|
Fig. 1. XSip1 acts as a repressor during neural differentiation of the ectoderm. Whole-mount in situ analysis of Sox2 expression in embryos (St. 11) or animal caps (St. 14). Embryos were injected at the four-cell stage with the indicated RNA. (AâD) Injection of 250 pg of XSip1-VP16, in contrast to wild-type XSip1 and XSip1-EnR, does not induce Sox2 in animal caps. (E, F) Embryos injected with 250 pg of XSip1-VP16 or XSip1-EnR RNA. LacZ RNA was co-injected and X-gal staining was performed to reveal distribution of the injected RNA. Note the expansion of Sox2 expression on the injected area in the XSip1-EnR injected embryo (arrow) and the reduction in the XSip1-VP16 injected embryo. (GâI) Animal caps derived from embryos co-injected with 50 pg of XSip1 RNA or 200 pg tBR RNA together with 250 pg of XSip1-VP16 RNA. XSip1-VP16 prevents induction by XSip1 or tBR of Sox2. Respective inductions (A) 100%, n = 28; (B) 0%, n = 29; (C) 90%, n = 30; (D) 0%, n = 44; (E) 80% embryos with expanded Sox2, n = 18; (F) 100% embryos with downregulation of Sox2, n = 40; (G) 0%, n = 35; (H) 100%, n = 26; (I) 0%, n = 35.
|
|
Fig. 2. Effect of BMP signaling on XSip1 activity. (AâI) Animal caps derived from embryos injected at the four cell-stage (250 pg/blastomere) with Geminin RNA (A), XSip1 RNA (B, C, EâI) or XSip1δSBD mRNA (D) with or without CA-Alk3 RNA (100 pg) analyzed at neurula stage by in situ hybridization with the indicated probes. For each marker, control non-injected animal caps are shown on the left. Non-injected control embryos and CA-Alk3 RNA-injected (100 pg) embryos at neurula stage (dorsal view, anterior right) are shown on the right. Note that CA-Alk3 blocks XSip1's ability to induce the neuronal markers Sox2 and NCAM (B and C) and the repression of Gata2 expression (E). In contrast, CA-Alk3 does not affect XSip1's ability to block several other epidermal genes like epidermal keratin, TA-2, Hya-1 and Vgl-4 (EâI). (J) Lateral views of embryos injected with XSip1 RNA alone or together with CA-Alk3 RNA and stained for epidermal keratin. Co-expression of CA-Alk3 does not affect XSip1 repression of epidermal keratin. Respective inductions/inhibitions in â+CA-Alk3 caps and embryosâ: (A) all positive, n = 35; (B) all inhibited, n = 18; (C) all inhibited, n = 52; (D) all inhibited, n = 36; (E) none inhibited, n = 40; (F) all inhibited, n = 22; (G) all inhibited, n = 25; (H) all inhibited, n = 28; (J) all inhibited, n = 33. Arrows in panels EâJ indicate the injected area.
|
|
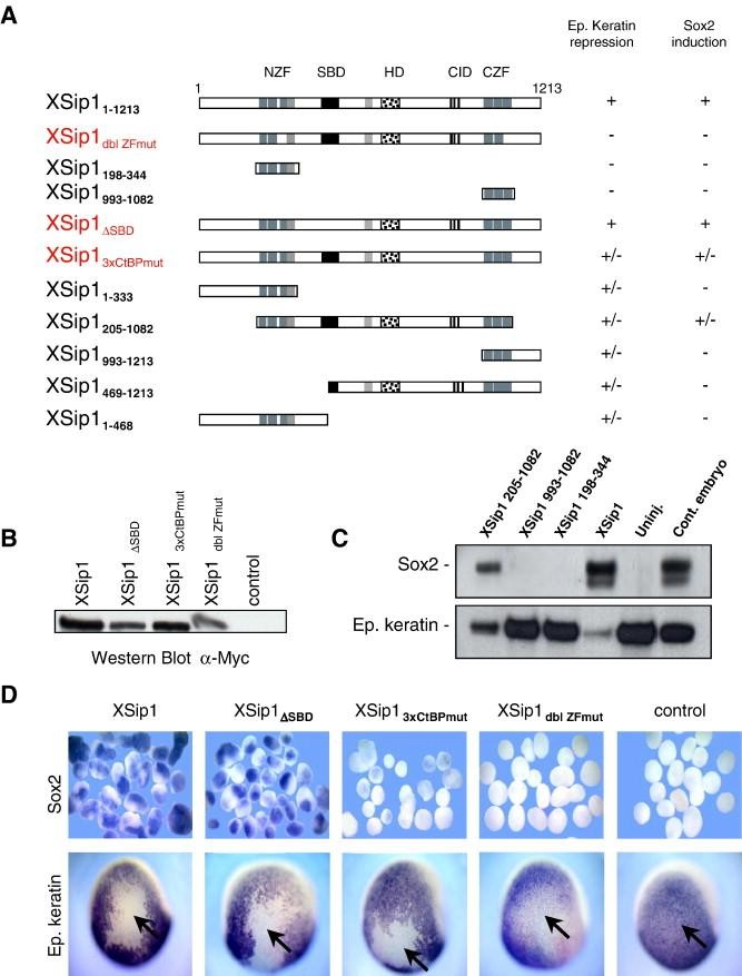
Fig. 4. Mutational analysis of XSip1 reveals multiple regions, including the CtBP interaction domain, involved in XSip1 repression activity. (A) Schematic representation of XSip1 wild-type protein and mutants used in this study. The amino-terminal and carboxy-terminal zinc finger domains (NZF and CZF; gray boxes), Smad-binding domain (SBD; black box), homeodomain-like domain (HD; dotted box), C3H type zinc finger (light gray boxes) and the CtBP interacting domain (CID: black stripes) are shown. Embryos injected unilaterally at the two-cell stage (250 pg) overproducing wild-type XSip1 or mutants were tested at neurula stage by in situ hybridization for epidermal keratin expression. For animal cap assays, embryos were injected at the four-cell stage in each cell (250 pg/blastomere). Animal caps were analyzed at neurula stage by in situ hybridization or RNase protection for Ep. keratin and Sox2 expression. The ability of the different XSip1 mutants to block Ep. keratin expression and to induce Sox2 was evaluated based on the RNase protection data: (+) fully active, (+/â) partially active, and (â) not active. A minimum of 30 embryos were used for each condition. Note that, with the exception of the XSip1dbl ZFmut, and NZF or CZF alone mutants, all mutants are active, fully or partially, in the epidermal keratin repression assay. In contrast, in the Sox2 induction assay, only the XSip1 wild-type and XSip1δSBD polypeptides are fully active. Only two other mutants show some Sox2 induction activity, XSip1205â1082 and XSip1CtBPmut. (B) Control Western blot with extracts prepared from injected animal caps overproducing Myc-tagged XSip1 wild-type and several mutant proteins. (C) RNAase protection analysis of Sox2 and Ep. keratin expression in animal caps derived from embryos overeproducing wild-type and several XSip1 mutants. Note that, compared to the wild-type protein, XSip1205â1082 shows reduced Sox2 induction and Ep. keratin repression activity. XSip1198â344 and XSip1993â1082 mutants corresponding to the first and second zinc finger domains alone are not active. (D) In situ hybridization analysis of Sox2 and Ep. keratin expression in animal caps (top panels) and embryos (bottom panels) that overproduce the indicated XSip1 proteins. Embryos are viewed laterally. Note that, in contrast to XSip1δSBD, which functions as the native XSip1 protein, XSip13xCtBPmut induced less efficiently Sox2 in animal caps and XSip1dbl ZFmut was inactive. Both XSip1δSBD and XSip13xCtBPmut, as judged by in situ hybridization, retain epidermal keratin repression activity. Arrows in panel D indicate the injected area.
|
|
Fig. 5. Comparison of XSip1, XCtBP, and XCtBP1 expression during embryogenesis. (A) RT-PCR analysis of XCtBP, XCtBP1, and XSip1 expression at the indicated embryonic stages. Histone H4 was used as a loading control. Note that both XCtBP and XCtBP1 RNA are detected throughout development, while XSip1 transcripts accumulate at the start of zygotic transcription. (B) Whole-mount in situ hybridization of XCtBP, XCtBP1, and XSip1 at the indicated stages. All embryos are shown with anterior toward the right. (C) XCtBP expression in a horizontal section of a stage 18 embryo with a blow-up showing the restricted XCtBP expression in the deep sensorial layer of the ectoderm. Transversal sections of the neural tube at the level of the hindbrain of stage 31 embryos are shown at the right. Note that XCtBP and XCtBP1 have similar expression patterns during early embryonic development and are co-expressed with XSip1 in the developing neural tissue, XCtBP being expressed earlier and at a higher level than XCtBP1. Later, XCtBP and XCtBP1 have distinct expression domains within the developing neural tube. Abbreviations: mz, marginal zone; vz, ventricular zone; pn, pronephros; ba, branchial arches; nc, neural crest; nt, neural tube; pm, posterior mesoderm; sl, sensorial layer of the ectoderm. St. 11 embryos: dorso-vegetal view, anterior right; St. 13 embryos: dorsal view, anterior right; St. 25 and 31 embryos: lateral view, anterior right.
|
|
Fig. 6. CtBP dependence of XSip1-mediated neuralizing activity. Whole-mount in situ analysis of animal caps and embryos analyzed for expression of Sox2 or Ep. keratin. (A) Animal caps derived from embryos injected with NZF-CtBP or NZF-GFP RNA (250 pg/blastomere) analyzed for Sox2 expression and embryos injected with the same RNA analyzed for epidermal keratin expression. (B) Lateral view of NZF-CID, NZF, and NZF-CIDmut injected embryos (250 pg/blastomere) analyzed for Ep. keratin expression. (C) Animal caps derived from embryos injected with XSip1 mRNA (100 pg/blastomere) co-injected with mSip1 CID or mSip1 CIDmut RNA (1 ng/blastomere) and analyzed for Sox2 expression. Note that mSip1 CID, but not mSip1 CIDmut, reduces XSip1's ability to induce Sox2. A control Western blot for Myc-XSip1 and Myc-CID content in the animal caps is shown in the right panel. (D) XSip1 and CtBP-VP16 co-expressing animal caps showing reduced level of Sox2 expression. Non-injected controls are shown on the right and XSip1 controls are shown in panel E. (E) Animal caps derived from embryos injected with XSip1 RNA (100 pg/blastomere) alone or co-injected with XCtBP MO (20 ng/blastomere) or co-injected with the XCtBP MO and mCtBP2 (200 pg/blastomere) analyzed for Sox2 expression. Caps expressing mCtBP2 alone and embryos analyzed for Sox2 are shown as controls. The efficiency of the XCtBP MO is shown in the Western blot analysis of in vitro transcription/translation reactions of XCtBP performed in the presence of increasing amounts of XCtBP MO. (F) Animal caps derived from XSip1 injected embryos were cultured from the time of their excision in the presence or absence of 400 nM TSA until stage 14 and then processed by in situ hybridization for Sox2 expression. Note that TSA treatment inhibits the ability of XSip1 to induce Sox2. Respective inhibition/inductions (A) 70% positive caps, n = 27 for NZF-CtBP; none for NZF-GFP (n = =25); 100% inhibited embryos with NZF-CtBP (n = 30); none with NZF-GFP (n = 32); (B) 60% inhibited embryos (n = 25) for NZF-CID; none for NZF alone (n = 30) and for NZF-CIDmut (n = 32); (C) 90% with reduced staining (n = 32) for XSip1 + CID; none (n = 35) for XSip1 + CIDmut; (D) all with reduced staining (n = 40) for XSip1 + CtBP-VP16; no staining in control caps (n = 30); (E) all strongly positive (n = 38) for XSip1; all with reduced staining (n = 39) for XSip1 + MO CtBP; 50% with strongly positive, n = 30 for XSip1 + CtBP MO and mCtBP2; none positive, n = 35 for mCtBP2; (F) 85% positive caps for XSip1 (n = 38) and none for XSip1 + TSA (n = 45).
|
|
Suplemental Figure2: Overexpression of XSip1 or XSip1δCtBP does not turn on neural crest or placodal markers. Slug expression marks neural crest progenitors. Six1 expression marks cephalic neurogenic placodes. (A) Embryos injected animally with the indicated ARN together with LacZ RNA. Noth that while overexpression of both XSip1 or XSip1δCtBP leads to suppression of epidermis, Slug and Six1 expression are not induced. (B) Animal caps explanted at stage 9 derived from embryos overexpressing XSip1δCtBP or control uninjected embryos. Note that while overexpression of XSip1δCtBP inhibits epidermal keratin expression, Slug and Six1 expression are not induced.
|