Click here to close
Hello! We notice that you are using Internet Explorer, which is not supported by Xenbase and may cause the site to display incorrectly.
We suggest using a current version of Chrome,
FireFox, or Safari.
???displayArticle.abstract??? Tail regeneration in urodeles is dependent on the spinal cord (SC), but it is believed that anuran larvae regenerate normal tails without the SC. To evaluate the precise role of the SC in anuran tail regeneration, we developed a simple operation method to ablate the SC completely and minimize the damage to the tadpole using Xenopus laevis. The SC-ablated tadpole regenerated a twisted and smaller tail. These morphological abnormalities were attributed to defects in the notochord (NC), as the regenerated NC in the SC-ablated tail was short, slim and twisted. The SC ablation never affected the early steps of the regeneration, including closure of the amputated surface with epidermis and accumulation of the NC precursor cells. The proliferation rate of the NC precursor cells, however, was reduced, and NC cell maturation was retarded in the SC-ablated tail. These results show that the SC has an essential role in the normal tail regeneration of Xenopus larvae, especially in the proliferation and differentiation of the NC cells. Gene expression analysis and implantation of a bead soaked with growth factor showed that fibroblast growth factor-2 and -10 were involved in the signaling molecules, which were expressed in the SC and stimulated growth of the NC cells.
Fig. 1. Ablation of the spinal
cord (SC) in the amputated tail.
(A) Schematic diagram of surgery.
The red line shows the SC. The
SC-ablated and control tails were
whole-mount stained with a monoclonal
antibody against N-CAM
(B, C), or sectioned transversally
and stained with hematoxylin
and eosin (D, E). The inset in (D)
shows a section of the removed
spinal cord. The arrow in (C)
indicates the signal for the SC.
The asterisk in (D) shows the
meningeal cavity where the SC
was located before the surgery.
The arrowheads indicate sensory
ganglion cells. NC, notochord.
Fig. 2. Regeneration of the spinal
cord (SC)-ablated tail. Regenerations
of the SC-ablated tail and
control tail were compared under
a stereoscopic microscope (A, B)
and Nomarski differential interference
contrast (DIC) optics (C,
D). A pair of arrowheads marks
the amputation plane. The white
dashed line in (C, D) marks the
shape of the notochord (NC).
Days after the operation are indicated
in each panel. The length
and diameter of the regenerated
NC were quantified (E, F). The data
points represent the average
length. The error bars are standard
deviations. The diameter was
measured at the midpoint of the
regenerated NC.
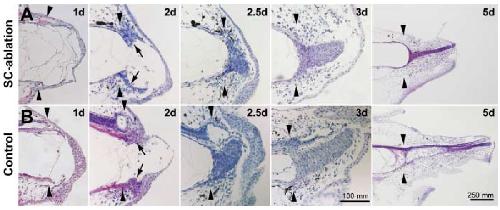
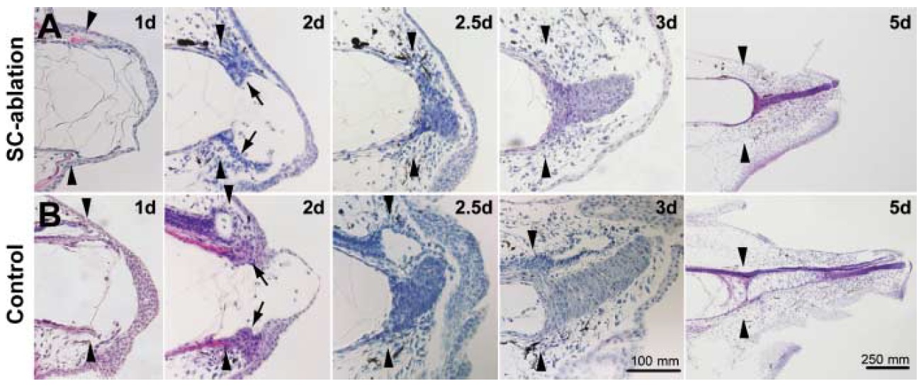
Fig. 3. Histological analysis of regeneration in the spinal cord (SC)-ablated tail. The SC-ablated (A) and control (B) tails were
sagittally sectioned and stained with hematoxylin and eosin. The notochord precursor cells accumulated at the edge of the notochord
sheath (2 d, arrow), formed a compact cell mass (2.5 d), aligned along the proximo-distal axis (3 d), elongated and finally vacuolated
(5 d). The SC ablation resulted in a reduced size of the compact cell mass (2.5 d, 3 d) and delayed vacuolation (5 d). A pair of
arrowheads marks the amputation plane. Days after the operation are indicated in each panel. The magnification is the same in all
images except for the image taken at 5 days.
Fig. 4. Proliferation of the notochord
(NC) cells in the spinal
cord (SC)-ablated tail. Proliferative
cells in the SC-ablated (AâC) and
control (DâF) tails were detected
by BrdU labeling (magenta; B, E)
at 2.5 days after amputation. (A,
B) All nuclei were stained with
Hoechst 33342 (green). (C, F)
show merged images of (A, B)
and (D, E), respectively. The
white dashed line in (C, F) marks
the shape of the NC precursor. All
sections are horizontal. (G) The
proliferation rate of the NC
precursor cells was determined by counting the BrdU-positive cells in five tadpoles for each experiment. The error bars indicate
standard deviations. The P-value is 0.019.
Fig. 5. Immunohistochemical
detection of nerve cells and
myofibers in the spinal cord (SC)-
ablated tail. The SC-ablated (A)
and control tail (B) were wholemount
stained with monoclonal
antibody Xen-1 to detect nerve
cells. The arrows show dorsal
and ventral peripheral nerves in
the regenerated tail. The white
arrow shows the regenerated
SC. (C, D, E, F) Immunological
staining of the regenerating tails
with monoclonal antibody 12/101
to detect myofibers. A pair of
arrowheads mark the amputation
plane. Days after the operation
are indicated in each panel. (Fâ²)
Higher magnification view of (F).
Bar, 500 μm.
Fig. 6. Gene expression analysis in the spinal cord (SC)-ablated and control tails. Semi-quantitative gene expression analysis by
reverse transcriptionâpolymerase chain reaction (RTâPCR) was carried out (AâC). The expression of marker genes for the tail
regeneration was analyzed in regenerating tails of the SC-ablated and control tadpoles (A). The expression of fibroblast growth factor
(FGF) and FGF receptor (FGFR) genes was analyzed (B). Isolated SC was also analyzed by RTâPCR (C). Specific primer pairs and
PCR conditions are indicated in Table 1. (DâN) Section in situ hybridization of the regenerating tails at day 2.5. The spatial expression
of Xfgf-2, -8, and -10 (DâF) and Xfgfr-1, -2, -3, and -4 (KâN) was analyzed on the regenerating tail. Expression of Xbra3 was analyzed
to mark the regenerating notochord (G). The expression of Xfgf-2, -8 and -10 was analyzed on the SC-ablated regenerating tail as
well (HâJ). A pair of arrowheads marks the amputation plane. Black and white dashed lines indicate the shapes of the regenerating
SC and NC, respectively. NC, notochord.
Fig. 7. Effect of fibroblast
growth factor (FGF)-2 and -10 on
regeneration in the spinal cord
(SC)-ablated tail. A bead soaked
with FGF or phosphate-buffered
saline (PBS) was implanted in
the SC-ablated tail on day 1.
The regenerated notochord (NC)
(marked with a line) with the FGF-
10-soaked bead is larger than
that of the control with the PBSsoaked
bead 4 days after
amputation (A, B; see Table 2).
The implanted bead was located
by its blue color. (C) The proliferation
rate of the NC precursor
cells was determined at day 3 by
counting the BrdU-positive cells
(see Table 3). The control in (C)
shows the proliferation rate in
the regenerating tail with SC. The
error bars indicate standard
deviations.