Click here to close
Hello! We notice that you are using Internet Explorer, which is not supported by Xenbase and may cause the site to display incorrectly.
We suggest using a current version of Chrome,
FireFox, or Safari.
???displayArticle.abstract???
The epithelium of the mammalian digestive tract originates from stem cells and undergoes rapid cell-renewal throughout adulthood. It has been proposed that the microenvironment around the stem cells, called 'niche', plays an important role in epithelial cell-renewal through cell-cell and cell-extracellular matrix interactions. The amphibian intestine, which establishes epithelial cell-renewal during metamorphosis, serves as a unique and good model for studying molecular mechanisms of the stem cell niche. By using the organ culture of the Xenopus laevis intestine, we have previously shown that larval-to-adult epithelial remodeling can be organ-autonomously induced by thyroid hormone (TH) and needs interactions with the surrounding connective tissue. Thus, in this animal model, the functional analysis of TH response genes is useful for clarifying the epithelial-connective tissue interactions essential for intestinal remodeling at the molecular level. Recent progress in culture and transgenic technology now enables us to investigate functions of such TH response genes in the X. laevis intestine and sheds light on molecular aspects of the stem cell niche that are common to the mammalian intestine.
Fig. 1. Comparison between the
amphibian intestine from larval to
adult form and the mammalian
intestine. During amphibian metamorphosis,
the simple larval intestine
is remodeled into the more complex
one, similar to the mammalian
intestine. The brush border of the
amphibian larval intestine is longer
than that in the adult intestine
and in the mammalian intestine.
The amphibian adult epithelium
undergoes cell-renewal along the
trough-crest axis of intestinal folds,
similar to that along the crypt-villus
axis in the mammalian intestine. All
of the mammalian intestinal epithelial
cells originate from stem cells in
the crypt, where several kinds of
cells act as niche players.
Fig. 2. Adult epithelial primordia surrounded by subepithelial
fibroblasts during Xenopus laevis metamorphosis. (A) Primordia
of the adult intestinal epithelium (AE) consist of undifferentiated
cells, whose cytoplasm is poor in cell organelles. They appear
as islets between the degenerating larval epithelium (LE) and
the connective tissue (CT). (B) Higher magnification of the site
indicated by the box in (A). Subepithelial fibroblast (Fb) makes
cell contact (arrowhead) with the adult epithelial cell through the
basal lamina (bl), which becomes thick and amorphous. (C)
Fibroblasts just beneath the adult epithelial primordia possess
well-developed rough endoplasmic reticulum (rer). Bars, 1 μm.
Fig. 3. Schematic drawing showing thyroid hormone (TH)
response genes that are expressed either in the epithelium or the
connective tissue during Xenopus laevis intestinal remodeling.
Some of the genes, including Shh and ST3, are directly
upregulated by TH, whereas the others are indirectly upregulated.
Fig. 4. Strategy for the functional analysis of thyroid hormone
(TH) response genes. If genes encode the secretory protein,
their effects can be examined by adding the encoded protein
and its antagonist to the medium in the organ culture system
(A), where tubular intestines isolated from tadpoles are slit
open lengthwise and cultured at 26°C. If genes encode the
transcription factor, a gene transfer system using electroporation
(B) is available. In the intestine transfected with green
fluorescent protein (GFP)-expressing plasmid and then
cultured, its expression attains its maximum around day 3, when
the GFP protein is detectable uniformly in the epithelium.
Intestines isolated from transgenic frogs (C) are also useful for
the organ culture system. CT, connective tissue; E, epithelium;
M, muscle.
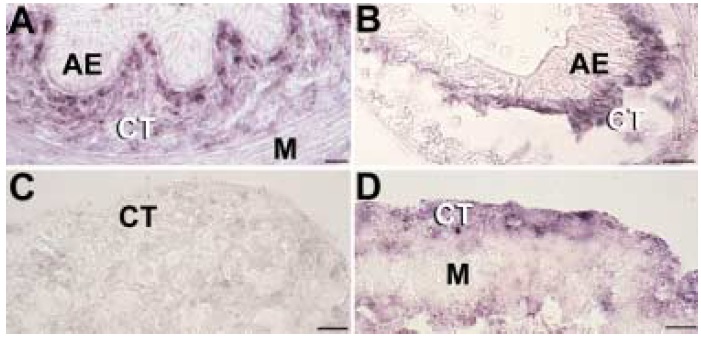
Fig. 5. BMP-4 mRNA expression in the Xenopus laevis intestine
during metamorphic climax (A) and the stage 57 tadpole
intestines cultured for 5 days in the presence of thyroid hormone
(TH) (BâD). (A) When adult epithelial primordia (AE) grow in size,
signals in the connective tissue (CT) become stronger with a
gradient toward the primordia. (B) Intact intestine. BMP-4
expression is upregulated in the connective tissue just beneath
the epithelium. (C, D) Epithelium-free intestines in the absence
(C) and presence of Shh (500 ng/mL) (D). Shh induces BMP-4
expression only in the connective tissue. M, muscle. Scale bars,
20 μm.
Fig. 6. Effects of exogenous BMP-4
and Chordin proteins on the X. laevis
intestine at stage 57 and cultured for
5 days (A–C) and 7 days (D–F) in the
presence of thyroid hormone (TH).
Sections were stained with methyl
green-pyronin Y (A–C) and immunostained
with anti-IFABP antibodies
(D–F). (A, D) Control intestines cultured
without BMP-4 and Chordin. Primordia (arrowheads) of the adult epithelium (AE) become detectable between the larval epithelium
(LE) and the connective tissue (CT) (A) and then differentiate into the absorptive epithelium expressing IFABP (D). (B, E) In the
presence of BMP-4 (100 ng/mL). The single layer of the adult epithelium is precociously differentiated on day 5 (B) and its
immunoreactivity for IFABP is much higher (E) than that in the control intestine (D). (C, F) In the presence of Chordin (1 μg/mL). Adult
progenitor cells positive for pyronin Y (arrows) are fewer (C) than those in the control intestine on day 5 (A) and IFABP expression
remains undetectable until day 7 (F). Scale bars, 20 μm.