Click here to close
Hello! We notice that you are using Internet Explorer, which is not supported by Xenbase and may cause the site to display incorrectly.
We suggest using a current version of Chrome,
FireFox, or Safari.
Urodele p53 tolerates amino acid changes found in p53 variants linked to human cancer.
Villiard E
,
Brinkmann H
,
Moiseeva O
,
Mallette FA
,
Ferbeyre G
,
Roy S
.
???displayArticle.abstract???
BACKGROUND: Urodele amphibians like the axolotl are unique among vertebrates in their ability to regenerate and their resistance to develop cancers. It is unknown whether these traits are linked at the molecular level.
RESULTS: Blocking p53 signaling in axolotls using the p53 inhibitor, pifithrin-alpha, inhibited limb regeneration and the expression of p53 target genes such as Mdm2 and Gadd45, suggesting a link between tumor suppression and regeneration. To understand this relationship we cloned the p53 gene from axolotl. When comparing its sequence with p53 from other organisms, and more specifically human we observed multiple amino acids changes found in human tumors. Phylogenetic analysis of p53 protein sequences from various species is in general agreement with standard vertebrate phylogeny; however, both mice-like rodents and teleost fishes are fast evolving. This leads to long branch attraction resulting in an artefactual basal emergence of these groups in the phylogenetic tree. It is tempting to assume a correlation between certain life style traits (e.g. lifespan) and the evolutionary rate of the corresponding p53 sequences. Functional assays of the axolotl p53 in human or axolotl cells using p53 promoter reporters demonstrated a temperature sensitivity (ts), which was further confirmed by performing colony assays at 37 degrees C. In addition, axolotl p53 was capable of efficient transactivation at the Hmd2 promoter but has moderate activity at the p21 promoter. Endogenous axolotl p53 was activated following UV irradiation (100 j/m2) or treatment with an alkylating agent as measured using serine 15 phosphorylation and the expression of the endogenous p53 target Gadd45.
CONCLUSION: Urodele p53 may play a role in regeneration and has evolved to contain multiple amino acid changes predicted to render the human protein defective in tumor suppression. Some of these mutations were probably selected to maintain p53 activity at low temperature. However, other significant changes in the axolotl proteins may play more subtle roles on p53 functions, including DNA binding and promoter specificity and could represent useful adaptations to ensure p53 activity and tumor suppression in animals able to regenerate or subject to large variations in oxygen levels or temperature.
Figure 1. Effect of pifithrin-α on limb regeneration. (A & E) Controls treated daily with DMSO. (B-D & F-G) Pifithrin-α treated animals (5 μM pifithrin-α, added freshly diluted everyday). Limbs in panels A-D were amputated distally in the middle of the zeugopod and limbs in panels E-G were amputated proximally through the middle of the stylopod (see dotted lines in panels A & E for amputation levels).
Figure 2. Comparison between Human and axolotl p53 important domains, regions and residues. (A) Schematic structure of p53 protein (adapted from Appella, 2001 [71]): TA, Transactivation Domain; DBD, DNA Binding Domain; NLS, Nuclear Localisation Signal; TET, tetramerisation domain; REG, Regulatory domain; Regions I-V, highly conserved regions. Lysine (K), serine (S) and threonine (T) residues implicated in post-translational modifications are indicated. The protein domains depicted in the diagrams are not to scale. (B) Sequences alignment of human and axolotl p53 proteins. The conserved regions I to V are highlighted and many changes between the axolotl and human sequence are identified (arrows). See table-2 for a complete list of changes associated with mutations in the human protein.
Figure 3. Phylogenetic tree of p53 protein sequences in vertebrates with bootstrap values. Maximum likelihood phylogenetic tree based on 35 p53 sequences with 280 amino acid positions inferred by the program Treefinder with a WAG+Γ8 model. Numbers at internal nodes are corresponding to bootstrap support values, obtained in the analysis of 100 replicates using the same program and model of sequence evolution. Due to the dense species sampling within the mammals interesting aspects of mammalian evolution are becoming apparent. There are clear differences in the evolutionary rates among the different groups, indicated by the branch length of the rooted tree, this is especially true for the four Neoteleost fish. There is also an acceleration observed for the mouse-like rodents, with a striking exception represented by the sequence of the mole rat Spalax, which is despite the fact of being a rather small rodent even more slowly evolving than the related rabbit (Oryctolagus, lagomorph). In fact the only sequences among the tetrapods (amphibians, reptilian and mammalian) that are more slowly evolving than the one from Spalax are from the urodeles (axolotl and newts). The primary sequence of salamander p53 is more closely related to the ancestral protein of tetrapod vertebrates than the p53 proteins of any other of the studied groups.
Figure 4. Activation of Hdm2 and p21 promoters by human and axolotl p53 in H1299 cells. (A-C) Dual-luciferase assays in H1299 cells with Hdm2 promoter at 37°C, 30°C and 25°C. (D-F) Dual-luciferase assays in H1299 cells with the human p21 promoter at 37°C, 30°C and 25°C. Luciferase activities stimulated by human or axolotl p53 was significantly different than non-p53 controls (at least p < 0.05, data not shown). Error bars are ± s.e.m. human and axolotl p53 luciferase transactivation were significantly different during the same assay using the Hdm2 promoter (A-C) or the human p21 promoter at 37°C (D) (at least p < 0.01). Each assay was performed in triplicate at least 3 separate times. (G) Inhibition of the activation of Hdm2 promoter by the combined expression of human and axolotl p53 in H1299 cells. All luciferase activities were significantly different than non-p53 controls (at least p < 0.05, data not shown). Error bars are ± s.e.m. human + axolotl and human p53 luciferase transactivation were significantly different during the same assay using the Hdm2 promoter at 37°C (p = 0.006). Each assay was performed in triplicate. (H) Growth assays at 37°C on H1299 cells transfected with human or axolotl p53 protein.
Figure 5. Activation of endogenous Hdm2 in H1299 cells by the axolotl p53 protein. Expression of the human p53 target gene (Hdm2) 24 h post transfection in H1299 cells mock transfected and transfected with the axolotl p53 without and with pifithrin-α grown at 30°C. RT-PCRs were also performed with the housekeeping gene glyceraldehyde phosphate dehydrogenase (Gapdh) to control for the amount of total RNA.
Figure 6. Activation of Hdm2 and p21 promoters by human and axolotl p53 in AL1 cells. (A-B) Dual-luciferase assays in AL1 cells with Hdm2 and p21 promoters at 25°C. All Luciferase activities were significantly different from non-p53 controls (at least p < 0.05, data not shown). Error bar ± s.e.m. human and axolotl p53 induced luciferase expression were significantly different with the Hdm2 promoter (p < 0.01). Each assay was performed in triplicate at least 3 separate times.
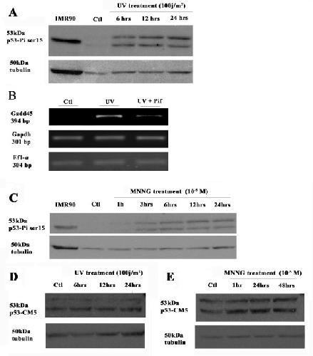
Figure 7. Detection of p53 protein in AL1 cells. (A & C) Western blot analysis of phospho-ser15 p53 in AL1 cells exposed to UV or treated with MNNG. (B) RT-PCR analysis of p53 target gene, Gadd45 (a p53 target gene cloned in axolotl [57, 58]), in control treated axolotl AL1 cells, cells exposed to UV (6h post-irradiation) and cells exposed to UV & treated with pifithrin-α. Both Gapdh and Ef1α were used as controls to demonstrate that the effects of UV and UV plus pifithrin-α were specific for Gadd45. (D-E) Western blot analysis of total p53 protein (CM5 antibody) on AL1 cells exposed to UV or treated with MNNG.
Appella,
Post-translational modifications and activation of p53 by genotoxic stresses.
2001, Pubmed
Appella,
Post-translational modifications and activation of p53 by genotoxic stresses.
2001,
Pubmed
Ashur-Fabian,
Evolution of p53 in hypoxia-stressed Spalax mimics human tumor mutation.
2004,
Pubmed
Avivi,
p53--a key player in tumoral and evolutionary adaptation: a lesson from the Israeli blind subterranean mole rat.
2005,
Pubmed
Baehrecke,
Growth control: p53, the guardian angel of compensatory proliferation.
2006,
Pubmed
Bech-Otschir,
COP9 signalosome-specific phosphorylation targets p53 to degradation by the ubiquitin system.
2001,
Pubmed
Bourdon,
p53 isoforms can regulate p53 transcriptional activity.
2005,
Pubmed
Bradford,
A rapid and sensitive method for the quantitation of microgram quantities of protein utilizing the principle of protein-dye binding.
1976,
Pubmed
Brockes,
Amphibian limb regeneration: rebuilding a complex structure.
1997,
Pubmed
Brockes,
Regeneration and cancer.
1998,
Pubmed
Brodsky,
Drosophila p53 binds a damage response element at the reaper locus.
2000,
Pubmed
Cho,
Crystal structure of a p53 tumor suppressor-DNA complex: understanding tumorigenic mutations.
1994,
Pubmed
Cinti,
A serine 37 mutation associated with two missense mutations at highly conserved regions of p53 affect pro-apoptotic genes expression in a T-lymphoblastoid drug resistant cell line.
2000,
Pubmed
Derry,
Caenorhabditis elegans p53: role in apoptosis, meiosis, and stress resistance.
2001,
Pubmed
de Stanchina,
PML is a direct p53 target that modulates p53 effector functions.
2004,
Pubmed
Di Giovanni,
The tumor suppressor protein p53 is required for neurite outgrowth and axon regeneration.
2006,
Pubmed
Donehower,
Mice deficient for p53 are developmentally normal but susceptible to spontaneous tumours.
1992,
Pubmed
Duffy,
Zebrafish tp53 knockdown extends the survival of irradiated zebrafish embryos more effectively than the p53 inhibitor pifithrin-alpha.
2007,
Pubmed
Ferbeyre,
Oncogenic ras and p53 cooperate to induce cellular senescence.
2002,
Pubmed
Ferbeyre,
PML is induced by oncogenic ras and promotes premature senescence.
2000,
Pubmed
Fleck,
Modulation of apoptotic pathways in intestinal mucosa during hibernation.
2005,
Pubmed
Friedlander,
Regulation of mutant p53 temperature-sensitive DNA binding.
1996,
Pubmed
García-Cao,
"Super p53" mice exhibit enhanced DNA damage response, are tumor resistant and age normally.
2002,
Pubmed
Gaumont-Leclerc,
PEA-15 is inhibited by adenovirus E1A and plays a role in ERK nuclear export and Ras-induced senescence.
2004,
Pubmed
Giaccia,
The complexity of p53 modulation: emerging patterns from divergent signals.
1998,
Pubmed
Gudkov,
Prospective therapeutic applications of p53 inhibitors.
2005,
Pubmed
Haerlin,
Mechanism of mutagenesis by N-methyl-N'-nitro-N-nitroso-guanidine (MNNG) V. Methylation of DNA by N-trideuteriomethyl-N'-nitro-N-nitroso-guanidine (D(3)-MNNG).
1970,
Pubmed
Ingram,
The reactions to carcinogens in the axolotl (Ambystoma mexicanum) in relation to the "regeneration field control" hypothesis.
1971,
Pubmed
Johnson,
Dissecting p53 tumor suppressor function in vivo through the analysis of genetically modified mice.
2006,
Pubmed
Kannan,
DNA microarrays identification of primary and secondary target genes regulated by p53.
2001,
Pubmed
Kato,
Understanding the function-structure and function-mutation relationships of p53 tumor suppressor protein by high-resolution missense mutation analysis.
2003,
Pubmed
Komarov,
A chemical inhibitor of p53 that protects mice from the side effects of cancer therapy.
1999,
Pubmed
Kussie,
Structure of the MDM2 oncoprotein bound to the p53 tumor suppressor transactivation domain.
1996,
Pubmed
Kyritsis,
Germline p53 gene mutations in subsets of glioma patients.
1994,
Pubmed
Laemmli,
Cleavage of structural proteins during the assembly of the head of bacteriophage T4.
1970,
Pubmed
Lang,
Gain of function of a p53 hot spot mutation in a mouse model of Li-Fraumeni syndrome.
2004,
Pubmed
Lévesque,
Expression of heat-shock protein 70 during limb development and regeneration in the axolotl.
2005,
Pubmed
Liang,
Regulation of p53 localization.
2001,
Pubmed
Lu,
Lessons from p53 in non-mammalian models.
2006,
Pubmed
Lykke-Andersen,
Disruption of the COP9 signalosome Csn2 subunit in mice causes deficient cell proliferation, accumulation of p53 and cyclin E, and early embryonic death.
2003,
Pubmed
Moro,
p53 expression in normal versus transformed mammalian cells.
1995,
Pubmed
Murphy,
Pifithrin-alpha inhibits p53 signaling after interaction of the tumor suppressor protein with hsp90 and its nuclear translocation.
2004,
Pubmed
Nelson,
DNA strand breaks: the DNA template alterations that trigger p53-dependent DNA damage response pathways.
1994,
Pubmed
Okamoto,
Simultaneous demonstration of lens regeneration from dorsal iris and tumour production from ventral iris in the same newt eye after carcinogen administration.
1997,
Pubmed
Olive,
Mutant p53 gain of function in two mouse models of Li-Fraumeni syndrome.
2004,
Pubmed
Putta,
From biomedicine to natural history research: EST resources for ambystomatid salamanders.
2004,
Pubmed
Rau Embry,
Lack of p53 induction in fish cells by model chemotherapeutics.
2006,
Pubmed
Ridgway,
Functional characterization of Xenopus laevis p53: evidence of temperature-sensitive transactivation but not of repression.
1994,
Pubmed
,
Xenbase
Robinson-Rechavi,
RRTree: relative-rate tests between groups of sequences on a phylogenetic tree.
2000,
Pubmed
Roy,
Limb regeneration in axolotl: is it superhealing?
2006,
Pubmed
Shiraishi,
Isolation of temperature-sensitive p53 mutations from a comprehensive missense mutation library.
2004,
Pubmed
Soussi,
Structural aspects of the p53 protein in relation to gene evolution.
1990,
Pubmed
Thukral,
Discrimination of DNA binding sites by mutant p53 proteins.
1995,
Pubmed
Tsonis,
Effects of carcinogens on regenerating and non-regenerating limbs in amphibia (review).
1983,
Pubmed
Tsonis,
Carcinogens on regeneration. Effects of N-methyl-N'-nitro-N-nitrosoguanidine and 4-nitroquinoline-1-oxide on limb regeneration in adult newts.
1981,
Pubmed
Tyner,
p53 mutant mice that display early ageing-associated phenotypes.
2002,
Pubmed
Valdar,
Scoring residue conservation.
2002,
Pubmed
Veprintsev,
Core domain interactions in full-length p53 in solution.
2006,
Pubmed
Vogelstein,
Surfing the p53 network.
2000,
Pubmed
Walker,
Identification of a novel p53 functional domain that is necessary for efficient growth suppression.
1996,
Pubmed
Walker,
Letter: Single-strand breaks in DNA--treated with MNNG.
1975,
Pubmed
Wang,
Xenopus laevis p53 protein: sequence-specific DNA binding, transcriptional regulation and oligomerization are evolutionarily conserved.
1995,
Pubmed
,
Xenbase
Wells,
Compensatory proliferation in Drosophila imaginal discs requires Dronc-dependent p53 activity.
2006,
Pubmed
Wolsky,
Regeneration and cancer.
1978,
Pubmed
Zhang,
Pifithrin-alpha suppresses p53 and protects cochlear and vestibular hair cells from cisplatin-induced apoptosis.
2003,
Pubmed
Zilakos,
Stage-dependent genetically-based deformities of the regenerating newt limb from 4-nitroquinoline-N-oxide mutagenesis: potential embryonic regulation of cancer.
1996,
Pubmed