XB-ART-38663
Nat Cell Biol
2009 Jan 01;111:46-55. doi: 10.1038/ncb1811.
Show Gene links
Show Anatomy links
Secreted Frizzled-related protein 2 is a procollagen C proteinase enhancer with a role in fibrosis associated with myocardial infarction.
Kobayashi K
,
Luo M
,
Zhang Y
,
Wilkes DC
,
Ge G
,
Grieskamp T
,
Yamada C
,
Liu TC
,
Huang G
,
Basson CT
,
Kispert A
,
Greenspan DS
,
Sato TN
.
???displayArticle.abstract???
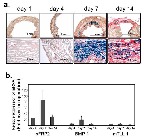
Secreted Frizzled-related proteins (sFRPs) have emerged as key regulators of a wide range of developmental and disease processes. Most of the known functions of mammalian sFRPs have been attributed to their ability to antagonize Wnt signalling. Recently however, Xenopus laevis and zebrafish sFRP, Sizzled, was shown to function as an antagonist of Chordin processing by Tolloid-like metalloproteinases. This has led to the proposal that sFRPs may function as evolutionarily conserved antagonists of chordinase activities of this class of proteinases. In contrast to this proposal, we show here that the mammalian sFRP, sFRP2, does not affect Chordin processing, but instead, can serve as a direct enhancer of procollagen C proteinase activity of Tolloid-like metalloproteinases. We also show that the level of fibrosis, in which procollagen processing by Tolloid-like proteinases has a rate-limiting role, is markedly reduced in Sfrp2-null mice subjected to myocardial infarction. Importantly, this reduced level of fibrosis is accompanied by significantly improved cardiac function. This study thus uncovers a function for sFRP2 and a potential therapeutic application for sFRP2 antagonism in controlling fibrosis in the infarcted heart.
???displayArticle.pubmedLink??? 19079247
???displayArticle.pmcLink??? PMC2722759
???displayArticle.link??? Nat Cell Biol
???displayArticle.grants??? [+]
R01 GM071679-02 NIGMS NIH HHS , R01 GM071679-03 NIGMS NIH HHS , R01 GM071679-04 NIGMS NIH HHS , R01 GM071679 NIGMS NIH HHS
Species referenced: Xenopus laevis
Genes referenced: bmp1 chrd efs egf gnl3 ntsr1 pc sfrp2 szl
???displayArticle.disOnts??? myocardial infarction
???attribute.lit??? ???displayArticles.show???
References [+] :
Bányai,
The NTR module: domains of netrins, secreted frizzled related proteins, and type I procollagen C-proteinase enhancer protein are homologous with tissue inhibitors of metalloproteases.
1999, Pubmed
Bányai, The NTR module: domains of netrins, secreted frizzled related proteins, and type I procollagen C-proteinase enhancer protein are homologous with tissue inhibitors of metalloproteases. 1999, Pubmed
Barandon, Involvement of FrzA/sFRP-1 and the Wnt/frizzled pathway in ischemic preconditioning. 2005, Pubmed
Barandon, Reduction of infarct size and prevention of cardiac rupture in transgenic mice overexpressing FrzA. 2003, Pubmed
Berg, Determination of 3- and 4-hydroxyproline. 1982, Pubmed
Bodine, The Wnt antagonist secreted frizzled-related protein-1 is a negative regulator of trabecular bone formation in adult mice. 2004, Pubmed
Cleutjens, The infarcted myocardium: simply dead tissue, or a lively target for therapeutic interventions. 1999, Pubmed
De Robertis, Dorsal-ventral patterning and neural induction in Xenopus embryos. 2004, Pubmed , Xenbase
Dufourcq, FrzA, a secreted frizzled related protein, induced angiogenic response. 2002, Pubmed
Finch, Purification and molecular cloning of a secreted, Frizzled-related antagonist of Wnt action. 1997, Pubmed , Xenbase
Fisher, Antisera and cDNA probes to human and certain animal model bone matrix noncollagenous proteins. 1995, Pubmed
Garrigue-Antar, Deletion of epidermal growth factor-like domains converts mammalian tolloid into a chordinase and effective procollagen C-proteinase. 2004, Pubmed
Ge, Mammalian tolloid-like 1 binds procollagen C-proteinase enhancer protein 1 and differs from bone morphogenetic protein 1 in the functional roles of homologous protein domains. 2006, Pubmed
Ge, Bone morphogenetic protein 1 processes prolactin to a 17-kDa antiangiogenic factor. 2007, Pubmed
Ge, BMP1 controls TGFbeta1 activation via cleavage of latent TGFbeta-binding protein. 2006, Pubmed
Hopkins, The bone morphogenetic protein 1/Tolloid-like metalloproteinases. 2007, Pubmed
Jugdutt, Ventricular remodeling after infarction and the extracellular collagen matrix: when is enough enough? 2003, Pubmed
Jugdutt, Remodeling of the myocardium and potential targets in the collagen degradation and synthesis pathways. 2003, Pubmed
Kawano, Secreted antagonists of the Wnt signalling pathway. 2003, Pubmed , Xenbase
Kessler, Type I procollagen C-proteinase from mouse fibroblasts. Purification and demonstration of a 55-kDa enhancer glycoprotein. 1989, Pubmed
Kim, The stomach mesenchymal transcription factor Barx1 specifies gastric epithelial identity through inhibition of transient Wnt signaling. 2005, Pubmed
Kim, Pax-6 regulates expression of SFRP-2 and Wnt-7b in the developing CNS. 2001, Pubmed
Lee, Embryonic dorsal-ventral signaling: secreted frizzled-related proteins as inhibitors of tolloid proteinases. 2006, Pubmed , Xenbase
Lee, Autocrine/paracrine secreted Frizzled-related protein 2 induces cellular resistance to apoptosis: a possible mechanism of mammary tumorigenesis. 2004, Pubmed
Lee, SHH-N upregulates Sfrp2 to mediate its competitive interaction with WNT1 and WNT4 in the somitic mesoderm. 2000, Pubmed
Lei, Wnt signaling inhibitors regulate the transcriptional response to morphogenetic Shh-Gli signaling in the neural tube. 2006, Pubmed
Martyn, The ventralized ogon mutant phenotype is caused by a mutation in the zebrafish homologue of Sizzled, a secreted Frizzled-related protein. 2003, Pubmed
Mayr, Fritz: a secreted frizzled-related protein that inhibits Wnt activity. 1997, Pubmed , Xenbase
Melkonyan, SARPs: a family of secreted apoptosis-related proteins. 1997, Pubmed
Mirotsou, Secreted frizzled related protein 2 (Sfrp2) is the key Akt-mesenchymal stem cell-released paracrine factor mediating myocardial survival and repair. 2007, Pubmed
Moali, Substrate-specific modulation of a multisubstrate proteinase. C-terminal processing of fibrillar procollagens is the only BMP-1-dependent activity to be enhanced by PCPE-1. 2005, Pubmed
Muraoka, Sizzled controls dorso-ventral polarity by repressing cleavage of the Chordin protein. 2006, Pubmed
Nathan, sFRPs: a declaration of (Wnt) independence. 2009, Pubmed
Oshima, Myeloma cells suppress bone formation by secreting a soluble Wnt inhibitor, sFRP-2. 2005, Pubmed
Pappano, Use of Bmp1/Tll1 doubly homozygous null mice and proteomics to identify and validate in vivo substrates of bone morphogenetic protein 1/tolloid-like metalloproteinases. 2003, Pubmed
Polesskaya, Wnt signaling induces the myogenic specification of resident CD45+ adult stem cells during muscle regeneration. 2003, Pubmed
Rattner, A family of secreted proteins contains homology to the cysteine-rich ligand-binding domain of frizzled receptors. 1997, Pubmed
Roth, Secreted Frizzled-related proteins inhibit motility and promote growth of human malignant glioma cells. 2000, Pubmed
Salic, Sizzled: a secreted Xwnt8 antagonist expressed in the ventral marginal zone of Xenopus embryos. 1997, Pubmed , Xenbase
Satoh, Sfrp1 and Sfrp2 regulate anteroposterior axis elongation and somite segmentation during mouse embryogenesis. 2006, Pubmed
Schier, Molecular genetics of axis formation in zebrafish. 2005, Pubmed
Scott, Mammalian BMP-1/Tolloid-related metalloproteinases, including novel family member mammalian Tolloid-like 2, have differential enzymatic activities and distributions of expression relevant to patterning and skeletogenesis. 1999, Pubmed , Xenbase
Sun, Infarct scar: a dynamic tissue. 2000, Pubmed
Suzuki, Epigenetic inactivation of SFRP genes allows constitutive WNT signaling in colorectal cancer. 2004, Pubmed
Swynghedauw, Molecular mechanisms of myocardial remodeling. 1999, Pubmed
Takahara, Type I procollagen COOH-terminal proteinase enhancer protein: identification, primary structure, and chromosomal localization of the cognate human gene (PCOLCE). 1994, Pubmed
Wodarz, Mechanisms of Wnt signaling in development. 1998, Pubmed , Xenbase
WOESSNER, The determination of hydroxyproline in tissue and protein samples containing small proportions of this imino acid. 1961, Pubmed
Yabe, Ogon/Secreted Frizzled functions as a negative feedback regulator of Bmp signaling. 2003, Pubmed , Xenbase
Zi, Expression of Frzb/secreted Frizzled-related protein 3, a secreted Wnt antagonist, in human androgen-independent prostate cancer PC-3 cells suppresses tumor growth and cellular invasiveness. 2005, Pubmed
Zou, Aberrant methylation of secreted frizzled-related protein genes in esophageal adenocarcinoma and Barrett's esophagus. 2005, Pubmed
