Click here to close
Hello! We notice that you are using Internet Explorer, which is not supported by Xenbase and may cause the site to display incorrectly.
We suggest using a current version of Chrome,
FireFox, or Safari.
Dev Growth Differ
2007 Sep 01;497:591-601. doi: 10.1111/j.1440-169X.2007.00953.x.
Show Gene links
Show Anatomy links
Analysis of terminal sugar moieties and species-specificities of acrosome reaction-inducing substance in Xenopus (ARISX).
Ueda Y
,
Imaizumi C
,
Kubo H
,
Sato K
,
Fukami Y
,
Iwao Y
.
???displayArticle.abstract???
The acrosome reaction of Xenopus sperm is triggered by the acrosome reaction-inducing substance in Xenopus (ARISX), an oviductal pars recta-derived, sugar-rich substance decorated on the entire surface of the vitelline envelope (VE) during ovulation. Here we addressed the functional importance of the sugar moiety in ARISX. Among various lectins examined, soybean agglutinin and Dolichos biflorus agglutinin were shown to abolish the acrosome reaction-inducing activity of ARISX present in pars recta extract or on the VE, indicating the importance of the terminal alpha-N-acetylgalactosamine residue for the function of ARISX. Consistently, the acrosome reaction-inducing activity was not affected by proteinase K digestion, in spite of the simultaneous shift of ARISX to a smaller molecular weight. Indirect immunofluorescence microscopic examinations showed that ARISX was distributed as two types of structures on VE; thick fiber-like materials and thin filamentous materials, and that a new structure appeared on the fertilization envelope instead of the thin filamentous materials. Sperm from several amphibian species were subjected to an in vitro assay during induction of the acrosome reaction with ARISX. The resulting limited population of sperm from a non-Xenopus species underwent acrosome reaction, implying a weak species-specificity of ARISX.
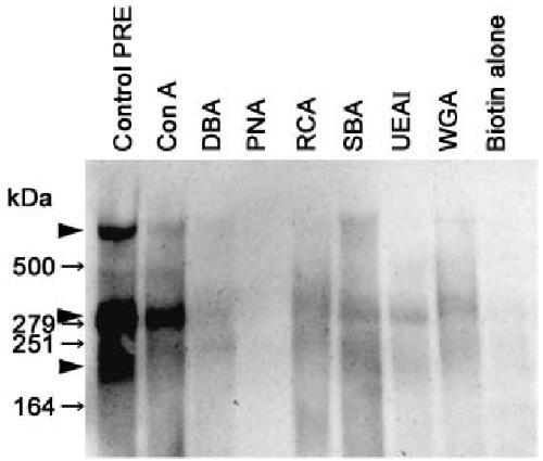
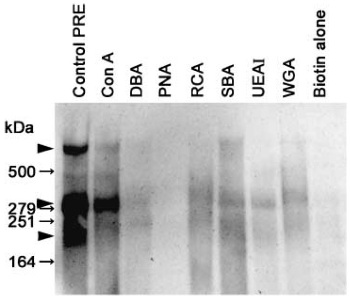
Fig. 1. Lectin binding analysis of ARISX. PRE was subjected
to lectin-binding assay using biotinylated lectins and monomeric
avidin-beads. The bound materials were eluted with biotin
and analyzed by immunoblotting with anti-ARISX antibody. As
controls, PRE and PRE bound to biotin alone were also analyzed.
The arrowheads indicate the positions of the ARISX with 220
and 300 kDa and larger than 500 kDa.
Fig. 2. Inhibition of acrosome reaction-inducing activity with
SBA. Isolated VE was treated with SBA preincubated with or
without D-GalNAc, followed by incubation with sperm for the
analysis of their acrosome by laser-scanning microscopy. The
results were described in the manner shown in ‘Materials and
methods’. Asterisk indicates P < 0.05 compared to the control
(untreated VE). The number in parentheses indicates the
repeated times of experiments.
Fig. 3. Proteinase K digestion of ARISX. (A) VE was digested
with or without proteinase K and subjected to immunoblotting
with anti-ARISX antibody. Upper and lower arrowheads indicate
the positions of the intact 300 kDa and digested 240 kDa
ARISX, respectively. (B) Acrosome reaction-inducing activity of
proteinase K-digested VE. Sperm were incubated with VE
pretreated with or without proteinase K followed by analysis of the
acrosome by laser-scanning microscopy.
Fig. 4. Presence of ARISX in the FE and jelly water. (A) VE and
FE were analyzed by Western blotting with anti ARISX antibody.
Upper and lower arrowheads indicate the positions of the intact
300 kDa ARISX in VE and degraded 160–230 kDa ARISX in FE,
respectively. (B) Acrosome reaction-inducing activity on FE.
Sperm were incubated with VE, FE, or FE pretreated with anti-
ARISX antibody followed by analysis of the acrosome by
laser-scanning microscopy. The results were expressed in the
manner written in ‘Materials and methods’. (C) VE and jelly water
were analyzed by Western blotting with anti-ARISX antibody.
Arrowheads indicate the positions of fragmented ARISX in jelly
water. The number in parentheses indicates the repeated times
of experiments.
Fig. 5. Localization of ARISX on the envelope surface. Live, dejellied, unfertilized egg (A and B) and fertilized egg (D and E) were
subjected to immunostaining with anti-ARISX antibody as described in ‘Materials and methods’. Panels A and D show the entire egg
surface, while B and E show their magnified images. Large arrows, small arrows, arrowheads, and asterisks indicate thick fibrous
material, thin filamentous material, dot-like material, and seat-like material, respectively. Also shown are immunostaining of cryosections
of jellied, unfertilized egg (C) and fertilized egg (F) with anti-ARISX antibody. The fluorescence was shown on both the VE
(C) and on the FE (F). The jelly layer occupies the upper side of the envelope in C and F. Neither in unfertilized nor fertilized eggs
was the fluorescence detected in the jelly layer. Black arrows indicate sperm trapped in the jelly layers (F + DIC). Bars = 500 μm
(A and D) and 50 μm (B, C, E and F).