|
Figure 1. Constructs used in this study. On the left are schematics of the different constructs; on the right are their sequences in the final region of the homeodomain (HD) and directly downstream of it, with different colors shading the parental sequences of XOTX2 (red), XOTX5b (yellow) and OTD (blue). Lines are introduced for sequence alignment. The divergent region responsible for the different retinal activities of XOTX2 and XOTX5b (RS box) is shown in the blue box.
|
|
Figure 2. Results of in vivo lipofection of RPCs with wild-type Xotx2 and Xotx5b, and mutant Xotx5b constructs. (a-d) Sample sections are shown for control retinae lipofected with GFP+vector DNA alone (a), GFP+Xotx2 (b), GFP+Xotx5b (c) or GFP+Xotx5bMut3 (d); GCL, ganglion cell layer; INL, inner nuclear layer; ONL, outer nuclear layer. (e) Overall distribution of retinal cell types in clones lipofected with the different constructs; PC, photoreceptor cells; HC, horizontal cells; BC, bipolar cells; AC, amacrine cells; GC, ganglion cells. The proportion of each cell type is represented as an average. Error bars indicate the standard error of the mean. The experiment was repeated at least three times for all constructs. Counted cells are indicated in the histogram (n), from 15 retinae for GFP, 15 retinae for Xotx5b, 18 retinae for Xotx2, 16 retinae for Xotx5bMut3, 10 retinae for Xotx5bMut2, and 13 retinae for Xotx5bMut1. Asterisks represent significant differences between Xotx constructs and GFP, as calculated by ANOVA analysis using the Tukey-Kramer post-test (*p < 0.05, **p < 0.01, ***p < 0.001). (f, g) In situ hybridization analyses showing examples of GFP-positive (green), Xotx5-lipofected photoreceptor cell positive for IRBP probe (Fast Red detection) (f), and a Xotx5bMut3-lipofected bipolar cell expressing Xvsx1 (Fast Red detection) (g).
|
|
Figure 3. The 'specificity box' downstream of the homeodomain is necessary and sufficient for specific retinal action of XOTX2 and XOTX5b. (a-c) Results of in vivo lipofection of RPCs with wild-type Xotx2 and Xotx5b, and mutant Xotx2Mut3 constructs, showing the overall distribution of retinal cell types in clones lipofected with the different constructs, as indicated (a); PC, photoreceptor cells; HC, horizontal cells; BC, bipolar cells; AC, amacrine cells; GC, ganglion cells. The proportion of each cell type is represented as average ± standard error of the mean. Counted cells are indicated in the histogram (n), from 9 retinae for GFP, 10 retinae for Xotx5b, 9 retinae for Xotx2, and 14 retinae for Xotx2Mut3. Asterisks represent significant differences between Xotx constructs and GFP, as calculated by Tukey-Kramer test (*p < 0.05, **p <0.01, ***p <0.001). Sample sections are shown for retinae co-lipofected with GFP+Xotx2 (b) and GFP+Xotx2Mut3 (c); GCL, ganglion cell layer; INL, inner nuclear layer; ONL, outer nuclear layer. (d, e) In situ hybridization analyses showing examples of GFP-positive (green), Xotx2-lipofected bipolar cell expressing Xvsx1 (Fast Red detection) (d), and Xotx2Mut3-lipofected photoreceptor cell positive for IRBP probe (Fast Red detection) (e). (f) The RS box is required for the biological action of either XOTX2 or XOTX5b proteins: the histogram reports the overall distribution of retinal cell types in clones lipofected with the different constructs, as indicated. Counted cells are indicated in the histogram (n), from 11 retinae for GFP, 9 retinae for Xotx5b, 6 retinae for Xotx2, 8 retinae for Xotx2Δ, and 7 retinae for Xotx5Δ.
|
|
Figure 4. The RS box is sufficient to confer a specific retinal action on Drosophila OTD protein. (a) Results of lipofection of RPCs with GFP alone or with GFP+otd; counted cells were as indicated in the histogram (n), from 17 retinae for GFP, and 11 retinae for otd; PC, photoreceptor cells; HC, horizontal cells; BC, bipolar cells; AC, amacrine cells; GC, ganglion cells. (b) Results of lipofection of RPCs with GFP alone, with GFP+Xotx wild-type constructs or GFP+otd/Xotx chimeric constructs, as indicated; counted cells are indicated in the histogram (n), from 15 retinae for GFP, 18 retinae for Xotx2, 15 retinae for Xotx5b, 9 retinae for otd/Xotx2, and 11 retinae for otd/Xotx5b. (c) Results of lipofection of RPCs with GFP alone, or with GFP+otd/box2/5b chimeric constructs, as indicated. Counted cells are indicated in the histogram (n), from six retinae for GFP, nine retinae for otd/box2, and nine retinae for otd/box5b. The proportion of each cell type (a-c) is represented as average ± standard error of the mean. (d, e) Lipofected retinae with otd/box5b are enriched in photoreceptors (d), those with otd/box2 are enriched in bipolar cells (e); GCL, ganglion cell layer; INL, inner nuclear layer; ONL, outer nuclear layer. (f) An example of GFP+otd/box5b-lipofected photoreceptor cell positive for IRBP probe after in situ hybridization (Fast Red detection). (g) A GFP+otd/box2-lipofected bipolar cell expressing Xvsx1 is shown following in situ hybridization (Fast Red detection).
|
|
Figure 5. The effect of the specificity box upon commitment of RPCs is not simply due to possible effects on nuclear localization. (a) The nuclear/cytoplasmic distribution of MYC-XOTX2 and MYC-OTD (as indicated at the left) is shown in lipofected retinal cells, and is compared to cytoplasmic GFP fluorescence; while MYC-XOTX2 shows an exclusively nuclear localization, MYC-OTD is partly cytoplasmic; on the contrary, MYC-OTD/box2 and MYC-OTD/box5b are targeted to the nucleus; a NLS-MYC-OTD fusion protein is forced into the nucleus (bottom row). (b) Endogenous XOTX2 protein distribution is detected by a specific antibody (red fluorescence) in the Xenopus retinal nuclei. (c) Although it forces OTD to the nucleus, a NLS-Myc-otd fusion construct does not have any effect on cell fate of RPCs. Counted cells were as indicated in the histogram (n), from six retinae for GFP, and four retinae for NLS-Myc-otd. PC, photoreceptor cells; HC, horizontal cells; BC, bipolar cells; AC, amacrine cells; GC, ganglion cells. Nuclei are counterstained with Hoechst.
|
|
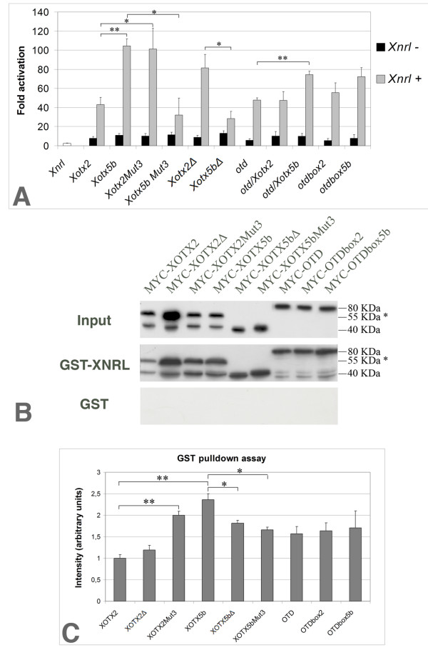
Figure 6. XOTX2 and XOTX5b differentially synergize with XNRL to activate the rhodopsin promoter and differentially interact in vitro with XNRL. (a) Results of rhodopsin promoter cell transfection assays with several Xotx/otd constructs (with or without Xnrl). Error bars indicate the standard error of the mean. (b) GST-pull down assays compare the interaction of MYC-XOTX/OTD fusion proteins to GST-XNRL or GST alone. The band indicated by an asterisk corresponds to a higher molecular weight (55 kDa) than the one expected for XOTX proteins (41 kDa) and may result from post-translational modification; this needs further investigation. (c) Results of two of these experiments, analyzed by Image J, were statistically processed; columns show the ratio of the retained MYC-tagged proteins relative to their respective input, normalized with respect to the MYC-XOTX2 retained/input ratio. Error bars indicate the standard deviation. The p-value was calculated by bilateral Student's t-test. Asterisks in histograms show statistically significant differences only for more relevant comparisons (*p < 0.05, **p <0.01). (see Additional files 12 and 13 for the full data set).
|