Click here to close
Hello! We notice that you are using Internet Explorer, which is not supported by Xenbase and may cause the site to display incorrectly.
We suggest using a current version of Chrome,
FireFox, or Safari.
???displayArticle.abstract???
The Nodal and Nodal-related morphogens are utilized for the specification of distinct cellular identity throughout development by activating discrete target genes in a concentration-dependant manner. Lefty is a principal extracellular antagonist involved in the spatiotemporal regulation of the Nodal morphogen gradient during mesendoderm induction. The Xenopus Lefty proprotein contains a single N-linked glycosylation motif in the mature domain and two potential cleavage sites that would be expected to produce long (Xlefty(L)) and short (Xlefty(S)) isoforms. Here we demonstrate that both isoforms were secreted from Xenopus oocytes, but that Xlefty(L) is the only isoform detected when embryonic tissue was analyzed. In mesoderm induction assays, Xlefty(L) is the functional blocker of Xnr signaling. When secreted from oocytes, vertebrate Lefty molecules were N-linked glycosylated. However, glycan addition was not required to inhibit Xnr signaling and did not influence its movement through the extracellular space. These findings demonstrate that Lefty molecules undergo post-translational modifications and that some of these modifications are required for the Nodal inhibitory function.
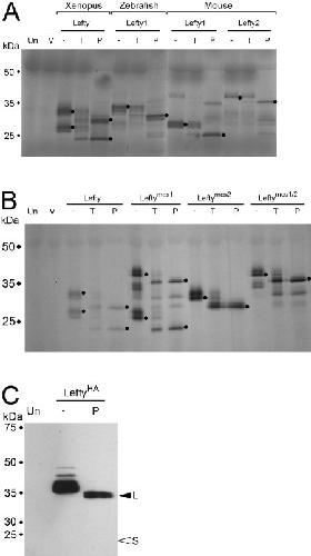
Figure 1. Glycosylation of Lefty molecules. A,B: Medium was analyzed from Xenopus oocytes injected with the indicated RNAs, metabolically labeled with [35S]-methionine/cysteine. Black dots, major glycosylated and deglycosylated bands. C: Western blot of conditioned medium from dissociated animal halves isolated from embryos injected at the one-cell stage with 2.5 ng of XleftyHA RNA. Un, uninjected oocytes or embryos; V, vehicle (1% DMSO); (â), oocytes not injected with tunicamycin, or conditioned medium not treated with PNGase F; T, tunicamycin; P, PNGase F; L, XleftyL (filled arrowhead); S, XleftyS (open arrowhead).Download figure to PowerPoint
Figure 2. Inhibition of Xnr2 by XleftyL. A: One-cell stage embryos were injected with RNA (pg/embryo indicated) encoding Xnr2 plus or minus Xlefty or Xleftymcs1, the latter to enforce XleftyS production. Animal caps were analyzed at stage 10.5 for organizer-specific (goosecoid and chordin) or pan-mesodermal markers (Xbra). Odc, loading control. B,C: Similar analysis of one-cell stage embryos overexpressing uncleavable Xlefty proprotein (B, Xleftymcs1/2 RNA used) or proprotein that enforces XleftyL production (C, from Xleftymcs2 RNA) on Xnr2-mediated mesoderm induction. WE, whole embryo plus (+) and minus (â) reverse transcriptase (RT); AC, uninjected animal cap; 1:1, 10 pg of each RNA; 10:1, 100 pg of RNA encoding Xlefty or cleavage mutant protein, and 10 pg of Xnr2 RNA.Download figure to PowerPoint
Figure 3. Glycosylation not required for protein stability or Nodal-blocking function. A:Xenopus oocytes were injected with RNA encoding Xlefty or either non-glycosylatable mutant, XleftyNGM-A or XleftyNGM-S. Arrowheads, XleftyL and XleftyS. B: Western blot, conditioned medium from animal halves from embryos injected at the one-cell stage with 100, 500, or 1,500 pg of Xleftymyc or XleftyNGM-Amyc RNA. Filled arrowheads, proprotein and XleftyL; open arrowhead, XleftyS. C: Mesoderm induction assay for effectiveness of non-glycosylated Xlefty. Marker expression was assayed at stage 10.5 in animal caps explanted from embryos injected with Xnr2 (pg/embryo indicated) with or without RNA encoding Xlefty, XleftyNGM-A, Xleftymyc, or XleftyNGM-Amyc. Un, uninjected oocyte or embryo; Vehicle, 1% DMSO; (â) conditioned medium from oocytes not injected with tunicamycin; T, tunicamycin; L, XleftyL; S, XleftyS; P, proprotein; WE, whole embryo plus (+) and minus (â) reverse transcriptase (RT); AC, uninjected animal cap. 1:1, 10 pg of each RNA; 10:1, 100 pg of RNA encoding untagged or tagged versions of Xlefty or XleftyNGM-A and 10 pg of RNA encoding Xnr2.Download figure to PowerPoint
Figure 4. Range of Xlefty movement is not altered by glycosylation. AâH: Embryos co-injected with 250 pg of LacZ RNA plus or minus 150 pg of tagged or untagged RNAs encoding Xlefty and XleftyNGM-A and stained for Red-Gal and then Myc-immunostained. AâD: Dashed line, boundary of Red-Gal lineage-label-marked producer cell clone. Broken arrow, direction of vegetal pole. Specific Myc immunodetection signal is purple (arrowhead). Embryos were visualized externally after staining in whole-mount. Embryos were uninjected (A), or received 150 pg untagged Xlefty RNA (B), 150 pg Xleftymyc RNA (C), or 150 pg XleftyNGM-Amyc RNA (D). EâH: Embryos were bisected through the patch of Red-Gal staining before myc immunostaining. Embryos were uninjected (E) or received 150 pg untagged Xlefty RNA (F), 150 pg XleftyMyc RNA (G), or 150 pg XleftyNGM-Amyc RNA (H).