XB-ART-35052
BMC Dev Biol
2006 Dec 19;6:63. doi: 10.1186/1471-213X-6-63.
Show Gene links
Show Anatomy links
Xenopus Dab2 is required for embryonic angiogenesis.
???displayArticle.abstract???
BACKGROUND: The molecular mechanisms governing the formation of the embryonic vascular system remain poorly understood. Here, we show that Disabled-2 (Dab2), a cytosolic adaptor protein, has a pivotal role in the blood vessel formation in Xenopus early embryogenesis. RESULTS: Xenopus Disabled-2 (XDab2) is spatially localized to the blood vessels including the intersomitic veins (ISV) in early embryos. Both antisense morpholino oligonucleotide (MO)-mediated knockdown and overexpression of XDab2 inhibit the formation of ISV, which arise from angiogenesis. In addition, we found that activin-like signaling is essential for this angiogenic event. Functional assays in Xenopus animal caps reveal that activin-like signals induce VEGF expression and this induction can be inhibited by XDab2 depletion. However, XDab2 MO has no effects on the induction of other target genes by activin-like signals. Furthermore, we show that the disruption of the sprouting ISV in XDab2-depleted embryos can be rescued by coexpression of VEGF. CONCLUSION: Taking together, we suggest that XDab2 regulates the embryonic angiogenesis by mediating the VEGF induction by activin-like signaling in Xenopus early development.
???displayArticle.pubmedLink??? 17176484
???displayArticle.pmcLink??? PMC1766927
???displayArticle.link??? BMC Dev Biol
Species referenced: Xenopus laevis
Genes referenced: a2m actl6a aplnr dab2 ephb4 gal.2 mix1 myc odc1 ptbp1 rps3a smad2 smad3 sox17a tbxt vegfa
???displayArticle.morpholinos??? dab2 MO1 dab2 MO2
???attribute.lit??? ???displayArticles.show???
|
|
Figure 1. Comparison of Dab2 homologue sequences and spatiotemporal expression pattern of Xenopus Dab2. (A) Alignment of Xenopus, human, rat, mouse and zebrafish Dab2 sequences. They contain the conserved N-terminal PTB and C-terminal PRD domains. The identities between the domains are shown as percentages. (B-K) The spatial and temporal expression patterns of XDab2. (B) RT-PCR analysis showing the temporal expression pattern of XDab2 in Xenopus early development. Stages are indicated above the lanes. ODC serves as a loading control. (C) Animal view of a one-cell stage embryo. (D) Lateral view of a cleavage stage embryo. (E) Anterior view of a neurula stage embryo with dorsal at top. (F) A neurulae viewed dorsally with anterior at bottom. (G) Lateral view of a tailbud stage embryo showing XDab2 expressed in presomitic region. (H) Dorsal view of a tailbud stage embryo with anterior at left. (I and J) Lateral view of late tailbud stage embryos. (K) A tadpole stage embryo in which XDab2 is expressed in the pronephric sinus (PS), vascular vitelline networks (VVN), anterior cardinal veins (ACV), common cardinal veins (CCV), posterior cardinal veins (PCV) and intersomitic veins (ISV). |
|
|
Figure 2. Overexpression of XDab2 disrupts the sprouting of ISV. (A and B) Injection of XDab2 RNA inhibits the formation of the sprouting ISV on the injected side of the embryo, with that on the uninjected side being normal. The same amount of control nuclear β-galactosidase (β-gal) RNA shows no effects on the ISV sprouts. One blastomere of two-cell stage embryos was injected with β-gal RNA as a lineage tracer with or without XDab2 RNA. Embryos were fixed at stage 34, stained for β-gal and then hybridized against Xmsr (A) or EphB4 (B). Arrows and arrowheads indicate the normal and disrupted ISV on the injected side of the embryo, respectively. Rectangular areas in the upper panels are enlarged in the lower panels. (C) The table showing the results from the gain-of-function analysis of XDab2. Overexpression of XDab2 causes the angiogenic defects in a dose-dependent manner. |
|
|
Figure 3. XDab2 is required for the formation of ISV sprouts. (A) Control embryos injected with Co MO (30 ng) show no defects in the sprouting ISV. (B-E) XDab2 knockdown impedes the formation of ISV and this inhibitory effect can be rescued by coexpression of Xenopus Dab2 (D) or human Dab2 (E) RNA, which is resistant to the translational inhibition of MO. One blastomere of two-cell stage embryos was injected with XDab2 MO (30 ng) alone or with XDab2 RNA (250 pg) or hDab2 RNA (250 pg), and then embryos fixed at stage 34 were insituhybridized against Xmsr (B, D and E) or EphB4 (C). Arrows and arrowheads represent the normal and disrupted ISV, respectively. (F and G) Microangiography showing that XDab2 depletion causes abnormality in blood circulation in stage 42 embryos (F: 47%, n = 17), while Co MO-injected embryos reveal the normal circulation (G: 0%, n = 8). Arrowhead and asterisks represent the leaky vessels and the absence of ISV, respectively. DLAV, the dorsal longitudinal anastomosing vessel; DA, the dorsal aorta; PCV, the posterior cardinal veins; ISV, the intersomitic veins. (H and I) The graph and table showing the results from the loss-of-function analysis of XDab2. (J and K) Loss-of-function of XDab2 interferes with vasculogenesis. (J) The illustration of transverse section analysis. Roman numerals (I IV) indicate the positions of embryo sections shown in panel (K). (K) A series of embryo sections show the absence or decrease of the endothelial marker, Xmsr in PCV (arrows) and VVN (arrowheads) on the XDab2 MO-injected side, which is indicated by the β-galactosidase staining. The XDab2 knockdown embryos (n = 12) with the angiogenic defects were analyzed and all of them showed these phenotypes. |
|
|
Figure 4. Gain- and loss-of-function of activin-like signaling inhibit the sprouting of ISV. One blastomere of two-cell stage embryos was injected with constitutively active activin receptor (CA hALK4) DNA, dominant negative activin receptor (DN hALK4) DNA or dominant negative Smad3 (DN Smad3) DNA together with nuclear β-galactosidase mRNA as a lineage tracer and later subjected to insitu hybridization using Xmsr probe. (A) Uninjected control embryo. (B) CA hALK4 (1 ng)-injected embryo. (C) DN hALK4 (1 ng)-injected embryo. (D) DN Smad3 (1 ng)-injected embryo. (E) The graph showing the effects of CA hALK4, DN hALK4, DN Smad3 and DN Smad2 on the ISV sprouts. |
|
|
Figure 5. XDab2 mediates the induction of VEGF by activin-like signaling. (A) RT-PCR analysis revealing that XDab2 MO (40 ng), but not Co MO, inhibits the induction of VEGF gene by CA hALK4 RNA (2 ng) in animal cap tissues. +RT and -RT; control RT-PCR on the whole embryo RNA in the presence or absence of reverse transcriptase. AC, uninjected animal cap cells. Four-cell stage embryos were injected into the animal pole region with a combination of the indicated reagents, and then animal caps isolated at late blastula stages were cultured to stage 20 and subsequently subjected to RT-PCR analysis. (B-E) VEGF gene expression could be reduced by Dab2 depletion but not by its overexpression. (D) XDab2 RNA (2 ng)-injected embryo. (E) hDab2 RNA (2 ng)-injected embryo. (F) The inhibition of activin-like signaling by injection of DN hALK4 (1 ng) decreased VEGF gene expression. (G) The table summarizing the results of Fig. 5B-F. (H-J) The angiogenic defects caused by XDab2 knockdown can be rescued by coexpression of VEGF. Arrows and arrowheads indicate the normal and inhibited ISV, respectively. The amount of injected reagents: 30 ng, Co Mo; 30 ng, XDab2 MO; 1 ng, VEGF mRNA. (K) The graph showing the results of Fig. 5H-J. |
|
|
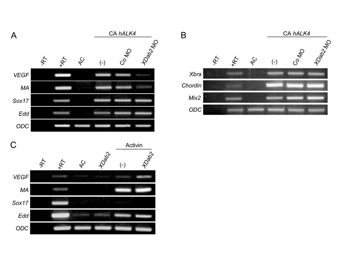
Figure 6. XDab2 acts as a specific mediator of activin-like signaling for VEGF gene induction. (A and B) Depletion of XDab2 inhibits the induction by activin-like signal of late mesodermal target genes such as VEGF and muscle actin (MA) without affecting that of early mesodermal (Chordin, Xbra and Mix2) and late endodermal (Sox17 and Endodermin) target genes in animal caps. (C) XDab2 enhances the activity of activin protein to induce VEGF, but the expression of other target genes was not changed by XDab2 overexpression. (A-C) Four-cell stage embryos were injected into the animal pole region with a combination of the indicated reagents and the animal caps isolated at stage 8 were cultured to stage 10.5 (B) or 20 (A and C) and then subjected to RT-PCR analysis. The amount of the injected reagents: 2 ng, CA hALK4 RNA; 40 ng, Co MO; 40 ng, XDab2 MO; 2 ng, XDab2 RNA. In panel (C), the animal caps were cultured in the presence of 5 ng/ml of activin protein. +RT and -RT; control RT-PCR on the whole embryo RNA in the presence or absence of reverse transcriptase. AC, uninjected animal cap cells. |
|
|
Gain-of-function of hDab2 impedes the sprouting of ISV in Xenopus embryo. (A) Injection of hDab2 RNA (2 ng) inhibited the formation of the sprouting ISV on the injected side of the embryo, and that on the uninjected side was normal. One blastomere of two-cell stage embryos was injected with hDab2 RNA along with β-gal RNA as a lineage tracer. Embryos were fixed at stage 34, stained for β-gal and then hybridized against Xmsr or EphB4. Arrowheads indicate disrupted ISV on the injected side of the embryo. Rectangular areas in the upper panels are enlarged in the lower panels. (B) The table summarizing the results from the gain-of-function analysis of hDab2. |
|
|
Splicing isoforms of mDab2 have similar effects on the ISV formation in Xenopus embryo. (A) Injection of Co MO (30 ng) caused no defects in the sprouting ISV. (B-D) XDab2 knockdown inhibited the formation of ISV (B) and this angiogenic defect could be rescued by coexpression of mDab2 p67 (C) or mDab2 p96 (D) RNA. One blastomere of two-cell stage embryos was injected with XDab2 MO (30 ng) with or without mDab2 p67 or p96 RNA (250 pg), and then embryos fixed at stage 34 were in situhybridized against Xmsr. Arrows and arrowheads represent the normal and disrupted ISV, respectively. (E) The table showing the results of Figure S3A-D. (F-I) Gain-of-function of mDab2 p67 or p96 also disrupts the sprouting of ISV in Xenopus embryo. Injection of mDab2 p67 (F and G) or p96 (H and I) RNA (2 ng) inhibits the formation of the sprouting ISV on the injected side of the embryo, with that on the uninjected side being normal. One blastomere of two-cell stage embryos was injected with β-gal RNA as a lineage tracer with mDab2 p67 or p96 RNA. Embryos were fixed at stage 34, stained for β-gal and then hybridized against Xmsr (F and H) or EphB4 (G and I). Arrows and Arrowheads indicate normal and disrupted ISV on the injected side of the embryo, respectively. (J) The table showing the results of Figure S3F-I. |
|
|
The efficacy and targeting specificity of XDab2 MO. (A) The diagram indicating MO targeting site. (B) XDab2 MO inhibits specifically the translation of its cognate mRNA, but Co MO cannot. C-terminally Myc-tagged XDab2 mRNA (1 ng) with or without MO targeting site was coinjected with Co MO (40 ng), MO1 (40 ng) or MO2 (40 ng) into the four-cell stage embryos, and then embryos sampled at the early gastrula stages were subjected to western blotting analysis. Actin serves as a loading control. 5'UTR, XDab2-Myc mRNA with MO targeting site; ORF, XDab2-Myc mRNA without MO targeting site. |
References [+] :
Bedell,
roundabout4 is essential for angiogenesis in vivo.
2005, Pubmed
Bedell, roundabout4 is essential for angiogenesis in vivo. 2005, Pubmed
Breier, Expression of vascular endothelial growth factor during embryonic angiogenesis and endothelial cell differentiation. 1992, Pubmed
Bussolino, Molecular mechanisms of blood vessel formation. 1997, Pubmed
Carmeliet, Abnormal blood vessel development and lethality in embryos lacking a single VEGF allele. 1996, Pubmed
Cleaver, VEGF mediates angioblast migration during development of the dorsal aorta in Xenopus. 1998, Pubmed , Xenbase
Cleaver, Neovascularization of the Xenopus embryo. 1997, Pubmed , Xenbase
Devic, Expression of a new G protein-coupled receptor X-msr is associated with an endothelial lineage in Xenopus laevis. 1996, Pubmed , Xenbase
Dickson, Defective haematopoiesis and vasculogenesis in transforming growth factor-beta 1 knock out mice. 1995, Pubmed
Drake, Exogenous vascular endothelial growth factor induces malformed and hyperfused vessels during embryonic neovascularization. 1995, Pubmed
Fazili, Disabled-2 inactivation is an early step in ovarian tumorigenicity. 1999, Pubmed
Ferrara, Heterozygous embryonic lethality induced by targeted inactivation of the VEGF gene. 1996, Pubmed
Fong, Role of the Flt-1 receptor tyrosine kinase in regulating the assembly of vascular endothelium. 1995, Pubmed
Furuhashi, Axin facilitates Smad3 activation in the transforming growth factor beta signaling pathway. 2001, Pubmed
Gale, Growth factors acting via endothelial cell-specific receptor tyrosine kinases: VEGFs, angiopoietins, and ephrins in vascular development. 1999, Pubmed
Gary Lee, Transforming growth factor beta induces vascular endothelial growth factor elaboration from pleural mesothelial cells in vivo and in vitro. 2002, Pubmed
Hanahan, Signaling vascular morphogenesis and maintenance. 1997, Pubmed
Harland, In situ hybridization: an improved whole-mount method for Xenopus embryos. 1991, Pubmed , Xenbase
Heasman, Morpholino oligos: making sense of antisense? 2002, Pubmed , Xenbase
Helbling, The receptor tyrosine kinase EphB4 and ephrin-B ligands restrict angiogenic growth of embryonic veins in Xenopus laevis. 2000, Pubmed , Xenbase
Helbling, Comparative analysis of embryonic gene expression defines potential interaction sites for Xenopus EphB4 receptors with ephrin-B ligands. 1999, Pubmed , Xenbase
Hocevar, The adaptor molecule Disabled-2 links the transforming growth factor beta receptors to the Smad pathway. 2001, Pubmed
Hocevar, Regulation of the Wnt signaling pathway by disabled-2 (Dab2). 2003, Pubmed
Hoffmann, Drosophila abl and genetic redundancy in signal transduction. 1991, Pubmed
Keck, Vascular permeability factor, an endothelial cell mitogen related to PDGF. 1989, Pubmed
Kimura, Identification of hypoxia-inducible factor 1 ancillary sequence and its function in vascular endothelial growth factor gene induction by hypoxia and nitric oxide. 2001, Pubmed
Kitamura, Transforming growth factor-beta 1 induces vascular endothelial growth factor expression in murine proximal tubular epithelial cells. 2003, Pubmed
Ladoux, Hypoxia is a strong inducer of vascular endothelial growth factor mRNA expression in the heart. 1993, Pubmed
Larsson, Abnormal angiogenesis but intact hematopoietic potential in TGF-beta type I receptor-deficient mice. 2001, Pubmed
Lebrin, TGF-beta receptor function in the endothelium. 2005, Pubmed
Leung, Vascular endothelial growth factor is a secreted angiogenic mitogen. 1989, Pubmed
Lin, Cytoplasmic PML function in TGF-beta signalling. 2004, Pubmed
Maurer, Endocytosis of megalin by visceral endoderm cells requires the Dab2 adaptor protein. 2005, Pubmed
Maxwell, Hypoxia-inducible factor-1 modulates gene expression in solid tumors and influences both angiogenesis and tumor growth. 1997, Pubmed
Millauer, High affinity VEGF binding and developmental expression suggest Flk-1 as a major regulator of vasculogenesis and angiogenesis. 1993, Pubmed
Mishra, Disabled-2 exhibits the properties of a cargo-selective endocytic clathrin adaptor. 2002, Pubmed
Mok, DOC-2, a candidate tumor suppressor gene in human epithelial ovarian cancer. 1998, Pubmed
Morris, Dual roles for the Dab2 adaptor protein in embryonic development and kidney transport. 2002, Pubmed
Nagineni, Transforming growth factor-beta induces expression of vascular endothelial growth factor in human retinal pigment epithelial cells: involvement of mitogen-activated protein kinases. 2003, Pubmed
Nakagawa, TGF-beta induces proangiogenic and antiangiogenic factors via parallel but distinct Smad pathways. 2004, Pubmed
Newport, A major developmental transition in early Xenopus embryos: I. characterization and timing of cellular changes at the midblastula stage. 1982, Pubmed , Xenbase
Ny, A genetic Xenopus laevis tadpole model to study lymphangiogenesis. 2005, Pubmed , Xenbase
Oh, Activin receptor-like kinase 1 modulates transforming growth factor-beta 1 signaling in the regulation of angiogenesis. 2000, Pubmed
Oshima, TGF-beta receptor type II deficiency results in defects of yolk sac hematopoiesis and vasculogenesis. 1996, Pubmed
Pepper, Biphasic effect of transforming growth factor-beta 1 on in vitro angiogenesis. 1993, Pubmed
Peters, Vascular endothelial growth factor receptor expression during embryogenesis and tissue repair suggests a role in endothelial differentiation and blood vessel growth. 1993, Pubmed
Plate, Vascular endothelial growth factor is a potential tumour angiogenesis factor in human gliomas in vivo. 1992, Pubmed
Poole, Vasculogenesis and angiogenesis: two distinct morphogenetic mechanisms establish embryonic vascular pattern. 1989, Pubmed
Renner, Transforming growth factor-beta stimulates vascular endothelial growth factor production by folliculostellate pituitary cells. 2002, Pubmed
Risau, Mechanisms of angiogenesis. 1997, Pubmed
Sánchez-Elsner, Synergistic cooperation between hypoxia and transforming growth factor-beta pathways on human vascular endothelial growth factor gene expression. 2001, Pubmed
Shalaby, Failure of blood-island formation and vasculogenesis in Flk-1-deficient mice. 1995, Pubmed
Shweiki, Vascular endothelial growth factor induced by hypoxia may mediate hypoxia-initiated angiogenesis. 1992, Pubmed
Song, Hematopoietic gene expression profile in zebrafish kidney marrow. 2004, Pubmed
Tang, Disruption of transforming growth factor-beta signaling in ELF beta-spectrin-deficient mice. 2003, Pubmed
Tsukazaki, SARA, a FYVE domain protein that recruits Smad2 to the TGFbeta receptor. 1998, Pubmed , Xenbase
Xu, Cloning of a novel phosphoprotein regulated by colony-stimulating factor 1 shares a domain with the Drosophila disabled gene product. 1995, Pubmed
Yamakawa, The rasGAP-binding protein, Dok-1, mediates activin signaling via serine/threonine kinase receptors. 2002, Pubmed
Yang, Disabled-2 is essential for endodermal cell positioning and structure formation during mouse embryogenesis. 2002, Pubmed
Zhang, Receptor-associated Mad homologues synergize as effectors of the TGF-beta response. 1996, Pubmed
Zhou, Truncated activin type I receptor Alk4 isoforms are dominant negative receptors inhibiting activin signaling. 2000, Pubmed
Zhou, Receptor internalization-independent activation of Smad2 in activin signaling. 2004, Pubmed
