Click here to close
Hello! We notice that you are using Internet Explorer, which is not supported by Xenbase and may cause the site to display incorrectly.
We suggest using a current version of Chrome,
FireFox, or Safari.
Biochem Biophys Res Commun
2008 Feb 15;3663:779-85. doi: 10.1016/j.bbrc.2007.12.040.
Show Gene links
Show Anatomy links
Spatially and temporally regulated alpha6 integrin cleavage during Xenopus laevis development.
Demetriou MC
,
Stylianou P
,
Andreou M
,
Yiannikouri O
,
Tsaprailis G
,
Cress AE
,
Skourides P
.
???displayArticle.abstract???
The alpha6 integrin is essential for early nervous system development in Xenopus laevis. We have previously reported a uPA cleaved form of integrin alpha6 (alpha6p), in invasive human prostate cancer tissue, whose presence correlates with increased migration and invasive capacity. We now report that alpha6 is cleaved during the normal development of Xenopus in a spatially and temporally controlled manner. In addition, unlike normal mammalian tissues, which lack alpha6p, the major form of the alpha6 integrin present in adult Xenopus is alpha6p. The protease responsible for the cleavage in mammals, uPA, is not involved in the cleavage of Xenopus alpha6. Finally, overexpression of a mammalian alpha6 mutant which cannot be cleaved leads to developmental abnormalities suggesting a potential role for the cleavage in development.
Fig. 1.
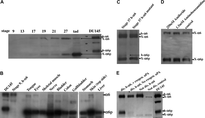
α6p is produced during Xenopus development by a protease other than uPA. (A) Whole Xenopus embryos at indicated stages were analyzed for α6 and α6p integrin expression by Western blotting. Note that both Xenopus α6 and α6p run at a lower molecular weight than their human counterparts. (B) α6p is the predominant form of α6 in adult Xenopus as shown by Western blotting. (C) An endogenous Xenopus protease is capable of cleaving the microinjected human wild-type but not the mutated α6. (D) uPA inhibitors do not block α6p production in Xenopus primary cultures. (E) Exogenous uPA is capable of cleaving the human α6 that was microinjected in Xenopus embryos.
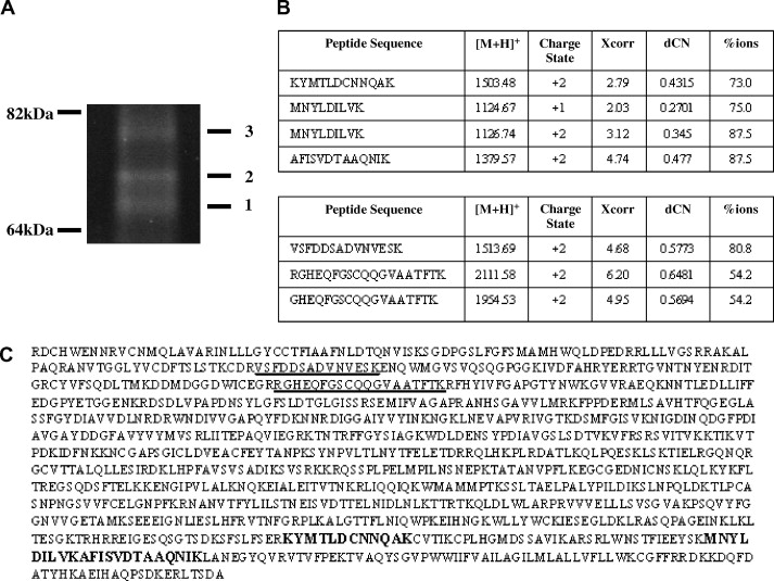
Fig. 2.
Verification of the presence of α6p and a6N in Xenopus by tandem mass spectrometry coupled to liquid chromatography (LC–MS/MS). (A) Isolation of the fragments of the cleaved α6 integrin by immunoprecipitation. (B) Band #2 produced a total of 4 high-scoring peptides covering 3.1% (bold) of the primary sequence of integrin α6 (C), whereas band #3 produced a total of three high-scoring peptides covering 3.0% (underlined) of the primary sequence of integrin α6 (C).
Fig. 3.
Integrin α6 and α6p expression and localization in Xenopus embryos. Whole mount immunostaining of a Xenopus embryo (stages 33 and 34) using a polyclonal anti-α6 antibody against the C-terminus of α6A (A). Panel A shows a 2D projection of a series of optical sections from a cleared embryo. BâD are individual optical sections where the principal expression domains are shown more clearly. Panels E and F show the expression of actin and α6, respectively, in the Xenopus tadpoleepidermis. The α6 protein is found throughout the CNS and the notochord (N) with higher expression in the neural tube (NT), the olfactory placode (OP), interneurons (IN), the pronephros (PN), and the pronephric duct (PND). (GâI) Both antibodies tested also gave strong signal at a subset of cranial nerves (CN) and the trigerminal gaglia (TG) as seen in panels H and I. At late tadpole stages (stage 42) α6 is expressed in the vascular system with prominence in the newly formed vessels (J). (K and L) Full length α6 is only found in the epidermis and is completely absent from the notochord and other internal tissues. Optical sections of embryos stained with a C-terminal α6 antibody (K) and an N-terminal antibody (L). (N and O) 3D reconstruction of embryos, which were optically sectioned as indicated in M (tissues on the left side of the plane shown were removed leaving only the anterior structures) reveals that α6 is only found in the epidermis of stage 35 embryos with α6p present in the notochord (N), the neural tube (NT), the otic vesicle (OV) and cranial nerves (CN).
Supplementary Figure 1.
Supplementary Figure 2.
The ratio of a61 a6p vanes between different organs and tissues in the adult. Overall however a6p is far more abundant.
Andon,
Proteomic characterization of wheat amyloplasts using identification of proteins by tandem mass spectrometry.
2002, Pubmed
Andon,
Proteomic characterization of wheat amyloplasts using identification of proteins by tandem mass spectrometry.
2002,
Pubmed
Buck,
Ultrastructural characteristics associated with the anchoring of corneal epithelium in several classes of vertebrates.
1983,
Pubmed
,
Xenbase
Cooper,
Investigative proteomics: identification of an unknown plant virus from infected plants using mass spectrometry.
2003,
Pubmed
Craig,
TANDEM: matching proteins with tandem mass spectra.
2004,
Pubmed
Davis,
Identification of a novel structural variant of the alpha 6 integrin.
2001,
Pubmed
de Curtis,
Function and spatial distribution in developing chick retina of the laminin receptor alpha 6 beta 1 and its isoforms.
1993,
Pubmed
,
Xenbase
Delwel,
Identification of the cleavage sites in the alpha6A integrin subunit: structural requirements for cleavage and functional analysis of the uncleaved alpha6Abeta1 integrin.
1997,
Pubmed
,
Xenbase
Demetriou,
Integrin clipping: a novel adhesion switch?
2004,
Pubmed
Demetriou,
Extracellular alpha 6 integrin cleavage by urokinase-type plasminogen activator in human prostate cancer.
2004,
Pubmed
Eng,
An approach to correlate tandem mass spectral data of peptides with amino acid sequences in a protein database.
1994,
Pubmed
Keller,
Empirical statistical model to estimate the accuracy of peptide identifications made by MS/MS and database search.
2002,
Pubmed
Lallier,
Integrin alpha 6 expression is required for early nervous system development in Xenopus laevis.
1996,
Pubmed
,
Xenbase
Lantz,
Pulmonary biomarkers based on alterations in protein expression after exposure to arsenic.
2007,
Pubmed
Nesvizhskii,
A statistical model for identifying proteins by tandem mass spectrometry.
2003,
Pubmed
Pawar,
Integrin alpha6 cleavage: a novel modification to modulate cell migration.
2007,
Pubmed
Qian,
Probability-based evaluation of peptide and protein identifications from tandem mass spectrometry and SEQUEST analysis: the human proteome.
2005,
Pubmed
Schreiber,
Diverse developmental programs of Xenopus laevis metamorphosis are inhibited by a dominant negative thyroid hormone receptor.
2001,
Pubmed
,
Xenbase
Shevchenko,
Mass spectrometric sequencing of proteins silver-stained polyacrylamide gels.
1996,
Pubmed
Whittaker,
Integrin alpha subunit mRNAs are differentially expressed in early Xenopus embryos.
1993,
Pubmed
,
Xenbase