Click here to close
Hello! We notice that you are using Internet Explorer, which is not supported by Xenbase and may cause the site to display incorrectly.
We suggest using a current version of Chrome,
FireFox, or Safari.
???displayArticle.abstract???
Asymmetries in the egg, established during oogenesis, set the stage for a cascade of intercellular signaling events leading to differential gene expression and subsequent tissue and organ formation. Maternally supplied Sox-type transcription factors have recently emerged as key components in the patterning of the early embryo and the regulation of embryonic stem cell differentiation. In deuterostomes, B1-type Soxs are asymmetrically localized to the future animal/ectodermal region where they act to suppress mesendodermal, and favor neuroectodermal differentiation, while vegetally localized F-type Soxs are involved in mesendodermal differentiation. Here, we review past observations and present new data from studies on the clawed frog Xenopus laevis. Animally localized Sox3 acts to inhibit Nodal (Xnr5 and Xnr6) expression, and induces the expression of genes (Ectodermin, Xema, and Coco) whose products repress Nodal signaling. Vegetally localized Sox7 positively regulates Nodal (Xnr4, Xnr5, and Xnr6) expression, as well as the expression of genes involved in mesodermal (Xmenf, Slug, and Snail) and endodermal (Endodermin and Sox17beta) differentiation. Given the evolutionary strategy of using common regulatory networks, it seems likely that a homologous Sox-Axis is active during embryonic development in many metazoans.
Fig. 1 (A) This schematic shows the relative location of the
sequence-specific DNA-binding high mobility group (HMG) domain
within the Sox3 and Sox7 polypeptides. (B) An alignment of
the HMG boxes of Xenopus laevis Sox1, Sox2, Sox3, Sox7, Sox17b,
and Sox18b polypeptides shows the similarity between B1-type
Soxs (‘‘B1-type’’)(all residues identical ‘‘’’ or conserved ‘‘:’’);
F-type Soxs (‘‘F-type’’); and B1- and F-type Soxs (‘‘common’’)
HMG domains. The alignment was generated using the http://align.
genome.jp/web site. Between the F-type Soxs, there are two sites
that are different (arrows) in all three proteins. (C) The structure of
the HMG domain of Sox2 (yellow) bound to the minor groove of
DNA as determined crystallographically by Williams et al. (2004).
Fig. 2 Sox3âs regulatory targets: (A) Fertilized eggs were injected
with RNA (600 pg/embryo) encoding GR-Sox3-GFP; animal caps
were prepared at stage 8/9; the protein was activated shortly thereafter
and analyzed by quantitative reverse-transcriptase polymerase
chain reaction when control embryos reached stage 11. Levels of
Xnr1, Xnr2, Xnr4, Xnr5, and Xnr6 RNAs decreased between 70%
and 80% compared with control animal caps (no dexamethasoneâ
black bar). Emetine blocked the effects of Sox3 on Xnr1, Xnr2, and
Xnr4 RNAs, but had little effect on Xnr5 and Xnr6 RNA levels. (B)
Activation of GR-Sox3-GFP led to a small but reproducible, emetine-
insensitive increase in the levels of Oct25 and Oct60 RNAs.
Fig. 3 Sox3 acts downstream of Xnr5: Fertilized eggs were injected
with Xnr5 RNA (200 pg/embryo) alone or together with Sox3 RNA
(600 pg/embryo) and an RNA encoding the lineage marker
b-galactosidase (100 pg/embryo); at stage 11, embryos were stained
for Xbra RNA. In Xnr5 RNA-injected embryos (A), Xbra expression,
normally restricted to a region around the blastopore, was
found throughout the animal hemisphere. Co-injection of Sox3
RNA (B) blocked the Xnr5-induced Xbra expression. The area
where the b-galactosidase lineage marker was found is marked by a
dashed circle. In embryos injected with GR-Sox3-GFP RNA,
dexamethasone treatment (at stage 8/9) led to an emetine-insensitive
increase in Ectodermin (C), Coco, and Xema (D) mRNAs, and
an emetine-sensitive decrease in the levels of Xmenf RNA (D)
(embryos analyzed at stage 11). (E) Fertilized eggs were injected
with an antiSox3c antibody (10 or 20 ng/embryo) and analyzed by
quantitative reverse-transcriptase polymerase chain reaction at
stage 11; compared with uninjected embryos, antiSox3c-injected
embryos displayed decreased levels of Ectodermin, Coco, and
Xema RNAs and increased levels of Xmenf RNA. (F) Injection of
antiSox3c led to an increase in Endodermin RNAs, while injection
of antiTcf3c produced no effect. The antiSox3c-induced increase in
Endodermin RNA was blocked by co-injection of the Nodal inhibitor
CerS; similar results were reported previously for the endodermal
marker Sox17b (Zhang et al., 2004).
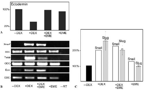
Fig. 4 Sox7-regulated target genes: (A) In embryos injected with
GR-Sox7-GFP RNA (600 pg/embryo), Ectodermin RNA levels
were decreased in an emetine-sensitive manner upon dexamethasone-
treatment activation. (B) Reverse-transcriptase polymerase
chain reaction studies indicate an emetine-insensitive Sox7-dependent
up-regulation of Xmenf and Endodermin RNAs in animal
caps, whereas Sox7âs effect on Twist RNA levels was emetine-sensitive,
and so likely to be indirect. (C) In whole embryo studies
(analyzed at stage 11), both Slug and Snail appear to be direct and
positively regulated targets of Sox7.
Fig. 5 (A) Schematic showing how animally localized Sox3 acts to
repress the expression of Nodals and activate the expression of
repressors of Nodal activity (Oct, Ectodermin, Coco, and Xema),
while vegetally localized Sox7 acts to increase the levels of Nodal
RNAs. (B) A more detailed, although still quite incomplete and
tentative network links Sox3-dependent suppression of Nodal expression
and signaling with Sox7’s ability to induce Nodal expression,
as well as markers of the mesendodermal germ layer.