Click here to close
Hello! We notice that you are using Internet Explorer, which is not supported by Xenbase and may cause the site to display incorrectly.
We suggest using a current version of Chrome,
FireFox, or Safari.
Fig. 2 (Left). Expression pattern of MyoS. (A) MyoS expression assayed by RT-PCR. (B-E) In situ hybridization. No pattern of expression is seen at stage 10.5 (B), but strong expression in the somites is apparent as stages 18 (C), 24 (D) and 37/38 (E). At stage 37/38, strong expression is also seen in hypaxial muscles and in head musculature.
Fig. 3 (Right). MyoS is required for hypaxial muscle differentiation. MyoS-MO (A,C) or Control (C)-MO (B,D) were injected at a level of 20 ng into each blastomere at the 2-cell stage. (A,B) Staining with 12/101 antibody at stage 39. (C,D) In situ hybridization with MyoS probe at stage 33/34. Strong reduction or complete absence of antibody staining was seen in 31/31 MyoS-MO-injected embryos (A), while 34/37 C-MO- injected embryos showed intense staining equivalent to that in uninjected embryos (B); three separate experiments were carried out. Using MyoS staining, 27/27 embryos showed strong suppression (C), while 35/36 C- MO-injected embryos showed normal expression (D).
Fig. 4 (Left). Rescue of hypaxial muscle differentiation. Embryos were injected into one side with MyoS-MO (20 ng) or MyoS-MO plus MyoS mRNA (0.5 ng); the injected side was marked by lacZ RNA. Embryos were stained with 12/101 antibody and for β-galactosidase. (A) MyoS-MO, injected side (3/16 or 20% of embryos showed medium to strong staining, 13/16 weak to negative staining); (A uninjected side (16/16 strong staining). (B) MyoS- MO plus mut-MyoS mRNA, injected side (8/13 or 60% medium to strong staining, 5/13 weak to negative); (B uninjected side (13/13 strong staining).
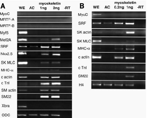
Fig. 5 (Right). MyoS induces muscle genes in animal explants. MyoS RNA was injected into the animal region of 2-cell embryos, animal caps were dissected at blastula, cultured to equivalent stage 12.5 and the expression of various genes was assayed by RT-PCR. In (A), 1 and 2ng mRNA was injected per embryo, in (B) the doses were 0.2 and 1ng. AC, uninjected animal caps; -RT, without reverse transcriptase.
myos (myoskeletin) gene expression in Xenopus laevis embryo via in situ hybridization, NF stage 18, dorsal view, anteriorleft.
myos (myoskeletin) gene expression in Xenopus laevis embryo via in situ hybridization, NF stage 24, lateral view, anteriorleft, dorsal up.
myos (myoskeletin) gene expression in Xenopus laevis embryo via in situ hybridization, NF stage 38, lateral view, anteriorleft, dorsal up.