|
Figure 1. Urine flow and creatinine concentration in a kidney perfused at 5°C. Urine was collected from the left ureter. The perfusate initially contained 10 mg/dl creatinine, and the urine had a similar concentration. The perfusate was switched to a creatinine-free solution at t = 2 min and back to creatinine-containing solution at t = 32 min.
|
|
Figure 2. Absence of biotin labeling of intracellular membrane proteins. Kidneys were perfused with or without biotin. Lanes were loaded with 15 μg of total membrane protein or 20 μl of eluate from the neutravidin beads. Duplicate adjacent lanes represent separate material from each of two animals for each condition. The upper blot was stained with anti-golgin; the full length protein corresponds to the doublet of high apparent molecular mass. No staining of the eluates could be detected either with or without biotin. The lower blot was stained with anti-calnexin, which gave a very strong signal with the total membrane pool. Similar staining was observed with the eluates from kidneys perfused with or without biotin, indicating the absence of biotinylation of this protein. In these and subsequent blots, numbers to the right correspond to the positions of molecular mass standards in kD.
|
|
Figure 3. Biotinylation of plasma membrane proteins. Kidneys were perfused with or without biotin. Lanes were loaded with 45 μg of total membrane protein or 25 μl of eluate from the neutravidin beads. Top: Na/Cl cotransporter (NCC). In total membranes, the antibody reacted with proteins of apparent molecular masses of ∼130 and ∼260 kD, presumably reflecting monomeric and dimeric forms of the transporter. The material in the biotinylated eluate was mostly at the higher molecular mass. No staining was observed in the nonbiotinylated eluate. Middle: Na/K/2Cl cotransporter (NKCC2). Three bands were observed, with the major ones at ∼140 and ∼280 kD, again presumably reflecting monomeric and dimeric forms of the transporter. The sharper band at ∼110 kD may represent the nonglycosylated form of the protein. The eluate of the biotinylated kidneys contained primarily the 280-kD form. No staining could be detected in the eluate from the nonbiotinylated kidneys. Bottom: Na/H exchanger (NHE3). The total membrane fraction contained a predominant band at ∼80 kD. The eluate from the biotinylated kidneys also contained this presumably full-length form of the protein, and also had a species at ∼160 kD that may represent a dimer. No staining could be detected in the eluate from the nonbiotinylated kidneys. (Panel has been rearranged so that the lanes correspond to those of the top two panels.)
|
|
Figure 4. Biotinylation of αENaC in kidneys and oocytes. Top: kidneys from rats on a low-Na diet were perfused with or without biotin. Lanes were loaded with 40 μg of total membrane protein or 25 μl of eluate from the neutravidin beads. Total membranes from whole kidney had three stained bands at ∼90, ∼65, and ∼30 kD. Only the 30-kD band was observed in eluates from neutravidin beads, but staining was similar in biotinylated and nonbiotinylated kidneys, indicating nonspecific binding to neutravidin beads. Bottom: The major peptide in ENaC-expressing oocytes is the full-length 90-kD form. Faint staining of material at this molecular mass was observed in the eluate of biotinylated but not of nonbiotinylated oocytes, showing that the protein can react with the biotin reagent. Similar results were obtained with three independent batches of oocytes. The 30-kD peptide could not be resolved due to nonspecific staining of an unidentified protein (not depicted).
|
|
Figure 5. Biotinylation of βENaC. Kidneys from rats on a low-Na diet were perfused with or without biotin. Lanes were loaded with 40 μg of total membrane protein or 20 μl of eluate from the neutravidin beads. Total membranes from whole kidney had a predominant stained band at ∼90 kD. Fainter staining at the same molecular mass was observed in eluates from biotinylated kidneys. No staining was detected in eluates from nonbiotinylated kidneys.
|
|
Figure 6. Biotinylation of γENaC. Kidneys from rats on a low-Na diet were perfused with or without biotin. Lanes were loaded with 40 μg of total membrane protein or 20 μl of eluate from the neutravidin beads. Total membranes from whole kidney had two predominant stained bands at ∼85 and ∼65 kD. Staining of the lower but not the higher molecular mass band was observed in eluates from biotinylated kidneys. No staining was detected in eluates from nonbiotinylated kidneys.
|
|
Figure 7. Effects of trypsin on Na+ channel activity. Current–voltage relationships were generated under voltage-clamp conditions at 30-s intervals. Trypsin (3 μg/ml) was added to the bath at t = 0. Currents at −100 mV were corrected for leak current measured in the presence of 10 μM amiloride and normalized to values at t = 0. (A) Xenopus oocytes. Oocytes expressing rat αβγENaC were preincubated in low-Na solution and superfused with 110 mM Na solution. Currents were measured by two-electrode voltage clamp. Data represent means ± SEM for five oocytes. (B) Rat CCD. Whole-cell currents were measured in principal cells from the CCDs of rats maintained on a low-Na diet for 1 wk. Currents for trypsin treated (filled squares) and time controls (open squares) are plotted. Data represent means ± SEM for 13–14 cells.
|
|
Figure 8. Effect of low-Na diet on αENaC expression in the homogenate and in the intermediate 17,000 g membrane pellet of the kidney enriched in surface membranes. Each lane represents 60 μg protein from an individual animal. The expression of the 30-kD fragment was consistently increased by Na depletion, particularly in the intermediate pellet.
|
|
Figure 9. Effect of low-Na diet on βENaC expression in total membranes and in biotin-neutravidin eluates. Each lane was loaded with 75 μg total membrane protein or 25 μl eluate. The expression of the major 90-kD peptide was consistently increased by Na depletion. The staining of more slowly migrating protein, presumably corresponding to glycosylated peptides, was also enhanced.
|
|
Figure 10. Effects of low-Na diet on γENaC expression in total membranes and in biotin-neutravidin eluates. Each lane was loaded with 75 μg total membrane protein or 25 μl eluate. The staining of low molecular mass peptide was increased, while that of the higher molecular mass peptide was decreased by Na depletion.
|
|
Figure 11. Effect of trypsin on Na-channel activity in CCD from Na-replete rats. (A) Whole-cell current–voltage relationships of a principal cell from a CCD from a rat maintained on control chow. The tubule was superfused with solution containing 3 μg/ml trypsin. Currents were obtained in the absence (open squares) and presence (open circles) of amiloride. Filled squares represent the amiloride-sensitive current (INa). (B) INa measured at −100 mV in the presence and absence of trypsin. Data represent means ± SEM for 14 and 13 cells, respectively.
|
|
Figure 12. Effects of aldosterone infusion on β and γENaC expression in total membranes and in biotin-neutravidin eluates. Each lane was loaded with 45 μg total membrane protein or 20 μl eluate. Top: staining of the major band of βENaC was slightly decreased in the total membranes but increased in the surface pool of aldosterone-treated animals. Bottom: staining of the lower molecular mass form of γENaC was increased in both the total membranes and in the surface pool.
|
|
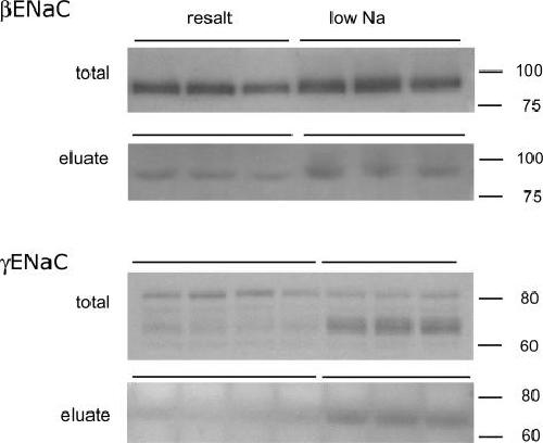
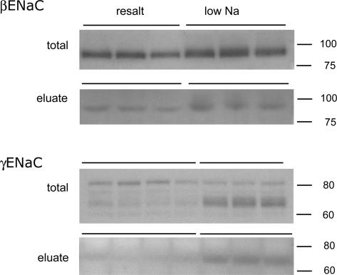
Figure 13. Effect of acute salt repletion on β and γENaC expression in total membranes and in biotin-neutravidin eluates. Each lane was loaded with 40 μg total membrane protein or 20 μl eluate. Staining of the major band of βENaC (top) and the low-molecular mass peptide of γENaC (bottom) were decreased after 5 h salt repletion.
|
|
Figure 14. Summary of effects of low Na diet, aldosterone infusion, and acute Na repletion on surface expression of ENaC. Data are plotted as ratios of densities for two conditions and represent means ± SEM for four to eight measurements under each pair of conditions. The αENaC subunit was not analyzed for the aldosterone vs. control conditions. All ratios were significantly different from one (P < 0.05).
|