Click here to close
Hello! We notice that you are using Internet Explorer, which is not supported by Xenbase and may cause the site to display incorrectly.
We suggest using a current version of Chrome,
FireFox, or Safari.
PLoS One
2007 Feb 28;22:e247. doi: 10.1371/journal.pone.0000247.
Show Gene links
Show Anatomy links
Role for non-proteolytic control of M-phase-promoting factor activity at M-phase exit.
D'Angiolella V
,
Palazzo L
,
Santarpia C
,
Costanzo V
,
Grieco D
.
???displayArticle.abstract???
M-phase Promoting Factor (MPF; the cyclin B-cdk 1 complex) is activated at M-phase onset by removal of inhibitory phosphorylation of cdk1 at thr-14 and tyr-15. At M-phase exit, MPF is destroyed by ubiquitin-dependent cyclin proteolysis. Thus, control of MPF activity via inhibitory phosphorylation is believed to be particularly crucial in regulating transition into, rather than out of, M-phase. Using the in vitro cell cycle system derived form Xenopus eggs, here we show, however, that inhibitory phosphorylation of cdk1 contributes to control MPF activity during M-phase exit. By sampling extracts at very short intervals during both meiotic and mitotic exit, we found that cyclin B1-associated cdk1 underwent transient inhibitory phosphorylation at tyr-15 and that cyclin B1-cdk1 activity fell more rapidly than the cyclin B1 content. Inhibitory phosphorylation of MPF correlated with phosphorylation changes of cdc25C, the MPF phosphatase, and physical interaction of cdk1 with wee1, the MPF kinase, during M-phase exit. MPF down-regulation required Ca(++)/calmodulin-dependent kinase II (CaMKII) and cAMP-dependent protein kinase (PKA) activities at meiosis and mitosis exit, respectively. Treatment of M-phase extracts with a mutant cyclin B1-cdk1AF complex, refractory to inhibition by phosphorylation, impaired binding of the Anaphase Promoting Complex/Cyclosome (APC/C) to its co-activator Cdc20 and altered M-phase exit. Thus, timely M-phase exit requires a tight coupling of proteolysis-dependent and proteolysis-independent mechanisms of MPF inactivation.
???displayArticle.pubmedLink???
17327911
???displayArticle.pmcLink???PMC1803016 ???displayArticle.link???PLoS One
Figure 1. Cyclin B1, cyclin A abundance and MPF activity in cycling extracts. (A) Left panels, Cyclin B1 and cyclin A were visualised by immunoblot and total histone H1 kinase activity by autoradiograph of phosphorylated histone H1 (P-HH1) from samples of a cycling extract taken at the indicated time points during incubation at 23°C. Right panels, quantisation (percent of peak value) of cyclin B (open squares; from immunoblot in the left panel), cyclin B1-bound cdk1 (filled triangles; from cdk1 immunoblot of cyclin B1 immunoprecipitates; Ips) and histone H1 kinase (filled squares; autoradiographs of histone H1 kinase assayes from cyclin B1 Ips). (B, C) Left panels, cyclin B (extracts proteins autoradiograph; cyclin B position is indicated) and cdk1-phospho-tyr15 (Cdk1-Y15-P), cdk1 (Cdk1), cdc25C-phospho-ser-287 (Cdc25C-S287-P), cdc25C (Cdc25C) contents (immunoblot) from samples of two independent cycling extracts, incubated in the presence of [35S]methionine, taken at 2 min intervals. Right panels, quantisation of total extract histone H1 kinase (filled squares) and cyclin B (open squares) from the same samples. (D) Upper panels, cyclin B1, cyclin B1-associated kinase activity (Cyc B1-activity; phosphorylated histone H1 autoradiograph), cdk1-phospho-tyr-15 and cdk1 contents in cyclin B1 Ips from samples of an extract, incubated in the presence of [35S]methionine, taken across the mitosis-interphase transition. Lower graph, quantisation, expressed as percent of peak value, of cyclin B1 content (open squares) and cyclin B1-associated kinase activity (filled squares). (E) Upper panels, cyclin A (Cyc A) and cyclin A-associated kinase activity (Cyc A-activity; phosphorylated histone H1 autoradiograph), cdk1-phospho-tyr-15 and cdk1 contents in cyclin A Ips from the samples described in Fig 1D. Lower graph, quantisation, expressed as percent of peak value, of cyclin A content (open triangles) and cyclin A-associated kinase activity (filled triangles). (F) Samples from a cycling extracts, incubated in the presence of [35S]methionine, were taken at 2 min intervals. Samples were immunoprecipitated with an anti cyclin B1 antibody. Left panels, cyclin B1 (Cyc B1; autoradiograph), cyclin B1-associated cdk1 (Cdk1) was visualised by immunoblotting after resolving cyclin B1 Ips by long SDS-PAGE runs and cyclin B1-associated histone H1 kinase activity (Cyc B1 activity; autoradiograph). Right, quantisation of the autoradiographs of labelled cyclin B1 (open square) and phosphorylated histone H1 (filled square). From 34 to 38 min, the fastest migrating, dephosphorylated, cdk1 form accumulated as activity reached the maximum (38 min). Subsequently (40, 42, 44, 46 min), the slower migrating, phosphorylated, cdk1 forms reappeared as activity begun declining. (G) Cyclin B1 (Cyc B1 Ip) and cyclin A (Cyc A Ip) Ips from samples of a cycling extract taken 2 min after the cyclin B1-cdk1 activity peak. The cdk1-phospho-tyr-15 (Cdk1-Y15-P) and cdk1 were visualised by immunoblot after resolving the Ips by long SDS-PAGE runs. Since cyclin A is about 5 fold less abundant than cyclin B1 and cyclin A degradation was already started in the samples used, cyclin A Ips were from 6 times more extract sample than for cyclin B1 Ips to have comparable amounts of cdk1 on the blot.
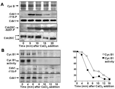
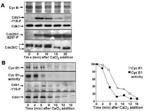
Figure 2. Cyclin B1 abundance and MPF activity in CSF-arrested extracts. (A) Cyclin B, cdk1-phospho-tyr15, cdk1, cdc25C-phospho-ser-287 and cdc25C contents from total extract samples of a CSF-arrested extract, pre-incubated with [35S]methionine, at the indicated time points after CaCl2 addition. (B) Left panels, cyclin B1, cyclin B1-associated kinase activity, cdk1-phospho-tyr15 and cdk1 contents in cyclin B1 Ips from CSF-arrested extract samples at the indicated time points after CaCl2 addition. Right, quantisation of cyclin B1 content (open squares), cyclin B1-associated kinase activity (filled squares) from cyclin B1 Ips.
Figure 3. MPF hampers Cdc20-APC/C interaction. (A) Cdc25C-phospho-ser-287, cdc25C and cdk1-phospho-tyr15 contents during incubation time of a control cycling extract, treated with GST, and a portion of the same extract treated with GST-RIIβ (+GST-RIIβ) to inhibit PKA. To a portion of the GST-RIIβ-treated extract, cAMP (4 µM) was added at 40 min of incubation, to reactivate PKA, and samples taken at 45 min (-+cAMP). (B) Cyclin B stability during incubation time in a control extract and in portions of a GST-RIIβ-treated extract to which either roscovitine (2 µM; 1/30 extract volume), to inhibit cdk activity, or DMSO (1/30 extract volume), as control, were added.
Figure 4. MPF hampers Cdc20-APC/C interaction through Cdc20 phopshorylation. (A) Cyclin B stability after CaCl2 addition in [35S]labelled CSF-arrested extract portions treated with buffer, as control, recombinant cyclin B1-cdk1wt or cyclin B1-cdk1AF complexes. To portions of the cyclin B1-cdk1AF-treated extract, either roscovitine (2 µM; 1/30 extract volume), or DMSO (1/30 extract volume) as control, were added 1 min after CaCl2. (B) Total Cdc27 and Cdc27-bound Cdc20 (IpCdc27/IbCdc20) from CSF-arrested samples treated with recombinant cyclin B1-cdk1wt and cyclin B1-cdk1AF complexes at the indicated time points after CaCl2 addition (the time 0 sample received no CaCl2). [35S]labelled Cdc20 wild type (wt) and a 7 phosphorylation sites mutant version (7A) were produced in reticulocyte lysates (lanes 1, 2). Labelled proteins were incubated with portions of a CHX-treated CSF-arrested extract for 30 min (lanes 3, 4). Cdc27 was, then, immunoprecipitated (Cdc 27 Ip) and the amount of bound wt (lane 7) and 7A (lane 8) Cdc20 detected by autoradiography. Lanes 5, 6, mock Ips (Mk Ip). (C) Portions of a [35S]labelled CSF-arrested extract were incubated for 40 min with mock (contr.), cdc20 wt or cdc20 7A programmed reticulocyte lysates in the presence of CHX. (D) The cdc20 wt- and cdc20 7A-treated portions where further incubated for 20 min with cyclin B1-cdk1AF. Then, aliquots were taken at the indicated time points after CaCl2 addition. Shown is an autoradiograph of [35S]labelled extracts proteins (the position of cyclin B is indicated). (E) Quantisation of remaining cyclin, expressed as percent, from cyclin B1-cdk1AF-treated extract portions in the presence of cdc20 wt (open squares) or cdc20 7A (filled squares). Error bars refer to variability within three independent experiments.
Figure 5. Wee1 and cdk1 physically interact in M-phase. (A) Histone H1 kinase activity in cdk1 Ips from samples of CSF-arrested extract (M), interphase extract (I; 40 min after CaCl2 and CHX additions) and from samples taken at the indicated time points after sea urchin ΔB (100nM) addition to an interphase extract. Left panel, phosphorylated histone H1 autoradiograph (P-HH1). Right panel, quantisation of cdk1 activity from three independent experiments. (B) Cdk1 activity, cdk1-phospho-tyr15 and cdk1 content in cdk1 Ips from extract samples taken at the indicated time points after ΔB addition. (C, D) Wee1 and cdk1 were immunoprecipitated from samples of CSF-arrested (M), interphase (I) extracts and interphase extract samples from the time of ΔB addition. Left panels, wee1 and wee1-associated cdk1 in wee1 Ips. Right, histone H1 kinase activity in cdk1 Ips. In (D) the lower part of the wee1 Ips immunoblot was first probed for cdk1-phospho-tyr15 and subsequently for cdk1. (E, F) Full-length, [35S]labelled, Xenopus cyclin B1 was added to two independent interphase extracts along with ΔB. The extracts were spilt into two portions and DMSO, as control, or roscovitine (10 µM) were added after 33 min incubation, samples were, then, taken at the indicated time points after ΔB addition. Shown are autoradiographs and quantisations of percent remaining [35S]labelled, full-length cyclin B1.
Arnaoutov,
The Ran GTPase regulates kinetochore function.
2003, Pubmed,
Xenbase
Arnaoutov,
The Ran GTPase regulates kinetochore function.
2003,
Pubmed
,
Xenbase
Ciliberto,
Rewiring the exit from mitosis.
2005,
Pubmed
,
Xenbase
Costanzo,
Reconstitution of an ATM-dependent checkpoint that inhibits chromosomal DNA replication following DNA damage.
2000,
Pubmed
,
Xenbase
D'Angiolella,
Attach first, then detach: a role for cyclin B-dependent kinase 1 in coordinating proteolysis with spindle assembly.
2004,
Pubmed
,
Xenbase
D'Angiolella,
Role for cyclin-dependent kinase 2 in mitosis exit.
2001,
Pubmed
,
Xenbase
D'Angiolella,
The spindle checkpoint requires cyclin-dependent kinase activity.
2003,
Pubmed
,
Xenbase
Duckworth,
G2 arrest in Xenopus oocytes depends on phosphorylation of cdc25 by protein kinase A.
2002,
Pubmed
,
Xenbase
Dunphy,
The decision to enter mitosis.
1994,
Pubmed
Grieco,
A role for cAMP-dependent protein kinase in early embryonic divisions.
1994,
Pubmed
,
Xenbase
Grieco,
Requirement for cAMP-PKA pathway activation by M phase-promoting factor in the transition from mitosis to interphase.
1996,
Pubmed
,
Xenbase
Harvey,
Cdk1-dependent regulation of the mitotic inhibitor Wee1.
2005,
Pubmed
Hoffmann,
Phosphorylation and activation of human cdc25-C by cdc2--cyclin B and its involvement in the self-amplification of MPF at mitosis.
1993,
Pubmed
,
Xenbase
Hutchins,
Regulation of Cdc2/cyclin B activation in Xenopus egg extracts via inhibitory phosphorylation of Cdc25C phosphatase by Ca(2+)/calmodulin-dependent protein [corrected] kinase II.
2003,
Pubmed
,
Xenbase
Kim,
Multisite M-phase phosphorylation of Xenopus Wee1A.
2005,
Pubmed
,
Xenbase
Lorca,
Fizzy is required for activation of the APC/cyclosome in Xenopus egg extracts.
1998,
Pubmed
,
Xenbase
Lorca,
Calmodulin-dependent protein kinase II mediates inactivation of MPF and CSF upon fertilization of Xenopus eggs.
1993,
Pubmed
,
Xenbase
Luca,
Both cyclin A delta 60 and B delta 97 are stable and arrest cells in M-phase, but only cyclin B delta 97 turns on cyclin destruction.
1991,
Pubmed
,
Xenbase
Murray,
Cyclin synthesis drives the early embryonic cell cycle.
1989,
Pubmed
,
Xenbase
Peters,
The anaphase-promoting complex: proteolysis in mitosis and beyond.
2002,
Pubmed
Pomerening,
Systems-level dissection of the cell-cycle oscillator: bypassing positive feedback produces damped oscillations.
2005,
Pubmed
,
Xenbase
Solomon,
Cyclin activation of p34cdc2.
1990,
Pubmed
,
Xenbase
Stanford,
Changes in regulatory phosphorylation of Cdc25C Ser287 and Wee1 Ser549 during normal cell cycle progression and checkpoint arrests.
2005,
Pubmed
,
Xenbase
Stumpff,
Drosophila Wee1 interacts with members of the gammaTURC and is required for proper mitotic-spindle morphogenesis and positioning.
2005,
Pubmed
Tunquist,
Under arrest: cytostatic factor (CSF)-mediated metaphase arrest in vertebrate eggs.
2003,
Pubmed
,
Xenbase
Wolfe,
Inactivating Cdc25, mitotic style.
2004,
Pubmed
,
Xenbase
Yudkovsky,
Phosphorylation of Cdc20/fizzy negatively regulates the mammalian cyclosome/APC in the mitotic checkpoint.
2000,
Pubmed