Click here to close
Hello! We notice that you are using Internet Explorer, which is not supported by Xenbase and may cause the site to display incorrectly.
We suggest using a current version of Chrome,
FireFox, or Safari.
???displayArticle.abstract???
Mammalian matrix metalloproteinase 28 (MMP-28) is expressed in several normal adult tissues, and during cutaneous wound healing. We show that, in frog and mouse embryos, MMP-28 is expressed predominantly throughout the nervous system. Xenopus expression increases during neurulation and remains elevated through early limb development where it is expressed in nerves. In the mouse, neural expression peaks at embryonic day (E) 14 but remains detectable through E17. During frog hindlimb regeneration XMMP-28 is not initially expressed in the regenerating nerves but is detectable before myelination. Following hindlimb denervation, XMMP-28 expression is detectable along regenerating nerves before myelination. In embryonic rat neuron-glial co-cultures, MMP-28 decreases after the initiation of myelination. Incubation of embryonic braintissue with purified MMP-28 leads to the degradation of multiple myelin proteins. These results suggest that MMP-28 plays an evolutionarily conserved role in neural development and is likely to modulate the axonal-glial extracellular microenvironment.
Figure 3. Xenopus laevis matrix metalloproteinase 28 (XMMP-28) expression in developing Xenopus hindlimbs. A,C-F: Whole-mount in situ hybridization (WISH) of stage 53 (A,C,D) and stage 55 hindlimbs (E,F). B: Section in situ hybridization of XMMP-28 expression in a cross-section through a stage 53 hindlimb. WISH of a sectioned limbs using sense control XMMP-28 probe (C) and antisense probe (D). WISH of stage 55 limbs using control sense probe (E) and antisense probe (F). Arrows indicate positive XMMP-28 signal associated with neural structures. Original magnifications are variable to fit different sized whole limbs into consistent size boxes except for B, where the scale bar = 20 mu m.
Figure 4. Immunohistochemical (IHC) analysis of Xenopus laevis matrix metalloproteinase 28 (XMMP-28) during Xenopus laevis development. A,DâI,L: Six-micrometer sections of embryos were subjected to IHC to detect XMMP-28. Panels AâC are longitudinal sections of hindlimbs. A: Stage 55 hindlimb. B: Stage 55 hindlimb stained with isotype control antibody to nonexpressed epitope (M2 anti-FLAG, Sigma). C: Stage 55 hindlimb stained with primary XMMP-28 antibody in the presence of 1 μg/ml MMP-28 blocking peptide (Cedarlane). DâF: Stage 53 hindlimb stained for XMMP-28 (D), acetylated tubulin (E) and merged image (F); nuclei were counterstained with DAPI. GâI: Stage 53 brain (G), stage 53 spinal cord (H), stage 53 spinal ganglion (I). J: Whole-mount stage 53 head stained for XMMP-28. K: Whole-mount stage 53 head stained with isotype control antibody. L: Stage 57 hindlimb. Arrows indicate nerves. Scale bars shown in microns. Images representative of two independent experiments.
Figure 5. A,B: Xenopus laevis matrix metalloproteinase 28 (XMMP-28) protein expression during hindlimb regeneration (A) or Wallerian degeneration (B). A: Blastemas of stage 53 Xenopus hindlimbs were stained for XMMP-28 (green) and acetylated tubulin (red) at 3, 7, and 13 days after amputation or XMMP-28 (Green) and MAG (Red) at 17 days after amputation. Images of blastema were collected by confocal microscopy, whereas limb renervation images were collected using epifluorescence microscopy. Nuclei were counterstained with DAPI. B: Merged images of stage 57 Xenopus hindlimbs stained for XMMP-28 (green) and either acetylated tubulin (middle row, red) or MAG (bottom row, red). Nuclei were counterstained with 4â²,6-diamidine-2-phenylidole-dihydrochloride (DAPI). Coexpression is indicated by yellow staining. Arrows indicate XMMP-28âpositive nerves. Arrowhead indicates MAGâpositive glial cells. Green fluorescence in the epidermis of limbs was variable, not consistent at any time points, and present in negative controls (isotype and no primary antibody controls; data not shown). Potential contribution of MMP-28 expression to epidermal staining was, therefore, not resolved. Epidermal variability was not found to be consistent at any time points. Images are representative of limbs from two independent experiments (three limbs per experiment). Scale bars = 50 μm.
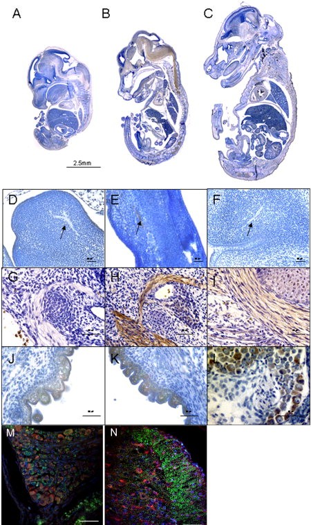
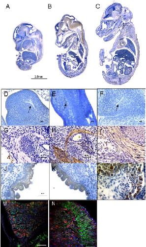
Figure 6. Developmental expression of mouse MMP-28 protein. AâC: Composite images of matrix metalloproteinase 28 (MMP-28) -stained mouse embryo sections at embryonic day (E) 13 (A), E14 (B), and E15 (C). DâF: Hindlimbs of MMP-28âstained mouse embryos at E13 (D), E14 (E), and E15 (F, arrows indicate nerves). GâI: MMP-28âstained trigeminal nerve of E13 (G), E14 (H), and E15 (I) -stained mouse embryos. J: MMP-28âstained dorsal skin of E15 mouse embryo. K: MMP-28âstained ventralskin of E16 mouse embryo. L: MMP-28âstained dorsal root ganglion (DRG) of E16 mouse embryo. M,N: Postnatal day 1 DRG (M) and spinal cord (N) stained for MMP-28 (green) and myelin-associated glycoprotein (MAG; red). Nuclei were counterstained with 4â²,6-diamidine-2-phenylidole-dihydrochloride (DAPI). Images representative of two independent experiments. Scale bars = 50 μm except where indicated.
Figure 7. Expression of matrix metalloproteinase 28 (MMP-28) and myelin-associated glycoprotein (MAG) in myelinating dorsal root ganglia (DRG) cells. DRG cells were plated on Matrigel-coated tissue culture plates and allowed to grow. Cells were fixed and stained for both MMP-28 (green) and MAG (red). Nuclei were counterstained with 4â²,6-diamidine-2-phenylidole-dihydrochloride (DAPI). AâE: Images were collected at 4 days after isolation (A) and at 1 (B), 3 (C), 6(D), and 14 (E) days after the initiation of myelination. F: Phase contrast image of co-culture 6 days after initiation of myelination. Images representative of three independent experiments. Scale bars = 50 μm.
mmp-28 (matrix metallopeptidase 28) gene expression in Xenopus laevis embryo, assayed via in situ hybridization, NF stage 55 hind limb, dorsal view.