbase
Casimiro, Targeted disruption of the Kcnq1 gene produces a mouse model of Jervell and Lange-Nielsen Syndrome. 2001, Pubmed
Cone, Induction of mitosis in mature neurons in central nervous system by sustained depolarization. 1976, Pubmed
Cone, Control of somatic cell mitosis by simulated changes in the transmembrane potential level. 1971, Pubmed
Ducasse, Epigenetic aberrations and cancer. 2006, Pubmed
Ferletta, Sox10 has a broad expression pattern in gliomas and enhances platelet-derived growth factor-B--induced gliomagenesis. 2007, Pubmed
Fraser, Voltage-gated sodium channel expression and potentiation of human breast cancer metastasis. 2005, Pubmed
Harrington, Electrical stimulation of RNA and protein synthesis in the frog erythrocyte. 1973, Pubmed
Hong, Initiating and cancer-propagating cells in TEL-AML1-associated childhood leukemia. 2008, Pubmed
Hotary, Endogenous electrical currents and voltage gradients in Xenopus embryos and the consequences of their disruption. 1994, Pubmed , Xenbase
Hotz, Epithelial to mesenchymal transition: expression of the regulators snail, slug, and twist in pancreatic cancer. 2007, Pubmed
Howard, Signalling pathways implicated in early mammary gland morphogenesis and breast cancer. 2006, Pubmed
Jaffe, Epigenetic theories of cancer initiation. 2003, Pubmed
Khong, The Waardenburg syndrome type 4 gene, SOX10, is a novel tumor-associated antigen identified in a patient with a dramatic response to immunotherapy. 2002, Pubmed
Killion, Electrical properties of normal and transformed mammalian cells. 1984, Pubmed
Klimatcheva, An ATP-sensitive K(+) current that regulates progression through early G1 phase of the cell cycle in MCF-7 human breast cancer cells. 1999, Pubmed
Knutson, K+ channel expression and cell proliferation are regulated by intracellular sodium and membrane depolarization in oligodendrocyte progenitor cells. 1997, Pubmed
Konig, Membrane hyperpolarization triggers myogenin and myocyte enhancer factor-2 expression during human myoblast differentiation. 2004, Pubmed
Kumasaka, Isolation and developmental expression of tyrosinase family genes in Xenopus laevis. 2003, Pubmed , Xenbase
Kunzelmann, Ion channels and cancer. 2005, Pubmed
Kurrey, Snail and Slug are major determinants of ovarian cancer invasiveness at the transcription level. 2005, Pubmed
Lesage, Are Xenopus oocytes unique in displaying functional IsK channel heterologous expression? 1993, Pubmed , Xenbase
Levin, A novel immunohistochemical method for evaluation of antibody specificity and detection of labile targets in biological tissue. 2004, Pubmed , Xenbase
Levin, Large-scale biophysics: ion flows and regeneration. 2007, Pubmed
Levin, Asymmetries in H+/K+-ATPase and cell membrane potentials comprise a very early step in left-right patterning. 2002, Pubmed , Xenbase
Li, Evidence that transgenes encoding components of the Wnt signaling pathway preferentially induce mammary cancers from progenitor cells. 2003, Pubmed
Lindvall, The Wnt signaling receptor Lrp5 is required for mammary ductal stem cell activity and Wnt1-induced tumorigenesis. 2006, Pubmed
Maljevic, Nervous system KV7 disorders: breakdown of a subthreshold brake. 2008, Pubmed
Martin, Expression of the transcription factors snail, slug, and twist and their clinical significance in human breast cancer. 2005, Pubmed
Martinez-Zaguilan, Vacuolar-type H(+)-ATPases are functionally expressed in plasma membranes of human tumor cells. 1993, Pubmed
McCaig, Controlling cell behavior electrically: current views and future potential. 2005, Pubmed
Miyazaki, Novel approach for evaluation of estrogenic and anti-estrogenic activities of genistein and daidzein using B16 melanoma cells and dendricity assay. 2004, Pubmed
Morokuma, KCNQ1 and KCNE1 K+ channel components are involved in early left-right patterning in Xenopus laevis embryos. 2008, Pubmed , Xenbase
Mu, Genomic amplification and oncogenic properties of the KCNK9 potassium channel gene. 2003, Pubmed
Nuccitelli, On electrical currents in development. 1986, Pubmed
Pardo, Oncogenic potential of EAG K(+) channels. 1999, Pubmed
Perona, Increased pH and tumorigenicity of fibroblasts expressing a yeast proton pump. 1988, Pubmed
Peroz, Kv7.1 (KCNQ1) properties and channelopathies. 2008, Pubmed
Pillozzi, HERG potassium channels are constitutively expressed in primary human acute myeloid leukemias and regulate cell proliferation of normal and leukemic hemopoietic progenitors. 2002, Pubmed
Pineda, Knockdown of Nav1.6a Na+ channels affects zebrafish motoneuron development. 2006, Pubmed
Reya, Stem cells, cancer, and cancer stem cells. 2001, Pubmed
Salata, A novel benzodiazepine that activates cardiac slow delayed rectifier K+ currents. 1998, Pubmed , Xenbase
Sanguinetti, Coassembly of K(V)LQT1 and minK (IsK) proteins to form cardiac I(Ks) potassium channel. 1996, Pubmed , Xenbase
Shi, Three-dimensional gradients of voltage during development of the nervous system as invisible coordinates for the establishment of embryonic pattern. 1995, Pubmed
Shi, Injury-induced neurogenesis in Bax-deficient mice: evidence for regulation by voltage-gated potassium channels. 2007, Pubmed
Stump, Xenopus neural crest cell migration in an applied electrical field. 1983, Pubmed , Xenbase
Tazuke, A germline-specific gap junction protein required for survival of differentiating early germ cells. 2002, Pubmed
Turner, Slug regulates integrin expression and cell proliferation in human epidermal keratinocytes. 2006, Pubmed
van Kempen, Expression of the electrophysiological system during murine embryonic stem cell cardiac differentiation. 2003, Pubmed
Velazquez, The vascular phenotype of melanoma metastasis. 2003, Pubmed
Wang, Evidence for an early G1 ionic event necessary for cell cycle progression and survival in the MCF-7 human breast carcinoma cell line. 1998, Pubmed
Wang, Positional cloning of a novel potassium channel gene: KVLQT1 mutations cause cardiac arrhythmias. 1996, Pubmed
Wilson, The effects of various nutritional supplements on the growth, migration and differentiation of Xenopus laevis neural crest cells in vitro. 1987, Pubmed , Xenbase
Wong, Presence of functional gap junctions in human embryonic stem cells. 2004, Pubmed
Zhao, Electrical signals control wound healing through phosphatidylinositol-3-OH kinase-gamma and PTEN. 2006, Pubmed
