Click here to close
Hello! We notice that you are using Internet Explorer, which is not supported by Xenbase and may cause the site to display incorrectly.
We suggest using a current version of Chrome,
FireFox, or Safari.
PLoS One
2008 Jun 18;36:e2471. doi: 10.1371/journal.pone.0002471.
Show Gene links
Show Anatomy links
Binding of sFRP-3 to EGF in the extra-cellular space affects proliferation, differentiation and morphogenetic events regulated by the two molecules.
Scardigli R
,
Gargioli C
,
Tosoni D
,
Borello U
,
Sampaolesi M
,
Sciorati C
,
Cannata S
,
Clementi E
,
Brunelli S
,
Cossu G
.
???displayArticle.abstract???
BACKGROUND: sFRP-3 is a soluble antagonist of Wnts, widely expressed in developing embryos. The Wnt gene family comprises cysteine-rich secreted ligands that regulate cell proliferation, differentiation, organogenesis and oncogenesis of different organisms ranging from worms to mammals. In the canonical signal transduction pathway Wnt proteins bind to the extracellular domain of Frizzled receptors and consequently recruit Dishevelled (Dsh) to the cell membrane. In addition to Wnt membrane receptors belonging to the Frizzled family, several other molecules have been described which share homology in the CRD domain and lack the putative trans-membrane domain, such as sFRP molecules (soluble Frizzled Related Protein). Among them, sFRP-3 was originally isolated from bovine articular cartilage and also as a component of the Spemann organizer. sFRP-3 blocks Wnt-8 induced axis duplication in Xenopus embryos and binds to the surface of cells expressing a membrane-anchored form of Wnt-1. Injection of sFRP-3 mRNA blocks expression of XMyoD mRNA and leads to embryos with enlarged heads and shortened trunks.
METHODOLOGY/PRINCIPAL FINDINGS: Here we report that sFRP-3 specifically blocks EGF-induced fibroblast proliferation and foci formation. Over-expression of sFRP-3 reverts EGF-mediated inhibition of hair follicle development in the mouse ectoderm while its ablation in Xenopus maintains EGF-mediated inhibition of ectoderm differentiation. Conversely, over-expression of EGF reverts the inhibition of somitic myogenesis and axis truncation in Xenopus and mouse embryos caused by sFRP-3. In vitro experiments demonstrated a direct binding of EGF to sFRP-3 both on heparin and on the surface of CHO cells where the molecule had been membrane anchored.
CONCLUSIONS/SIGNIFICANCE: sFRP-3 and EGF reciprocally inhibit their effects on cell proliferation, differentiation and morphogenesis and indeed are expressed in contiguous domains of the embryo, suggesting that in addition to their canonical ligands (Wnt and EGF receptor, respectively) these molecules bind to each other and regulate their activities during embryogenesis.
???displayArticle.pubmedLink???
18560570
???displayArticle.pmcLink???PMC2424011 ???displayArticle.link???PLoS One
Figure 1. sFRP-3 modifies cytoskeleton and reduces proliferation of C3H10T1/2 fibroblast.Morphology of C3H10T1/2 cells infected with vectors expressing puro cDNA (A), sFRP-3 cDNA (C), Wnt-1 cDNA (E). When stained for F-actin with falloidin (see Materials and Methods) both control cells (B) and Wnt-1 expressing cells (F) showed well organize stress fibers, whereas sFRP-3 expressing cells (D) showed membrane ruffles, filopodia and disorganized actin fibers. (G) Growth curves for control, Wnt-1 and sFRP-3 expressing cells. Cells were plated at an initial density of 2×104 cells/60 mm dish in DMEM 5% FCS and re-fed on day 2 and 4. Cell numbers were measured by detaching cells with trypsin and counting triplicate samples for each point. (H) C3H10T1/2 cells stably transfected with sFRP-3, Wnt1 expression vector or empty vector as control (C), maintained in DMEM 10% FCS, were starved in DMEM serum free medium. After 24 serum was added again to the medium and cells analyzed for their DNA content by flow cytometry after Propidium Iodide, staining after 0, 18 and 20 h. Representative plots are shown in the upper panel for the three cell lines at t0 (upper plots) and t18 (lower plots).
Figure 2. sFRP-3 inhibits proliferation induced by EGF.(A–D) Effect of growth factors on sFRP-3 expressing C3H10T1/2 cells. Growth curves of C3H10T1/2 cells (A) and sFRP-3 expressing C3H10T1/2 (B) cultivated in 2% horse serum (HS)±specific growth factors. Cells grown in 20% FCS or 2% HS alone represented positive and negative control respectively. At the time points indicated, cells were fixed and stained with 0.1% crystal violet solution as described in the Materials and Methods. Dose-dependent effect of EGF on control (C) and sFRP-3 expressing C3H10T1/2 cells (D).
Figure 3. sFRP-3 inhibits proliferation EGF-dependent foci formation.(A–D) sFRP-3 inhibits the EGF-induced colony formation and focal transformation of EGF-receptor over-expressing NIH 3T3 cells. EGF-dependent cell growth in soft agar. NIH3T3 clone 17 cells suspended in agar containing normal medium and treated with either 100 ng/ml (A) or 50 ng/ml (B) of EGF formed clearly visible colonies. The effect of EGF was inhibited in cells suspended in agar containing a 1∶1 mixture of normal medium and sFRP-3-containing medium (CM) (C) or the sFRP-3-CM alone (D). Photographs were taken after 20 days of growth at 2× magnification. Insert in D shows a 20× magnification of one colony; insert in H shows the results obtained by counting the colonies in 3 independent, reproducible experiments±SE. Error bars represent s.e.m. Triple asterisks, P<0.001 vs EGF. (E–H) EGF-dependent focal transformation. NIH3T3 clone 17 cells cultured for 10 days in normal medium containing 100 ng/ml EGF (E) or 50 ng/ml EGF (F) formed foci. This focal transformation was inhibited incubating the cells in a 1∶1 mixture of normal medium and sFRP-3-CM (G) or the sFRP-3-CM alone (H). Photographs were taken after 10 days of growth at 10× magnification. Insert in H shows the results obtained by counting foci in 3 independent, reproducible experiments±SE. Error bars represent s.e.m. Triple asterisks, P<0.001 vs EGF.
Figure 4. sFRP-3 inhibits the EGF-induced [Ca2+]i variations in EGFR-T17 cells.Fura-2 loaded cells, suspended in KRH medium, were incubated with medium conditioned (CM) either by sFRP-3-expressing or not expressing cells, and challenged with increasing concentrations of EGF (A), or submaximal concentrations of FGF (10 nM), PDGF (1 nM), UTP (10 µM), thapsigargin (Tg, 10 nM) or iomomycin (Iono, 1 µM) as indicated (B). Shown are the [Ca2+]i changes±s.e.m. measured as % increases over resting [Ca2+]i values (n = 4). These were 136±12 nM and were not changed by the addition of sFRP-3 CM or control CM.
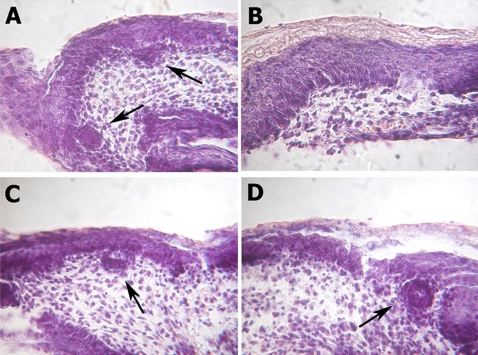
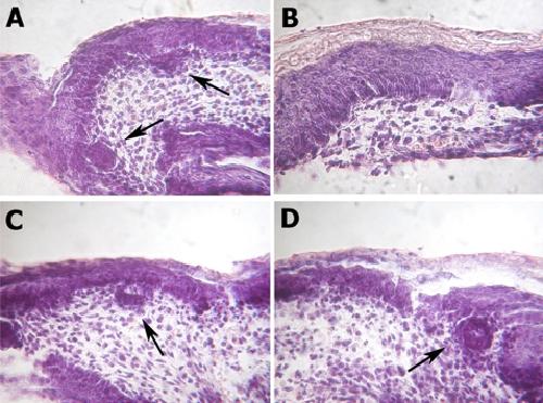
Figure 5. sFPR-3 and EGF reciprocal antagonism on hair follicle development.(A–D) sFPR-3 antagonizes the EGF effect rescuing the hair follicle formation in an organ culture of developing mouse skin. Ectoderm explants growth for 48 hours in control medium (A) or in control medium supplied with 7 µg/ml sFRP-3-HA (C), showing normal hair follicles differentiation (black arrows). (B) Ectoderm explants growth in organ culture in medium supplied with 100 ng/ml recombinant EGF for 48 hours, lacking hair follicle differentiation. (D) The co-treatment with EGF and sFPR-3 rescue the hair follicle formation (black arrow).
Figure 6. EGF specifically antagonizes sFPR-3 effects in Xenopus embryos.(A) Lateral view of a normal embryo at stage 28/29 NF un-injected. (B) Embryo injected with 4 ng of mouse sFPR-3 mRNA at stage 28/29 NF, showing a remarkable shortened of the trunk and the tail and a reduced muscle differentiation. (C) Rescue of the shortened phenotype by co-injection of 4 ng of sFPR-3 and 8 ng of EGF mouse mRNAs. (DâI) Whole mount immunostaining with 12â101 specific amphibians muscle monoclonal antibody, peroxidase detected. (D) Normal embryo un-injected at stage 35/36 NF, showing black labeling in the trunk and tail muscles and in the parietal muscle (black arrow). (E) Injected embryo with mouse sFPR-3 mRNA at stage 35/36, presenting a shortened trunk and a kinky tail; furthermore the parietal muscles (black arrow) are remarkably reduced. (F) Rescue of the shortened kinky phenotype, showing completely restored muscle differentiation also in the parietal muscle (red arrow). (GâI) High power magnification respectively of DâF, showing in detail the chevron like organization of the tail muscles of un-injected normal larvae (G), missing in the sFRP-3 treated tadpoletail (H) and restored in the co-injected larvae with EGF mouse mRNA (I). (J) Lateral view of a co-injected embryo with 4 ng of sFRP-3 and 8 ng of FGF-8 mouse coding mRNAs, showing no rescue of the sFRP-3 phenotype. (K) Quantization of multiple injections (nâ=â3) showing the rate of the phenotype rescue by co-injection with 8 ng of EGF mouse mRNA after the injection of sFPR-3 (asterisk indicates statistical significance P<0.001).
Figure 7. EGF reverts sFRP-3-induced inhibition of somitic myogenesis.(A–D) EGF reverts sFRP-3-induced inhibition of somitic myogenesis in explant cultures. MyHC antibody staining on explants cultures of presomitic mesoderm from E9.5 Myf5a2 embryos in the presence of sFRP-3 and EGF proteins. Mesoderm differentiation, which is almost completely abolished in the presence of sFRP-3 protein (A), is partially to fully restored when increasing amount of EGF are added to the culture (B–D: 50, 100 and 200 ng/ml), as revealed by the increasing number of positive MyHC fibers. (E–M) EGF rescues inhibition of myogenesis induced by sFRP-3 in vivo. (F,G) Transplacental delivery of s-FRP3 causes severe malformations of the caudal region of injected embryos. (J–L) Normal embryo morphology is restored when sFRP-3 is co-injected together with EGF, but not with FGF (H; I). (E) Control not-injected embryo. (M) Quantification of injected embryos with their relative phenotype in 3 independent, reproducible experiments.
Figure 8. Wnts expression profile in C3H10T1/2 and embryonic explant cultures.Wnt genes expression in C3H10T1/2 fibroblast (panel A), somites (panel B) and embryonic skin (panel C). Histograms represent the relative expression level for each gene in control (red bars) and EGF-treated (blue bars) samples, as calculated with the 2ˆ (−Δ Ct) formula in comparison with the housekeeping genes Hsp90ab1, Gapdh and Actb (see Materials and Methods for details). (Panel D). EGF-modulated genes in C3H10T1/2 fibroblast, somites and embryonic skin. For genes description, see Table S2.
Figure 9. sFRP-3 binds EGF in vitro.(A) Co-IP of sFRP-3-HA and EGF. Supernatant from 293 cells transfected with control plasmid (lanes 1, 4) or purified sFRP-3-HA (lanes 2, 5, 6) were incubated with mouse recEGF (lanes 4, 6), DTSSP cross-linked and analysed under non-reducing conditions. Western blot analysis with anti-HA (lanes 1, 2) and anti-EGF antibodies (lanes 3–6) revealed the presence of EGF bound to sFRP-3-HA (lane 6), but not in the control sample (lane 4). Note that the shift in molecular weight of the band(s) corresponding to sFRP-HA (lane 2) is due to EGF binding (arrow and arrowhead in lane 6). Free mouse recEGF was used as positive control for the immunoblot (lane 3). (B) Dose-dependent binding of EGF to sFRP-3. In vitro binding of increasing amount of EGF (100 ng, 200 ng, 400 ng and 600 ng,) to sFRP-3-HA (100 ng), followed by DTSSP crosslinking and revealed by Western blot analysis with anti-HA. The amount of EGF/sFRP-3 complexes (lanes 1–4) correlates with the increasing amount of EGF. As control for binding specificity, 100 ng of sFRP-3-HA alone (lane 5, not detectable) were cross-linked and revealed as before. (C) In vitro binding of sFRP-3 to EGF-loaded heparin beads. Western blot analysis with anti-HA on proteins adsorbed on EGF-loaded (lanes 1–4), FGF8-loaded (lane 5) and control beads (lane 6), following incubation with increasing amount of sFRP-3-HA supernatant (5–50 µl). sFRP-3 binds specifically to EGF, in a dose dependent manner. (D) Binding affinity of EGF for sFRP-3. EGFAlexa488 fluorescent absorbance at emission peak (517 nm) decreases in relation of increasing amount of sFRP-3. (E) Competition assay. Absorbance scanning from emission value 505 nm to 540 nm of EGFAlexa488 (green curve). A decreasing of the emission peak (517 nm) is shown in relation to EGFAlexa488/sFRP-3 interaction (red curve). By adding native egf to EGFAlexa488 prior to the incubation with sFRP-3, the absorbance reduction of the emission peak was smaller (blue curve).
Figure 10. Membrane-anchored FRP-3 binds EGF at the cell surface.(A–C) Antibody staining for HA (in red, A,C) in CHO cells transfected with pCS2FRP3-HACD4 shows FRP-3 expression on the cell surface. Upon administration of EGFAlexa488, EGF expression (green) is detectable only on whole intact CHO cell expressing FRP-3, but not on control cells (C). Star in panel B shows non-specific EGF binding on necrotic cell. Double labelling for HA and GFP shows co-localization of FRP-3 and EGF at the cell surface (arrow in C). (D–I) Anti-EGF antibody staining (in red) on FRP-3GFP CHO cells transfected with pTWEENFRP3-HACD4. (D–F) Upon DTSSP cross-linking all CHO cells that express FRP-3CD4 (green staining in D) bind EGF at the membrane surface (red staining in E and merged colour in F). (G–I) 40× magnification of a single CHO cell that expressed FRP-3GFP (in green) and bind EGF (in red). Double labelling for GFP and anti-HA in panel I shows the two proteins interaction occurs at the membrane surface.
Assimacopoulos,
Identification of a Pax6-dependent epidermal growth factor family signaling source at the lateral edge of the embryonic cerebral cortex.
2003, Pubmed
Assimacopoulos,
Identification of a Pax6-dependent epidermal growth factor family signaling source at the lateral edge of the embryonic cerebral cortex.
2003,
Pubmed
Bafico,
Interaction of frizzled related protein (FRP) with Wnt ligands and the frizzled receptor suggests alternative mechanisms for FRP inhibition of Wnt signaling.
1999,
Pubmed
,
Xenbase
Ball,
Vascular endothelial growth factor can signal through platelet-derived growth factor receptors.
2007,
Pubmed
Berghella,
Reversible immortalization of human myogenic cells by site-specific excision of a retrovirally transferred oncogene.
1999,
Pubmed
Bhanot,
A new member of the frizzled family from Drosophila functions as a Wingless receptor.
1996,
Pubmed
Bonci,
'Advanced' generation lentiviruses as efficient vectors for cardiomyocyte gene transduction in vitro and in vivo.
2003,
Pubmed
Borello,
Differential expression of the Wnt putative receptors Frizzled during mouse somitogenesis.
1999,
Pubmed
,
Xenbase
Borello,
Transplacental delivery of the Wnt antagonist Frzb1 inhibits development of caudal paraxial mesoderm and skeletal myogenesis in mouse embryos.
1999,
Pubmed
Bradbury,
Alterations of the growth characteristics of the fibroblast cell line C3H 10T1/2 by members of the Wnt gene family.
1994,
Pubmed
Brunelli,
Bhlhb5 is expressed in the CNS and sensory organs during mouse embryonic development.
2003,
Pubmed
Cadigan,
Wnt signaling: a common theme in animal development.
1997,
Pubmed
,
Xenbase
Carmena,
Combinatorial signaling codes for the progressive determination of cell fates in the Drosophila embryonic mesoderm.
1998,
Pubmed
Chen,
Expression of Frizzleds and secreted frizzled-related proteins (Sfrps) during mammalian lens development.
2004,
Pubmed
Chung,
Effects of secreted frizzled-related protein 3 on osteoblasts in vitro.
2004,
Pubmed
Clementi,
Growth factor-induced Ca2+ responses are differentially modulated by nitric oxide via activation of a cyclic GMP-dependent pathway.
1995,
Pubmed
Cossu,
Activation of different myogenic pathways: myf-5 is induced by the neural tube and MyoD by the dorsal ectoderm in mouse paraxial mesoderm.
1996,
Pubmed
Crossley,
The mouse Fgf8 gene encodes a family of polypeptides and is expressed in regions that direct outgrowth and patterning in the developing embryo.
1995,
Pubmed
Dann,
Insights into Wnt binding and signalling from the structures of two Frizzled cysteine-rich domains.
2001,
Pubmed
,
Xenbase
Dierick,
Cellular mechanisms of wingless/Wnt signal transduction.
1999,
Pubmed
Enomoto-Iwamoto,
The Wnt antagonist Frzb-1 regulates chondrocyte maturation and long bone development during limb skeletogenesis.
2002,
Pubmed
Freeman,
EGF receptor/Rolled MAP kinase signalling protects cells against activated Armadillo in the Drosophila eye.
2001,
Pubmed
Gargioli,
Cell lineage tracing during Xenopus tail regeneration.
2004,
Pubmed
,
Xenbase
Graham,
Epidermal growth factor-mediated T-cell factor/lymphoid enhancer factor transcriptional activity is essential but not sufficient for cell cycle progression in nontransformed mammary epithelial cells.
2004,
Pubmed
Hasson,
EGFR signaling attenuates Groucho-dependent repression to antagonize Notch transcriptional output.
2005,
Pubmed
Hoang,
Primary structure and tissue distribution of FRZB, a novel protein related to Drosophila frizzled, suggest a role in skeletal morphogenesis.
1996,
Pubmed
Isaacs,
eFGF regulates Xbra expression during Xenopus gastrulation.
1994,
Pubmed
,
Xenbase
Kashiwagi,
Specific inhibition of hair follicle formation by epidermal growth factor in an organ culture of developing mouse skin.
1997,
Pubmed
Kim,
EGF receptor is involved in WNT3a-mediated proliferation and motility of NIH3T3 cells via ERK pathway activation.
2007,
Pubmed
Kintner,
Monoclonal antibodies identify blastemal cells derived from dedifferentiating limb regeneration.
,
Pubmed
,
Xenbase
Kopp,
Wingless, decapentaplegic and EGF receptor signaling pathways interact to specify dorso-ventral pattern in the adult abdomen of Drosophila.
1999,
Pubmed
Kueng,
Quantification of cells cultured on 96-well plates.
1989,
Pubmed
Kumar,
The EGF receptor and notch signaling pathways control the initiation of the morphogenetic furrow during Drosophila eye development.
2001,
Pubmed
LaFlamme,
Differential keratin gene expression during the differentiation of the cement gland of Xenopus laevis.
1990,
Pubmed
,
Xenbase
Lawrence,
Towards a model of the organisation of planar polarity and pattern in the Drosophila abdomen.
2002,
Pubmed
Leyns,
Frzb-1 is a secreted antagonist of Wnt signaling expressed in the Spemann organizer.
1997,
Pubmed
,
Xenbase
Lin,
The cysteine-rich frizzled domain of Frzb-1 is required and sufficient for modulation of Wnt signaling.
1997,
Pubmed
,
Xenbase
Nusse,
The Wnt gene family in tumorigenesis and in normal development.
1992,
Pubmed
O'Keefe,
Spitz and Wingless, emanating from distinct borders, cooperate to establish cell fate across the Engrailed domain in the Drosophila epidermis.
1997,
Pubmed
Pan,
The Wnt-1 proto-oncogene regulates MAP kinase activation by multiple growth factors in PC12 cells.
1995,
Pubmed
Payre,
ovo/svb integrates Wingless and DER pathways to control epidermis differentiation.
1999,
Pubmed
Pera,
A direct screen for secreted proteins in Xenopus embryos identifies distinct activities for the Wnt antagonists Crescent and Frzb-1.
2000,
Pubmed
,
Xenbase
Piccolo,
The head inducer Cerberus is a multifunctional antagonist of Nodal, BMP and Wnt signals.
1999,
Pubmed
,
Xenbase
Piccolo,
Dorsoventral patterning in Xenopus: inhibition of ventral signals by direct binding of chordin to BMP-4.
1996,
Pubmed
,
Xenbase
Puertollano,
Interactions of GGA3 with the ubiquitin sorting machinery.
2004,
Pubmed
Rattner,
A family of secreted proteins contains homology to the cysteine-rich ligand-binding domain of frizzled receptors.
1997,
Pubmed
Salvatori,
Myogenic conversion of mammalian fibroblasts induced by differentiating muscle cells.
1995,
Pubmed
Schroeder,
Cooperative induction of mammary tumorigenesis by TGFalpha and Wnts.
2000,
Pubmed
Sciorati,
Generation of nitric oxide by the inducible nitric oxide synthase protects gamma delta T cells from Mycobacterium tuberculosis-induced apoptosis.
1999,
Pubmed
Shi,
The tetraspanin CD9 associates with transmembrane TGF-alpha and regulates TGF-alpha-induced EGF receptor activation and cell proliferation.
2000,
Pubmed
Smolich,
Wnt family proteins are secreted and associated with the cell surface.
1993,
Pubmed
Tagliafico,
TGFbeta/BMP activate the smooth muscle/bone differentiation programs in mesoangioblasts.
2004,
Pubmed
Tajbakhsh,
Gene targeting the myf-5 locus with nlacZ reveals expression of this myogenic factor in mature skeletal muscle fibres as well as early embryonic muscle.
1996,
Pubmed
Tajbakhsh,
Differential activation of Myf5 and MyoD by different Wnts in explants of mouse paraxial mesoderm and the later activation of myogenesis in the absence of Myf5.
1998,
Pubmed
van de Water,
Ectopic Wnt signal determines the eyeless phenotype of zebrafish masterblind mutant.
2001,
Pubmed
Velu,
Epidermal-growth-factor-dependent transformation by a human EGF receptor proto-oncogene.
1987,
Pubmed
Velu,
Retroviruses expressing different levels of the normal epidermal growth factor receptor: biological properties and new bioassay.
1989,
Pubmed
Yang-Snyder,
A frizzled homolog functions in a vertebrate Wnt signaling pathway.
1996,
Pubmed
,
Xenbase