|
Figure 3. Coexpression of XTcf-3 and putative XTcf-3 target genes. In situ hybridization reveals synexpression of XTcf-3, HMGN1, HMGN2, HMGX and XCIRP throughout early embryonic development. (A) At neurula stages all five genes are co-expressed and demarcate the anterior border of the neural plate (arrowhead). The main expression of HMGX is found in more posterior neural tissue (arrow) adjacent to the XTcf-4 expression field. The coexpression persists during early embryogenesis and is found in tailbud stages in head structures, including brain, eye, otic vesicle and branchial arches. (B) During gastrulation, XTcf-3 and XCIRP are co-expressed at the dorsal blastopore lip (arrowhead upper panel). The higher magnification reveals that both genes are expressed in the involuting mesoderm (anterior most mesoderm is indicated by a red arrowhead). In the endoderm (black arrowhead) underlying the involuting mesoderm, neither XTcf-3 nor XCIRP are expressed. While XTcf-3 is predominantly localized in the mesoderm (black arrow), the highest expression of XCIRP is found in the ectoderm (red arrow). But still substantial amounts of XCIRP RNA are detected in the mesoderm (black arrow). In anterior transversal sections of stage 18 embryos (lower panel) mRNA of both, XTcf-3 and XCIRP, is located in the neuroectoderm (arrowhead). While XTcf-3 is additionally found in the paraxial mesoderm (arrow), the most prominent XCIRP staining apart from the neural plate is located in the epidermis. (C) A higher magnification of transversal sections shows that following XTcf-3 morpholino injection (Tcf3Mo) XCIRP is strongly reduced in the neural plate (arrow) at the injected side (marked with an asterisk).
|
|
Figure 4. XCIRP is a Tcf-subtype specific target gene. (A) Anterior view of in situ hybridization reveals that depletion of XTcf-3 by morpholino injection (Tcf3Mo), but not depletion of XTcf-4 (Tcf4Mo) or XLef-1 (LefMo1,2) results in an absence of XCIRP staining at the injected side (asterisk). (B) XCIRP expression in Tcf3Mo injected embryos can be restored by co-injection of XTcf-3 and XLef-1 mRNA. The asterisks mark the injected side. (C, D) The rescue of XCIRP expression by XTcf-3 is dose dependent and Tcf-subtype specific. In (C): the indicated amount of N-terminal myc tagged XTcf-3mRNA was co-injected with two picomoles of Tcf3Mo. In (D): 1000 pg of the indicated Lef/Tcf mRNA or 300 pg β-catenin mRNA were coinjected with two picomoles of Tcf3Mo. Given is the percentage of embryos showing reduced or absent XCIRP expression at the injected side. n: number of analyzed embryos.
|
|
Figure 5. Depletion of XTcf-3 and XCIRP results in a lateral expansion of sox2. (A) In situ hybridization revealed that both, XTcf-3 and XCIRP are required for proper neural development. The expression of sox2 was laterally expanded (arrow) at the injected side (asterisk). Two picomoles Tcf3Mo, eight picomoles Tcf4Mo or two picomoles CIRP-Mo or two picomoles LefMo1 + two picomoles LefMo2 were coinjected with 4 pg dextrane (to trace the injected side) and 1000 pg XTcf-3 mRNA or 200 pg XCIRP DNA into one blastomere of 2-cell stage embryos. (B) Quantification of the lateral expansion. 71,2% of the Tcf3Mo, 51,5% Tcf3Mo+XTcf-3, 36% Tcf3Mo+XTcf-3+XCIRP, 53% of the CIRP-Mo and 30% of the CIRP-Mo+CIRP and 0% of the Tcf4Mo and LefMo, injected embryos showed a lateral expansion of sox2. n: number of analyzed embryos. (C) The alignment of the XCIRP antisense morpholino oligonucleotide (CIRP-Mo) with XCIRP and XCIRP2 indicates that it is supposed to block both isoforms. The Western Blot demonstrates that the amount of endogenous XCIRP protein is reduced following CIRP-Mo injection. The reduction of XCIRP protein by blocking XTcf-3 translation (Tcf3Mo) can be restored by co-injection of XTcf-3 mRNA (Tcf3Mo + XTcf-3). Two picomoles CIRP-Mo, two picomoles Tcf3Mo and two picomoles Tcf3Mo + 1000 pg XTcf-3 mRNA were injected into both blastomeres of 2-cell stage embryos. RIPA lysates corresponding two 1/3 embryo where separated on a 15% SDS page and either stained with coomassie (CBB) as loading control or transferred to nitrocellulose and stained with anti-CIRP polyclonal antiserum (α-CIRP).(D) The anti-CIRP polyclonal antiserum (α-CIRP), originally directed against XCIRP2 [18] recognizes both, endogenous XCIRP/XCIRP2 (blue arrow) and overexpressed XCIRP (black arrow). Staining with the anti-myc antibody shows the overexpressed myc-tagged XCIRP (black arrow) and some faster migrating proteins, which correspond most likely to degradation products.
|
|
Figure 6. Depletion of XCIRP causes reduction of mRNA. (A) XCIRP is not necessary for convergent extension movements. Similar to dorsal animal zone explants of control embryos, more than 60 percent of the explants of CIRP-Mo injected embryos elongate. 0 and 1 indicate non-elongated explants, 2 indicate elongated and restricted explants and 2X elongated, but not constricted explants according to Schambony and Wedlich [27]. (B, C) Depletion of XCIRP results in a reduction of mRNA. Total RNA of stage 16 embryos was reverse transcribed either with oligo dT primer (mRNA) or random hexamer primer (total RNA) in the presence of 60 μCi P32 α-dCTP. (B) Shows an autoradiograph of a representative gel with a smear of labeled cDNA, the free radioactive nucleotides and the background. (C) The signals were quantified by setting the relation of mRNA/total RNA for the control as 1. Shown is the average and standard error for 3 independent experiments.
|
|
Additional File 4. Depletion of XTcf-3 and XCIRP results in a lateral shift of the neuroectodermal border. (A) Lateral expansion (arrows) of Meis3, (B) lateral shift (arrows) of eya1 expression following unilateral injection of two picomoles XTcf-3 morpholino (Tcf3Mo), XTcf-3 morpholino together with 1000 pg XTcf-3 mRNA (Tcf3Mo + XTcf-3) or two picomoles XCIRP-morpholino (CIRP-Mo: 5'-agtacagactgcttccttttgaga-3'). The asterisks mark the injected side. The quantification gives the percentage of embryos showing lateral expansion of Meis3 (A) or shift of eya1 (B). N gives the number of analyzed embryos. Probes for in situ hybridization are as described [3].
|
|
Additional File 3. Depletion of XTcf-3 has minor effects on the expression of HMG-box genes. Depletion of XTcf-3 by injection of two picomoles morpholino (Tcf3Mo): 5'-cgctgttgagctgaggcatgatgag-3' (directed against BC077764) into one blastomere of 2-cell stage embryos (the injected side is indicated by an asterisk) has only minor effects on the expression of HMGN1, HMGN2 and HMGX. While HMGN2 and HMGX are laterally expanded (arrow), HMGN1 remains unchanged. Probes for in situ hybridization are as described: HMGN1 and HMGN2 [1], HMGX [2].
|
|
Additional File 2. Expression of XCIRP during early embryogenesis. (A) Spatial expression of XCIRP during early development as revealed by in situ hybridization. The arrows indicate high expression of XCIRP in neural tissue. Arrowheads point to the expression in the branchial arches. The red arrow indicates staining of the pronephros. The open reading frame of XCIRP was amplified using the following primers: XCIRPstart: 5'-tcagaattcaatgtctgacgaaggaaaact-3' and XCIRPstop 5'-cttctcgagttactcgtgtgtagcatagctg-3' and sub-cloned into pGEMT for creating labeled antisense RNA. (B) Temporal expression of XCIRP and XCIRP2 as revealed by RT-PCR. H4 indicates the amplification of the house keeping gene histone 4, -RT the amplification of H4 in samples, which have not been reverse transcribed. The following primer pairs were used: histone 4: 5'-cgggataacattcagggtatcact-3' and 5'-atccatggcggtaa ctgtcttctt-3'; XCIRP: 5'-gctgatcaggcggggccacc-3' and 5'-gcacccaggctctgtcctgc-3'; XCIRP2: 5'-ccattcaggctgatcagg-3' and 5'-ctggagagagacgaacac-3'.
|
|
hmgb2 ( high mobility group box 2 ) gene expression in Xenopus laevis embryos, NF stage 28, as assayed by in situ hybridization, lateral view, anterior left, dorsal up.
|
|
tcf7L2 (transcription factor 7-like 2) gene expression in Xenopus laevis embryos, NF stage 28, as assayed by in situ hybridization, lateral view, anterior left, dorsal up.
|
|
tcf7L1 (transcription factor 7-like 1 (T-cell specific, HMG-box) ) gene expression in Xenopus laevis embryo, NF stage 28, as assayed by in situ hybridization, lateral view, anterior left, dorsal up.
|
|
hmgn2 (high mobility group nucleosomal binding domain 2) gene expression in Xenopus laevis embryo, NF stage 28, as assayed by in situ hybridization, lateral view, anterior left, dorsal up.
|
|
hmgn1(high mobility group nucleosomal binding domain 1) gene expression in Xenopus laevis embryo, NF stage 28, as assayed by in situ hybridization, lateral view, anterior left, dorsal up.
|
|
cirbp (cold inducible RNA binding protein ) gene expression in Xenopus laevis embryos, NF stage 28, as assayed by in situ hybridization, lateral view, anterior left, dorsal up
|
|
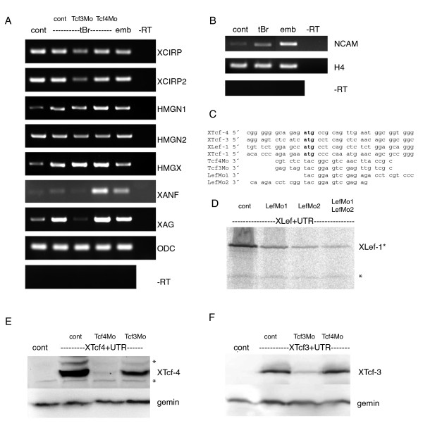
Figure 1. XCIRP is regulated by XTcf-3, but not by XTcf-4. (A) RT-PCR on sibling embryos (emb), animal cap explants of naive animal caps (cont), neuralized animal caps (tBr, cont) and neuralized animal caps coinjected with truncated BMP receptor (tBr) and the indicated morpholino (Tcf3Mo: XTcf-3 specific antisense morpholino oligonucleotide, Tcf4Mo: XTcf-4 specific antisense morpholino oligonucleotide) revealed that following XTcf-3 depletion, the expression of XCIRP and XCIRP2, as well as the cement gland specific marker gene XAG is robustly downregulated. The expression of HMGN1, HMGN2 and HMGX is not regulated in a Tcf-subtype specific manner. ODC shows the amplification of the house keeping gene ornithine decarboxylase, -RT is the control amplification of not reverse transcribed RNA. (B) RT-PCR on sibling embryos (emb), animal cap explants of naive animal caps (cont) and neuralized animal caps (tBr) demonstrate that the pan-neural marker gene NCAM is induced by injection of 100 pg mRNA encoding for truncated BMP receptor (tBr). H4 shows the amplification of the house keeping gene histone 4, -RT is the control amplification of not reverse transcribed RNA. (C) Sequence alignment of the Lef/Tcf specific antisense morpholino oligonucleotides together with the corresponding mRNAs, start codons of the Lef/Tcfs are indicated in bold. Tcf4Mo: XTcf-4 specific antisense morpholino oligonucleotides, Tcf3Mo: XTcf-3 specific antisense morpholino oligonucleotides, LefMo1 and LefMo2: XLef-1 specific antisense morpholino oligonucleotidess. (D-F) Specificity of the Lef/Tcf morpholinos towards their target mRNA, (D) reduction of in vitro translated S-35 labelled XLef-1 protein in the presence of the indicated morpholinos, The asterisk marks an unspecific band. (E) reduction of injected C-terminally myc-tagged XTcf-4 by coinjection of ten picomoles Tcf4Mo, but not two picomoles Tcf3Mo. The asterisks indicate unspecific staining. Gemin staining was used as loading control. (F) reduction of injected C-terminally myc-tagged XTcf-3 by coinjection of two picomoles Tcf3Mo, but not ten picomoles Tcf4Mo. Gemin staining was used as loading control.
|
|
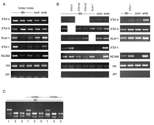
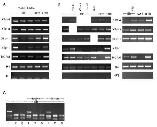
Figure 2. Regulation of Lef/Tcf expression by Lef/Tcfs in neuralized animal caps. (A) RT-PCR on sibling embryos (emb), animal cap explants of naive animal caps (cont), neuralized animal caps (tBr) and neuralized animal caps coinjected with truncated BMP receptor (tBr) and the indicated morpholino (Tcf3Mo: XTcf-3 specific antisense morpholino oligonucleotide, Tcf4Mo: XTcf-4 specific antisense morpholino oligonucleotide) revealed that the expression of XLef-1 and XTcf-1 (but not of XTcf-3 and XTcf-4) depends on the presence of XTcf-3 and XTcf-4. NCAM is the amplification of the pan-neural marker gene neural cell adhesion molecule, H4 the amplification of the house keeping gene histone 4, -RT the control amplification without reverse transcription. (B) Co-injection of 500 pg Lef/Tcf mRNA together with 100 pg tBr indicated complex cross-regulation of Lef/Tcf transcription factors in neuralized animal caps. NCAM is the amplification of the pan-neural marker gene neural cell adhesion molecule, H4 the amplification of the house keeping gene histone 4, -RT the control amplification without reverse transcription. (C) The pattern of XTcf-4 isoforms remained unchanged following XTcf-3 and XTcf-4 knockdown. Amplicons were digested with isoform-specific restriction enzymes (1: XbaI, 2: RsaI, 3: XbaI + RsaI) and analysed according to [27].
|
|
tcf7l2 (transcription factor 7-like 2) gene expression in Xenopus laevis embryo, assayed via in situ hybridization, NF stage 17, anterior view, dorsal up.
|