Click here to close
Hello! We notice that you are using Internet Explorer, which is not supported by Xenbase and may cause the site to display incorrectly.
We suggest using a current version of Chrome,
FireFox, or Safari.
???displayArticle.abstract??? ADAM19 is a member of the meltrin subfamily of ADAM metalloproteases. In Xenopus, ADAM19 is present as a maternal transcript. Zygotic expression starts during gastrulation and is apparent in the dorsal blastopore lip. ADAM19 expression through neurulation and tailbud formation becomes enriched in dorsal structures such as the neural tube, the notochord and the somites. Using morpholino knock-down, we show that a reduction of ADAM19 protein in gastrula stage embryos results in a decrease of Brachyury expression in the notochord concomitant with an increase in the dorsal markers, Goosecoid and Chordin. These changes in gene expression are accompanied by a decrease in phosphorylated AKT, a downstream target of the EGF signaling pathway, and occur while the blastopore closes at the same rate as the control embryos. During neurulation and tailbud formation, ADAM19 knock-down induces a reduction of the neural markers N-tubulin and NRP1 but not Sox2. In the somitic mesoderm, the expression of MLC is also decreased while MyoD is not. ADAM19 knockdown also reduces neural crest markers prior to cell migration. Neural crest induction is also decreased in embryos treated with an EGF receptor inhibitor suggesting that this pathway is necessary for neural crest cell induction. Using targeted knock-down of ADAM19 we show that the reduction of neural and neural crest markers is cell autonomous and that the migration if the cranial neural crest is perturbed. We further show that ADAM19 protein reduction affects somite organization, reduces 12-101 expression and perturbs fibronectin localization at the intersomitic boundary.
???displayArticle.pubmedLink???
19027850
???displayArticle.pmcLink???PMC2754070 ???displayArticle.link???Mech Dev ???displayArticle.grants???[+]
Fig. 2. ADAM19 mRNA distribution. Whole mount in situ hybridization using a probe corresponding to Xenopus ADAM19. (A) Lateral view of a bisected gastrula with the dorsal side to the left and the animal pole at the top (ap). (B and G) Dorsal views of early tailbud stage embryos with the anterior at the top. (CâE, I) Lateral views of tailbud stage embryos with anterior to the left. (F) Ventral view of an early tailbud stage embryo. Photographs in (A, F and I) were taken with embryos in PBS to visualize superficial rather than internal staining. All other embryos were imaged in Murrayâs clear. (A) ADAM19 is first expressed in the dorsal mesoderm of the gastrula, with the most intense signal in the dorsal blastopore lip (dbl). (B, FâH) At early tailbud stage, ADAM19 is found in the dorsal mesoderm including the notochord (n), somites (s), the cement gland (cg) and the neural tube (nt). (C, D and I) ADAM19 expression in these tissues persists during tailbud formation. In the anterior, ADAM19 is expressed in the brain (br), the otic (ot) and optic (o) vesicles as well as CNC segments and branchial arches (ba). (E) At stage 36, the expression in the pronephros (p) is also detected.
Fig. 6. ADAM19 is critical for neural crest induction. (A) In situ hybridization of neurula (stage 15) embryos using Slug and Sox8 to detect neural crest cells. The injected side is to the left. Embryos injected with MO19 present a decrease expression of both neural crest markers (red arrowhead). (B) Real-time PCR analysis at stage 15. Level of gene expression was measured by the 2(-δCT) method and normalized to α-tubulin. Results are presented as the Log2 of the fold change compared to non injected embryos. Variation of Sox2, Sox8 and Slug are all significant (P < 0.01) in embryos injected with MO19 when compared to the control MO. C) lateral view of tailbud stage embryos (stage 24) visualizing GFP. Embryos were injected at the 16-cell stage in a dorso-lateral-animal blastomere to target neural crest cells. In the control, GFP is found in all CNC segments (white arrows). This is absent in 33% of the embryos injected with MO19.
Fig. 7. Phenotypical analysis of ADAM19 KD at tailbud stage. (A) Whole-mount in situ hybridization of tailbud stage embryos (stages 22â24). Embryos were injected in one blastomere of the two-cell stage with 10 ng of MO19 or CMO. mRNA encoding β-galactosidase (β-Gal) was co-injected as a tracer. The embryos were processed by whole mount in situ hybridization with the markers myosin light chain (MLC), N-tubulin, NRP1, Sox2 and ADAM11. The injected side, as detected by β-Gal activity (light blue), is on the left side for all embryos. The percentages of embryos displaying these phenotypes are indicated and represent the average of three independent experiments. The black arrowheads point to the area of decreased gene expression. For Twist the embryo heads are presented as a side view. The injected side of each embryo is to the left. Decrease in twist expression is visible (arrowhead) in embryos injected with MO19. (B) Quantitative real-time PCR was performed on embryos injected at the one-cell stage with either the MO19 alone or with the ADAM19 rescue mRNA (MO19 + A19R) and allowed to develop until neurula (stage 17) and tailbud stage (stage 24). Alternatively, the MO19 was injected in 2 dorsal-animal blastomeres at the 8-cell stage (MO19 Ectoderm) to target dorsal ectoderm but not mesoderm derivatives. All genes were compared to non-injected control embryos. The relative abundance of MLC, N-tubulin, Sox2 and ADAM11 gene expression was measured by the 2(-δCT) method and normalized to α-tubulin. Results are presented as the log 2 of the fold change. Error bar correspond to the standard error. Asterisks represent a P < 0.05 using a standard t test assuming unequal variance.
Fig. 5. Phenotypical analysis of ADAM19 KD at the gastrula stage. (A) Embryos were microinjected with 10 ng of either the MO19 or a control MO at the one-cell stage and allowed to develop until gastrula stage (stages 12 and 13). Whole mount in situ hybridization were performed using the markers Brachyury, Sox2 (XbraSox2, stage 12) and Chordin and Goosecoid (Chd and Gsc, stage 13). For all embryos, the dorsal view is presented with the anterior up. The red arrowheads point to the notochord. The number of embryos and the frequency of the phenotype depicted in the photographs are indicated in the text. (B) Quantitative real-time PCR was performed on embryos injected with either MO19 alone or together with ADAM19 Rescue mRNA (MO19 + A19R). The relative abundance of Chordin (Chd), Goosecoid (Gsc) and Brachyury (XBra) gene expression was measured by the 2(-) method using either embryos injected with the control MO or non-injected and normalized to α-tubulin. There was no effect of the control MO to gene expression. The asterisks represent statistical significance at P < 0.05 using a Student t test. There is a small decrease in Xbra (16%, not significant) and a robust increase in both Chd (187%) and Gsc (230%) which are rescued by the injection of the ADAM19 mRNA.
ADAM metallopeptidase domain 19 (Adam19) gene expression in Xenopus laevis embryo, assayed via in situ hybridization, NF stage 35-36, lateral view, anteriorleft, dorsal up.
Fig. 1. ADAM19 expression. Quantitative real-time PCR expression of ADAM19 during early Xenopus development. Polyadenylated RNA from 2.5 embryos was used to make cDNA. PCR amplification was performed on a light cycler for 40 cycles. (A) The amplification product from both the control (âRT) and the experimental (+RT) were separated on a 2% agarose gel. (B) The relative abundance of the ADAM19 mRNA was measured by the 2(-δCT) method using stage 10 as a value of 1. Values are not adjusted to a control gene but to identical number of embryos. The CT values for each reaction are given below the graph. No CT values were obtained for the âRT control of each stage. ADAM19 mRNA is present as a maternal transcript at stage 2. Zygotic transcription starts during gastrulation and increases during neurulation (stage 16) continuing into early tailbud stage (stage 21).
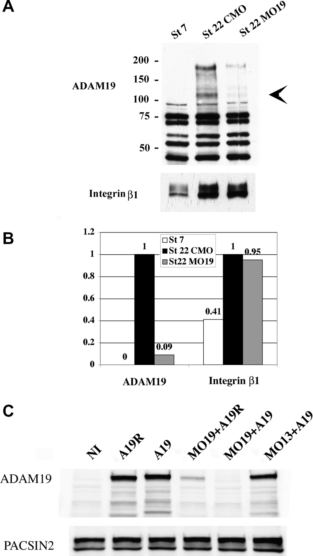
Fig. 3. Morpholino oligonucleotide knock-down of ADAM19. Western blot of protein extract from embryos injected with a control morpholino or a morpholino to either ADAM13 (MO13) or ADAM19 (MO19). The morpholinos (10 ng) were injected at the 1 cell-stage and embryos were extracted at stage 22. (A) Glycoproteins from 4 embryos equivalent were purified on Concanavalin Aâagarose, separated by SDSâPAGE and probed with a rabbit polyclonal antibody to the ADAM19 cytoplasmic domain (ADAM19 cyt). A monoclonal antibody to integrin β1 (8C8) was used as a loading control. (B) The densitometric analysis of the blot shown in (A) shows that the ADAM19 protein is reduced by approximately 90% by the MO19 when normalized to the integrin β1 expression level. (C) The MO19 is capable of preventing translation of 1 ng of ADAM19 mRNA when co-injected in embryos (A19) but not a messenger with 4 mutations in the sequence corresponding to the MO19 (A19R). The ADAM13 morpholino does not affect ADAM19 translation.
Fig. 4. ADAM19 is not required for blastopore closure. Time-lapse imaging of gastrula stage embryos injected with either a control MO (CMO) or the MO19. Embryos were microinjected with 10 ng of MO at the one-cell stage and allowed to develop through the end of gastrulation. The blastopore size in micrometers was measured using the OpenLab software at three different time points during gastrulation. The values represent the average of three different experiments using 8 embryos each for the control and the experimental. Error bars correspond to standard deviation from the mean. Representative images are shown below the histogram.
Fig. 8. ADAM19 is essential for somite organization and muscle differentiation. Histological and molecular analysis of embryos with reduced ADAM19 protein. (AâF) Frozen sections of tailbud stage embryos. (AâD) Immunofluorescence using the affinity purified rabbit pAb to the ADAM19 cytoplasmic domain. (A) Frontal section, anterior is to the left. The ADAM19 protein is localized to the intersomitic boundary (arrowhead), the notochord (n), the neural tube (nt) and in the branchial arches (ba). (B) Transverse section. ADAM19 is in red, the muscle marker 12â101 in green and the nuclei (DAPI) in blue. ADAM19 staining appears associated with the ventral basal side of the neural tube (arrowhead) and the notochord (n). (C) Magnification of the somite from a frontal section, ADAM19 is in red, the arrowhead points to the intersomitic boundary. (DâF) Frontal sections of tailbud stage embryos injected at the two-cell stage in one cell with 5 ng of MO19. The injected side is labeled (yellow dots) and was detected either by using the ADAM19 antibody (D and E) or GFP-myc (F) that was co-injected with the MO19. The injection of MO19 completely abolished staining of the intersomitic boundary by the ADAM19 antibody. While the intersomitic boundary is still visible, the nuclei are not aligned on the injected side (white line). (E) ADAM19 is in green (left), 12â101 in red (center) and the merge presented with DAPI staining (right). There is a clear reduction of 12â101 staining on the injected side (MO19). (F) The MO19 was co-injected with GFP-myc to detect the cells that were targeted using the 9E10 mAb. Positive cells are visible in the rightsomites and some of the cells that contribute to the notochord (n). Fibronectin was detected using a rabbit pAb (32F). Some of the FN staining is absent in part of the intersomitic boundary (arrowhead). (G) Western blot using 12â101 on total protein extract. Stage 7 extract is used as a negative control. At stage 22, MO19 injected embryos but none of the other injected embryos have less 12â101 protein. (H) Whole mount immunostaining using mAb 4H2 to detect fibronectin. The injected side was detected prior to fixation using GFP fluorescence. The side injected with the MO19 shows an abnormal pattern of FN staining at some of the intersomitic boundary (arrowhead).
Fig. 9. ADAM19 may interfere with EGF signaling. (A) Western blot using antibody to phosphorylated AKT, phosphorylated MAP kinase, and PACSIN2. Embryos were injected at the one-cell stage with either the control MO (CMO) or MO19. Total protein from 0.5 embryo equivalent were used for each blot. (B) Histogram representing the quantification of the Western blot from three independent injection experiments. All measures were normalized to PACSIN2. Variations in pMAPK were not significant while the decrease in pAKT was significant. (C) Real-time PCR analysis of Slug expression. Embryos were treated with 10 μM of Marimastat (Mar), 100 μM of AG1478 or DMSO (1/1000) as a control, between stages 10 and 12, based on the blastopore size (none of the treatment affected gastrulation timing in these conditions). Marimastat decreased Slug expression by an average of 34% while AG1478 decrease Slug by 60%.
ADAM metallopeptidase domain 19 (Adam19) gene expression in Xenopus laevis embryo, assayed via in situ hybridization, NF stage 24, lateral view, anteriorleft, dorsal up.
Alfandari,
ADAM 13: a novel ADAM expressed in somitic mesoderm and neural crest cells during Xenopus laevis development.
1997, Pubmed,
Xenbase
Alfandari,
ADAM 13: a novel ADAM expressed in somitic mesoderm and neural crest cells during Xenopus laevis development.
1997,
Pubmed
,
Xenbase
Atfi,
The disintegrin and metalloproteinase ADAM12 contributes to TGF-beta signaling through interaction with the type II receptor.
2007,
Pubmed
Blobel,
ADAMs: key components in EGFR signalling and development.
2005,
Pubmed
Boucher,
goosecoid expression represses Brachyury in embryonic stem cells and affects craniofacial development in chimeric mice.
2000,
Pubmed
,
Xenbase
Britsch,
The ErbB2 and ErbB3 receptors and their ligand, neuregulin-1, are essential for development of the sympathetic nervous system.
1998,
Pubmed
Cai,
Neural crest-specific and general expression of distinct metalloprotease-disintegrins in early Xenopus laevis development.
1998,
Pubmed
,
Xenbase
Cameron,
beta -Neuregulin-1 is required for the in vivo development of functional Ca2+-activated K+ channels in parasympathetic neurons.
2001,
Pubmed
Chen,
Paraxial protocadherin mediates cell sorting and tissue morphogenesis by regulating C-cadherin adhesion activity.
2006,
Pubmed
,
Xenbase
Cheng,
EGF-CFC proteins are essential coreceptors for the TGF-beta signals Vg1 and GDF1.
2003,
Pubmed
,
Xenbase
Chesneau,
Catalytic properties of ADAM19.
2003,
Pubmed
Chomczynski,
Single-step method of RNA isolation by acid guanidinium thiocyanate-phenol-chloroform extraction.
1987,
Pubmed
Chung,
Neuregulin induces the expression of mesodermal genes in the ectoderm of Xenopus laevis.
1999,
Pubmed
,
Xenbase
Cousin,
PACSIN2 is a regulator of the metalloprotease/disintegrin ADAM13.
2000,
Pubmed
,
Xenbase
Dent,
A whole-mount immunocytochemical analysis of the expression of the intermediate filament protein vimentin in Xenopus.
1989,
Pubmed
,
Xenbase
Dorey,
A novel Cripto-related protein reveals an essential role for EGF-CFCs in Nodal signalling in Xenopus embryos.
2006,
Pubmed
,
Xenbase
Guan,
Eukaryotic proteins expressed in Escherichia coli: an improved thrombin cleavage and purification procedure of fusion proteins with glutathione S-transferase.
1991,
Pubmed
Harland,
In situ hybridization: an improved whole-mount method for Xenopus embryos.
1991,
Pubmed
,
Xenbase
Horiuchi,
Evaluation of the contributions of ADAMs 9, 12, 15, 17, and 19 to heart development and ectodomain shedding of neuregulins beta1 and beta2.
2005,
Pubmed
Huovila,
Shedding light on ADAM metalloproteinases.
2005,
Pubmed
Kawaguchi,
Different ADAMs have distinct influences on Kit ligand processing: phorbol-ester-stimulated ectodomain shedding of Kitl1 by ADAM17 is reduced by ADAM19.
2007,
Pubmed
Kim,
The protocadherin PAPC establishes segmental boundaries during somitogenesis in xenopus embryos.
2000,
Pubmed
,
Xenbase
Kim,
The role of paraxial protocadherin in selective adhesion and cell movements of the mesoderm during Xenopus gastrulation.
1998,
Pubmed
,
Xenbase
Komatsu,
Meltrin beta expressed in cardiac neural crest cells is required for ventricular septum formation of the heart.
2007,
Pubmed
Kurisaki,
Spatially- and temporally-restricted expression of meltrin alpha (ADAM12) and beta (ADAM19) in mouse embryo.
1998,
Pubmed
Kuroda,
Axial protocadherin is a mediator of prenotochord cell sorting in Xenopus.
2002,
Pubmed
,
Xenbase
Kurohara,
Essential roles of Meltrin beta (ADAM19) in heart development.
2004,
Pubmed
Latinkic,
Goosecoid and mix.1 repress Brachyury expression and are required for head formation in Xenopus.
1999,
Pubmed
,
Xenbase
Latinkić,
The Xenopus Brachyury promoter is activated by FGF and low concentrations of activin and suppressed by high concentrations of activin and by paired-type homeodomain proteins.
1997,
Pubmed
,
Xenbase
Livak,
Analysis of relative gene expression data using real-time quantitative PCR and the 2(-Delta Delta C(T)) Method.
2001,
Pubmed
Maretzky,
ADAM10 mediates E-cadherin shedding and regulates epithelial cell-cell adhesion, migration, and beta-catenin translocation.
2005,
Pubmed
Medina,
Xenopus paraxial protocadherin has signaling functions and is involved in tissue separation.
2004,
Pubmed
,
Xenbase
Moss,
Shedding of membrane proteins by ADAM family proteases.
2002,
Pubmed
Newport,
A major developmental transition in early Xenopus embryos: I. characterization and timing of cellular changes at the midblastula stage.
1982,
Pubmed
,
Xenbase
Nie,
Regulation of Xenopus gastrulation by ErbB signaling.
2007,
Pubmed
,
Xenbase
Nie,
PI3K and Erk MAPK mediate ErbB signaling in Xenopus gastrulation.
2007,
Pubmed
,
Xenbase
Nie,
Regulation of early Xenopus development by ErbB signaling.
2006,
Pubmed
,
Xenbase
Ninomiya,
Antero-posterior tissue polarity links mesoderm convergent extension to axial patterning.
2004,
Pubmed
,
Xenbase
Reiss,
ADAM10 cleavage of N-cadherin and regulation of cell-cell adhesion and beta-catenin nuclear signalling.
2005,
Pubmed
Reiss,
Regulated ADAM10-dependent ectodomain shedding of gamma-protocadherin C3 modulates cell-cell adhesion.
2006,
Pubmed
Shirakabe,
Roles of Meltrin beta /ADAM19 in the processing of neuregulin.
2001,
Pubmed
Turner,
Expression of achaete-scute homolog 3 in Xenopus embryos converts ectodermal cells to a neural fate.
1994,
Pubmed
,
Xenbase
Unterseher,
Paraxial protocadherin coordinates cell polarity during convergent extension via Rho A and JNK.
2004,
Pubmed
,
Xenbase
Wang,
Xenopus Paraxial Protocadherin regulates morphogenesis by antagonizing Sprouty.
2008,
Pubmed
,
Xenbase
Wolfsberg,
ADAM, a novel family of membrane proteins containing A Disintegrin And Metalloprotease domain: multipotential functions in cell-cell and cell-matrix interactions.
1995,
Pubmed
Yabe,
FRL-1, a member of the EGF-CFC family, is essential for neural differentiation in Xenopus early development.
2003,
Pubmed
,
Xenbase
Yang,
Cloning of cDNAs encoding xenopus neuregulin: expression in myotomal muscle during embryo development.
1998,
Pubmed
,
Xenbase
Yang,
A cysteine-rich form of Xenopus neuregulin induces the expression of acetylcholine receptors in cultured myotubes.
1999,
Pubmed
,
Xenbase
Zhou,
Essential role for ADAM19 in cardiovascular morphogenesis.
2004,
Pubmed