Click here to close
Hello! We notice that you are using Internet Explorer, which is not supported by Xenbase and may cause the site to display incorrectly.
We suggest using a current version of Chrome,
FireFox, or Safari.
???displayArticle.abstract???
Transgenic Xenopus laevis tadpoles that express a dominant negative form of the thyroid hormone receptor (TRDN) controlled by the cardiac actinmuscle promoter (pCar) develop with very little limbmuscle. Under the control of the tetracycline system the transgene can be induced at will by adding doxycycline to the rearing water. Pre-existing limbmuscle fibers begins to disintegrate within 2 days after up-regulation of the TRDN transgene. The muscle cells do not die even after weeks of transgene exposure when the myofibrils have degenerated completely and the tadpole is nearing death. A microarray analysis after 2 weeks of exposure to the transgene identified 24 muscle genes whose expression was altered in such a way that they might cause the muscle phenotype. These candidate genes are normally activated in growing limbmuscle but they are repressed by the TRDN transgene. Several of these genes have been implicated in mammalian myopathies. However, the expression of only one of these genes, calsequestrin, is down-regulated in 1 day and therefore might initiate the degeneration. Calsequestrin is one of several affected genes that encode proteins involved in calcium sequestration, transport and utilization in muscle suggesting that uncontrolled calcium influx into the growing limbmuscle fibers causes rhabdomyolysis. Many of the same genes that are down-regulated in the tail at the peak of metamorphic climax just before it is resorbed are suppressed in the transgenic limbmuscle in effect turning the limb growth program into a tail resorption program.
Fig. 1. The transgene is expressed exclusively in muscle. A transgenic limb (NF55) frontal section simultaneously reacted with (A) an antibody to GFP (red) and DAPI (blue); (B) an antibody to myosin (My32, green) and DAPI (blue); (C) merge of panels A and B without the DAPI. The scale bar=200 μm.
Fig. 2. Electron micrographs of the limbmuscle phenotype at NF61. (A, C) control, and (B, D) pCar/TRDN limb. Panels A and B are longitudinal sections and panels C and D are cross sections. The sibling control and pCar/TRDN tadpoles were raised for 6 weeks in Dox. The scale bar=5 μm.
Fig. 3. Design of the limb microarray experiment. Hind limbs were removed from the circled stages for RNA extraction. In the text the expression results always
compare the transgenic limbs and the frog limbs with the GFP negative NF56 controls.
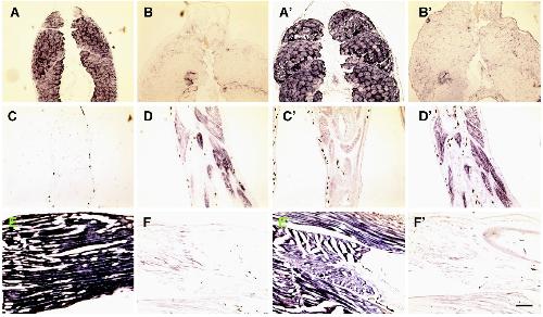
Fig. 5. In situ hybridization with panelsA�F, alpha actin (BC046739) and panelsAâ²ï¿½Fâ², LIM (BC041221). PanelsA andAâ², cross sections of control NF55 tail; panels B
and Bâ², cross sections of NF 62 tail; panels C and Câ², are frontal sections of control NF56 limb. Panels D and Dâ², are frontal sections of NF56 limb treated for 3 days with
10 nM T3; panels E, Eâ², frontal section of control NF61 limb; panels F, Fâ², pCar transgenic limb that was induced for 6 weeks. with Dox. Scale bars=200 μm.
Fig. 6. Kinetics of limbmuscle fiber degradation after inducing the transgene by the addition of the inducer, Dox. Whole mount My32 (myosin) immunostain. Transgenic tadpoles at NF 55 were induced with Dox for 2 days, 4 days, and 1 week. Scale bar=200 μm.
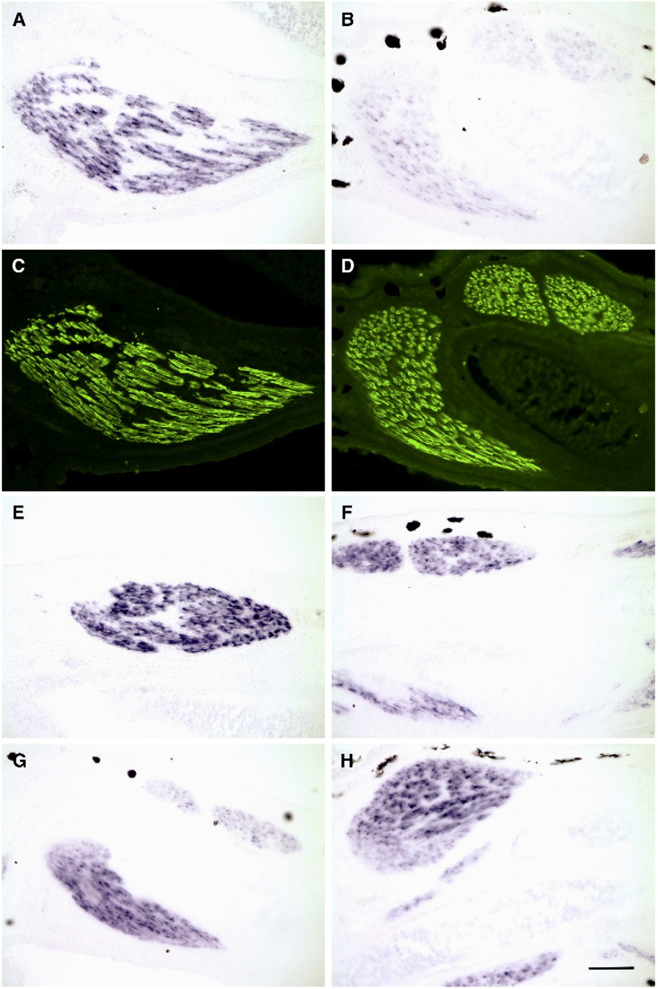
Fig. 7. Early disappearance of calsequestrin mRNA in hind limbmuscle after the up-regulation of the TRDN transgene with Dox. Panels A, B, E�H are in situ
hybridization; panels C and D are the same sections as panels A and B immunostained with My32 (green). Panels A, C, E, and G are uninduced NF 55 transgenic
tadpole limb sections; panels B, D, F, and H are limb sections of NF 55 transgenic tadpoles induced for 1 day with Dox. (A, B) calsequestrin; (E, F) actin; (G, H)
SERCA Ca(2+)-ATPase. Scale bar=200 μm.
pdlim7 (PDZ and LIM domain 7 (enigma)) gene expression in Xenopus laevis embryo, assayed via in situ hybridization, NF stage 55, coronal histological section, dorsal up.
casq1 (calsequestrin 1 (fast-twitch, skeletal muscle) gene expression in Xenopus laevis embryo, assayed via in situ hybridization, NF stage 55, transverse histological section of limb.
Supplementary Figure S1.
Muscle progenitor cells are present in the pCar/TRDN limb even at the climax of metamorphosis (NF61), and they incorporate Brdu. (A) Brdu positive cells (green); (B) satellite muscle cells labeled with an antibody to Pax 7 (red); C, a merged picture of A and B. Scale bar = 200 μm.
Supplementary Figure S2.
In situ hybridization shows that titin (A, B) and desmin (Aâ², Bâ²) gene expression are not affected by the transgene. (A, Aâ²) NF61 limb without Dox; (B, Bâ²) pCar/TRDN NF61 limb after 6 weeks of Dox treatment; (C, Câ²) same sections as B, Bâ² but immunostained with My32 (myosin). Scale bar = 200 μm.
Supplementary Figure S3.
Kinetics of gene expression after addition of Dox to pCar/TRDN tadpoles at NF56. (A1âD1) calsequestrin 1; (A2âD2) actin alpha 1; (A3âD3) phosphoglycerate mutase 2. (A1âA3) control; (B1âB3) 2 days of Dox; (C1âC3) 4 days of Dox; (D1âD3) 1 week of Dox. Sections of bone can be seen in some panels (black arrow) at background levels. Scale bar = 200 μm.
Batt,
Differential gene expression profiling of short and long term denervated muscle.
2006, Pubmed
Batt,
Differential gene expression profiling of short and long term denervated muscle.
2006,
Pubmed
Bertocchini,
Requirement for the ryanodine receptor type 3 for efficient contraction in neonatal skeletal muscles.
1997,
Pubmed
Brown,
Thyroid hormone controls multiple independent programs required for limb development in Xenopus laevis metamorphosis.
2005,
Pubmed
,
Xenbase
Cai,
Expression of type II iodothyronine deiodinase marks the time that a tissue responds to thyroid hormone-induced metamorphosis in Xenopus laevis.
2004,
Pubmed
,
Xenbase
Cameron,
Evidence for polarizing zone in the limb buds of Xenopus laevis.
1977,
Pubmed
,
Xenbase
Chambers,
The lethal mutation of the mouse wasted (wst) is a deletion that abolishes expression of a tissue-specific isoform of translation elongation factor 1alpha, encoded by the Eef1a2 gene.
1998,
Pubmed
Comi,
Beta-enolase deficiency, a new metabolic myopathy of distal glycolysis.
2001,
Pubmed
Das,
Controlling transgene expression to study Xenopus laevis metamorphosis.
2004,
Pubmed
,
Xenbase
Das,
Multiple thyroid hormone-induced muscle growth and death programs during metamorphosis in Xenopus laevis.
2002,
Pubmed
,
Xenbase
Das,
Gene expression changes at metamorphosis induced by thyroid hormone in Xenopus laevis tadpoles.
2006,
Pubmed
,
Xenbase
DiMauro,
Human muscle phosphoglycerate mutase deficiency: newly discovered metabolic myopathy.
1981,
Pubmed
Furlow,
A set of novel tadpole specific genes expressed only in the epidermis are down-regulated by thyroid hormone during Xenopus laevis metamorphosis.
1997,
Pubmed
,
Xenbase
Gissel,
The role of Ca2+ in muscle cell damage.
2005,
Pubmed
Hoffmann,
First mutation in cardiac troponin C, L29Q, in a patient with hypertrophic cardiomyopathy.
2001,
Pubmed
Ilkovski,
Nemaline myopathy caused by mutations in the muscle alpha-skeletal-actin gene.
2001,
Pubmed
Karlik,
A nonsense mutation within the act88F actin gene disrupts myofibril formation in Drosophila indirect flight muscles.
1984,
Pubmed
Kroll,
Transgenic Xenopus embryos from sperm nuclear transplantations reveal FGF signaling requirements during gastrulation.
1996,
Pubmed
,
Xenbase
Lucas-Héron,
Is there a maturation defect related to calcium in muscle mitochondria from dystrophic mice and Duchenne and Becker muscular dystrophy patients.
1989,
Pubmed
MacLennan,
The mechanism of Ca2+ transport by sarco(endo)plasmic reticulum Ca2+-ATPases.
1997,
Pubmed
Marsh-Armstrong,
Thyroid hormone controls the development of connections between the spinal cord and limbs during Xenopus laevis metamorphosis.
2004,
Pubmed
,
Xenbase
Nakajima,
Dual mechanisms governing muscle cell death in tadpole tail during amphibian metamorphosis.
2003,
Pubmed
,
Xenbase
Odermatt,
Mutations in the gene-encoding SERCA1, the fast-twitch skeletal muscle sarcoplasmic reticulum Ca2+ ATPase, are associated with Brody disease.
1996,
Pubmed
Picard,
Sirt1 promotes fat mobilization in white adipocytes by repressing PPAR-gamma.
2004,
Pubmed
Schreiber,
Diverse developmental programs of Xenopus laevis metamorphosis are inhibited by a dominant negative thyroid hormone receptor.
2001,
Pubmed
,
Xenbase
Sharov,
A web-based tool for principal component and significance analysis of microarray data.
2005,
Pubmed
Steeghs,
Altered Ca2+ responses in muscles with combined mitochondrial and cytosolic creatine kinase deficiencies.
1997,
Pubmed
Urlinger,
Exploring the sequence space for tetracycline-dependent transcriptional activators: novel mutations yield expanded range and sensitivity.
2000,
Pubmed
Yaoita,
Induction of apoptosis and CPP32 expression by thyroid hormone in a myoblastic cell line derived from tadpole tail.
1997,
Pubmed
,
Xenbase